CT Chest and Abdomen for Beginners Arcot Chandrasekhar
CT Chest and Abdomen for Beginners Arcot Chandrasekhar, M. D. Hema Chandrasekhar, M. D.
Recommended way to use presentation: • Use it as a slide show. • Decide on one structure and follow the sequence, example aorta. • Next attempt to see its relationship to other structures. • Study it multiple times until you are comfortable in identifying each structure. • When in doubt, follow the structure above and below and it will become evident.
Exercises: First go through the entire sequence. 1. Follow axillary vein to superior vena cava entering right atrium. 2. Follow iliac veins to inferior vena cava entering right atrium. 3. Follow splenic vein to portal vein. 4. Follow aorta originating from LV to bifurcation to common iliac arteries. 5. Follow esophagus to rectum. 6. Follow trachea to RUL bronchus. 7. Follow SVC to RA to RV to main pulmonary artery and branches. 8. Focus on one structure and use the pg up/pg down option to follow it.
At the level of Contrast is injected in the right antecubital vein. Follow the contrast in the next few slides. Trachea Contrast in axillary vein Thyroid cartilage
Humerus Cervical spine Clavicle Scapula
Pectoralis major AC joint Supraspinatus
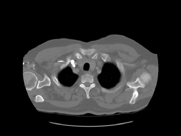
Thyroid Gland Thyroid gland First rib
First rib
Apex of lung
Rt common carotid artery Medial end of clavicle Rt subclavian artery Left
The subclavian vein joins the internal jugular vein to form the brachiocephalic vein behind the medial end of clavicle. Subclavian vein Right
Left common carotid artery Left subclavian artery
The brachiocephalic vein is also called the innominate vein.
Sternum
Because contrast was injected on the right side there is no visible contrast in left brachiocephalic vein. Left brachiocephalic vein Innominate vein
Brachiocephalic artery Left
A: Brachiocephalic artery B: Left common carotid artery C: Left subclavian artery A B C
See how the left brachiocephalic vein is joining the right brachiocephalic vein to become the superior vena cava.
Contrast in the right brachiocephalic vein has been diluted by blood from the left brachiocephalic vein as they combine to form the SVC.
Arch Aortic ofarch aorta SVC
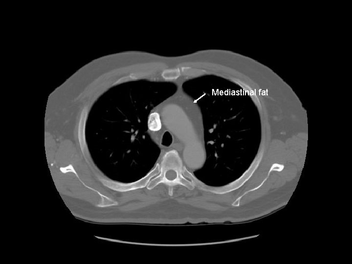
Mediastinal fat
Scapula
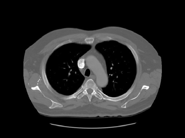
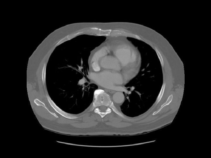
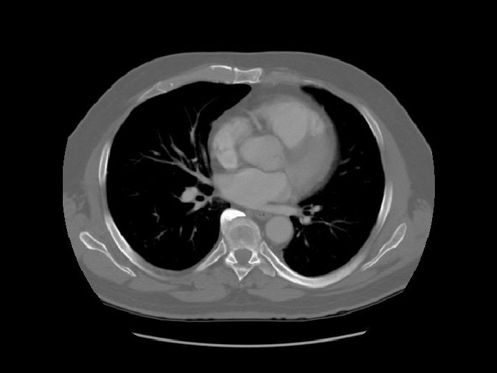
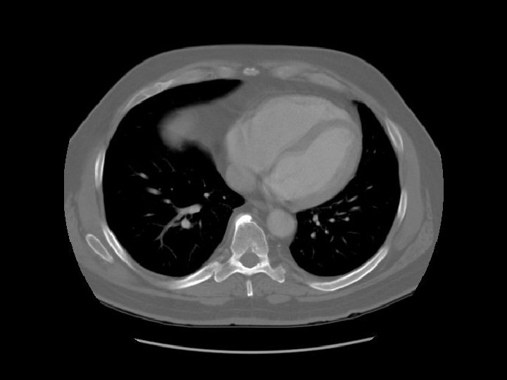
Ascending aorta Main pulmonary artery Descending aorta
Contrast in SVC is diluted by blood from the azygous vein. Esophagus Azygous vein
Left pulmonary artery Carina
Right pulmonary artery Main pulmonary artery RUL bronchus Left pulmonary artery
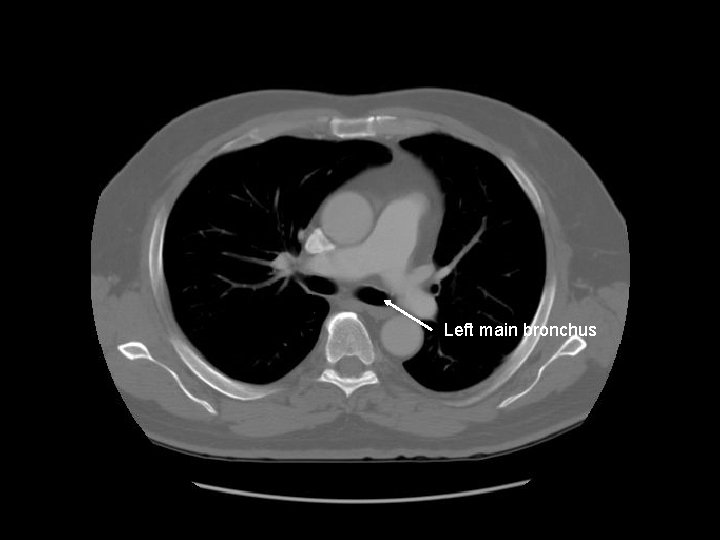
Left main bronchus
SVC Intermediate bronchus LUL division
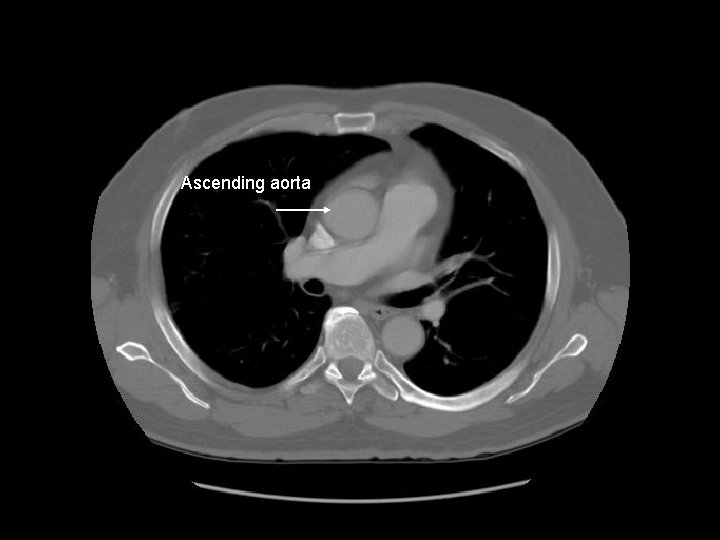
Ascending aorta
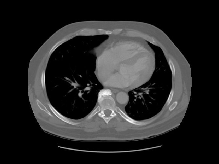
Rt atrium
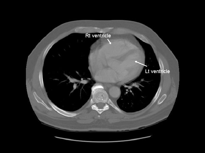
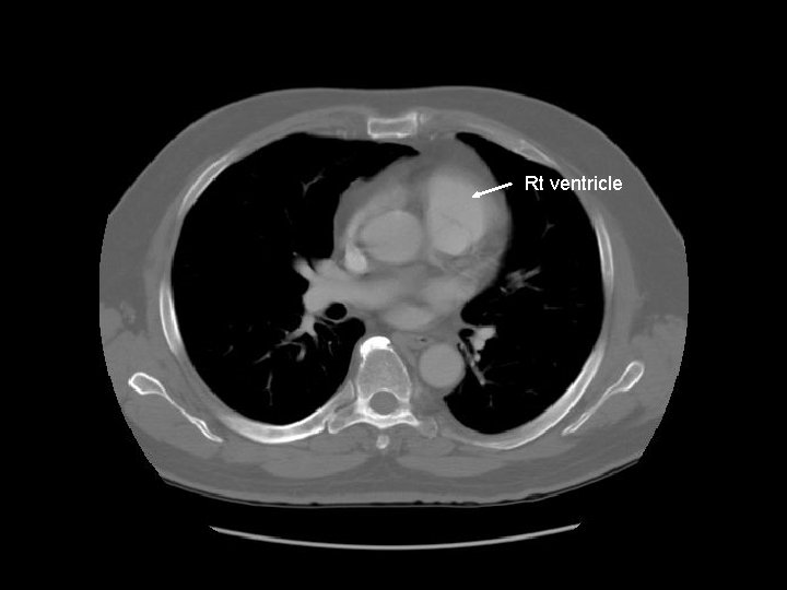
Rt ventricle
Pulmonary vein Lt atrium
A: Aortic root RV RA A LV LA
Aortic valve
Rt ventricle Lt ventricle
Interventricular septum
Osteophyte
IVC
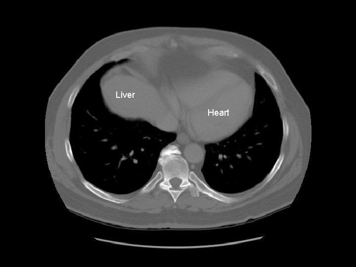
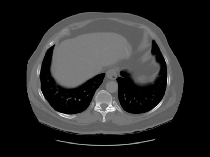
Liver Heart
Stomach GE junction Esophagus
Stomach Liver Spleen
Lt lobe Rt lobe
Fissure for ligamentum teres Fissure for ligamentum venosum
Caudate lobe Diaphragm
Caudate lobe Diaphragm
Portal vein
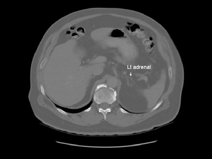
Lt adrenal
Portal vein Rt adrenal
Surgical clips in gallbladder fossa.
Coeliac trunk
Pancreas Splenic vein The splenic vein lies in the posterior pancreatic grove and joins the superior mesenteric vein to form the portal vein.
Pancreas Duodenal bulb IVC Rt renal artery The right renal artery is retrocaval.
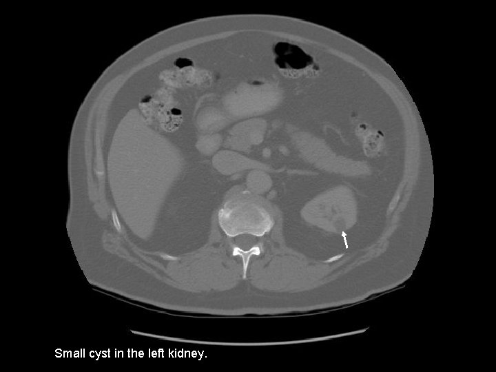
Small cyst in the left kidney.
Lt renal vein IVC Left renal vein emptying into the IVC.
Transverse colon Ileum
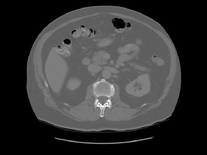
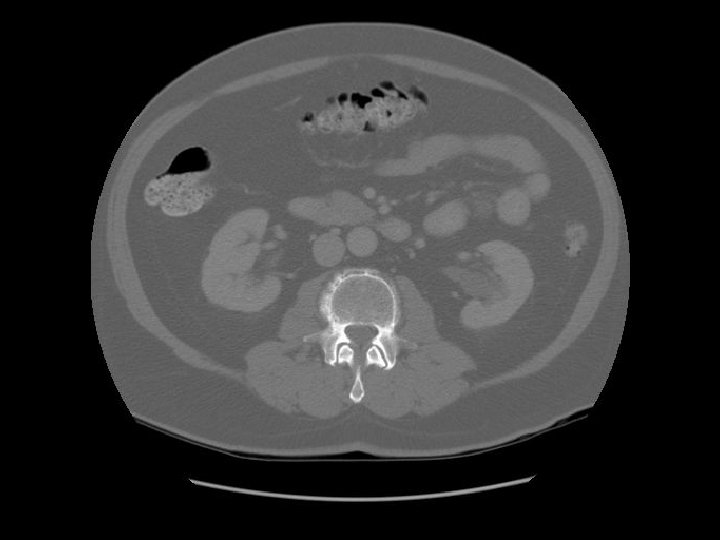
Kidney Right Kidney
Descending colon Right
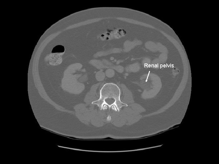
Renal pelvis
Ascending colon Right colon with fecal material.
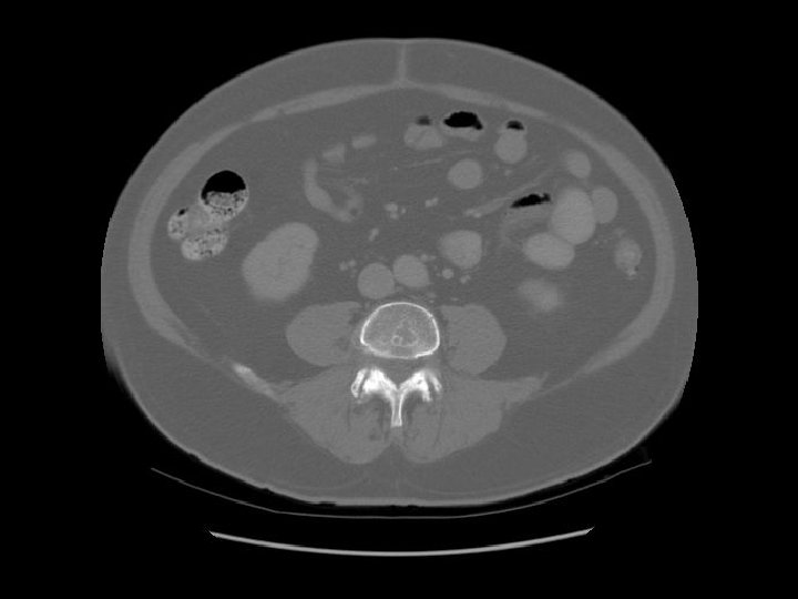
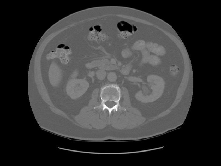
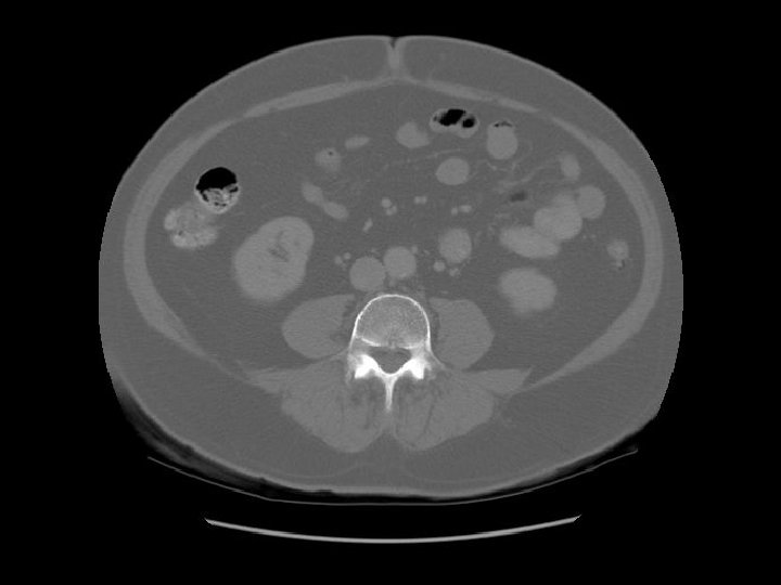
Abdominal aorta about to bifurcate.
Psoas
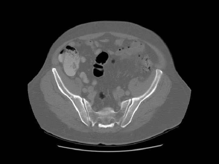
Rt common iliac artery IVC Lt common iliac artery
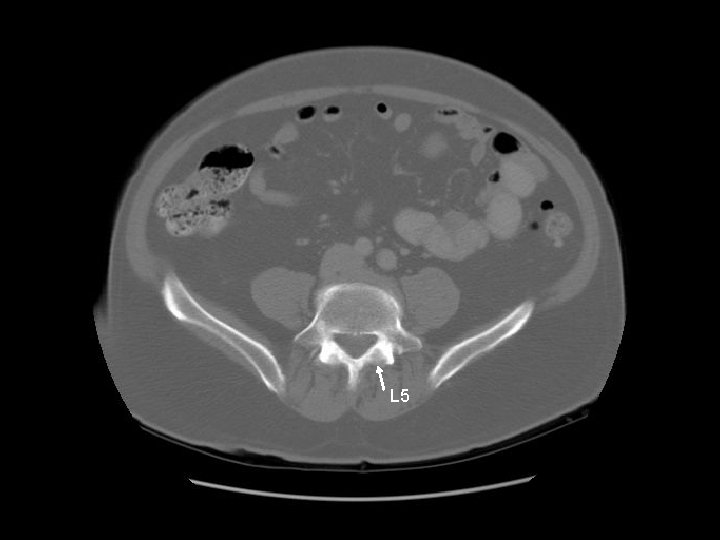
L 5
Arrows are pointing to the common iliac veins joining to form the IVC. Left
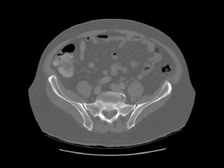
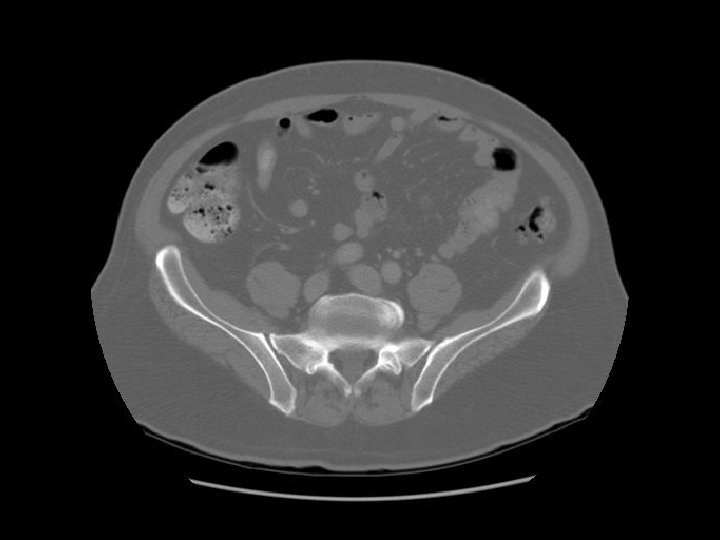
Ilium Sacrum
Arrows are pointing to the internal and external iliac veins joining to form the common iliac vein.
Ilium Sacrum
Rectosigmoid Sacroiliac joint
Diverticula in recto sigmoid Rectosigmoid
Arrows are pointing to air filled diverticulum and the second one is filled with residual barium from an old GI study.
Gluteus
Bladder Seminal vesicle Rectum
Femoral artery Femoral vein
Bladder Prostate Rectum
Femoral head Acetabulum
Feces in the rectum
Pubic symphysis
Ischiorectal fossa
Shaft of penis
Femur
- Slides: 126