Damage Control Orthopedics Case for small group discussion















- Slides: 15
Damage Control Orthopedics Case for small group discussion: General principles AOTrauma External Fixation
Learning objectives • • 2 Describe the indications for damage control orthopedics Describe the advantages of using modular external fixators to save life and limb Describe the techniques to reduce pin complications Realize how to prevent potential complications of the procedures
50 -year-old man, motorcycle accident, sent to emergency department • Initial vital signs: blood pressure (BP) 90/60; heart rate (HR) 120; respiratory rate (RR) 30/min; body temperature (BT) 36. 5°C • Dyspnea, semi-consciousness • Moderate pale conjunctiva • Chest: crepitation both lungs • Abdomen soft, not distend • Right wrist: swelling, deformity, tenderness • Left ring finger: swelling and deformity • Right knee: ballottement, swelling around knee, tenderness, neurovascularly intact • Left leg: swelling, deformity, crepitus, tenderness, neurovascularly intact 3
• After resuscitation, chest x-ray was done • Diagnosis: multiple fracture ribs on both sides with hemopneumothorax of right side • Treatment: implantable cardioverter defibrillator (ICD) was inserted • Vital signs: BP 110/60; HR 100; BT 36. 8°C • Difficulties in spontaneous breathing: on respirator 4
Rx: resuscitation, ICD was inserted Vital signs: BP 110/60; HR 100; BT 50 -year-old man 36. 8°C • Right wrist: swelling, deformity, Difficulties in spontaneous breathing: on respirator tenderness • Left ring finger: swelling and deformity • Right knee: ballottement, swelling, tenderness around the knee • Neurovascularly intact • Left leg: swelling, deformity, crepitus, tenderness, neurovascularly intact 5 What are the next investigations concerning fractures?
Anything needed? Right 6 Left
Do not forget to have x-rays including joint above and below 7
Is there any role of this total body scan in multiple-trauma patient if this facility is available? 8
What will you do for fracture? Right 9 Left
Traction and splint! What next? Right 10 Left
11
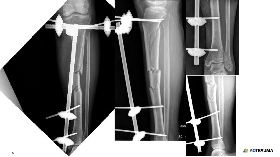
Right 12
13
Take-home messages • • • 14 After resuscitation in multiple-fracture patients, secondary survey is important to have complete diagnosis Screening x-rays in every suspicious area X-ray should include the joint above and below the injured area Monolateral external fixation with modular technique is an effective and fast method to stabilize the fracture of long bones especially lower extremity Simple splint for upper extremity is acceptable in acute management in damage control orthopedics
Take-home messages • • 15 Drilling and application of Schanz pins are vital to reduce pin complication Knowledge of safe zone and anatomy is crucial