David Kinshuck Associate specialist ophthalmology Good Hope www

  • Slides: 18
Download presentation
David Kinshuck Associate specialist ophthalmology Good Hope & www. diabeticretinopahty. org. uk DIABETIC RETINOPATHY

David Kinshuck Associate specialist ophthalmology Good Hope & www. diabeticretinopahty. org. uk DIABETIC RETINOPATHY IN PREGNANCY

Diabetic retinopathy in pregnancy What is diabetic retinopathy Mechanisms Identification. . screening Treatment Prevention

Diabetic retinopathy in pregnancy What is diabetic retinopathy Mechanisms Identification. . screening Treatment Prevention Where next

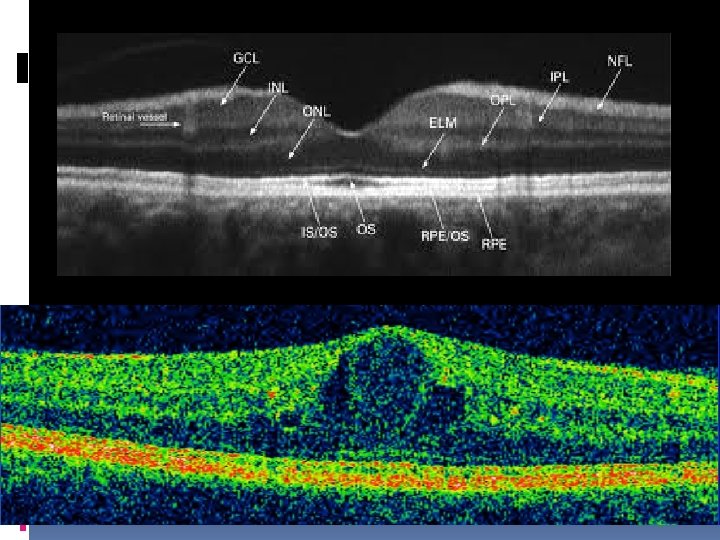
What is diabetic retinopathy

What is diabetic retinopathy

What is diabetic retinopathy

What is diabetic retinopathy

High glucose IGF 1, other growth factors, smoking, blood pressure Capillary leakage & new

High glucose IGF 1, other growth factors, smoking, blood pressure Capillary leakage & new vessel growth Retinal ischaemia

Retinal ischaemia, PREGNANCY, IGF 1, other growth factors, smoking, blood pressure VEGF: vascular endothelial

Retinal ischaemia, PREGNANCY, IGF 1, other growth factors, smoking, blood pressure VEGF: vascular endothelial growth factor Capillary leakage & new vessel growth Loss of central vision Detached retina and blindness

 http: //www. diabeticretinopathy. org. uk/dmre t. html

http: //www. diabeticretinopathy. org. uk/dmre t. html

Screening for diabetic Red free Photographs Selected optometrists Some outpatient clinics

Screening for diabetic Red free Photographs Selected optometrists Some outpatient clinics

Screening for diabetic

Screening for diabetic

Treatment or diabetic retinopathy when pregnant 1. Laser 2. (no anti-VEGF injections) 3. Intravitreal

Treatment or diabetic retinopathy when pregnant 1. Laser 2. (no anti-VEGF injections) 3. Intravitreal steroids (injection into the eye) 4. Controlling glucose, bood pressure, smoking, antioxidants

Laser

Laser

Prevention Nursing support Low Hb. A 1 c Pumps? glucose sensors

Prevention Nursing support Low Hb. A 1 c Pumps? glucose sensors

Lowering Hb. A 1 c quickly Makes the retinopathy worse Have to accept this

Lowering Hb. A 1 c quickly Makes the retinopathy worse Have to accept this

Where next Never let the control get poor Pumps, sensors, Effective nursing support Effective

Where next Never let the control get poor Pumps, sensors, Effective nursing support Effective organisation Much more effective mental health care