Cytologic features Scattered isolated large atypical cells with

  • Slides: 15
Download presentation

Cytologic features • Scattered isolated large atypical cells, with irregular nuclear contours, vesicular chromatin,

Cytologic features • Scattered isolated large atypical cells, with irregular nuclear contours, vesicular chromatin, prominent nucleoli, scant or absent cytoplasm, mitosis, & apoptosis • Inflammatory cells in the background • No squamous or gladular lesions

Differential diagnosis • • Follicular cervicitis/chronic cervicitis Small cell squamous carcinoma Small cell neuroendocrine

Differential diagnosis • • Follicular cervicitis/chronic cervicitis Small cell squamous carcinoma Small cell neuroendocrine carcinoma Endometrial stromal sarcoma Malignant melanoma Adenocarcinoma, primary or metastatic Ewing sarcoma/PNET Hematologic malignancy

Cytokeratin (AE 1/AE 3) Leukocyte common antigen

Cytokeratin (AE 1/AE 3) Leukocyte common antigen

Diagnosis Uterus, cervix, Pap smear: Malignant lymphoma

Diagnosis Uterus, cervix, Pap smear: Malignant lymphoma

Uterus, endometrium, curettage

Uterus, endometrium, curettage

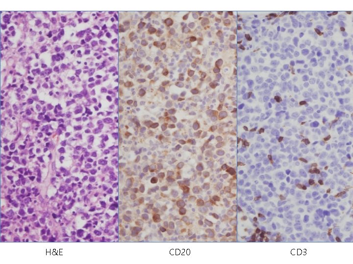
H&E CD 20 CD 3

H&E CD 20 CD 3

Discussion • Less than 1% of extranodal lymphomas arise from gynecologic tract. 7~30% of

Discussion • Less than 1% of extranodal lymphomas arise from gynecologic tract. 7~30% of secondary involvement. • 23~30% sensitivity of conventional Pap smear • More challenging on liquid preparations

Hyperchromatic cells with high N/C ratio on Pap smear 1. Long list of differential

Hyperchromatic cells with high N/C ratio on Pap smear 1. Long list of differential diagnosis benign/reactive, preneoplastic, and neoplastic process 2. Careful systematic evaluation of squamous and glandular elements as well as the background component 3. Correlation with clinical history and radiological findings