Defining Talar Head and Neck Pathology The Malvern












- Slides: 12
Defining Talar Head and Neck Pathology: The Malvern Classification System Christopher Robin Hood, DPM, AACFAS, Jason Roy Miller, DPM, FACFAS, Josuha Kevin Hollinger, DPM, AACFAS The Journal of Foot and Ankle Surgery Volume 57 Issue 1 Pages 131 -139 (January 2018) DOI: 10. 1053/j. jfas. 2017. 008 Copyright © 2017 American College of Foot and Ankle Surgeons Terms and Conditions
Fig. 1 The Journal of Foot and Ankle Surgery 2018 57131 -139 DOI: (10. 1053/j. jfas. 2017. 008) Copyright © 2017 American College of Foot and Ankle Surgeons Terms and Conditions
Fig. 2 The Journal of Foot and Ankle Surgery 2018 57131 -139 DOI: (10. 1053/j. jfas. 2017. 008) Copyright © 2017 American College of Foot and Ankle Surgeons Terms and Conditions
Fig. 3 The Journal of Foot and Ankle Surgery 2018 57131 -139 DOI: (10. 1053/j. jfas. 2017. 008) Copyright © 2017 American College of Foot and Ankle Surgeons Terms and Conditions
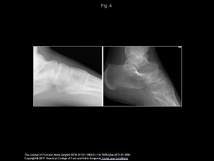
Fig. 4 The Journal of Foot and Ankle Surgery 2018 57131 -139 DOI: (10. 1053/j. jfas. 2017. 008) Copyright © 2017 American College of Foot and Ankle Surgeons Terms and Conditions
Fig. 5 The Journal of Foot and Ankle Surgery 2018 57131 -139 DOI: (10. 1053/j. jfas. 2017. 008) Copyright © 2017 American College of Foot and Ankle Surgeons Terms and Conditions
Fig. 6 The Journal of Foot and Ankle Surgery 2018 57131 -139 DOI: (10. 1053/j. jfas. 2017. 008) Copyright © 2017 American College of Foot and Ankle Surgeons Terms and Conditions
Fig. 7 The Journal of Foot and Ankle Surgery 2018 57131 -139 DOI: (10. 1053/j. jfas. 2017. 008) Copyright © 2017 American College of Foot and Ankle Surgeons Terms and Conditions
Fig. 8 The Journal of Foot and Ankle Surgery 2018 57131 -139 DOI: (10. 1053/j. jfas. 2017. 008) Copyright © 2017 American College of Foot and Ankle Surgeons Terms and Conditions
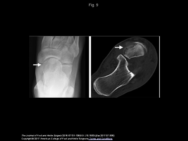
Fig. 9 The Journal of Foot and Ankle Surgery 2018 57131 -139 DOI: (10. 1053/j. jfas. 2017. 008) Copyright © 2017 American College of Foot and Ankle Surgeons Terms and Conditions
Fig. 10 The Journal of Foot and Ankle Surgery 2018 57131 -139 DOI: (10. 1053/j. jfas. 2017. 008) Copyright © 2017 American College of Foot and Ankle Surgeons Terms and Conditions
Fig. 11 The Journal of Foot and Ankle Surgery 2018 57131 -139 DOI: (10. 1053/j. jfas. 2017. 008) Copyright © 2017 American College of Foot and Ankle Surgeons Terms and Conditions