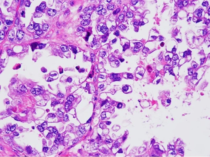
Cytologic features Cohesive cell clusters medium to large



























- Slides: 27
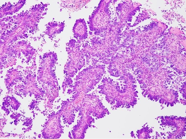
Cytologic features • Cohesive cell clusters • medium to large cytoplasm with occasional pale clear feature • large round nuclei with granular chromatin • occasional distinctive nucleoli • some naked cells • few microcalcification or psammoma bodies
액상자궁경부세포병리검사 P 2013 -17915 MALIGNANCY ADENOCARCINOMA / NOS 액상세포병리검사 – 흉수 P 2013 -18989/90 MALIGNANCY ADENOCARCINOMA
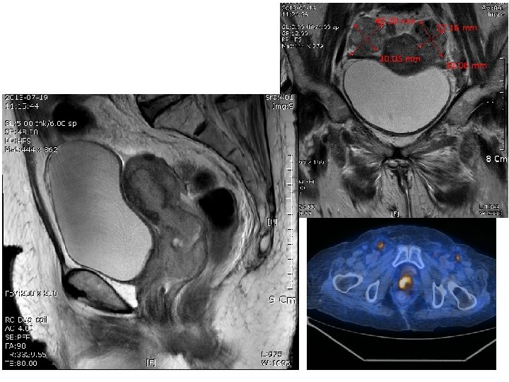
MR Imaging Findings: 1) Tumor visible as hyperintense mass on T 2 WI. 2) Tumor location: Mainly endocervix. 3) Vaginal infiltration : extension to lower one-third of vagina. 4) Uterine corpus invasion : myometrial invasion and both adnexal invasion. 5) Parametrial infiltration : irregular spiculated margin at the right stromal ring, suggesting right parametrial invasion. 7) Extend to bladder : Suspicious invasion of the posteior bladder wall via anterior vaginal fornix 8) Lymph nodes. : Metastatic lymph nodes at the both inguinal areas. 10) Ascites and peritoneal thickening with enhancing : C/W Peritoneal carcinomatosis. 11) 4 x 3 cm sized and 3. 8 x 2. 7 cm sized solid masses at the both ovaries, suggesting ovarian metastases, both. ====== [Conclusion] ====== 1. Cervix cancer, invasion to the lower vagina, right parametrium, uterine corpus, both adnexa and suspicious bladder wall with peritoneal carcinomatosis and metastatic lymphadenopathy at above mentioned sites. 2. Ovarian metastases, both.
CK Vim CD 15 p 16
AFP ER PR
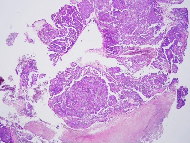
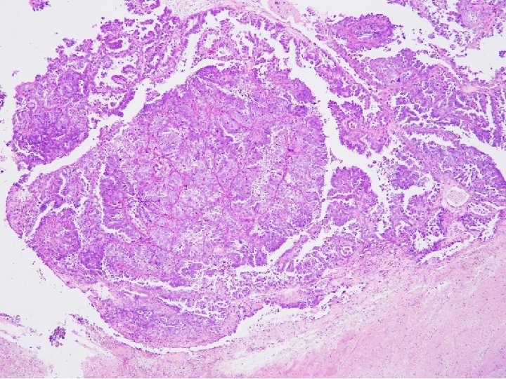
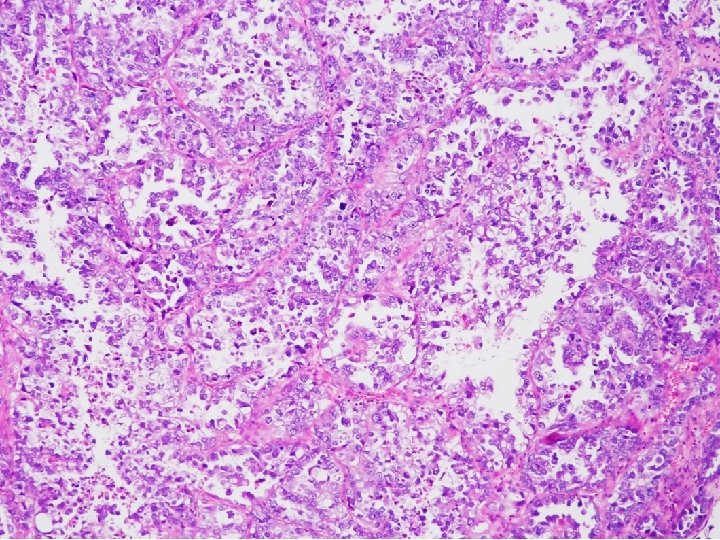
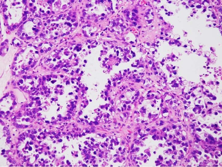
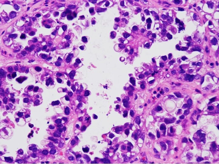
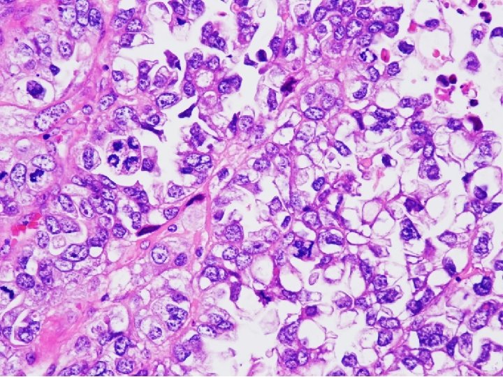
Tissue from uterine cervix, biopsy; Poorly differentiated adenocarcinoma with 1) sheets and papillary features 2) tubulocystic pattern 3) frequent clear cell feature c/w CLEAR CELL CARCINOMA
Origin ? ? • Ovarian clear cell carcinoma, mets ? • Endometrial carcinoma, clear cell feature ? • Serous adenocarcinoma, cervix, clear cell feature ? • Clear cell carcinoma, cervix, unrelated DES exposure ?
Origin ? ? • Ovarian clear cell carcinoma, mets ? • Endometrial carcinoma, clear cell feature ? • Serous adenocarcinoma, cervix, clear cell feature ? • Clear cell carcinoma, cervix, unrelated DES exposure MR Imaging Conclusion? 1. Cervix cancer, invasion to the lower vagina, right parametrium, uterine corpus, both adnexa and suspicious bladder wall with peritoneal carcinomatosis and metastatic lymphadenopathy at above mentioned sites. 2. Ovarian metastases, both.
• Clear cell carcinomas present marked cellular and nuclear pleomorphism; they often have bizarre nuclei and abundant, pale cytoplasm Color Atlas of DDx in Exfoliative and Aspiration Cytopathology, Kini
CYTOPATHOLOGIC FEATURES OF CLEAR CELL CARCINOMA • Arrangement – Cells are isolated, in loosely cohesive groups and in syncytial tissue fragments; hobnail pattern may be present • Cells – Medium to large with poorly defined cell borders; moderate to high N/C ratios; round, polygonal to hobnail type • Nuclei – Large, round, often eccentric, very pleomorphic; coarsely granular to smudgy chromatin; nucleoli are inconsistent; multinucleation • Cytoplasm – Variable, scant to abundant, clear to pale, weakly staining either eosinophilic or cyanophilic • Background – Clean, bloody or inflammatory; naked nuclei Color Atlas of DDx in Exfoliative and Aspiration Cytopathology, Kini
Clear cell carcinoma, cervix • Scully RE, Barlow JF. – "Mesonephroma" of ovary. Tumor of Müllerian nature related to the endometrioid carcinoma. Cancer. 1967 20(9): 1405 -17. • Hasumi K, Ehrmann RL – Clear cell carcinoma of the uterine endocervix with an in situ component. Cancer. 1978 42(5): 2435 -8. – Formerly called (incorrectly) mesonephric carcinoma of cervix actually of mullerian origin without prenatal exposure to DES • 4% of cervical adenocarcinomas; less common in cervix than ovary and endometrium
Clear cell carcinoma of cervix 1. Associated with in utero DES exposure - (women born in 1950’s) - Mean age 17 years, rare < age 12 or > age 30 - Location; involvement of ectocervix - DES related lesions: vaginal adenosis, cervical ectropion, transverse vaginal or cervical ridges 2. Associated without DES exposure - Postmenopausal women (Mean 53 years) - Location: endocervical canal
Is There A Clear Cell Carcinoma IHC Signature? (Ovary) • • • ER-negative (90%) WT 1 -negative (85%) HNF 1 beta- positive (85%) CK 7+/CK 20 - (95%) PAX 8 -positive (85%) P 53 -negative (85%) From USCAP 2011 Dr Teri A. Longacre
TABLE 5. 1 PSAMMOMA BODIES IN CERVICAL/VAGINAL SMEARS • Psammoma Bodies Associated with Benign Diseases – Conditions Associated with Endosalpingiosis of peritoneum, Intrauterine device (IUD) usage, Ovarian inclusion cysts, Ovarian cystadenoma, Endometrial tuberculosis – Younger age group – Psammoma bodies fewer in number – Naked forms frequent : few incorporated in tissue fragments composed of benign glandular epithelium – No discrete or groups of malignant cells in the background – Background clean • Psammoma Bodies Associated with Malignant Diseases – Conditions Associated with Ovarian serous borderline tumors, Ovarian serous adenocarcinoma, Endometrial adenocarcinoma, Endocervical adenocarcinoma, Tubal adenocarcinoma, Serous papillary carcinoma of peritoneum – May be present in clear cell carcinoma (from Dr Teri A. Longacre, USCAP 2011) – Older age group – Psammoma bodies in greater numbers – Naked forms variably present but mostly incorporated in tissue fragments composed of malignant cells – Malignant cells present in the background – Clean to bloody; inflammation +/-; diathesis +/Color Atlas of DDx in Exfoliative and Aspiration Cytopathology, Kini
Origin ? ? • Ovarian clear cell carcinoma, mets ? • Endometrial carcinoma, clear cell feature ? • Serous adenocarcinoma, cervix, clear cell feature ? • Clear cell carcinoma, cervix, unrelated DES exposure ?