COURS TRAUMATOLOGIE C NOEL Clinique des Cdres Grenoble
COURS TRAUMATOLOGIE C. NOEL Clinique des Cèdres - Grenoble
Traumatologie et Brûlures oculaires 4 grandes causes de traumatisme oculaire Accident du travail Accident de bricolage/ activité domestique Accident de la route Agressions ( grenaille, explosif, plomb…)
Traumatologie et Brûlures oculaires I- Évaluation clinique du traumatisme Interrogatoire Récit détaillé des circonstances Activité en cours Détails du choc Évaluation du risque de CEIO
Traumatologie et Brûlures oculaires I- Évaluation clinique du traumatisme Interrogatoire 1 - Date, heure du traumatisme 2 - Nature, origine, puissance du choc 3 - CE? , risque infectieux 4 - ATCD de maladie ou chirurgie oculaire 5 -Maladies Gles, TTT en cours 6 - TTT instaurés depuis le trauma
Traumatologie et Brûlures oculaires I- Évaluation clinique du traumatisme 4 types de traumatismes possibles Déplacement en masse du globe oculaire Contusion fermée du globe oculaire Plaie perforante du globe oculaire Brûlures oculaires
Traumatologie et Brûlures oculaires 1 -Déplacement en masse du globe Luxation du globe antérieure postérieure (dans sinus maxillaire) Avulsion du globe
Traumatologie et Brûlures oculaires 2 - Contusions du globe 1° temps: Contusion du SA: Raccourcissement antéro-postérieur et recul des éléments antérieurs Ruptures des insertions de l’iris, du corps ciliaire et du vitré Élévation massive et brutale de la PIO
Traumatologie et Brûlures oculaires 2 - Contusions du globe 2° temps: Retour de l’onde de choc de l’arrière vers l’avant repoussant la masse vitréenne et le diaphragme irido-cristallinien Cette contusion peut être suffisamment puissante pour entraîner une rupture du globe
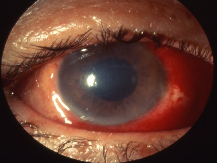
Traumatologie et Brûlures oculaires 2 - Contusions du globe Le syndrôme traumatique du SA L’agent vulnérant agit directement sur l ’œil (balle, coup de poing, sandow. . ) Vive douleur au moment du choc Trouble visuel Lésion des éléments du segment antérieur
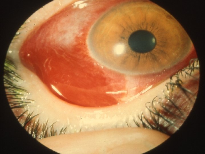
Traumatologie et Brûlures oculaires 2 - Contusions du globe Le syndrôme traumatique du SA : Hémorragie sous-conjonctivale Fréquente Peut être abondante voire impressionnante Bénigne mais peut masquer une rupture de la sclère et des membranes profondes: BAV, hypotonie, approfondissement du SA
Traumatologie et Brûlures oculaires 2 - Contusions du globe Le syndrôme traumatique du SA : Érosion cornéenne Test à la fluo +, fréquente( CE sous-palpébral) Douloureuse mais peu dangereuse Savoir retourner la paupière supérieure TTT antiseptique et cicatrisant
Traumatologie et Brûlures oculaires 2 - Contusions du globe Le syndrôme traumatique du SA CE superficiels : paille métallique Posés sur la cornée ou sur la conjonctive Douleur, larmoiement , blépharospasme Ablation sous A. topique avec une pointe TTT Antibiotique et cicatrisant
Traumatologie et Brûlures oculaires 2 - Contusions du globe Le syndrôme traumatique du SA Rupture de la membrane de Descemet Traumatisme frontal et assez violent BAV Œdème de cornée Risque d ’opacité séquellaire
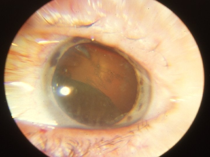
Traumatologie et Brûlures oculaires 2 - Contusions du globe Le syndrôme traumatique du SA Hyphéma ( hémorragie de la chambre antérieure) Signe princeps du syndrome contusif Adresser au CH car Risque d ’hypertonie TTT= repos + boissons abondantes en position 1/2 assise
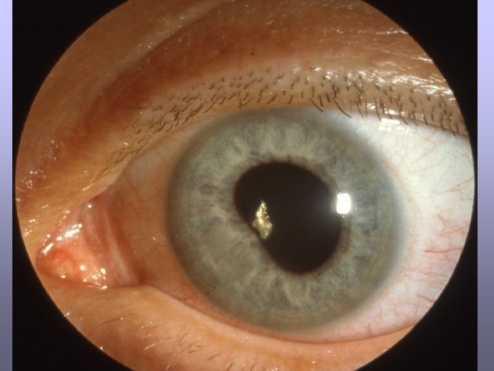
Traumatologie et Brûlures oculaires 2 - Contusions du globe Le syndrôme traumatique du SA Mydriase Par sidération musculaire (régressive) Par rupture du sphincter irien Iridodialyse Désinsertion de la racine de l’iris, déformation de la pupille en gueule de four Recher d’autres lésions associées
Traumatologie et Brûlures oculaires 2 - Contusions du globe Le syndrôme traumatique du SA Cataracte traumatique Fait suite à un traumatisme violent même sans plaie oculaire Évolution variable, atteinte postérieure en rosace Subluxation Luxation antérieure ou postérieure Consultation pour bilan d’autres lésions associées
Traumatologie et Brûlures oculaires 2 - Contusions du globe Le syndrôme traumatique du SA Troubles du tonus oculaire Hypotonie: par sidération du corps ciliaire mais !! Rupture postérieure (BAV) Hypertonie: céphalées, vomissements Précoce , aigüe, +/- hyphéma Tardive, chronique, ttt difficile, glaucome traumatique
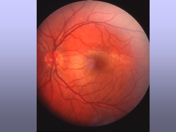
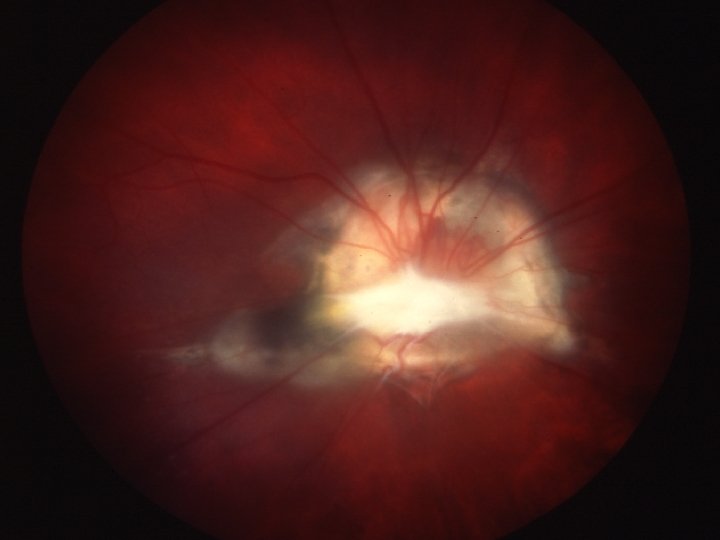
Traumatologie et Brûlures oculaires 2 - Contusions du globe Le syndrôme traumatique du S. postérieur Syndrôme commotionnel de la rétine( œdème de Berlin) Traumatisme direct violent +/- lésions du segment antérieur BAV avec scotome central Œdème blanc du pôle post. +/- lésions rétiniennes associées
Traumatologie et Brûlures oculaires 2 - Contusions du globe Le syndrôme traumatique du S. postérieur Hémorragies rétiniennes Intra ou pré-rétiniennes: BAV , graves si touchent la région maculaire Intravitréenne: Pluie de suie, BAV brutale
Traumatologie et Brûlures oculaires 2 - Contusions du globe Le syndrôme traumatique du S. postérieur Ruptures choroïdiennes Stries jaunâtres bordées d’une hémorragie BAV ++ si touche la région maculaire Décollement de rétine Désinsertion à l’ora ou déchirure, peut apparaître plusieurs jours après le trauma BAV progressive, ttt chirurgical
Traumatologie et Brûlures oculaires 2 - Contusions du globe Le syndrôme traumatique du S. postérieur Syndrôme de Purtcher PIEGE car trauma à distance ( écrasement thoracique, blast) BAV bilatérale importante Œdème diffus du PP, hémorragies, exsudats Mauvaise récupération ttt anticoagulant et corticoïdes
Traumatologie et Brûlures oculaires 3 -Contusion ouverte du globe oculaire Plus facile sur les yeux fragilisés( myopes, opérés) Rupture aux points de moindre résistance Au niveau du limbe cornéo-scléral: contenu oculaire peut être visible Au pôle postérieur: SA approfondi, HIV
Traumatologie et Brûlures oculaires 3 -Contusion ouverte du globe oculaire Plaie perforante sans CE L’importance des lésions dépend de la taille de l’agent vulnérant, de sa trajectoire dans le globe, de la vitesse à laquelle il arrive sur l’œil Interrogatoire RX ou scanner au moindre doute de CE
Traumatologie et Brûlures oculaires 3 -Contusion ouverte du globe oculaire CEIO Le doute doit être constant Déterminer la nature du CE, sa trajectoire, risque de contamination( végétal, fer rouillé. . )
Traumatologie et Brûlures oculaires 3 -Contusion ouverte du globe oculaire SCANNER , RX standard dans toutes les positions du globe +/- écho. B Dés la moindre suspicion de CE
Traumatologie et Brûlures oculaires 4 -Brûlures oculaires Par flamme En général, globe protégé par le clignement Rétractions cicatricielles Par liquide en ébullition Lésions cutanées desquamations épithéliales cornéennes peu graves ttt Antibiotique et cicatrisant
Traumatologie et Brûlures oculaires 4 -Brûlures oculaires Par métaux en fusion +/- graves selon T° de fusion simple moulage avec desquamation épithéliale (étain, plomb) cornée blanche ou nécrose cornéenne avec risque de perforation secondaire (fer, aluminium)
Traumatologie et Brûlures oculaires 4 -Brûlures oculaires Gelures oculaires Rares, anesthésie cornéenne transitoire, bon pronostic Par courant électrique Photo-traumatisme, brûlures cutanées, cataracte, TVCR, rétinite angiospastique, atrophie optique
Traumatologie et Brûlures oculaires 4 -Brûlures oculaires Par acides Coagulation des protéines au point d’application: escarre sèche qui limite l ’action érosive +/- grave LAVAGE immédiat et abondant ( 250 à 500 ml après A. topique) ttt antibiotique et cicatrisant
Traumatologie et Brûlures oculaires 4 -Brûlures oculaires Par bases Dissolution des protéines et extension en profondeur des lésions longtemps après l’accident Lésions qui semblent minimes au début Anesthésie cornéenne Peut aller jusqu’à la fonte purulente de l’œil
Traumatologie et Brûlures oculaires 4 -Brûlures oculaires Par gaz lacrymogène Larmoiement réflexe Photophobie Blépharites +/- ulcérations de cornée ( test à la fluo +)
Traumatologie et Brûlures oculaires 4 -Brûlures oculaires Par radiations lumineuses Coup d’arc ou ophtalmie des neiges Douleur nocturne croissante Photophobie, blépharospasme Kératite superficielle, peu grave ttt cicatrisant , pommade
Traumatologie et Brûlures oculaires 4 -Brûlures oculaires Par radiations lumineuses solaires( éclipse) scotome central Lésions rétiniennes congestives ou hémorragiques Séquelles possibles à type de scotome PREVENTION
Traumatologie et Brûlures oculaires 4 -Brûlures oculaires Par radiations radioactives( RX) Conjonctivites, radiodermites, syndrôme sec, cataracte, rétinites radiques
CONCLUSION CAT : Interrogatoire détaillé Etat vaccinal Position allongée Compresse stérile + micropore Rinçage +++ en cas de projection de produit caustique Collyre : antibiotique ou rien Mutation dans un centre spécialisé
- Slides: 75