CTO Wire Snaring Externalization and More Patrick L

  • Slides: 39
Download presentation
CTO: Wire Snaring, Externalization, and More Patrick L. Whitlow, MD Director, Interventional Cardiology Cleveland

CTO: Wire Snaring, Externalization, and More Patrick L. Whitlow, MD Director, Interventional Cardiology Cleveland Clinic

Disclosure of Financial Interests • Research support : Abbott Vascular, Edwards Life. Sciences •

Disclosure of Financial Interests • Research support : Abbott Vascular, Edwards Life. Sciences • Consultant: ICON, Frantz Medical • Stockholder: Medtronics, Inc.

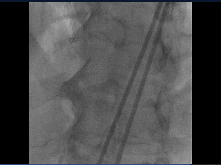
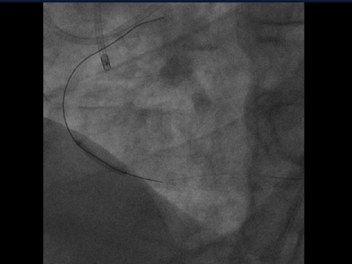
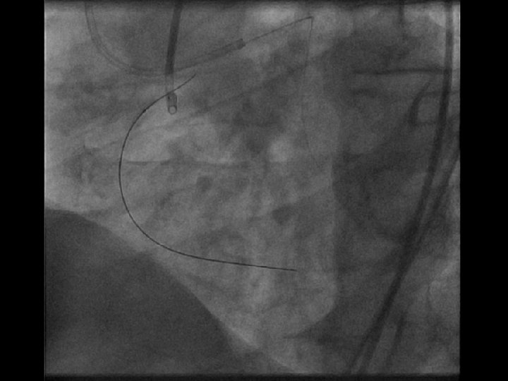
When Do You Need to Snare or Externalize a Wire ? • In a

When Do You Need to Snare or Externalize a Wire ? • In a Retrograde Crossing Case when the Wire and/or Support Device Reach the Ostium of the Occluded Artery, you can: 1. Directly Dilate Retrograde, then cross ante. 2. Steer the wire into the guide and use a trapping balloon to improve support 3. Position the support device in the guide and externalize a long wire 4. Snare the wire and Externalize

When Do You Need to Snare or Externalize a Wire ? • In a

When Do You Need to Snare or Externalize a Wire ? • In a Retrograde Crossing Case when the Wire and/or Support Device Reach the Ostium of the Occluded Artery, you can: 1. Directly Dilate Retrograde, then change 2. Steer the wire into the guide and use a trapping balloon to improve support 3. Position the support device in the guide and externalize a long wire 4. Snare the wire and Externalize

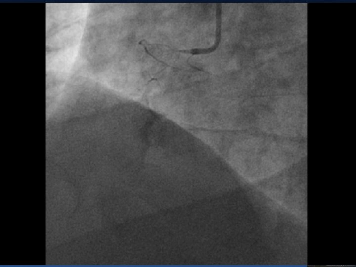
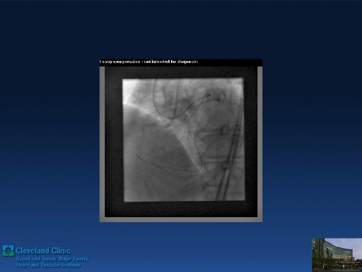
Direct Retrograde Crossing Via LAD Septal route Retro wire: Fielder FC® over the 2.

Direct Retrograde Crossing Via LAD Septal route Retro wire: Fielder FC® over the 2. 5 mm OTW Balloon

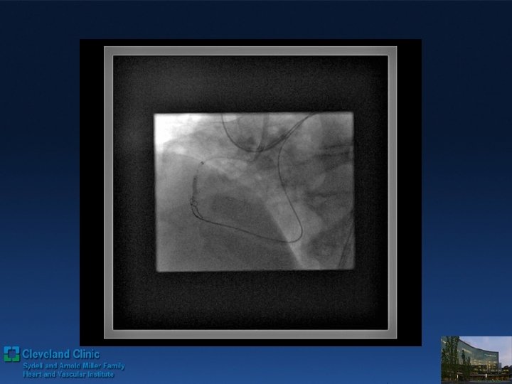
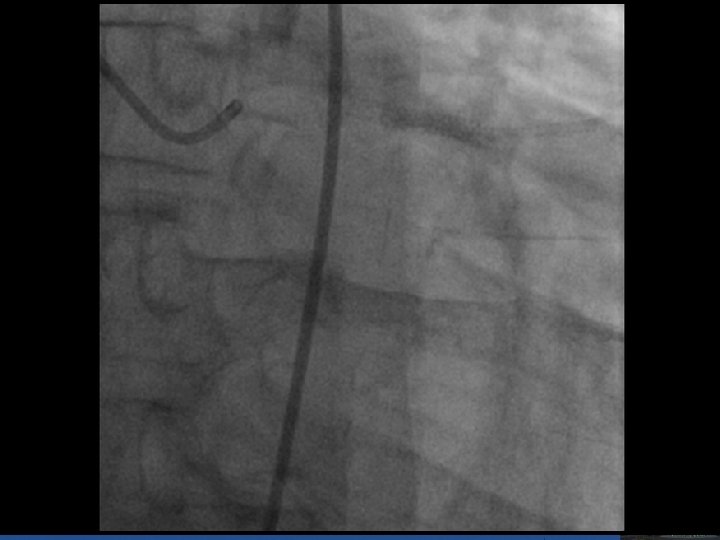
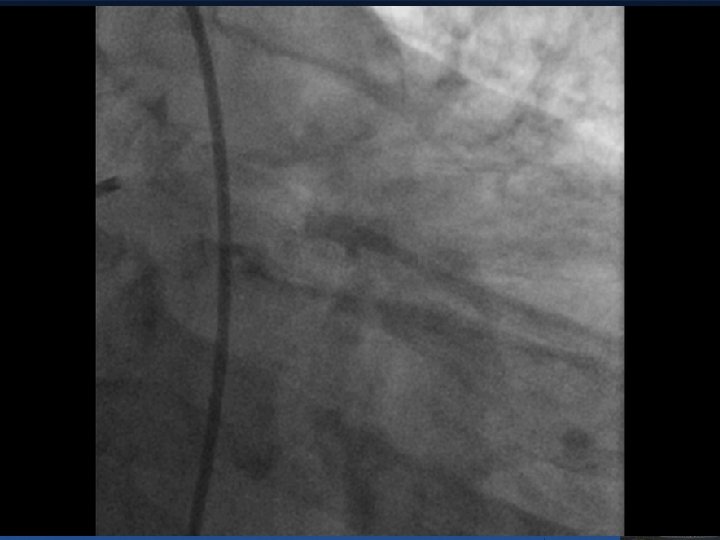
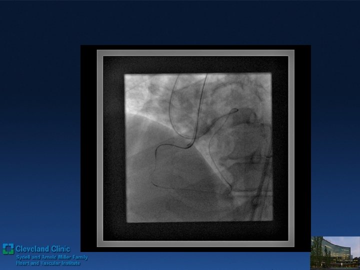
Direct Retrograde Crossing Retro grade wiring with wire trapping inside of ante grade Guide

Direct Retrograde Crossing Retro grade wiring with wire trapping inside of ante grade Guide 3 DES deployed

When Do You Need to Snare or Externalize a Wire ? • In a

When Do You Need to Snare or Externalize a Wire ? • In a Retrograde Crossing Case when the Wire and/or Support Device Reach the Ostium of the Occluded Artery, you can: 1. Directly Dilate Retrograde, then change 2. Steer the wire into the guide and use a trapping balloon to improve support 3. Position the support device in the guide and externalize a long wire 4. Snare the wire and Externalize

When Do You Need to Snare or Externalize a Wire ? • In a

When Do You Need to Snare or Externalize a Wire ? • In a Retrograde Crossing Case when the Wire and/or Support Device Reach the Ostium of the Occluded Artery, you can: 1. Directly Dilate Retrograde, then change 2. Steer the wire into the guide and use a trapping balloon to improve support 3. Position the support device in the guide and externalize a long wire 4. Snare the wire and Externalize