Demographic data Case 1 Case 2 Case 3





























- Slides: 29
Demographic data Case 1 Case 2 Case 3 Age 57 68 72 Sex M F M Education 16 20 11 Handedness Left Right Drowsy - + + Apathy + + + Depression - - - No abnormal Behavior abnormality Neurologic examination
Result of Neuropsychological test Cognitive domain/ Neuropsychologic test Case 1 Case 2 Case 3 Digit span: Forward/backward 7/2 4/3 6/4 Letter cancellation Normal Orientation: T/P(5/5) 4/4 5/5 4/5 Remote memory: president(5) 5 5 5 3 word registration/recall 3/0 3/0 Free R(1+2+3=T/delayed) 2+2+2=6/0 3+6+5=14/2 2+3+3=8/0 Recognition (TP-FP=) 기억 없음 3 -0=3 1 -0=1 Immediate R/delayed R 13/12 9/8 13/12 Recognition (TP-FP=) 5 -0=5 9 -3=6 9 -1=8 Attention Memory SVLT: Rey Figure
Cognitive domain/ Neuropsychologic test Case 1 Case 2 Case 3 Interlocking pentagon Normal Rey figure copy 30/36 34/36 36/36 Contrasting program Normal Go-no-go test Normal Abnormal Normal Fist-edge-palm Normal Alternating hand movement Normal Alternating square and triangle Normal Closing in Normal Luria loop Normal Animal/supermarket items 3/2=5 8/6=14 6/7=13 Phonemic word fluency: ㄱ/ㅅ/ㅇ 5/2/3=10 1/1/0=2 5/4/2=11 Word reading: correct/incorrect 112/0 110/2 112/112 Color naming: correct/incorrect 20/20 64/12 67/5 Visuospatial functions Frontal/Executive functions Semantic word fluency Stroop test:
Cognitive domain/ Neuropsychologic test Case 1 Case 2 Case 3 Fluency Slight reduced Auditory comprehension Normal Repetition Normal Naming (K-BNT) 21/60(<5%ile) 26/60(<0%ile) 25/60 (<0%ile) Reading Normal Writing Normal Word finding difficulty Frequent Sometimes Paraphasia Absent Calculation Abnormal Normal Praxis Absent Present K-MMSE 23 22 24 CDR 1(SOB=6) 0. 5(SOB=1. 5) 1(SOB=1) Language & related functions
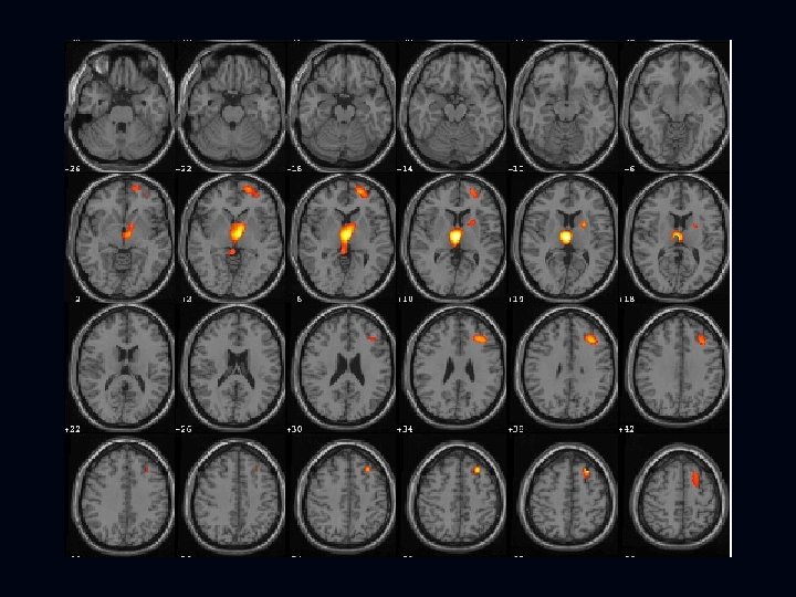
Lesion site?
MRI Findings Case 1 Case 2 Case 3
EDC SPECT of Case 1
Western Aphasia Battery
Western aphasia battery Case 1 Case 2 Case 3 8/8=16 8/9=17 7/9=16 예- 아니오 검사 60/60 청각적 낱말인지 60/60 명령이행 76/80 80/80 78/80 AQ=합계/20=10 196/20=9. 8 200/20=10 198/20=9. 9 100/10=10 88/10=8. 8 100/10=10 물건 이름대기 56/60 60/60 52/60 동물 이름대기 3/20 8/20 6/20 문장완성 8/10 10/10 문장응답 10/10 AQ=합계/10=10 77/10=7. 7 88/10=8. 8 78/10=7. 8 Aphasia Quotient(1+2+3+4)*2 87 89. 2 87. 4 1. 스스로 말하기 내용전달/유창성/합계(AQ): 20 2. 알아듣기 3. 따라 말하기 AQ=합계/10=10 4. 이름 대기
Western aphasia battery Case 1 Case 2 Case 3 5. 읽기 90/10=9 80/10=8 6. 쓰기 97/10=9. 7 91/10=9. 1 100/10=10 Aphasia type ? ? ? Aphasia type?
Anatomy of anterior thalamic nucleus n Blood supply Tuberothalamic (Polar) artery form P-com n Afferent *Mammillary body (mammillothalamic tract) *Ventral amygdalofugal fiber (inferior thalamic peduncle) n Efferent cingulate gyrus
Input Nucleus Output Amygdala/perirhinal cortex Inferior temporal cortex Hypothalamus Intralaminar thalamic nucleus dorsomedial thalamus pre-frontal lobes anterior nuclei cingulate gyrus & hippocampus Supplementary motor Anterior insular cortex mamillary bodies. . .
Ventral amygdalofugal fiber through anterior perforated substance to basal nuc Meynert, HT, MD thalamus
Neuropsychological disturbances of Ant. Thalamic lesion n Disturbances of alertness Intralaminar, reticular, ventral anterior nuclei n Apathy , disinterest, lack of drive for motor expression anterior thalamic nucleus- cingulate gyrus: frontal hypometabolism n Memory disturbance * Mammillothalamic tract * Ventral amygdalofugal fiber (perirhinal cortex) Left : verbal, Right: visuospatial Anterograde, sometimes retrograde, disorientation to time, normal working memory
Aphasia of thalamic lesions n Anterior thalamic lesion Aspontaneity, diminished content of speech, paraphasia, decreased generation of words, defects of spelling, comprehension, reading and writing, preserved repetition n Paramedian thalamic lesion Poor initiation of speech, poverty of output, occasional confabulation, lack of output monitoring, intact repetition, deficit in word-list generation and naming, perceptive errors, nonaphasic misnaming, intrusion, perseveration Non phonemic or semantic paraphsia “ Subtranscortical aphasia” n n n Lack of initiation of speech, disruption of speech by memory and arousal disturbances Damage to the frontal lobe- inferior thalamic peduncle-nucleus reticularis-centre median system In our cases = anomic aphasia : Frontal dysfunction? , lexicon damage