DEJENERATF EKLEM HASTALIKLARI Prof Dr M Bahaddin GZEL
DEJENERATİF EKLEM HASTALIKLARI Prof Dr M Bahaddin GÜZEL
DEJENERATİF OSTEOARTRİT (OA) n Eklem kıkırdağı Subkondral kemik n Ligament n Kapsül n Snovial membran n Eklem çevresi kaslar n
ETYOLOJİ n Primer ( idiopatik) n Sekonder
PRİMER ( idiopatik) OA n Bölgesel (3’den az) • • • Bel kemiği Diz Kalça El Ayak n Sistemik (3 veya daha fazla eklem)
SEKONDER OA Post travmatik n Konjenital n Lokalize n • Kalça hastalığı (perthes, GKD ) Mekanik ve lokal faktörler ( obesite ) Aks bozuklukları (valgus-varus ) n Sistemik • Metabolik hastalıklar Romatoid artrit Endokrin hastalık (akromegali ) • •
PRİMER OSTEOARTRİTTE ETYOLOJİ (PREDİSPOZAN FAKTÖRLER) n Yaş n Cinsiyet n Heredite n Obesite
EN ÇOK TUTULAN EKLEMLER n Diz n Kalça n Bel kemiği
KLİNİK n Ağrı (neden eklem irritasyonuna bağlı inflamasyon ve subkondral kırıklardır) • • • Eklem kullanılınca artar İstirahatle azalır Barometrik basınç azalınca sinovial şişmeyle artar Sabah eklem sertliği olabilir n Fikse deformite gelişir n Eklemde sinovial mayi artar eklem aralığı basmakla ağrılıdır n
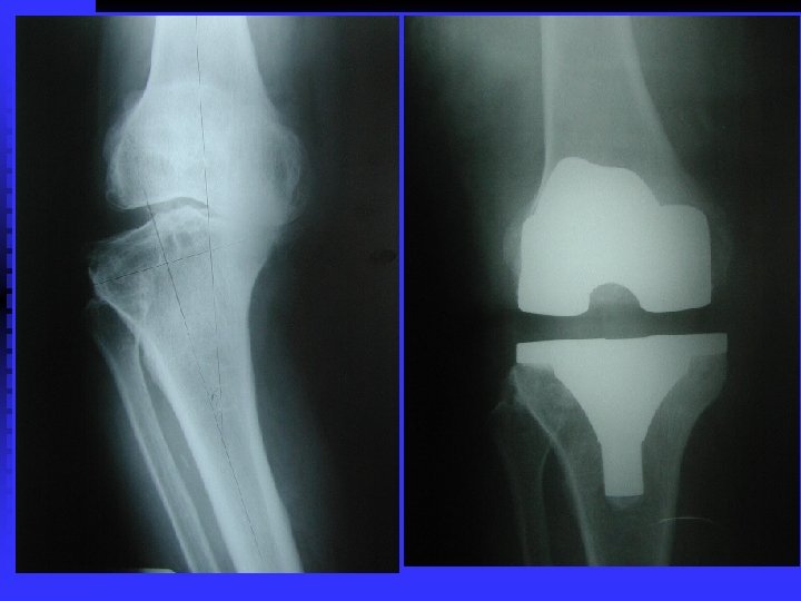
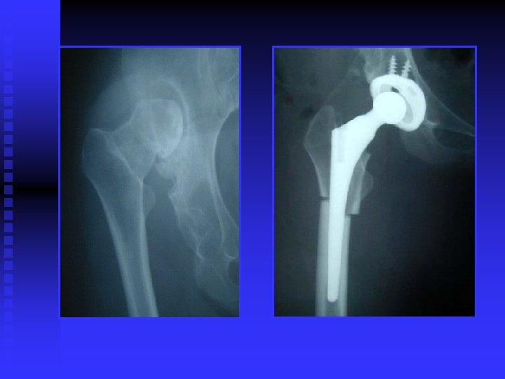
OA RÖNTGEN BULGULARI n Eklem aralığında daralma (kıkırdak incelmiş) n Eklem aralığının kalmaması (kıkırdak bitmiş) n Yük binen yerlerde kistler n Yük binmeyen yerlerde osteofitler
KONSERVATİF TEDAVİ İstirahat n Yük vermeden hareket n Kilo verme n Koltuk değneği veya yürüteç kullanımı n Fizik tedavi yöntemleri ( Isıtma, aktif ve pasif n hareket, kas kuvvetlendirici egzersiz ) İntraartiküler enjeksiyon n İlaç tedavisi ( analjezik-antienflamatuar ilaçlar ) n
CERRAHİ TEDAVİ Artrodez (eklemin dondurulması) n Osteotomi (aks veya eklem uyumu düzeltilir) n Debridman (artroskopik temizleme) n Artroplasti n • • Parsiyel veya total protez Rezeksiyon (kısa ve fonksiyonu kötü ekstremite)
- Slides: 16