Dental Charting With this powerpoint you will be
Dental Charting
With this powerpoint, you will be able to comprehend the basic skills of dental charting. Use the instructions in the powerpoint and the chapter from the textbook to work on this assignment.
This is the permanent dentition. It is using the Universal Numbering system. Maxillary Mandibular
Surfaces of the teeth Root Buccal (P) Occlusal (P) Lingual Occlusal (P) Buccal (P) Root F A C I A L
Surfaces of the teeth Incisal Edge Root Buccal (P) Occlusal (P) Lingual Occlusal (P) Buccal (P) Root F A C I Lingual (A) A L
Surfaces of the teeth Incisal Edge Root Buccal (P) Occlusal (P) Lingual F A C I A L Lingual (A) Lingual Occlusal (P) Buccal (P) Root On your paper – Use the first set of teeth to label “tooth surfaces” – then fill in all of the tooth surfaces – I completed the maxillary arch – take that information and fill in the mandibular too.
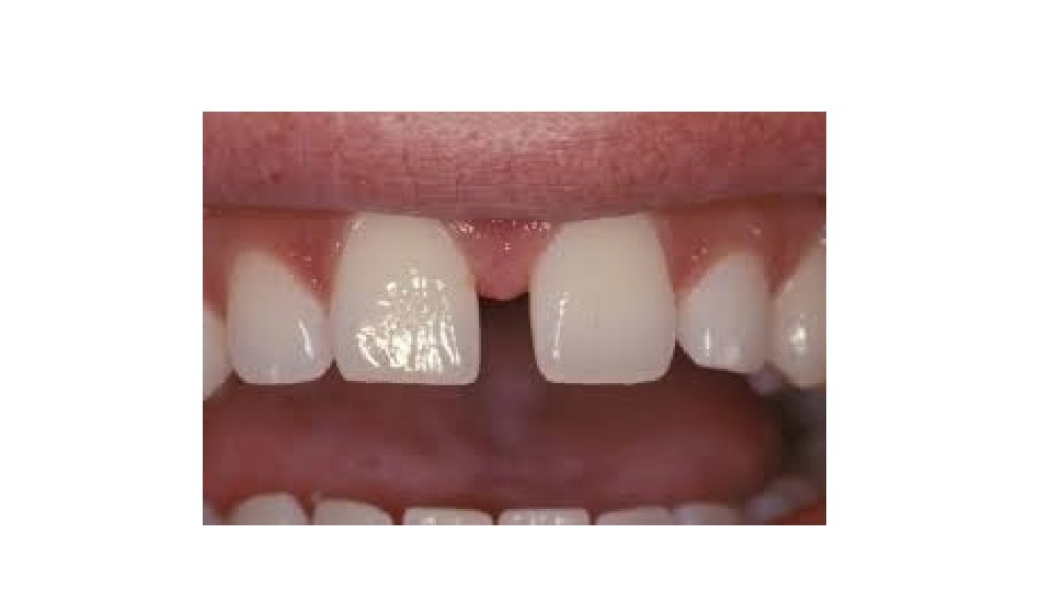
Patient A
This is a tooth that is impacted – you as a dental professional cannot make a tooth grow impacted. Since is already in the mouth then you will color it BLUE.
Tooth #2 DO Amalgam – this is a silver filling – draw a circle on the occlusal surface and half a circle on the distal and then color them in. If you don’t color it in then you are charting the wrong type of filling material.
Tooth #4 – MOD Amalgam filling – Same concept as what you did on tooth #2
Tooth #6 – M Composite – Use the same concept as what you did for tooth #2 & 4 – But because this is a composite and not a amalgam – do not color in the area you circled.
Tooth #8 – MI Composite – even though it is two different surfaces – join both of these surfaces together for a CLASS VI – Also since this is a composite you will not color it in
Between Teeth #8 & 9 – Diastema – this is a space between any two teeth – the next slide will show an example
Tooth #9 – Has decay on the mesial – Now, why would you not color this in?
Tooth #9 – Has decay on the mesial – Now, why would you not color this in? Would you want an amalgam filling on the front of your central? Where everyone can see? – Esthetically you would put a composite filling – and you wouldn’t color in a composite filling.
Tooth #13 – Follow the format as you did for tooth #4 – But because it has recurrent (came back) decay – outline the area of the filling with red.
Between teeth #13 & 14 – the doctor found food impacted (stuck) between the teeth
Tooth #14 – MO Amalgam filling
Tooth #16 – Has been removed
Mandibular arch – It is colored in for you – but there a few missing details. Review the photos you took from the blue dental book and follow the formats that we discussed for all the filling dental materials. If you do get confused, there are some youtube videos to reference on the next slide. Good luck with all your patients.
- Slides: 23