Cryptogenic organizing pneumonia COP Findings patchy airspace consolidation







































































- Slides: 71
Cryptogenic organizing pneumonia (COP) • Findings: – patchy air-space consolidation in a predominantly peripheral and subpleural distribution • Unknown cause, assoc/w – connective tissue d/o – cocaine/drugs – HIV – MDS • ddx: – Chronic esosinophilic pneumonia – diffuse alveolar hemorrhage
Lymphangioleiomyamatosis (LAM) • Findings: – hyperinflation with a reticular-nodular pattern – multiple thin-walled cysts • Rare dx of young women • present w/SOB, ptx, and chylous effusion • progressively fatal • ddx: – eosinophilic granuloma
Left hydropneumothorax • Findings: – left pnuemothorax – left pleural effusion (possibly blood) • causes: – penetrating trauma – iatrogenic – bronchopleural fistula
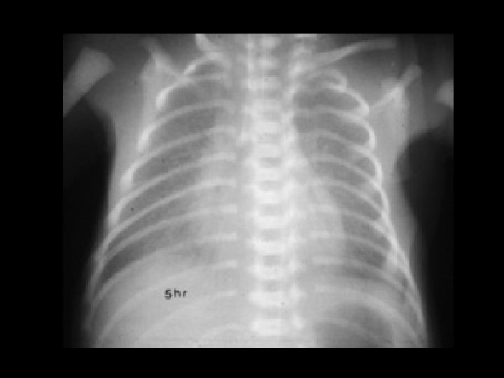
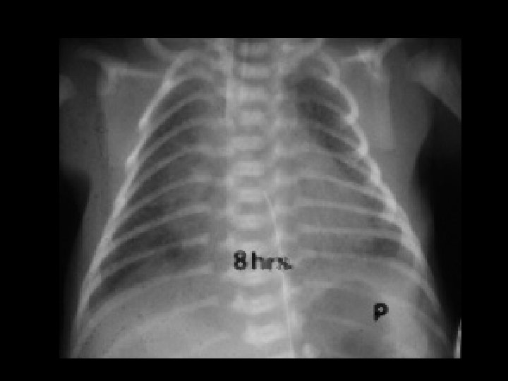
Hyaline Membrane Disease (HMD) • Findings: – symmetric, homogeneous “ground glass” appearance – air-bronchograms – decreased lung volumes • Pre-term infants with sufactant deficiency • generalized capillary leak • ddx: – neonatal pneumonia – transient tachypnea of the newborn – meconium aspiration
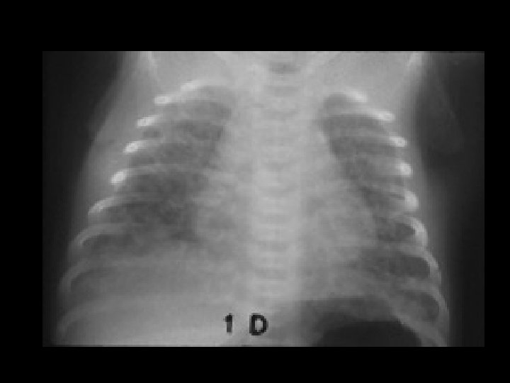
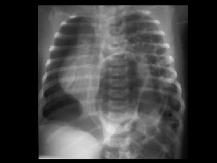
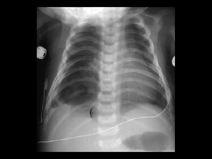
Neonatal Pneumonia • Findings: – diffuse bilateral granular opacities – normal lung volumes • Assoc/w PROM, mom (+) • Can lead to septicemia, shock, and death quickly • Classically Group B Strep • ddx: – TTN – HMD – meconium aspiration
Meconium Aspiration • Findings: – coarse and patchy densities with areas of overinflation and peripheral air-trapping • Normal fetuses with prepartum distress and hypoxemia release meconium and aspirate it • ddx: – HMD – neonatal pneumonia – TTN
Congenital Diaphragmatic Hernia (CHD) • Findings: – multiseptated cystic mass in the left chest causing mediastinal shift • Congenital failure of diaphragm to close • Most common is left Bochdaleck (posterior) • Ipsilateral pulmonary hypoplasia • ddx: – CCAM
Erythroblastosis Fetalis • Findings: – anasarca, cardiomegaly, ascites, effusion • a. k. a. Immune hydrops fetalis or hemolytic disease of the newborn • maternal Ab enter fetal circulation and destroy RBCs causing anemia • infant is edematous, icteric, and hypotonic • ddx: – non-immune hyrdops
Congenital Lobar Empysema • Findings: – Progressive overdistention of a lobe that compresses the adjacent lobes and causes mediastinal shift • Due to congenital alveolar overgrowth or intrinsic airway obstruction • Can begin as opaque mass • Usually one lobe involved: – LUL (43%), RML (32%), RUL (20%) – rarely seen in lower lobes
Pulmonary Hypoplasia • • • Findings: – hypoplastic lungs – narrow, constricted chest – short, dysplastic ribs Complicated by spontaneous pneumothorax and pneumomediastinum ddx: – Oligohydramnios – Asphyxiating thoracic dystrophy (Jeunes Syndrome) – Achondrogenesis – Achondroplasia – Osteogenesis Imperfecta – Thanatophoric Dwarfism – Hypophosphatasia
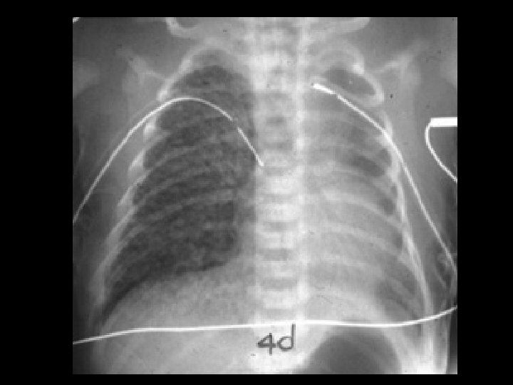
Pulmonary Interstitial Emphysema (PIE) • Findings: – unilateral hyperinflation causing mediastinal shift – small distinct cyst-like lucencies distributed uniformly • Complication of mechanical ventilation in neonates with respiratory distress • Extra-aveolar interstitial air can compromise ventilation and perfusion • Frequently complicated by pneumothorax and pneumomediastinum
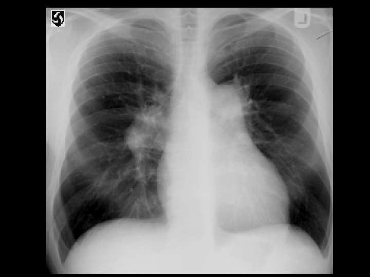
Tetralogy of Fallot • Findings: – elevation of the cardiac apex (RVH) – prominent right-sided arch, concave main PA – decreased pulmonary flow • Most common congenital cyanotic heart lesion • age of symptom onset related to degree of RV outflow obstruction • associated w/trisomy 21, TEF, and VACTERL
Marfan’s Syndrome • Findings: – cardiomegaly – dilated aortic root – dilated LV • Connective tissue disorder – ectopia lentis – aortic root aneurysm – aortic insufficientcy – arachnodactyly – joint laxity – pectus deformity • High incidence of ascending aortic dissections
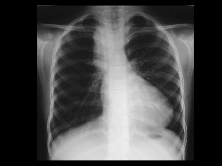
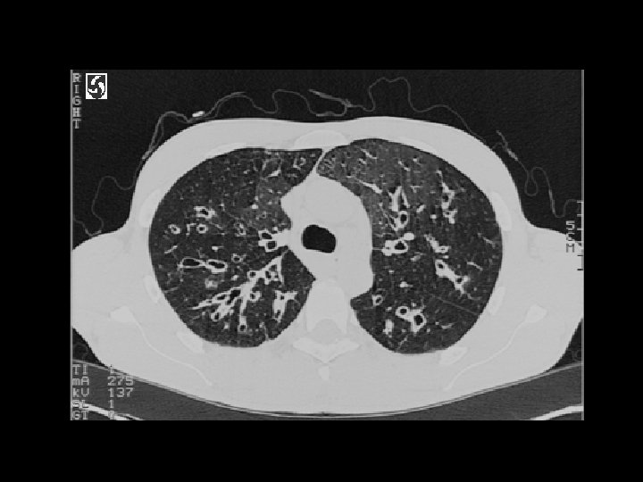
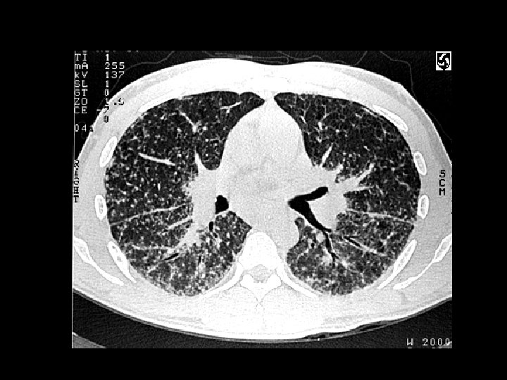
Cystic fibrosis • Findings: – Diffuse bronchiectasis – hyperinflation – mild enlargement of central pulmonary arteries • ddx: – Immotile ciliary syndrome – immunodeficinecy & chronic infections
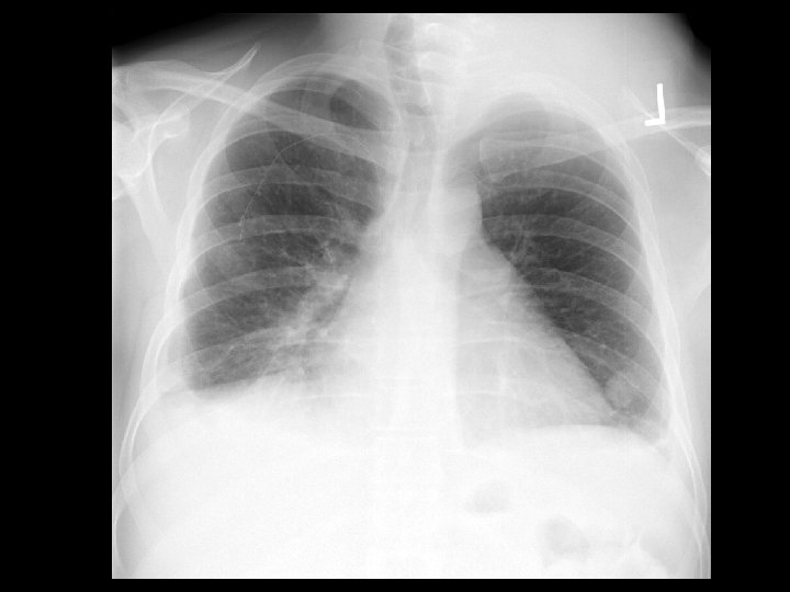
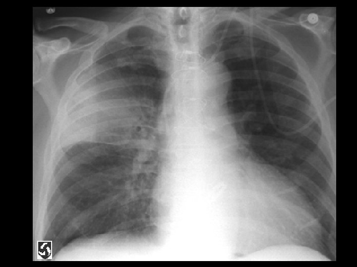
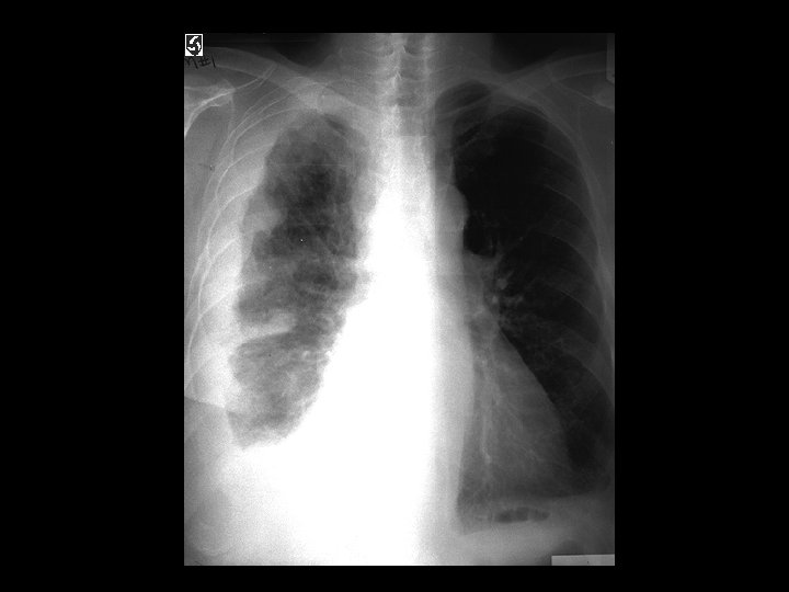
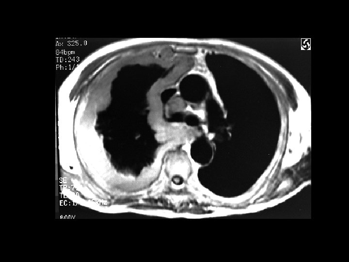
Metastatic breast Ca & right phrenic nerve palsy • Findings: – apparent elevation of right lung base – filling-in of retrosternal clear space = anterior mediastinal mass – CT is diagnositic • causes: – breast – lymphoma – melanoma
Type A aortic dissection • Findings: – Bilateral pleural effusions – CT is diagnostic • ddx: – NONE! – This is an Aunt Minnie!
Metastatic germ cell tumor • Findings: – left neck soft tissue mass – pulmonary nodules – large retroperitoneal mass with speckled calcifications • ddx: – lymphoma
Septic pulmonary emboli • Findings: – LUL opacity – CT halo sign • ddx: – bronchogenic Ca – metastasis
CCAM type I • • Findings: – cystic structure in RML w/ air-fluid levels – leftward mediastinal shift – newborn Pulmonary hamartoma Types – I: one or more large cysts w/multiple smaller cysts – II: numereous small (1 mm 1 cm cysts) – III: solid mass w/o gross cyst formation ddx: – congenital diaphragmatic hernia
Invasive aspergillosis • Findings: – wedge-shaped RUL opacity – “air-crescent sign” • ddx: – pneumonia – infarction – lymphoma – BAC
Malignant mesothelia • Findings: – nodular encasement of the right lung • ddx: – metastases • breast • thymoma
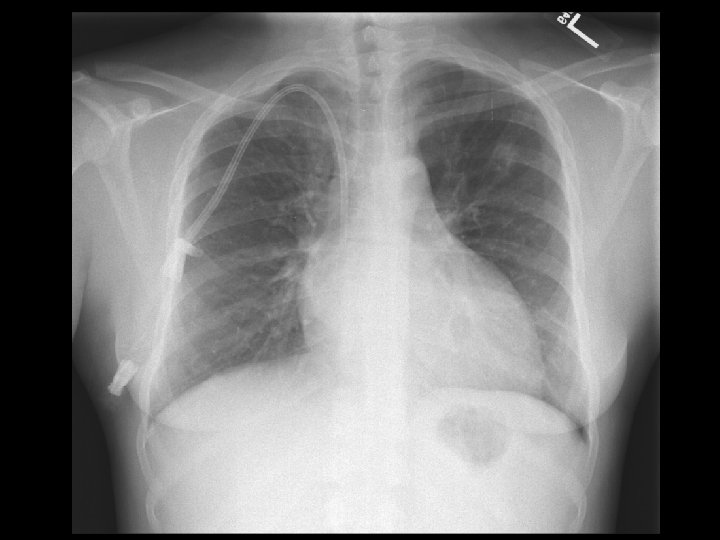
Venous air embolus • Findings: – gas-fluid level in the left brachiocephalic vein • ddx: – NONE! – This is an Aunt Minnie!
Pleural plaque & rounded atelectasis • Findings: – pleural plaque along the diaphragmatic dome – whorled appearance of adjacent parenchyma and vessels = “coment tail” • ddx: – bronchogenic Ca
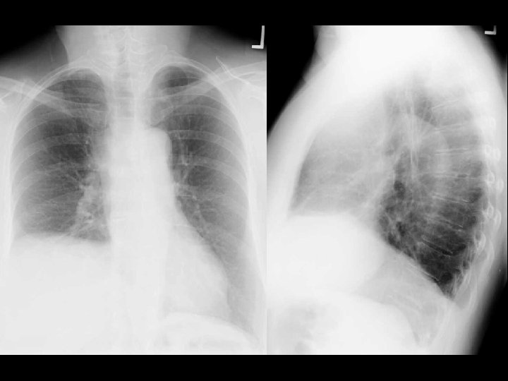
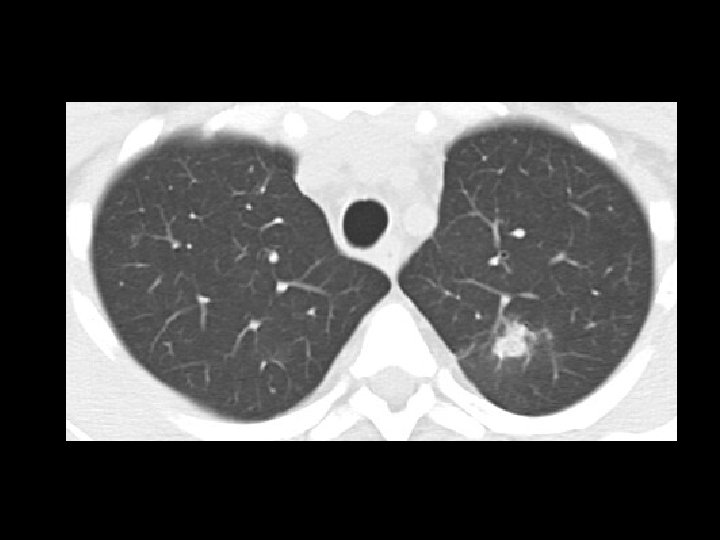
Tuberculosis • Findings: – focal nodular opacities in a wedge-shaped distribution • ddx: – fungal pneumonia
Primary pulmonary hypertension • Findings: – Enlarged pulmonary arteries – pruning of peripheral vessels – clear lungs • ddx: – chronic pulmonary emboli – chronic lung disease – phen-phen
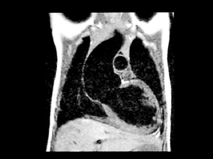
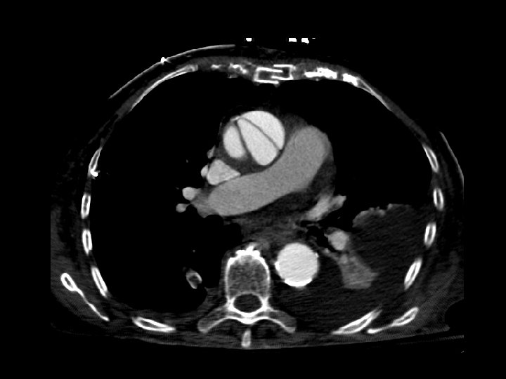
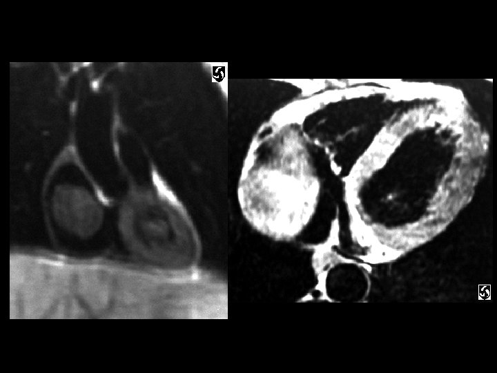
Rhabdomyoma • Findings: – right atrial mass with partial obstruction of the inferior vena cava • ddx: – myxoma – lipoma – angiosarcoma
Sarcoidosis • Findings: – diffuse centrilobular nodules – nodular thickening of the interlobular septa – lymphadenopathy = “Garland’s triad” • ddx: – lymphangitic carcinoma
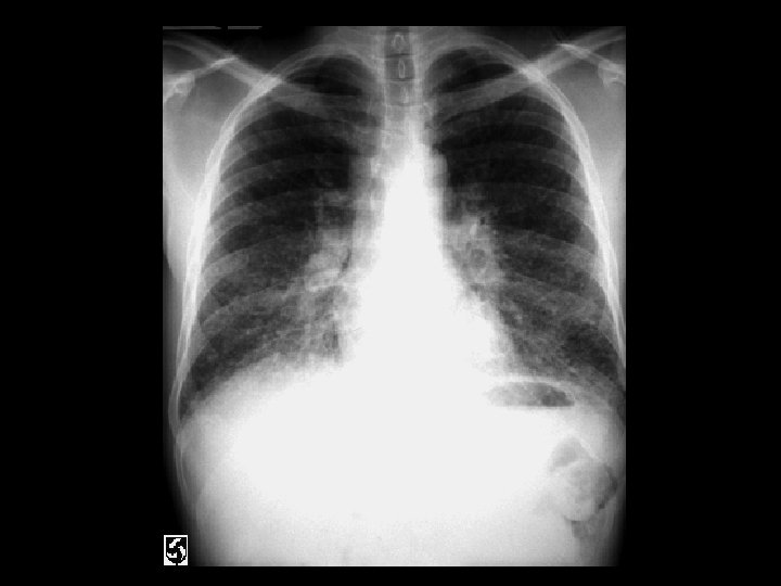
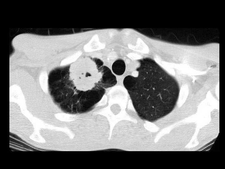
Squamous cell carcinoma • Findings: – Spiculated mass in the RUQ – necrotic center – background of emphysema • ddx: – TB – metastasis
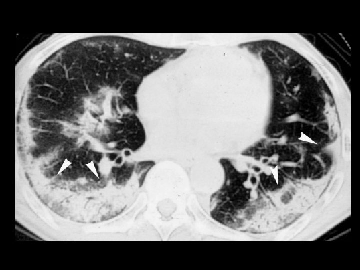
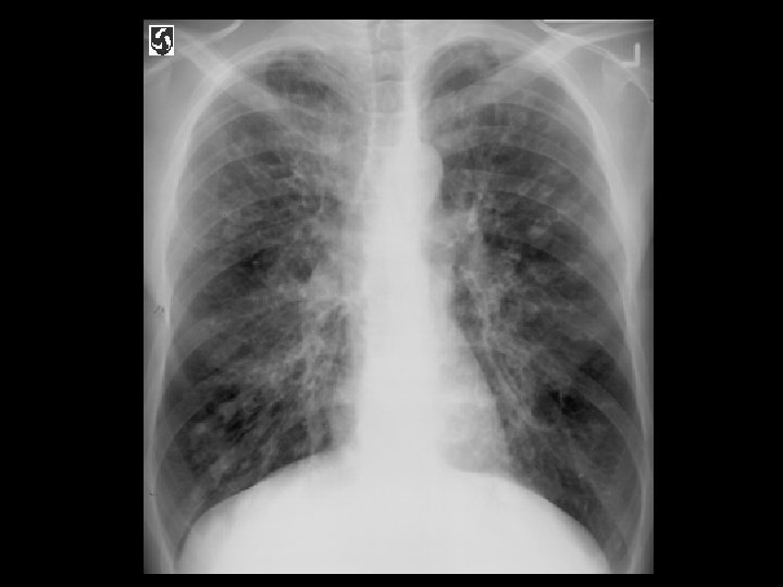
Tuberculosis • Findings: – patchy parenchymal opacities – focal bronchiectasis and accompanying bronchioliltis – bilateral distribution • ddx: – endobronchial spread of tumor