Curiosit L Italia stato uno dei primi Paesi































































































- Slides: 95
Curiosità… L’ Italia è stato uno dei primi Paesi a darsi una normativa che regolamentasse il prelievo di organi a scopo di trapianto terapeutico (legge 644 del 1975). Terribilmente ambigua però: considerava la morte finalizzata al prelievo degli organi e non definiva la morte in quanto tale. Si è dovuto attendere più di quindici anni affinché la legge si adeguasse alle conoscenze scientifiche ed identificasse la morte del cervello come la morte dell’individuo.
La politica dei piccoli passi…. . Legge 29 Dicembre 1993, n. 578: Norme per l’accertamento e certificazione della morte Decreto Ministero Sanità 22 Agosto 1994, n. 582 Regolamento recante le modalità per l’accertamento e certificazione della morte Legge 1 Aprile 1999, n. 91 Disposizioni in materia di prelievi e di trapianti di organi e tessuti
Legge 1 Aprile 1999, n. 91 Art. 7 ORGANIZZAZIONE DEI PRELIEVI E DEI TRAPIANTI DI ORGANI E TESSUTI (Principi organizzativi) CENTRO NAZIONALE PER I TRAPIANTI CONSULTA TECNICA PERMANENTE PER I TRAPIANTI CENTRI REGIONALI O INTERREGIONALI PER I TRAPIANTI STRUTTURE PER I PRELIEVI STRUTTURE PER LA CONSERVAZIONE DEI TESSUTI PRELEVATI STRUTTURE PER I TRAPIANTI AZIENDE UNITA’ SANITARIE LOCALI
Direttore Istituto Superiore sanità Direttore Generale Un rappresentante per ciascun Centro Interregionale per i trapianti CENTRO NAZIONALE PER I TRAPIANTI Cura il sistema Informativo delle liste Gestisce le urgenze per i progammi definiti a livello nazionale Definisce parametri tecnici per l’inserimento dei dati Definisce criteri Per il controllo di qualità Definisce linee guida Individua il fabbisogno Nazionale di trapianti e stabilisce la soglia minima annuale di attività per ogni struttura Definisce protocolli per l’assegnazione degli organi Promuove e coordina i Rapporti con le istituzioni estere
Direttore Istituto Superiore di sanità Direttore Generale Centro Nazionale Coordinatori Centri Regionali ed Interregionali Rappresentanti delle Regioni con Centro Interregionale Tre esperti delle Associazioni nazionali Tre clinici esperti in materia di trapianto CONSULTA TECNICA PERMANENTE PER I TRAPIANTI Predispone indirizzi tecnico operativi per lo svolgimento delle attività di prelievo e di trapianto. Svolge attività tecnico consultiva a favore del Centro Nazionale
CENTRI REGIONALI E INTERREGIONALI Istituiti e controllati tra Regioni convenzionate Sede presso una struttura pubblica Si avvalgono di uno o più laboratori di Immunologia Operativamente Coordina le attività di raccolta e trasmissione dati delle persone in attesa di trapianto, rispettando i criteri stabiliti dal Centro Nazionale Coordina le attività di prelievo. i rapporti con i reparti di rianimazione e le strutture per i trapianti, in collaborazione con i coordinatori locali Assicura il controllo sui test immunologici necessari per il trapianto Procede all’assegnazione degli organi applicando i criteri stabiliti dal Centro Nazionle Assicura il controllo sull’esecuzione dei test di compatibilità Immunologica nei territori di competenza Coordina il trasporto di campioni biologici, delle èquipes sanitarie degli organi e dei tessuti nel territorio di competenza Cura i rapporti di collaborazione con autorità sanitarie e associazioni di volontariato
AIRT Associazione Inter. Regionale Trapianti NITp Nord Italian Transplant Program OCST Organizzazione Centro Sud Trapianti
COORDINATORE CENTRI REGIONALI ED INTERREGIONALI Medico che abbia esperienza nel settore dei trapianti Coadiuvato dai responsabili delle strutture per i prelievi, per i trapianti e da un funzionario delle rispettive regioni COORDINATORE LOCALE Medico azienda sanitaria competente - Assicura immediata comunicazione dei dati del donatore al Centro Inter. Regionale ed al Centro Nazionale - Coordina gli atti amministrativi relativi agli interventi di prelievo - Cura i rapporti con le famiglie dei donatori - Organizza attività di informazione e di educazione alla donazione
STRUTTURE PER I PRELIEVI Strutture sanitarie accreditate dotate di rianimazione STRUTTURE PER LA CONSERVAZIONE DEI TESSUTI PRELEVATI Strutture sanitarie pubbliche conservano e distribuiscono i tessuti certificandone idoneità e sicurezza STRUTTURE PER I TRAPIANTI Strutture sanitarie accreditate identificate dalla Regione idonee ad effettuare trapianti di organi e tessuti
ORGANIZZAZIONE DEL TRAPIANTO RENALE PIEMONTE e Valle d’AOSTA Centro di Coordinamento per il Trapianto di organi e tessuti S. C Immunologia dei Trapianti Centro Trapianto Renale “A. Vercellone”. Centro Trapianto Renale Torino Ospedale della Carità. Novara Centro Trapianto Renale Pediatrico Osp. Regina Margherita. Torino 23 Centri di Nefrologia e Dialisi con uno o più Referenti per il trapianto renale
Verbania Aosta Borgomanero Biella Ivrea Novara Cirié Vercelli Rivoli Casale Torino Pediatrico Pinerolo Chieri Asti Alba Ceva Cuneo Alessandria
REGISTRO PIEMONTESE DIALISI E TRAPIANTO (RPDT) 31/12/2003 4186 3010 1176 pazienti in trattamento sostitutivo in trattamento emodialitico 28% in trapianto renale IN LISTA DI ATTESA ATTIVA 26% 314 pazienti residenti 106 non residenti
INCIDENZA ANNUALE NUOVI PAZIENTI UREMICI AVVIATI ALLA DIALISI (per milione di abitanti) 140 588 nuovi pazienti anno Tasso di trapiantabilità pool dialitico piemontese 25% Inchiesta 2004 Centro Coordinamento Trapianti Organi e Tessuti Regione Piemonte Necessità di eseguire 147 trapianti anno per compensare i nuovi ingressi regionali
N° assoluto di PAZIENTI TRAPIANTATI di RENE (01/01/2004 – 31 /12/2004) 169 da cadavere 11 da vivente
CENTRO TRAPIANTO RENALE REFERENTI REGIONALI IMMUNOLOGIA DEI TRAPIANTI
ORGANIZZAZIONE DEL TRAPIANTO RENALE PIEMONTE e Valle d’AOSTA Centro di Coordinamento Regionale per il Trapianto di organi e tessuti (Dir. Prof. G. Segoloni)
S. C. IMMUNOLOGIA DEI TRAPIANTI (Dir. Prof. Antonio Amoroso) Azienda Ospedaliera S. Giovanni di Torino Gestisce la LISTA DI ATTESA UNICA del programma Piemonte e Valle d’Aosta di trapianto renale Sede operativa del Centro Regionale
Verbania Aosta Borgomanero Biella Ivrea Novara Cirié Vercelli Rivoli Casale Torino Pediatrico Pinerolo Chieri Asti Alba Ceva Cuneo Alessandria
Centro Trapianti Renali “A. Vercellone” S. C. U Nefrologia Dialisi e Trapianto (Dir. Prof. G. Segoloni) Azienda Ospedaliera S. Giovanni di Torino 1981 inizio attività, all’attivo 1744 trapianti (30/06/2004) 1998 programma di doppio trapianto renale 1999 iniziato programma trapianto rene-pancreas 2000 programma di prelievo laparoscopico da donatore vivente 2002 attivazione iniziale programma per trapianto di insule pancreatiche Centro Trapianti Renali S. C. U Nefrologia Dialisi e Trapianto (Dir. Prof. P. Stratta) Ospedale della Carità. Novara 1998 inizio attività, all’attivo 301 trapianti (30/06/2004) 2004 programma di doppio trapianto renale
PERCORSO ASSISTENZIALE DEL POTENZIALE CANDIDATO AL TRAPIANTO RENALE
Fase “predialitica” Fase importante di informazione svolta dai Nefrologi curanti Possibilità di trapianto da vivente per l’adulto uremico Possibilità di trapianto da cadavere per uremici diabetici di tipo I, trapianto pediatrico, combinato fegato-rene per ossalosi Fase di immissione e mantenimento in lista di attesa Presa in carico del paziente dal Medico Referente del Centro di appartenenza Dossier clinico protocollare unico inviato al Centro Trapianti Valutazione Idoneità all’immissione in Lista Attiva presso Centro Trapianti Valutazione dossier Valutazione collegiale La valutazione è ripetuta ogni 5 anni oppure 2 anni a seconda dell’età del candidato Il Referente, il Centro Trapianti, l’Immunologia dei trapianti collaborano al mantenimento in lista attiva
Fase di Trapianto Scelta riceventi tramite computer centrale operante presso l’Immunologia dei Trapianti con Algoritmo HLA-correlato non modificabile (Urgenze gestite in valutazione collegiale su indicazione del Referente) Trapianto renale e degenza Dimissione con appoggio ambulatoriale integrato Referente Centro di appartenenza Ambulatorio Centro Trapianti
Fase di Follow-up ambulatoriale Gestione integrata: Ambulatorio del Centro Trapianti Ambulatorio Referenti del Centro di appartenenza Dossier clinico unico
Gestione complicanze intercorrenti Collaborazione tra: Medico Referente, Centro Nefrologico di appartenenza , Centro Trapianti Pertinenza Istituzionale Centro Trapianti -Modificazioni qualitative protocollo immunodepressivo -Procedure di accertamento bioptico -Complicanze urologiche Competenze Centro di appartenenza/Referenti -Gestione generale delle condizioni cliniche -Modificazioni quantitative terapia immunodepressiva -Diagnosi e cura delle complicanze ritenute in grado di gestire -Procedura di immissione in dialisi in caso di cessata funzione Vengono generalmente appoggiate al Centro Trapianti: Gravi infezioni, Complicanze addominali maggiori, Procedure di espianto
N. PAZIENTI IN DIALISI E TRAPIANTATI PER OGNI SINGOLO CENTRO 31/12/2002 Centri Dialisi
DISTRIBUZIONE DEI RICOVERI DEI PAZIENTI CON TRAPIANTO RENALE 68, 7% 3, 5% 27, 8%
IMMUNOBIOLOGIA DEL RIGETTO D’ORGANO HLA DR T 4+ cells HLA A-B Ag T 3 T 4 APC Classe II Ag Classe I T 8+ cells T 3 T 8 B 2 Macrofago IL-2 IL-1 T Helper T Citotossiche
Il riconoscimento solo dell’antigene non è sufficiente ad attivare pienamente i CD 4, occorre un secondo segnale costimolatore che proviene da altre interazioni recettoriali. APC LFA 1 B 7 ICAM-1 CD 28 MHC Classe II ? TCR CD 3 CD 45 CD 40 CD 154 LFA 3 ICAM-1 CD 2 T cell INTERAZIONI COSTIMOLANTI MEGLIO CARATTERIZZATE: - CD 28/B 7 - CD 154/CD 40 Anticorpi monoclonali o agenti “bloccanti questi recettori di superficie a livello ancora sperimentale sono effettivamente immunomodulatori LFA 1
PER UNA BUONA SOPRAVVIVENZA DEL TRAPIANTO RENALE. Riduzione delle crisi di rigetto acuto (attualmente 25% vs 14%) Ripresa diuretica immediata (brevi tempi di ischemia fredda, evitare nefrotossicità) Dose nefronica ottimale Trapianto da vivente (anche da non apparentato? ) Matching HLA ?
SIERO ANTILINFOCITARIO ALG MONOCLONALI OKT 3 STEROIDI SIERO ANTITIMOCITICO ATG DACLIZUMAB BASILIXIMAB AZATIOPRINA CICLOSPORINA MICOFENOLATO TACROLIMUS SIROLIMUS FTY 720 SDZ-RAD
ATG/ALG OKT 3 Target molecolare Effetti molecolari Antigeni multipli o cellule linfoidi Lisi complemento mediata Opsonizzazione e clearance Modif. recettori di superficie Malattia da siero Piastrinopenia Granulocitopenia Lisi complemento mediata Opsonizzazione e clearance Modifiche recettore CD 3 Cytokine release syndrome (febbre cefalea, edema polm) CD 3 T cells DACLIZUMAB BAXILIXIMAB Anticorpi monoclonali umanizzati che bloccano una sub -unità del recettore dell’IL 2 Lunga emivita, rarissimi effetti collaterali. Side effects
Costimolazione APC Stimolo antigenico TCR Recettore interleuchina 2 Ca 2+ Interleuchina 2 Calcineurina attivata NFAT P NFAT STEROIDI Interleukin-2 gene promoter Sintesi purine de novo G 1 S Ciclo cellulare M G 2
ANTICALCINEURINE CICLOSPORINA FK 506 (TACROLIMUS)
Ciclosporina
Costimolazione APC Stimolo antigenico TCR Recettore interleuchina 2 Cy. A Ca 2+ Interleuchina 2 Ciclofillina Calcineurina attivata P NFAT Interleukin-2 gene promoter Sintesi purine de novo G 1 S Ciclo cellulare M G 2
CICLOSPORINA Microemulsione (Neoral) - Maggiore biodisponibilità e stabilità ematica Effetti collaterali: NEFROTOSSICITA’ (anticalcineurina) Irsutismo Ipertrofia gengivale (soprattutto se associata a Calcio antagonisti) Iperuricemia Iperglicemia Ipercolesterolemia Disturbi neurologici (tremori soprattutto) Tendenza ad ipertensione e ritenzione idrosodica Ipomagnesiemia Target trough levels T 2 > 800 ng/ml
CICLOSPORINA Interferenze Farmacologiche Cimetidina Ciprofloxacina Clotrimoxazolo Eritromicina Diltiazem Conazolici Ca-Antagonisti Naringenina Livelli ematici Barbiturici Anticonvulsivanti Rifampicina Isoniazide Induttori enzimatici
FK 506 “ Tacrolimus”
Costimolazione APC Stimolo antigenico TCR Recettore interleuchina 2 FK 506 Ca 2+ Interleuchina 2 FK binding protein Calcineurina attivata P NFAT Interleukin-2 gene promoter Sintesi purine de novo G 1 S Ciclo cellulare M G 2
FK 506 (tacrolimus) Effetti collaterali: NEFROTOSSICITA’ (Anticalcineurina) NEUROTOSSICITA’ IPERGLICEMIA Bassa incidenza di: Iperlipidemia Irsutismo Ipertensione arteriosa
Riassunto complicanze potenziali degli inibitori delle calcineurine Cy. A FK 506 Nefrotossicità +++ Neurotossicità + +++ Intoll. Glucidica + +++ Irsutismo +++ - Ipertensione +++ ++ Iperplasia Gengivale +++ - ++ + Dislipemia
AGENTI ANTIPROLIFERATIVI AZATIOPRINA MICOFENOLATO SIROLIMUS
Costimolazione APC Stimolo antigenico TCR Recettore interleuchina 2 Ca 2+ Interleuchina 2 Calcineurina attivata P NFAT Interleukin-2 gene promoter Sintesi purine de novo G 1 S Ciclo cellulare M G 2
A Z A T I O P R I N A mmmmmmmm mmmmmmmm mmmmmmmm mmmmmmmm mmmmm
AZATIOPRINA Analogo delle purine che inibisce la sintesi del DNA impiegato sin dal 1960. Ricordarsi sempre dell’interazione nefasta sul midollo dell’associazione con l’allopurinolo perché ne aumenta a dismisura l’emivita non essendo in grado di degradarla Principale effetto collaterale: soppressione midollare Curiosità: Esistono demetilatori veloci e lenti dell’azatioprina e questo ne spiega la particolare sensibilità midollare in alcuni individui
MICOFENOLATO MOFETILE
MICOFENOLATO MOFETILE Inibitore altamente selettivo reversibile e non competitivo della inosin monofosfato deidrogenasi (IMPDH). Enzima cruciale nella sintesi de novo della guanosina I linfociti proliferanti sono avidi e completamente dipendenti dalla sintesi de novo della guanosina. Mentre molte altre cellule vivono benissimo sfruttando la sola via di salvataggio I nucleotidi della guanosina sono anche implicati nella glicosilazione delle molecole di adesione linfocitaria e monocitaria. Questo sarebbe il razionale per cui il micofenolato dovrebbe teoricamente ridurre la proliferazione di matrice extracellulare (vedi sclerosi e rigetto cronico)
MICOFENOLATO MOFETILE Dosaggi: max impiegati attualmente 2 g/die, mantenimenti con 1 g/die Effetti collaterali: Gastrolesivo (utile associazione con inibitori pompa protonica) Diarrea (riducendo la dose migliora) Meno frequentemente: leucopenia, epatopatia Possibilità di maggiori infezioni (CMV principalmente) Curiosità: probabilmente inibisce un enzima che è alla base della crescita dello Pneumocistiis Carinii Ricordarsi aggiustamento posologia in IRC (non codificato) Non interferenze con l’allopurinolo
RAPAMICINA “News”
Costimolazione APC Stimolo antigenico TCR RAPAM Ca 2+ FKBP Interleuchina 2 FKBP Calcineurina attivata P NFAT Interleukin-2 gene promoter Recettore interleuchina 2 m. TOR Sintesi purine de novo G 1 S Ciclo cellulare M G 2
RAPAMICINA (Sirolimus) La rapamicina blocca la progressione del ciclo cellulare e non è NEFROTOSSICA La sua attività non si limita alle cellule linfoidi, ma in vitro inibisce la proliferazione di cellule tumorali non linfoidi e dei fibroblasti (a concentrazioni + elevate) Sembrerebbe più razionale il suo impiego in associazione a Ciclosporina che FK 506 vista l’affinità recettoriale Dose in mg (2 -6) mg/die Trough levels variabili (8 -12 ng/ml) ancora in base ai trial
RAPAMICINA (Sirolimus) Studi clinici hanno evidenziato: Associazione Cy. A + Steroide + Rapa max 10% di rigetti acuti Ad un anno lo steroide è praticamente sospeso a tutti i pazienti I pazienti in terapia con steroide e rapamicina presentano ad un anno una migliore funzionalità renale e valori pressori più bassi.
RAPAMICINA (Sirolimus) Effetti collaterali IPERLIPIDEMIA PIASTRINOPENIA ARTRITI (potenziano la CIPS? ) POLMONITI INTERSTIZIALI
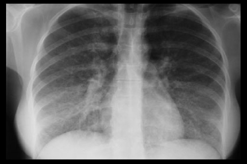
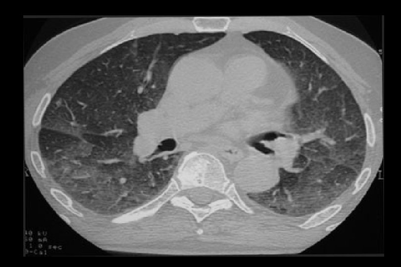
Tempo di comparsa anche superiore a 12 mesi 43 casi descritti in letteratura dal 2000 al 2004 (Pham et al, Transplantation 77, 2004) Dose dipendente? Sintomi Dispnea da sforzo Tosse secca Febbre (50%) Dimagramento Emottisi Strumentali Rx Torace: addensamenti bilaterali Vetro smerigliato TC: Infiltrati alveolo interstiziali Broncoscopia: Alveolite linfocitaria Emorragia polmonare Biopsia: Polmonite organizzata Bronchiolite obliterante
RAPAMICINA (Sirolimus) INTERFERENZE FARMACOLOGICHE CONOSCIUTE Ketoconazolo Diltiazem Neoral FK 506? AUC Barbiturici Rifampicina
SDZ- RAD (Everolimus) Derivato dalla rapamicina con 1/3 di effetto in vitro ma lo stesso effetto in vivo Dovrebbe indurre minor Iperlipidemia
FTY 720 “The Future? ”
FTY 720 Ancora scarse le informazioni ma: Modificherebbe l’ “homing” linfocitario (sequestro di linfociti in organi linfatici secondari, che sopprimerebbe la migrazione verso siti infiammatori o organi trapiantati) Effetto collaterale sinora dimostrato (bradicardia con possibilità di arresto cardiaco) Compresse per os Utilizzato in associazione a Cy. A
Alcune pozioni attualmente in uso
Induzione: Baxiliximab Mantenimento: Ciclosporina + micofenolato + steroide FK 506 + azatioprina + steroide FK 506 + Micofenolato + Steroide Ciclosporina + rapamicina + steroide (poi sospensione Cy. A) Ciclosporina + RAD + steroide per otto giorni Possibili conversioni: Ciclosporina vs FK 506 + sospensione steroide Rapamicina + riduzione dose Cy. A + sospensione steroide Micofenolato + riduzione dose Cy. A + sospensione steroide