Crisis Hipertensiva Dra Asuncin Csar Arce R 2






















































































- Slides: 86
Crisis Hipertensiva Dra. Asunción César Arce R 2 MI
Tensión Arterial Toma
Tensión Arterial Tiempo Dx: Seguimiento: Antes de los En repetidas ocasiones durante antihipertensivos y de manera aislada. el día.
Tensión Arterial Tipo de aparato: Mercurial mas exacto. Eléctrico disminuye hasta 10 mm. Hg.
Tensión Arterial El brazalete debe ocupar De largo el 80 % de la circunferencia del brazo. De ancho el 40% de la circunferencia del bazo. Circunferencia del Brazo Tamaño del Brazalete 22 a 26 cm Adulto pequeño (12 x 22 cm) 27 a 24 cm Adulto (16 x 30 cm) 35 a 44 cm Adulto grande (16 x 36 cm) 45 a 52 cm Adulto muslo (16 x 42 cm)
Tensión Arterial Posición: Sentado Espalda recargada Brazo a la altura del corazón. Reposo de 5 min.
Tensión Arterial Técnica: Colocar brazalete con línea sobre el pulso de la arteria braquial. Extremo inferior del brazalete de 2 a 3 cm por arriba de fosa antecubital. Colocar ligeramente el estetoscopio arriba de la arteria braquial. Insuflar brazalete 30 mm. Hg por arriba de la TA sistólica. Desinflar el brazalete de 2 a 3 mm. Hg por latido.
Tensión Arterial TA Sistólica: Equivale a la presión en la cual el pulso braquial el pulso radial se se empieza a sentir. escuchar.
Tensión Arterial TA Diastólica: • Equivale a la presión en la cual el pulso radial se deja de escuchar.
Tensión Arterial Guía para el Tratamiento de la Hipertensión Arterial; Sociedad Europea; 2007 CATEGORIA PAS PAD Óptima <120 <80 Normal 120 -129 80 -84 Normal alta 130 -139 85 -89 Hipertensión 1 140 -159 90 -99 Hipertensión 2 160 -179 100 -109 Hipertensión 3 >180 >110 Hipertensión sistólica aislada >140 <90
Tensión Arterial The Seven Report of the Joint Nacional Committee on Prevention, Detection, Evaluation and Treatment of High Blood Pressure CLASIFICACIÓN TAS TAD Normal <120 <80 Pre hipertensión 120 -139 80 -89 Hipertensión 1 140 -159 90 -99 Hipertensión 2 >160 >100
Crisis Hipertensiva
Crisis Hipertensiva Volhard y Fahr: 1914; Hipertensión maligna Keith y Wagener 1921; Hipertensión acelerada Oppenheimer y Fishberg Encefalopatía hipertensiva Marik y Varon; Hypertensive Crises; Chest 2007; 131; 1949 -1962 Marik y Varon; Chest 2000; 118; 214 -227
Definición Aumento súbito de la tensión arterial por arriba de 180/120. Diferente grado de daño Urgencia Emergencia Bender y cols; 2006 Se asocia a mal apego terapéutico Marik y Varon; Hypertensive Crises; Chest 2007; 131; 1949 -1962 Marik y Varon; Chest 2000; 118; 214 -227
Definición Urgencia hipertensiva Emergencia hipertensiva • 180/110 • Sintomatología sin daño a órgano blanco • >220/140 • Daño a órgano blanco Hypertensive Crises; Prim Care Clin; 2008 475 -487
Definición Hipertensión maligna Hipertensión acelerada • 180/110 • Papiledema • Encefalopatía • 180/110 • Retinopatía grado 3 Hypertensive Crises; Prim Care Clin; 2008 475 -487
Epidemiología OMS 2009
Epidemiología
Epidemiología 1% de pacientes con HAS. 25% de las visitas a urgencias. 76% urgencias 24% emergencias Aggarwak; Hypertensive Crisis; Cardiol Clin; 2006; 135 -146
Causas 95% HAS primaria 5% secundarias • Anticonceptivos Orales • Cocaína • Inhibidores de la MAO • AINEs • Anfetaminas • Cefalosporina • Esteroides • Estenosis arteria renal • Hiperaldosteronismo • Enfermedad de Cushing • Feocromicitoma • Coartación de aorta Aggarwak; Hypertensive Crisis; Cardiol Clin; 2006; 135 -146
Mecanismos de Daño Vascular TENSION ARTERIAL Vasoconstricción Arterial Vasoconstricción secundaria a oxido nítrico. Mantener perfusión tisular constante. Previene el aumento de la presión en vasos de calibre pequeño. Aggarwak; Hypertensive Crisis; Cardiol Clin; 2006; 135 -146
TA ARTERIOLAR Y CAPILAR TENSION ARTERIAL Mecanismos de Daño Vascular Daño Pared Vascular NECROSIS Con un aumento importante de la TA el mecanismo falla. Aggarwak; Hypertensive Crisis; Cardiol Clin; 2006; 135 -146
Mecanismos de Daño Vascular Vasoconstricción sostenida Disfunción endotelial Disminución óxido nítrico Aumento en las resistencias periféricas Aggarwak; Hypertensive Crisis; Cardiol Clin; 2006; 135 -146
Mecanismos de Daño Vascular Vasoconstricción sostenida Inflamación endotelial Citocinas, mol adhesión tisular endotelina 1 Disfunción endotelial Aggarwak; Hypertensive Crisis; Cardiol Clin; 2006; 135 -146
Mecanismos de Daño Vascular Liberación de citocinas Aumenta permeabilidad endotelial Inhibición de fibrinolisis Activación de coagulación Depósitos de fibrina INFLAMACIÓN Aggarwak; Hypertensive Crisis; Cardiol Clin; 2006; 135 -146
Mecanismos de Daño Vascular Vasoconstricción sostenida Disfunción endotelial Inflamación Aggarwak; Hypertensive Crisis; Cardiol Clin; 2006; 135 -146
Abordaje Adecuada toma de TA Historia clínica: Duración y severidad de HAS. Fondo de ojo Completa Síntomas acompañantes Estudios adicionales: Consumo de fármacos. Labs generales Rx Tx ECG Exploración física: Hypertensive Crises; Prim Care Clin; 2008 475 -487
Urgencia hipertensiva Crisis Hipertensiva
Urgencia Hipertensiva TA sistólica > 180 mm. Hg TA diastólica > 120 Sin daño a órgano blanco HAS de larga evolución sin adecuado apego terapéutico. Hypertensive Crises; Prim Care Clin; 2008 475 -487
Urgencia Hipertensiva >160/100 Elevación severa de la TA sin daño a órgano blanco. Hipertensión estadio 2 Cefalea severa, disnea, epistaxis, ansiedad Urgencia The Seven Report of the Joint Nacional Committee on Prevention, Detection, Evaluation and Treatment of High Blood Pressure
Urgencia Hipertensiva Cefalea 22% Epistaxis 17% Debilidad 10%
Tratamiento Urgencia Hipertensiva
Objetivo Observar disminución de TA las primeras horas. Iniciar tratamiento oral lo antes posible. Seguimiento mensual los tres primeros meses. Hypertensive Crises; Prim Care Clin; 2008 475 -487
Objetivos Disminuir TA: 24 a 48 hrs. Ta diastólica: 100 a 110 mm. Hg TA a < 160/100 mm. Hg Ajustar tratamiento previo: Ajustar dosis Agregar fármaco Agregar diurético tiazida (inicio) Marik y Varon; Hypertensive Crises; Chest 2007; 131; 1949 -1962 Marik y Varon; Chest 2000; 118; 214 -227 Hypertensive Crises; Prim Care Clin; 2008 475 -487 Aggarwak; Hypertensive Crisis; Cardiol Clin; 2006; 135 -146
Oral Tratamiento
AGENTE DOSIS INICIO DE ACCIÓN CONSIDERACI ÓN GENERAL Labetalol 200 a 400 mg 20 a 120 mg Bronconstricción Clonidina 0. 1 a 0. 2 mg 30 a 60 min Hipertensión de rebote Captopril 12. 5 a 25 mg 15 a 60 min Falla renal en estenosis bilateral de a. renal Nifedipino 30 mg 20 min NIFEDIPINO SUBLINGUAL CONTRAINDICADO Amlodipino 5 a 10 mg 30 a 50 min Taquicardia, edema periferico Prazocina 1 a 2 mg 2 a 4 hrs Sincope, hipotensión postural Marik y Varon; Hypertensive Crises; Chest 2007; 131; 1949 -1962, Marik y Varon; Chest 2000; 118; 214 -227 Hypertensive Crises; Prim Care Clin; 2008 475 -487, Aggarwak; Hypertensive Crisis; Cardiol Clin; 2006; 135 -146
Tratamiento Oral Fármacos de acción rápida Mayor tiempo de vigilancia: HIPOTENSIÓN Hipertensión refleja Hypertensive Crises; Prim Care Clin; 2008 475 -487 Aggarwak; Hypertensive Crisis; Cardiol Clin; 2006; 135 -146
Tratamiento Oral Fármacos de acción corta. Captopiril, labetalol, clonidina Varias horas de observación The Seven Report of the Joint Nacional Committee on Prevention, Detection, Evaluation and Treatment of High Blood Pressure
Emergencia Hipertensiva Crisis Hipertensiva
Emergencia Hipertensiva Cifras elevadas de TA Daño a órgano blanco Evento vascular cerebral 24% Edema agudo pulmonar 23% Encefalopatía hipertensiva 16% Hypertensive Crisis; Cardiol Clin 2006; 135 -146
Emergencia Hipertensiva Síntomas más frecuentes Dolor torácico 27% Disnea 22% Déficit Neurológico 21%
Emergencia Hipertensiva Se dan cuando diversas formas de TA elevada se asocian de órganos diana. Encefalopatía hipertensiva Insuficiencia ventricular izquierda IAM Angina inestable Disección de Aorta Hemorragia subaracnoidea Accidente vascular cerebral Feocromocitoma Guía para el Tratamiento de la Hipertensión Aterial; Sociedad Europea; 2007
Emergencia Hipertensiva TA > 180/120 Evidencia de daño a órgano blanco. Requiere disminución de la TA para limitar el daño. Encefalopatía hipertensiva Hemorragia intracraneana IAM Falla ventricular izquierda Angina inestable con edema pulmonar Disección aórtica The Seven Report of the Joint Nacional Committee on Prevention, Detection, Evaluation and Treatment of High Blood Pressure
Manifestaciones Clínicas Marik y Varon; Hypertensive Crises; Chest 2007; 131; 1949 -1962 Marik y Varon; Chest 2000; 118; 214 -227 Hypertensive Crises; Prim Care Clin; 2008 475 -487 Aggarwak; Hypertensive Crisis; Cardiol Clin; 2006; 135 -146
Síndromes Neurológicos Agudos Encefalopatía hipertensiva Evento Vascular Cerebral Hemorragia subaracnoidea Hemorragia intraparenquimatosa Aggarwak; Hypertensive Crisis; Cardiol Clin; 2006; 135 -146
Encefalopatía Hipertensiva Delirium Confusión Desorientación Alteraciones visuales Cefalea Nausea Vómito No datos de focalización
Encefalopatía Hipertensiva Aumento súbito de TA Hipoperfusión cerebral Síntomas neurológicos
Encefalopatía Hipertensiva Microhemorragia Disfunción endotelial Alteración barrera hematoencefalica Edema cerebral
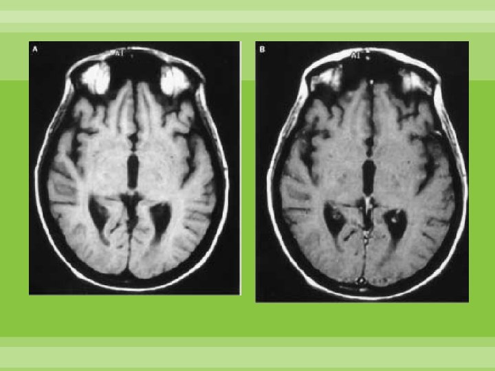
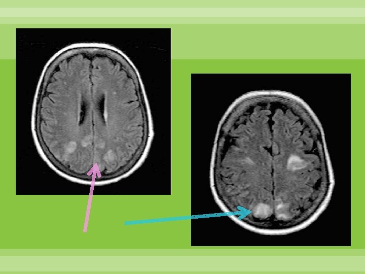
Leucoencefalopatía posterior reversible Secundario a vasoconstricción sostenida Disminución de inervación simpática en la circulación posterior. Reversible Cefalea súbita, pérdida de la visión, náusea, vómito, alteración del estado de alerta Secuelas asociadas a infarto o hemorragia Schwedt, Matharu, Dodick Thunderclap headache Lancet Neurol 2006; 5: 621– 31
Leucoencefalopatía posterior reversible Causas Crisis hipertensiva Tacrolimus, cisplatino y ciclosporina Interferon alfa Transfusiónes PTT SUH Schwedt, Matharu, Dodick Thunderclap headache Lancet Neurol 2006; 5: 621– 31
Edema vasogénico en sustancia blanca posterior: parietal y occipital, puede extenderse a ganglios basales, tallo y cerebelo Schwedt, Matharu, Dodick Thunderclap headache Lancet Neurol 2006; 5: 621– 31
Manifestaciones Cardiacas Síndrome coronario agudo Falla ventricular derecha Disección aortica Angina inestable Aggarwak; Hypertensive Crisis; Cardiol Clin; 2006; 135 -146
Disección Aórtica Desgarro en la pared de la aorta. 70% HAS 96% dolor torácico 7% insuficiencia 9% síncope
Manifestaciones Renales Falla renal aguda Aggarwak; Hypertensive Crisis; Cardiol Clin; 2006; 135 -146
Manifestaciones Oculares Retinopatía hipertensiva Aggarwak; Hypertensive Crisis; Cardiol Clin; 2006; 135 -146
Hipertensión Maligna Se observa en pacientes hipertensión de larga evolución. Síndrome de elevación de grave de TA con lesión vascular. TA diastólica >140 Factor de mal pronóstico: pérdida de la autorregulación y necrosis fibrinoide. 50% fallece en los siguientes 12 meses. Guía para el Tratamiento de la Hipertensión Aterial; Sociedad Europea; 2007
Hipertensión Maligna Nefroesclerosis Necrosis Arteriolar
Engrosamiento de la Media Obliteración lumen vascular
Hipertensión Maligna Hemorragias y exudados retinianos Papiledema
Feocromocitoma Células cromafines; secretan catecolaminas <50% paroxismos hipertensivos. Cefalea, diaforesis, palpitaciones. 10%: 1. 10% Extra-adrenal 10% extraabdominales 2. 10% bilaterales 3. 10% malignos, 4. 10% de origen familiar
Tratamiento Emergencia Hipertensiva
Objetivos Disminuir TAD a 100 mm. Hg en las primeras 6 hrs. Disminuir TAD no mas del 15 a 25% en las primaras 4 hrs. Cambiar a VO para reducir de manera gradual la TAD UTI Hypertensive Crises; Prim Care Clin; 2008 475 -487
Objetivos Disección aórtica bajar en 5 a 10 min PAS menos de 120 mm. Hg o PAM menor a 80. Evento Vascular Cerebral Disminuir TA no más del 10 -15% en 24 hrs PAM 130 -140 mm. Hg Nimodipino no aprobado Antihipertensivos : Trombolisis CAUSA PAS PAD Trombolisis Ø 185 Ø 110 Hematoma Intracraneano Ø 200 Ø 110 > 130 TAM PAS mayor a 220 o PAD mayor a 120 Hypertensive Crises; Prim Care Clin; 2008 475 -487
Objetivo The Seven Report of the Joint Nacional Committee on Prevention, Detection, Evaluation and Treatment of High Blood Pressure No reducir mas de 25% en 1 hr la PAM. Si estable Reducir a 160/100 -110 mm. Hg en las siguientes 2 a 6 hrs Disminuir a cifras normales en las siguientes 48 hrs
Intravenoso Tratamiento
Nitroprusiato Intoxicación por tiocianatos: Vasodilatador arteriolar y venoso Disminuye precarga y postcarga • Nausea • Vómito • Ac. Láctica • Estupor Disminuye perfusión renal Se degrada con la luz Dosis inicial: 0. 25 a 0. 5 microg/kg/min Dosis máxima: 8 a 10 microg/kg/min (400 ml/ml) Inicio de acción : Inmediato Duración de acción: 1 a 2 min Marik y Varon; Hypertensive Crises; Chest 2007; 131; 1949 -1962 Marik y Varon; Chest 2000; 118; 214 -227 Hypertensive Crises; Prim Care Clin; 2008 475 -487 Aggarwak; Hypertensive Crisis; Cardiol Clin; 2006; 135 -146
Nitroprusiato Indicaciones Edema agudo pulmonar Disección Aórtica Disfunción severa del VI. Contraindicaciones Hipertensión endocranena Embarazo Marik y Varon; Hypertensive Crises; Chest 2007; 131; 1949 -1962 Marik y Varon; Chest 2000; 118; 214 -227 Hypertensive Crises; Prim Care Clin; 2008 475 -487 Aggarwak; Hypertensive Crisis; Cardiol Clin; 2006; 135 -146
Nitroglicerina Vasodilatador arteriolar (dosis altas) y venoso Causa hipotensión arterial y aumento en la FC Disminuye la precarga y GC Dosis inicial: 0. 5 microg/min Dosis máxima: 100 microg/min Inicio de acción: 2 a 5 min Duración de acción: 5 a 10 min Marik y Varon; Hypertensive Crises; Chest 2007; 131; 1949 -1962 Marik y Varon; Chest 2000; 118; 214 -227 Hypertensive Crises; Prim Care Clin; 2008 475 -487 Aggarwak; Hypertensive Crisis; Cardiol Clin; 2006; 135 -146
Nitroglicerina Consideración Especial Taquicardia Flush Isquemia coronaria Marik y Varon; Hypertensive Crises; Chest 2007; 131; 1949 -1962 Marik y Varon; Chest 2000; 118; 214 -227 Hypertensive Crises; Prim Care Clin; 2008 475 -487 Aggarwak; Hypertensive Crisis; Cardiol Clin; 2006; 135 -146
Nicardipino Bloqueador de canales de calcio Dihidropiridinico Vasodilatador arteriolar: cerebral y coronario Disminuye postcarga y gasto cardiaco Dosis inicial: 5 mg/hr Dosis máxima: 15 mg/hr Infusion 5 mg/hra aumentar 2. 5 hasta 15 mg/hr. Marik y Varon; Hypertensive Crises; Chest 2007; 131; 1949 -1962 Marik y Varon; Chest 2000; 118; 214 -227 Hypertensive Crises; Prim Care Clin; 2008 475 -487 Aggarwak; Hypertensive Crisis; Cardiol Clin; 2006; 135 -146
Nicardipino Inicio de acción: 5 a 10 min Duración de acción: 15 a 30 min Inicio de acción en 5 -15 min Consideraciones generales: Taquicardia Cafalea Aumento de presión intracraneana Marik y Varon; Hypertensive Crises; Chest 2007; 131; 1949 -1962 Marik y Varon; Chest 2000; 118; 214 -227 Hypertensive Crises; Prim Care Clin; 2008 475 -487 Aggarwak; Hypertensive Crisis; Cardiol Clin; 2006; 135 -146
Clevidipino Bloqueador de canal de calcio Dihidropiridinico Dosis inicial: 1 a 2 mg/hr Dosis máxima: 21 mg/hr Inicio de acción: 1 a 2 min Duración de acción: 5 a 15 min Consideraciones especiales No disminuye la presión de llenado No taquicardia refleja Marik y Varon; Hypertensive Crises; Chest 2007; 131; 1949 -1962 Marik y Varon; Chest 2000; 118; 214 -227 Hypertensive Crises; Prim Care Clin; 2008 475 -487 Aggarwak; Hypertensive Crisis; Cardiol Clin; 2006; 135 -146
Fenoldopam Agonista periférico dopamina 1 Metabolismo hepático Disminuye postcarga Dosis infusión: 0. 1 a 3 microg/min Inicio de acción: 5 min Duración de acción: 30 min Contraindicación Glaucoma Consideraciones especiales Mantiene la perfusión renal Marik y Varon; Hypertensive Crises; Chest 2007; 131; 1949 -1962 Marik y Varon; Chest 2000; 118; 214 -227 Hypertensive Crises; Prim Care Clin; 2008 475 -487 Aggarwak; Hypertensive Crisis; Cardiol Clin; 2006; 135 -146
Labetalol Bloqueador adrenérgico: a b Dosis bolo: 20 a 80 mg cada 10 min, hasta 300 mg Dosis infusión: 0. 5 a 2 mg/min Inicio de acción: 5 a 10 min Duración de acción: 3 a 6 hrs Consideraciones especiales Adecuado en enfermedad coronaria (no aumenta FC) Mantiene gasto cardiaco Mantiene flujo periférico Causa bradicardia y broncoespasmo Contraindicaciones Asma, EPOC, falla cardiaca Marik y Varon; Hypertensive Crises; Chest 2007; 131; 1949 -1962 Marik y Varon; Chest 2000; 118; 214 -227 Hypertensive Crises; Prim Care Clin; 2008 475 -487 Aggarwak; Hypertensive Crisis; Cardiol Clin; 2006; 135 -146
Esmolol Bloqueador b selectivo Disminuye gasto cardiaco Dosis infusión: 250 a 500 microg/kg 7 min Inicio de acción: 1 a 2 min Duración de acción: 10 a 30 min Consideraciones especiales No en disección aortica Indicado cuando hay aumento en GC, FC y TA Causa bradicardia y broncoespasmo Marik y Varon; Hypertensive Crises; Chest 2007; 131; 1949 -1962 Marik y Varon; Chest 2000; 118; 214 -227 Hypertensive Crises; Prim Care Clin; 2008 475 -487 Aggarwak; Hypertensive Crisis; Cardiol Clin; 2006; 135 -146
Hidralazina Disminuye postcarga Aumenta gasto cardiaco Taquicardia refleja Lupus like Inicio de acción: 5 – 15 min Efecto hasta 12 hrs después EMBARAZO Marik y Varon; Hypertensive Crises; Chest 2007; 131; 1949 -1962 Marik y Varon; Chest 2000; 118; 214 -227 Hypertensive Crises; Prim Care Clin; 2008 475 -487 Aggarwak; Hypertensive Crisis; Cardiol Clin; 2006; 135 -146
Nifedipino No se absorbe en forma sublingual Rápidamente absorbible en tracto GI Disminuye TA en 5 a 10 min. Efecto máximo en 30 a 60 min. Duración del efecto: 6 – 8 hrs Ancianos: disminución rápidas de TA Secuestro coronario, cerebral y renal Marik y Varon; Hypertensive Crises; Chest 2007; 131; 1949 -1962 Marik y Varon; Chest 2000; 118; 214 -227 Hypertensive Crises; Prim Care Clin; 2008 475 -487 Aggarwak; Hypertensive Crisis; Cardiol Clin; 2006; 135 -146 ºº
Marik y Varon; Hypertensive Crises; Chest 2007; 131; 1949 -1962 Marik y Varon; Chest 2000; 118; 214 -227
Oral Tratamiento
Tratamiento Oral Disminuir la TA a < 160/100 durante varias horas y días con tratamiento oral (IIB) En pacientes sin tratamiento previo iniciar con bloqueador de canales de calcio, beta bloqueador e IECA mas diurético (IIB)