CTO Equipment Tony J De Martini MD Prairie









































- Slides: 41
CTO Equipment Tony J. De. Martini, MD Prairie Cardiovascular Consultants Springfield, IL, USA
Tony J. De. Martini, MD Honoraria: Bridge. Point, Boston Scientific Corporation Off-Label: May discuss wires and other gear used for CTO that is not FDA approved.
• • Sheaths Guides Support Catheters Wires Crossing Catheters Guide Support Systems Snares
Sheaths • 45 cm 8 French long sheaths for femoral access
Guides • XB or EBU guides in the left system – Avoid side hole guides to prevent “false sense of security” regarding impaired flow • XBRCA or AL guides in the right system – Use side hole guides to prevent aortic dissection with injections especially with proximal and/or ostial disease
Support Catheters • Balloon Catheters • Non-Balloon Catheters • Crossboss
Wires • • • Fielder XT Fielder FC Confienza Pro 12 Pilot 200 Sion Externalization wires
Fielder XT • Soft jacketed wire with 0. 009” diameter tip and 0. 014 shaft with 1. 2 gram tip deflection • Used for antegrade probing and “knuckle” technique – 30 second wire antegrade – Generally “knuckles” at transition point
Fielder FC • Soft jacketed wire with 0. 014” diameter tip with 1. 6 gram tip deflection • Used for retrograde wiring of septal and epicardial channels – Provides excellent tactile feedback and response – Will often advance through collaterals with minimal operator interaction – Collaterals will push the wire back out if not monitored closely
Confienza Pro 12 • Stiff wire with 0. 009” diameter tip and 0. 014” shaft with 12. 4 gram tip deflection • Hydrophilic • Used for wire escalation in antegrade approach and for reentry either antegrade or retrograde • Dangerous wire that should be exchanged after the intended task is complete
Pilot 200 • Hydrophilic wire with 0. 014” tip and shaft • Has 4. 1 gram tip deflection • Used for “knuckle” technique in both antegrade and retrograde approach • Provides more force than Fielder XT when doing “knuckle” technique • Also provides controllable wire for probing
Sion • Soft non-jacketed wire • Used for retrograde crossing • Performs exceeding well in tortuous anatomy
Crossing/Reentry Catheters • Crossboss/Stingray • Tornus • Corsair
Crossboss/Stingray • Crossboss – Highly torqueable coil wired shaft – Atraumatic tip rarely exits vessel – True lumen or adventitial CTO crossing
Crossboss/Stingray • Stingray balloon – Flat balloon that is self orienting – 3 ports [(lumenal (green), adventitial (red) and end hole (blue)]
Tornus • • Braided stainless steel catheter Tapered threaded tip Available in 2. 1 and 2. 6 mm Counterclockwise rotation to advance
Corsair ① 0. 86 mm (2. 6 Fr) ② 0. 82 mm (2. 5 Fr) ③ 0. 86 mm (2. 6 Fr) Marker coil Polyurethane resin + Tungsten powder Tungsten braiding Available in 135 and 150 mm lengths. Can use 135 cm for antegrade cases.
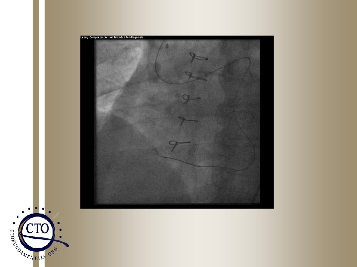
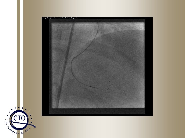
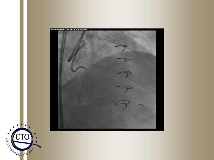
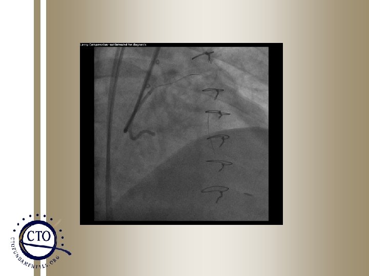
Guide Support • Guideliner
Guideliner assisted Reverse CART
Snares • Ensnare – Usually 27 mm or 30 mm snares – Wire brought retrograde into aorta and snare used to bring wire into antegrade system and then externalize
Thank you