CORRECTIVE PHASE OF PD THERAPY Surgical phase CORRECTIVE

























- Slides: 25
CORRECTIVE PHASE OF PD THERAPY (Surgical phase): ﺭﺍﺋﺪ ﻋﺰﻳﺰ ﺑﺪﻳﻊ. ﺩ. ﺃ
CORRECTIVE PHASE OF PERIODONTAL THERAPY (Surgical Phase): The corrective phase may include -: - periodontal surgery, osseous surgery & mucogingival surgery.
The objectives of periodontal surgical intervention are: 1 -Surgical elimination of PD pocket. 2 - Creation of good ((Accessibility & Visibility)) for proper SRP With direct vision: 3 -Establishment of gingival morphology that facilitate the self performed plaque control measures. ((Enlargement)) 4 - Regeneration of lost PD tissues.
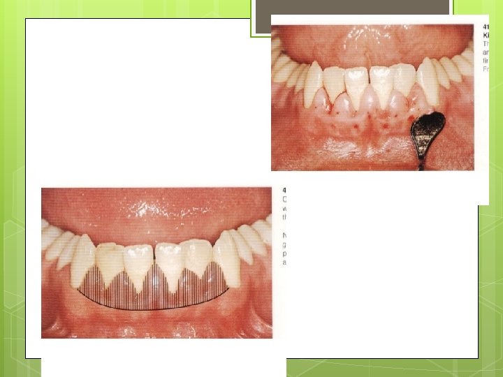
Curettage, gingivoplasty, gingivectomy, flaps, osseous surgery & mucogingival surgery Scraping of the gingival wall of PD pocket to separate diseased soft tissues. Excisional New Attachment Procedure(ENAP):
GINGIVOPLASTY: Is a reshaping of the gingiva to create physiologic gingival contours. Indications: (1) Gingival clefts and craters. (2) Crater like I. D papillae due to NUG. (3) Gingival enlargements.
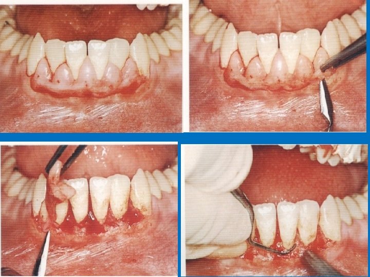
Flaps in periodontal surgery: Part of the gingiva that is separated from the teeth and alveolar bone by horizontal and / or vertical incisions, yet remains attached to the rest of the alveolar mucosa in at least one area. Indications of flaps: 1 - Alternative to gingivectomy when PD surgery is indicated. 2 -In treatment of infrabony pockets. 3 -When the base of the pocket extends apical to the mucogingival junction. 4 -When the gingivectomy causes an unacceptable aesthetic results.
Internal bevel incision: Is basic to most periodontal flap procedures. 1 - It removes the pocket lining. 2 - conserves the outer surface of gingiva. 3 - It produces a sharp, thin flap margin for adaptation to the bone tooth junction.
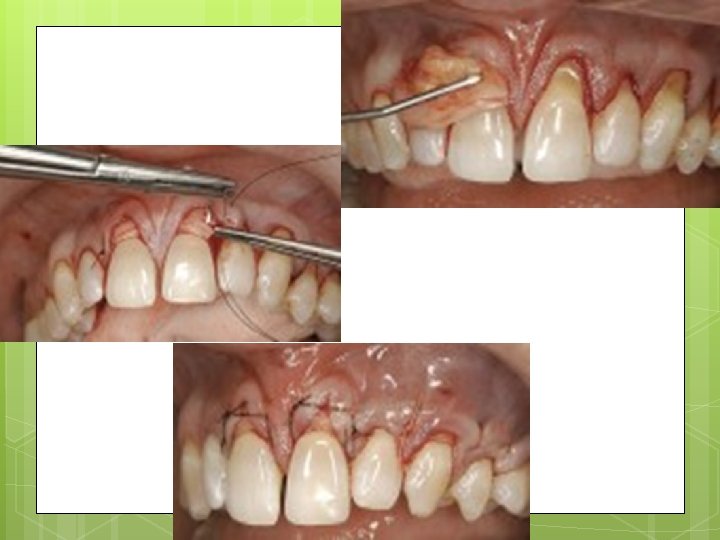
Vertical Incision :
Modified Widman flap
. : 3. Flap retraction
Root planing with direct vision… THE MOST IMPORTANT STEP IN SURGICAL PROCEDURE 5 -Direct root planning
CORONALLY POSITIONED FLAP
Apically-Displaced flap: Vertical incision must be extended to the muco buccal junction. After thorough root planing the flap is then undermined and push apical to the level of the alveolar bone. The flap is sutured in a way that its margin is now located apical to its original position.
Surgical Procedure of tunnel flap: sulcular incisions on the labial and buccal only were performed with scalpel No. 15 blade to begin the partial-thickness dissection. The splitthickness dissection then was extended until continuity was established between all the recession sites without raising the papillae
THANK YOU