Curiculum vitae Nama dr Y Rohedi Yosi Asmara
































































- Slides: 64
Curiculum vitae � � � Nama : dr. Y. Rohedi Yosi Asmara, Sp. An Tempat/Tgl Lahir : Jakarta, 7 Oktober 1977 Agama : Katolik Alamat : Jl. Balai Rakyat 1 no 9, Pondok bamboo, Duren sawit, Jakarta Timur Telepon : 081210175674 E-mail : dryosiasmara@gmail. com
dr. Yosi Asmara Sp. An INTERVENTIONAL PAIN MANAGEMENT
Interventional Pain Management ? ? ?
� Kasus 1 Laki-laki, 60 th, mengeluh nyeri selama 10 tahun di wajah sisi kanan, hilang timbul seperti tersengat listrik. DM (+), HT(+), mendapat terapi carbamazepin dan pregabalin namun nyeri berkurang hanya sedikit. What next? ?
� Kasus 2 wanita 52 th dengan HNP L 4 -5 mengeluh nyeri di punggang bawah menjalar ke kaki kiri selama 1 tahun. DM (+) , HT(+) tidak terkontrol, riw infark miokard 6 bulan yg lalu dengan EF 28%. Menolak untuk dilakukan operasi karena takut akan resikonya. What next?
� Kasus 3 perempuan, 65 th dengan LBP mengeluh nyeri pinggang kanan yg menjalar sekitar pinggang, bokong dan paha kiri. Nyeri tidak mengikuti pola dermatom. Nyeri bertambah pada saat duduk lama dan jika berubah posisi duduk bangun. Terdapat nyeri lokal pada daerah SIPS kiri. MRI tidak didapatkan kelainan bermakna. Mengkonsumsi NSAID namun nyeri tidak hilang. What next?
� Kasus 4 laki-laki, 27 tahun didiagnosis dengan adeno ca recti. Mengeluh nyeri disekitar anal selama 6 bulan. Sudah menjalani operasi dan kemoterapi. Selama ini mendapat terapi morfin oral namun masih mengalami nyeri dan mual muntah.
� Kasus 5 Wanita, 67 tahun, mengeluh nyeri sendi lutut kanan sejak 2 tahun. Di diagnosis osteoarthritis grade 3 dan dianjurkan untuk operasi Total knee replacement namun menolak.
IPM OPERATION
IPM � IPM merupakan prosedur minimal invasif yang mengurangi nyeri dalam jangka panjang/ permanen. � Mengisi gap antara terapi nyeri farmakologi dengan tindakan pembedahan.
IPM � The discipline of medicine devoted to the diagnosis and treatment of pain and related disorders by the application of interventional techniques in managing subacute, chronic, persistent and intractable pain, independently or in conjunction with other modalities of treatments National Uniform Claims Commitee
IPM � Minimally invasive procedures including percutaneous precision needle placement, with placement of drug in targeted areas or ablation of targeted nerves. Medicare Payment Advisory Commision
Mekanisme IPM Obat langsung ke target Koreksi patologi Blok signal neuropati
Kelebihan IPM Minimal invasif Perawatan pendek Dilakukan dengan bius lokal, risiko lebih kecil. � Obat diberikan langsung ke target � Rehabilitasi lebih dini dan efektif � Mengurangi kebutuhan analgetik � Bisa menhindari pembedahan � IPM mengisi gap antara terapi farmakologi dengan pembedahan � � �
Tehnik � Head & Neck - trigeminal ganglion block - sphenopalatine ganglion block - cervical interlaminar/ transforaminal epidural - cervical facet joint block - stellate ganglion block
� Thoracal - thoracic epidural - thoracic facet joint block - suprascapular nerve block - intercostal nerve block - splancnic nerve block - celiac nerve block
� Lumbar - lumbar epidural block - lumbar facet joint block - lumbar symphatetic block - rami communicantes block
� Pelvic & Sacral - caudal epidural block - superior hypogastric plexus block - ganglion impar block - sacroilliac joint block
� Advance - vertebroplasty/ kyphoplasty - spinal cord stimulation
Trigeminal Neuralgia � Nyeri wajah unilateral � Kuat, tajam, “shooting” � Bersifat “serangan” berdurasi pendek � Distribusi saraf trigeminal
Trigeminal Neuralgia � Gasserian ganglian block/ neurolysis
Cluster Headache � Unilateral orbital, supraorbital , temporal � Durasi 15 – 180 menit � Gangguan otonom - injeksi konjungtiva/ lakrimasi - kongesti nasal - edema periorbita - miosis/ ptosis � Frekwensi 1 x tiap dua hari sampai 8 x per hari
� Sphenopalatine neurolysis ganglion block/
Sphenopalatine ganglion block
Sphenopalatine ganglion block
Cervical Facet Joint Pain � Nyer tekan pada leher � Gerak leher terbatas � Nyeri menjalar ke bahu/ oksipital � Kaku otot leher
Facet block
Frozen Shoulder � Nyeri dan kaku pada kapsul sendi bahu � Nyeri gerak aktif dan pasif � X-ray normal
� Suprascapular nerve block
HNP Lumbal � nyeri di pinggang � rasa kesemutan, tebal, atau seperti tersetrum � nyeri menjalar dari pinggang ke telapak kaki � kadang disertai kelemahan otot
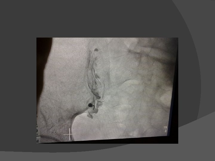
Dorsal root ganglion block/ neurolysis
Sacroilliac Joint Pain � nyeri sekitar bokong � nyeri terutama saat duduk lama � nyeri bertambah jika beraktifitas � nyeri tidak menjalar
SI Joint Block
Osteoarthritis Pain � nyeri pada lutut � nyeri bertambah jika beraktifitas � lutut berbunyi � gangguan gerak aktif dan pasif
Genicular neurolysis
Radiofrequency Generator
C-arm
USG
� Kasus 1 Laki-laki, 60 th, mengeluh nyeri selama 10 tahun di wajah sisi kanan, hilang timbul seperti tersengat listrik. DM (+), HT(+), mendapat terapi carbamazepin dan pregabalin namun nyeri berkurang hanya sedikit. TRIGEMINAL GANGLION RADIOFREQUENCY
� Kasus 2 wanita 52 th dengan HNP L 4 -5 mengeluh nyeri di punggang bawah menjalar ke kaki kiri selama 1 tahun. DM (+) , HT(+) tidak terkontrol, riw infark miokard 6 bulan yg lalu dengan EF 28%. Menolak untuk dilakukan operasi karena takut akan resikonya. PRF DRG L 5
� Kasus 3 perempuan, 65 th dengan LBP mengeluh nyeri pinggang kanan yg menjalar sekitar pinggang, bokong dan paha kiri. Nyeri tidak mengikuti pola dermatom. Nyeri bertambah pada saat duduk lama dan jika berubah posisi duduk bangun. Terdapat nyeri lokal pada daerah SIPS kiri. MRI tidak didapatkan kelainan bermakna. Mengkonsumsi NSAID namun nyeri tidak hilang. SI joint diagnostic block dan RF palisade bipolar
� Kasus 4 laki-laki, 27 tahun didiagnosis dengan adeno ca recti. Mengeluh nyeri disekitar anal selama 6 bulan. Sudah menjalani operasi dan kemoterapi. Selama ini mendapat terapi morfin oral namun masih mengalami nyeri dan mual muntah. Ganglion Impar neurolisis
� Kasus 5 Wanita, 67 tahun, mengeluh nyeri sendi lutut kanan sejak 2 tahun. Di diagnosis osteoarthritis grade 3 dan dianjurkan untuk operasi Total knee replacement namun menolak. Genicular nerve neurolysis
TERIMA KASIH