Detection of liver masses arterial phase imaging portal





















































































































































- Slides: 149
Detection of liver masses * arterial phase imaging * portal venous phase * equilibrium phase
Characterization of liver masses • • • Hypervascular lesions Hypovascular lesions Scar Capsule Calcification Fat Hemorrhage Cystic components Retraction of liver capsule Peripheral enhancement & progressive fill in
• Minority of tumors contain calcifications , cystic components, fat or hemorrhage and will be detected on NECT. • When we give IV contrast, it is important to understand that there is a dual blood supply to the liver. • Normal parenchyma is supplied for 80% by PV & only for 20% by hepatic artery, so it will enhance in the portal venous phase. • All liver tumors however get 100% of their blood supply from hepatic artery , so when they enhance it will be in arterial phase
• Small HCC in cirrhotic liver , not visible on NECT , clearly visible in arterial phase, and not visible in portal venous phase.
• In the arterial phase hypervascular tumors will enhance via the hepatic artery , when normal liver parenchyma does not yet enhances , because contrast is not yet in the portal venous system. • These hypervascular tumors will be visible as hyperdense lesions in a relatively hypodense liver • However when the surrounding liver parenchyma starts to enhance in the portal venous phase , these hypervascular lesions may become obscured.
• In the portal venous phase hypovascular tumors are detected when the normal liver parenchyma enhances maximally. • These hypovascular tumors will be visible as hypodense lesions in a relatively hyperdense liver.
• In the equilibrium phase at about 10 minutes after contrast injection , tumors become visible, that either loose their contrast slower than the normal liver , or wash out their contrast faster than normal liver parenchyma. These lesions will become either relatively hyperdense or hypodense to the normal liver
• Above: arterial phase showing hypervascular FNH • Middle: portal venous phase showing hypovascular metastases • Down: equilibrium phase showing relatively dense cholangiocarcinoma
Arterial phase imaging
• Optimal timing and speed of contrast injection and type of CT scanner are very important for good arterial phase imaging.
Optimal timing
• Hypervascular tumors will enhance optimally at 35 seconds after contrast injection (late arterial phase)
• A patient who underwent two phases of arterial imaging at 18 and 35 seconds. • In the early arterial phase we nicely see the arteries , but we only see some irregular enhancement within the liver. • In the late arterial phase, we can clearly identify multiple tumor masses.
• Notice that in the late arterial phase, there has to be some enhancement of the portal vein. • The only time that an arterial phase is needed is when you need an arteriogram , for instance as a roadmap for chemoembolization of a liver tumor.
Speed of contrast injection
For arterial phase the best results are with an injection of 5 ml/sec
• Patient with liver cirrhosis and multifocal HCC injected at 2. 5 ml/sec and at 5 ml/sec. • At 5 ml/sec. there is far better contrast enhancement and better tumor detection.
Type of CT scanner
• If you have a single slice scanner , it will take about 20 seconds to scan the liver. • For late arterial phase imaging 35 sec. is the optimal time , so you start at about 25 seconds and end at about 45 seconds. • However if you have 64 multislice scanner , you will be able to examine the whole liver in 4 seconds , so you start scanning at about 33 seconds.
Tripple Phase Helical CT Axial C+ CT Portal Venous Phase Axial C+ CT Arterial Phase Axial C+ CT Hepatic Venous Phase Contrast Injection Arterial 0 15 30 Portal Venous Time (sec) Hepatic Venous 45 60 Foley, WD. Multiphase Hepatic CT with a Multirow Detector CT Scanner. 2000 (175): 679 -685. 75
Portal venous phase
• Portal venous phase imaging work on the opposite idea. We image the liver when it is loaded with contrast through the portal vein to detect hypovascular tumors. • The best moment to start scanning is at about 75 sec. , so this is a late portal phase , because enhancement of portal vein already starts at 35 sec in the late arterial phase. • Late portal venous phase is also known as hepatic phase because there already must be enhancement of hepatic veins. If you don’t see enhancement of hepatic veins , you are too early.
• Hypovascular metastases seen as hypodense lesions in late portal venous phase
Liver metastases cancer colon
Equilibrium phase
• Starts when contrast is moving away from the liver and the liver starts to decrease in density. • This phase begins at about 3 -4 minutes after contrast injection and imaging is best done at 10 minutes after contrast injection.
• This phase can be valuable if you are looking for: 1 - fast tumor washout in hypervascular tumors 2 - retention of contrast in blood pool like in hemangioma 3 - retention of contrast in fibrous tissue in capsule ( HCC )or scar tissue ( cholangiocarcinoma or FNH )
• 1 - fast tumor washout in hypervascular tumors like HCC
• 2 - retention of contrast in the blood pool as in hemangioma
• 3 - retention of contrast in fibrous tissue in capsule ( HCC ) or scar tissue (cholangiocarcinoma , FNH)
Relative hyperdense lesions in the delayed phase • Fibrous tissue that’s well organized and dense is very slow to let iodine or gadolinium in. • Once contrast gets in however, it is equally slow to get back out in the equilibrium phase. • So when the normal liver parenchyma washes out, the fibrous component of the tumor will look brighter than the background liver tissue.
• Small cholangiocarcinoma not visible in portal venous phase , but seen as relative hyperdense lesion in the equilibrium phase.
Relative hypodense lesions in delayed phase • In the delayed phase, malignant tumors ( like HCC ) , the tumor is washed out more than the surrounding liver parenchyma. • But benign tumors typically will not show this kind of wash out , but will stay isodense with liver parenchyma or some times more dense, in the equilibrium phase. • These benign lesions don’t have enough neoplastic neovascularity to have a fast wash out.
• HCC in a cirrhotic liver. Notice fast wash out in equilibrium phase compared to surrounding liver parenchyma.
Blood pool and hemangioma • Normally when we look at lesions filling with contrast, the density of these lesions is always compared to the density of the liver parenchyma. • In hemangiomas, however you should not compare the density of the lesion to the liver but to the bloodpool
• This means that the areas of enhancement in a hemangioma should match the attenuation of the appropriate vessels { bloodpool } at all times. • So, in the arterial phase the enhancing parts of the lesion must have almost the same attenuation value as the enhancing aorta. • While in the portal phase, it must match the attenuation value of the portal vein. And so in venous or delayed phase.
• So, if it does not match the bloodpool in every single phase of contrast enhancement FOREGET the diagnosis of a hemangioma.
• Hemangioma in nonenhanced CT, late arterial, late portal venous, and equilibrium phase. Notice that the attenuation of the hemangioma matches the bloodpool in every single phase.
• Flash filling hemangioma in unenhanced, arterial & portal venous phase. Notice it matches the bloodpool.
Incidental hyper vascular lesions • • • Hemangioma Focal nodular hyperplasia ( FNH ) Adenoma Hepatocellular carcinoma ( HCC ) Fibrolamellar hepatocellular carcinoma Hypervascular mtastases
• It is important to differentiate between “touch” and “don’t touch” lesions. • Benign “don’t touch” hypervascular tumors include hemangioma, FNH, small adenoma. • “touch lesions” iclude large adenoma ( more than 5 cm ) and malignant tumors like HCC , fibrolamellar HCC and metastases.
Benign hypervascular lesions
Hemangioma
Hemangioma • Bloodpool and hemangioma • Normally when we look at lesions filling with contrast, the density of these lesions is always compared to the density of the liver parenchyma. • In hemangiomas, however you should not compare the density of the lesion to the liver but to the bloodpool
• This means that the areas of enhancement in a hemangioma should match the attenuation of the appropriate vessels { bloodpool } at all times. • So, in the arterial phase the enhancing parts of the lesion must have almost the same attenuation value as the enhancing aorta. • While in the portal phase, it must match the attenuation value of the portal vein. And so in venous or delayed phase.
• So, if it does not match the bloodpool in every single phase of contrast enhancement , foreget the diagnosis of a hemangioma.
• Hemangioma in nonenhanced CT, late arterial, late portal venous, and equilibrium phase. Notice that the attenuation of the hemangioma matches the bloodpool in every single phase.
• Hemangiomas less than 1 cm frequently demonstrate immediate homogenous enhancement , isodense to aorta. • Hemangiomas larger than 1 cm generally show slow centripetal spread of nodular enhancement
• Flash filling hemangioma in unenhanced, arterial & portal venous phase. Notice it matches the bloodpool.
• Giant hemangioma with scar tissue. Notice that the enhancement matches the bloodpool in all phases, central scar is hypodense on NECT & stays hypodense.
Progressive fill in • • The lesion definitely has some features of hemangioma like nodular enhancement in the arterial phase & progressive fill in portal venous & equilibrium phase. In portal venous phase however the enhancement is not as bright as the enhancement of portal vein. The conclusion must be that this lesion doesn’t match blood pool in all phases , so it can’t be hemangioma. So progressive fill in is a nonspecific feature of that can be seen in many other tumors like metastases or cholangiocarcinoma. The delayed enhancement in this lesion is due to fibrotic tissue in a cholangiocarcinoma & is a specific feature of this tumor
Rim enhancement • The enhancement of a hemangioma starts peripheral. It is nodular or globular & discontinuous. • Rim enhancement is continuous peripheral enhancement is never hemangioma. • Rim enhancement is a feature of malignant lesions , especially metastases. • Left: rim enhancement in breast carcinoma • Right: nodular discontinuous enhancement in hemangioma
Atypical hemangioma
Hemangioma on US
• Hemangioma on dynamic MRI will show the same enhancement characteristics as on contrast enhanced CT
Focal nodular hyperplasia FNH
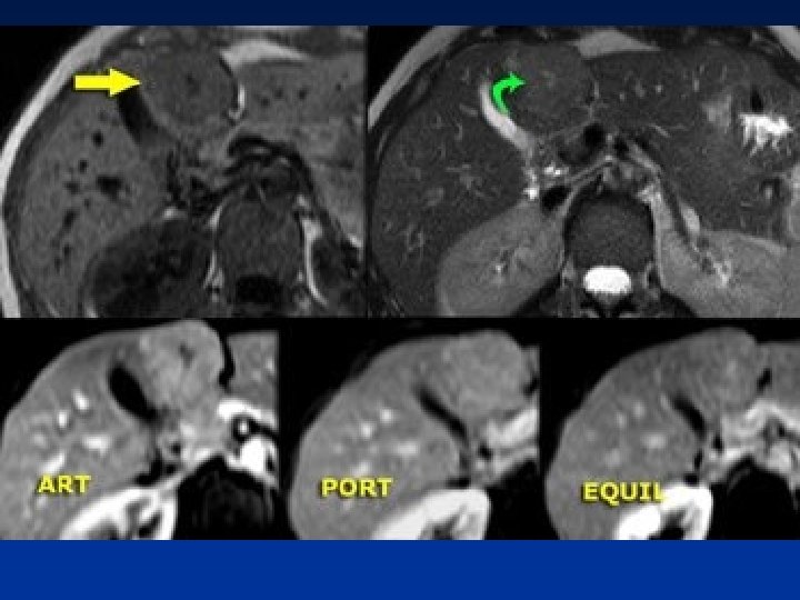
• Non-neoplastic, hyperplastic response to a congenital vascular malformation. • At late arterial phase, FNH typically presents with bright homogenous enhancement , but less intense than the aorta with a hypodense central scar. • Smaller (<3 cm) FNH , often lack a central scar. • At portal phase, FNH is often isoattenuating to the normal liver and may be difficult to delineate. • Delayed phase often shows hyperattenuation of central scar due to late opacification of fibrous components ( or due to the AVM scar ) • No calcification, inhomogenity or capsule should be seen in FNH
• Best diagnostic clue: brightly and homogeneously enhancing mass in arterial phase on CT or MRI with delayed enhancement of the central scar. • Central scar containing AVM • Central scar seen in 2/3 of large and 1/3 of smal FNH. • No malignant transformation • No association with oral contraceptives. • Nuclear study: normal or increase uptake {only FNH contains kuffer cells that cause increase uptake in 9% of cases }……. pathognomonic • Classic FNH looks like a cross section of an orange ( central scar, radiating septa )
Hemangioma & FNH
• FNH seen as hypervascular lesion in the late arterial phase & isodense in the portal venous phase. No scar was seen.
• T 2 W, T 1 W without gadolinium and a delayed phase after gadolinium.
Adenoma
• Best diagnostic clue: spherical well defined hypervascular and heterogenous mass due to fat & hemorrhage. • Symptomatic in 80%-abdominal pain- ( FNH asymptomatic in 80%) • 98% in yoyung females taking oral contraceptives • Not seen in males unless on anabolic steroids or with glycogen storage disease.
• Adenoma showing capsule in delayed phase
• Female with acute abdominal pain • On portal phase, hypodense hepatic lesion with hemorrhage adjacent to it, extending subcapsularly.
• Fat in adenom a
• Hemorrhage in adenoma
Malignant hypervascular lesions
Hepatocellular carcinoma HCC
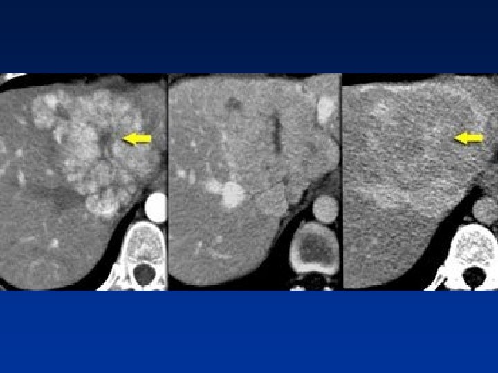
• Any hypervascular lesion in a cirrhotic liver is hepatocellular carcinoma untill proven otherwise. • HCC may be solitary, multifocal or diffusely infiltrating. • Large HCC typically have a mosaic appearance due to hemorrhage & fibrosis.
• HCC is a silent tumor, so if patients don’t have cirrhosis or hepatitis C , you will discover them in a late stage. • They tend to be large with mozaic pattern , a capsule , hemorrhage and necrosis. • HCC become isodense or hypodense to liver in the portal venous phase due to fast wash-out • On delayed images, the capsule and sometimes septa demonstrate prolonged enhancement.
• Large HCC with mozaic pattern in a non cirrhotic liver
• Cirrhotic liver with hypervascular , inhomogenous lesion. • The inhomogenous enhancement and partial capsule are helpful for the diagnosis of HCC
• Small HCC in cirrhotic liver not visible on NECT , clearly visible on arterial phase, and not visible in portal venous phase
• HCC in cirrhotic liver , notice fast wash out in equilibrium phase compared to surrounding liver parenchyma
PS: Triple Phase CT Axial C- CT Film Findings: § Nodular liver § No discrete lesions Axial C+ CT: Arterial Phase § Early hyperenhancing lesion
PS: Triple Phase CT Axial C+ CT: Portal Venous Phase Film Findings: § Quick washout of enhancing lesion Axial C+ CT: Delayed Phase § Hypoenhancing lesion with peripheral rim of enhancement
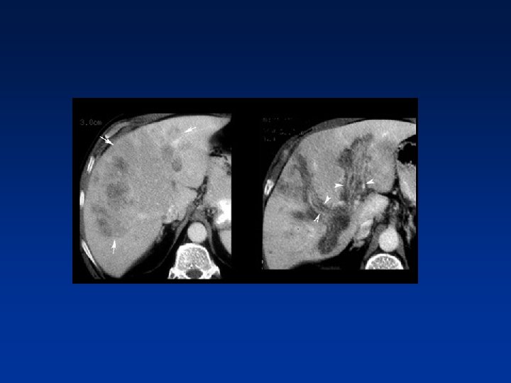
• In the arterial phase we see two hypervascular lesions. Now do not just concentrate on the images, where you see the lesions best. You have to look at all the other images, because they give you the clue to the diagnosis. The upper images show a lesion that is isodens to the liver on the NECT. In the arterial phase there is enhancement, but not as dense as the bloodpool. In the portal venous phase the lesion is again isodense to the surrounding liver parenchyma and you can't see it. If you only had the portal venous phase you surely would miss this lesion. The lower images show a lesion that is visible on all images. You see it on the NECT and you could say it is hypodens compared to the liver. Does this help you? No, not in the least. However if you look at the bloodpool, you will notice that on all phases it is as dense as the bloodpool. So we have a HCC in the right lobe on the upper images and a hemangioma in the left lobe on the lower images. The key is to look at all the phases.
HCC & PV thrombosis Many patients with cirrhosis have portal venous thrombosis and many patients with HCC have thrombosis. These are two common findings and they can be coincidental. It is very important to make the distinction between just thrombus and tumor thrombus. First, if you have a malignant thrombus in the portal vein, it will always enhance and you'll see it best in arterial phase. Secondly, if you have a malignant thrombus in the portal vein, it will increase the diameter of the vessel. Sometimes a tumor thrombus may present with neovascularity within the thrombus.
• Above : diffusely enhancing tumor thrombus in HCC with portal venous thrombosis. • Down: tumor thrombus with vessels within the thrombus
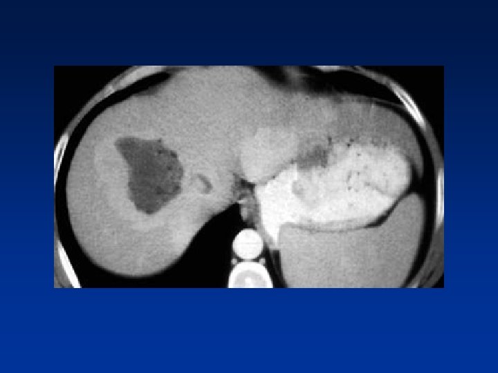
Fibrolamellar HCC
• Large hpervascular , heterogenously enhancing, lobulated mass in a normal, noncirrhotic liver in young adult • Central fibrotic scar in 60% • Calcification in 70% of cases • Normal alpha fetoprotein (increased in HCC)
• Non enhanced image , a fibrolamaellar HCC usually presents as a big mass with central calcification.
• FLC in late arterial phase , central calcification & heterogenous enhancement. • Delayed phase with hypodense central scar
Hypervascular metastases
Characteritics of hypervascular metastases -a hyper vascular 1 ry tumor like renal cell carcinoma, endocrine tumors( thyroid-islet cell – carcinoid) & some breast carcinoma -often co-existing hypo and hypervascular metastases. -larger lesions are often inhomogenous due to central necrosis.
Hypervascular metastasis • • Renal cell carcinoma Islet cell tumors of pancreas Thyroid carcinoma Carcinoid Malignant melanoma Choriocarcinoma Pheochromocytoma 15 % of cancer breast
• Hypervascular metastases with typical peripheral enhancement
• Peripheral enhancement in metastases from breast carcinoma
Hypervascular metastases
Hypervascular metastases breast cancer
Characterization of liver masses
• • • Scar Calcification Capsule Fat Blood Retraction of liver capsule
Scar • Focal nodular hyperplasia …… AVM • Fibrolamellar HCC ……………Fibrous tissue • Cavernous hemangioma ……. . Fluid • HCC • cholangiocarcinoma
Focal nodular hyperplasia
Fibrolamellar HCC
Hemangioma
Calcification • Metastases • Fibrolamellar HCC • Cholangiocarcinoma • hemangioma
Calcified mestastases ca ovary
Calcified metastases
Fibrolamellar HCC
Capsule • Hepatocellular carcinoma “ HCC “ • Adenoma • Biliary cystadenoma
HCC
Adenoma
Fat • Adenoma • HCC • Metastatic liposarcoma • Angiomyolipoma
Adenoma
Blood • HCC • Adenoma
HCC
Adenoma
Retraction of liver capsule • Cholangiocarcinoma • Breast cancer metastases
Cholangiocarcinoma
Cancer breast metastases
Hepatic Cyst Axial C+ CT Film Findings: § Sharply demarcated, non enhancing, water-dense cyst. http: //bb. westernu. edu/web/Pathology/webpath 60/webpath/radi ol/heparad/
Focal Nodular Hyperplasia Axial C+ CT Film Findings: § Enhancing lesion with central filling defect (central scar) http: //uuhsc. utah. edu/rad/medstud/Body. Case. Studies/Body. Ca se 6 a. htm
Hepatocellular Adenoma Axial C+ CT Film Findings: § Multiple hypoenhancing heterogenous lesions §Enhancing hepatic veins Up. To. Date: Hepatic Adenoma
HCC: MR Imaging Axial T 1 Weighted MR Precontrast • • Axial T 1 Weighted MR Arterial Phase Axial T 1 Weighted MR Portal-phase Variable intensity on T 1 and T 2 weighted imaging Early arterial phase enhancement Quick washout Rim enhancement of fibrous capsule in portal/delayed phases
Liver Metastasis (Colonic Adenocarcinoma) Axial C+ CT Film Findings: § Multiple hypoenhancing heterogenous lesions http: //www. mypacs. net/repos/mpv 3_repo/viz/full/11724/586248. j pg
Liver Abscess Axial C+ CT Film Findings: § Well demaracated hypoenhancing lesion § Rim of increased enhancement relative to central region http: //www. e-radiography. net/ibase 5/Hepatic/index. htm
• A Walk Through The Differential Diagnoses:
Lesions Classical CT Findings Hepatic Cyst Sharply demarcated wall, water density, non-enhancing Hemangioma Peripheral filling in of contrast over time “Light Bulb Sign” on T 2 MRI Focal Nodular Hyperplasia (FNH) Early filling in arterial phase with central filling defect (scar) Hepatocellular Adenoma Metastasis Variable, central changes due to hemorrhage often seen Abscess Hepatocellular Carcinoma (HCC) Mostly multiple low attenuation lesions, rim enhancement without “filling in” Well demarcated hypodense areas with peripheral enhancement, may see gas Early arterial enhancement, fast washout, delayed fibrous capsule enhancement PS
References
• • • The frequency and significance of small (less than or equal to 15 mm) hepatic lesions detected by CT EC Jones, JL Chezmar, RC Nelson and ME Bernardino Department of Radiology, Emory University School of Medicine, Atlanta, GA 30322. American Journal of Roentgenology, Vol 158, 535 -539, Prevalence and Importance of Small Hepatic Lesions Found at CT in Patients with Cancer Lawrence H. Schwartz, MD, Eric J. Gandras, MD, Sandra M. Colangelo, MD, Matthew C. Ercolani, BS and David M. Panicek, MD Radiology. 1999; 210: 71 -74. Small 'indeterminate' lesions on CT of the liver: a follow-up study of stability P J Robinson, MB, FRCP, FRCR, P Arnold, BSc and D Wilson, MSc Clinical Radiology Research Unit and Medical Physics Department, St James's University Hospital, Beckett Street, Leeds LS 9 7 TF, UK British Journal of Radiology (2003) 76, 866 -874
• • Small hypoattenuating hepatic lesions at Contrast-enhanced CT: Prognostic importance in patients with breast cancer. George A. Krakora, MD et al Radiology 2004; 233: 667 -673 Benign hepatic tumours and tumour like conditions in men. by Karhunen PJ. J Clin Pathol. 1986 Feb; 39(2): 183 -8. Introduction. In: Tumors of the liver and intrahepatic bile ducts. Page 1 -7. Atlas of tumor pathology, AFIP, Washington DC, 1988. by Robert L. Craig Fibrolamellar Hepatocellular Carcinoma: Imaging and Pathologic Findings in 31 Recent Cases Tomoaki Ichikawa, MD, Michael P. Federle, MD, Luigi Grazioli, MD, Juan Madariaga, MD, Michael Nalesnik, MD and Wallis Marsh, MD Radiology. 1999; 213: 352 -361.