Definicin Proceso agudo de la pared artica que



























- Slides: 27
Definición Proceso agudo de la pared aórtica que cursa con afectación de la capa media. Disección aórtica Hematoma intramural Úlcera arterioesclerótica penetrante *Aneurisma Abdominal, rotura y proceso de rotura.
A tener en cuenta Proceso agudo Dinámico Cada segundo cuenta Sospecha Clínica. Pronóstico = Diagnóstico precoz + intervención inmediata
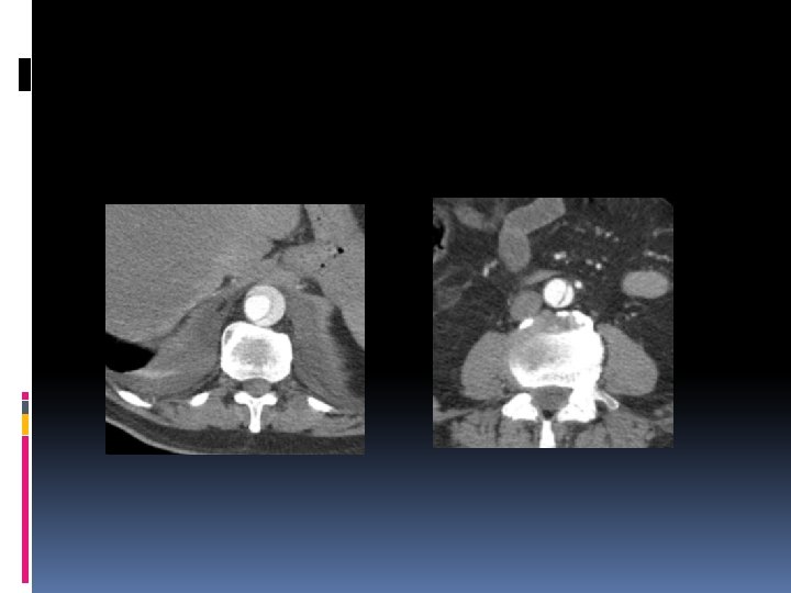
Disección Aórtica Forma más frecuente del SAA. Desgarro intimal en la región de mayor stress hemodinámico. Flujo de sangre pulsátil en contacto con la media Puerta de entrada o flap intimomedial. Diesección anterógrada o retrograda. Diagnóstico: Dos luces, flap intimomedial, identificar la falsa y la verdadera.
De Bakey Tipo I Standford Tipo III Tipo A Tipo III Tipo B Patología iniciada casi siempre en el tórax. Dos clasificaciones Identificar complicaciones.
Técnicas para el diagnóstico Clínica del Paciente Pruebas de imagen Rx de tórax Ecocardiografía ETE (Ecografía Transesofágica) CT de Tórax RM
Técnicas para el diagnóstico Clínica del Paciente Pruebas de imagen Rx de tórax Ecocardiografía ETE CT de Tórax RM
Clínica Tipo A • Dolor Aórtico: • Tórax anterior (85%) • Dorsal Interescapular (46%) • Abdominal (22%) • Síncope 13% • ACV 6% Tipo B • Dolor aórtico: • Interescapular (64%) • Abdominal(43%) • HTA (80%)
Sensibilidad y Especificidad de pruebas diagnósticas en la Disección Aórtica. ETE TC Angiografía RM Sensibilidad (%) 99 83 88 100 Especificidad (%) 98 100 94 100 Valor predictivo positivo (%) 98 100 96 100 Valor Predictivo negativo (%) 99 86 84 100 Los protocolos indican comenzar con ETE siempre que las condiciones físicas del paciente lo permitan y Angio-CT en caso contrario o de duda.
Protocolo de CT Tóraco-abdominal. Basal primero. 120 -150 cc, 3 -5 cc/s. Cortes de 5 mm. Estudio el fase arterial: �Sure star �Delay fijo (25 segundos) Valorar estudios en fase venosa (infarto e isquemia de diferentes órganos) Reconstrucciones VR y MIP
Hallazgos CT principales Flap Intimo-medial. Diferenciación del luz falsa y luz verdadera. Puerta de entrada ( 1 -5 cm superior a válvula aórtica en 65% ). Clasificación del tipo de disección. Oclusión de ramas de la aorta. Isquemia o infarto de órganos.
Diferenciación de luz falsa de verdadera. Luz falsa de >calibre. Calcificaciones de íntima en la luz verdadera. Bordes de ángulo agudo en luz falsa (signo del pico). Presencia de trombos en luz falsa. Flap secundario.
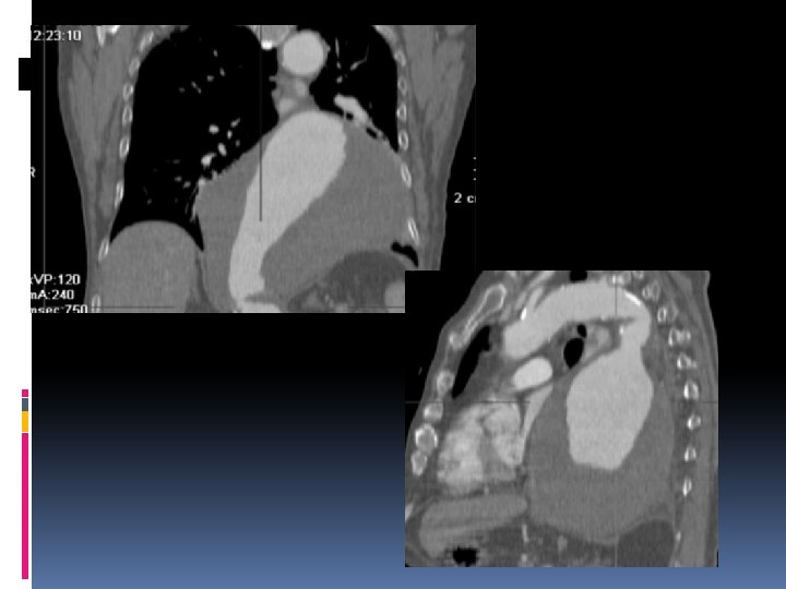
Hematoma Intramural Disección aórtica sin puerta de entrada. Atribuible a rotura de los vasa vasorum. Evolución: reabsorción, disección clásica o ruta arterial.
Hallazgos radiológicos No aporta nada la angiografía. Sangrado fresco en pared de aorta sin C. iv. Desplazamiento de las calcificaciones de la íntima. Trombosis frec. En la luz del hematoma.
Protocolo de CT Estudio basal Tórax o Tórax-Abdomen. 120 -150 cc, 3 -5 cc/s. Cortes de 3 0 5 mm. Estudio en fase arterial: Sure Star Delay Fijo (25 segundos). Estudio tardío. Reconstrucciones MPR y MIP.
Úlcera Arteriosclerótica Penetrante Placa ateroesclerótica que tras una erosión y ulceración inicial rompe la lámina elástica interna y penetra en la capa media. Más frecuente en aorta torácica. Curso clínico impredecible. Progresión hacia DA, pseudoaneurisma…
Hallazgos Radiológicos En CT: úlcera focal que se extiende hacia hematoma subíntimo. Mejor diagnóstico mediante angiografía.
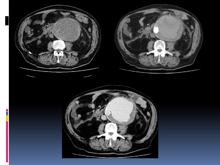
Aneurisma de Aorta Def: Dilatación circunscrita de una arteria que afecta a las tres capas de la pared arterial (íntima , media y adventicia) En el caso de la Aorta > 3 cm. Iliacas >1, 5 cm. Asintomáticas si no hay complicaciones. Riesgo de rotura: <5 cm <5% >6 cm =16% >7 cm =76%
Complicaciones de Aneurisma (Aneurisma sintomático) Rotura de Aneurisma con hematoma retroperitoneal. Signos de rotura inminente, ruptura del trombo. Aneurisma micótico, infección del aneurisma.
Rotura de Aneurisma Abdominal Dolor Abdominal en espalda y flanco izquierdo+ Hipotensión + Masa Abdominal Pulsátil. Pruebas de Imagen: Ecografía (si el paciente no mantiene ls Costantes vitales) Angio-CT
Hallazgos radiológicos Aneurisma habitualmente grande. Solución de continuidad en pared arterial, calcificaciones o trombo. Hematoma periaórtico que se extiende a espacios pararrenal y perirrenal. . Desviación del hematoma hacia lado izdo. Irritación del psoas. Hemorragia activa, extravasación de contraste. Tejido inflamatorio periaórtico.
Protocolo para CT Estudio basal desde xifodes a pubis. Cortes de 5 mm. Estudio en fase arterial: Sure Star Delay Fijo. Estudio en fase venosa o tardío. 120 -150 cc de contraste, 3 -5 cc/s. Valorar administración de contraste bifásica. Reconstrucciones MPR y MIP.
Datos para el informe De urgencia: Definir si hay o no ruptura. Supra o infrarrenal. Diámetro max. del aneurisma. En aneurismas no rotos: Distancia desde las arterias renales al aneurisma. Diametro axial 1 cm superior al aneurisma. Diametros de ambas iliacas. Diametro longitudinal máximo (MPR curvo)
Signos de ruptura inmimente “Signo de la semiluna de hiperatenuación” : Sangre que diseca de forma aguda el trombo intraluminar, se evidencia mejor sin contraste o en fase tardia.
Aneurisma Micótico Infección del trombo intraluminal o de la íntima de origen bacteriano. Secundario a endocarditis. Aspecto lobulado del aneurisma. Estriación inflamatoria de tejidos blando adyacentes. Frec. Osteomielitis de cuerpos vertebrales.