Coronary Perforation in CTO Revascularization Management Issues David

  • Slides: 65
Download presentation
Coronary Perforation in CTO Revascularization Management Issues David E. Kandzari, MD, FACC, FSCAI david.

Coronary Perforation in CTO Revascularization Management Issues David E. Kandzari, MD, FACC, FSCAI david. kandzari@piedmont. org Director, Interventional Cardiology, Piedmont Heart Institute Chief Scientific Officer, Piedmont Heart Institute Atlanta, Georgia

Disclosure Within the past 12 months, I or my spouse/partner have had a financial

Disclosure Within the past 12 months, I or my spouse/partner have had a financial interest/arrangement or affiliation with the organization(s) listed below Affiliation/Financial Relationship Company Grant/Research Support Abbott Vascular, Cordis Corporation, Medtronic Cardio. Vascular Consulting Fees/Honoraria Abbott Vascular, Cordis Corporation, Medtronic Cardio. Vascular, Micell Technologies Major Stock Shareholder/Equity None Royalty Income None Ownership/Founder None Intellectual Property Rights None Other Financial Benefit None

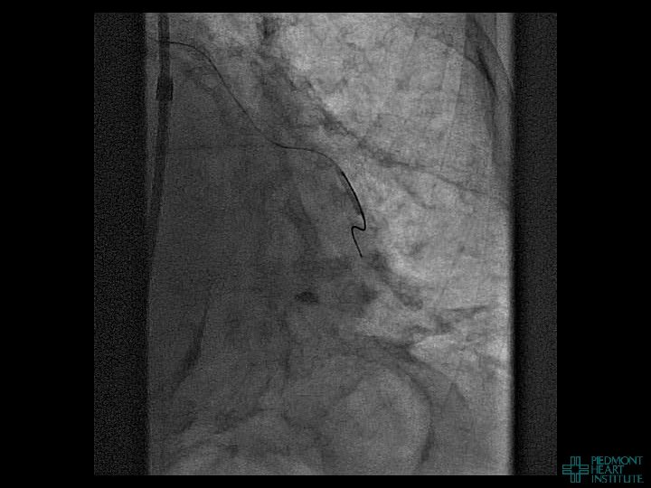
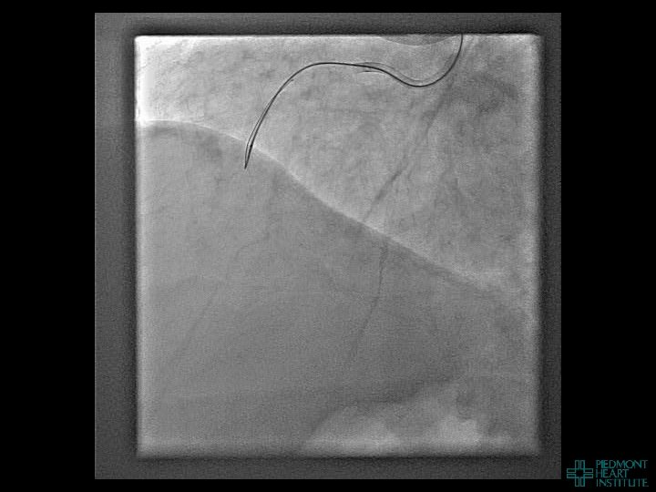
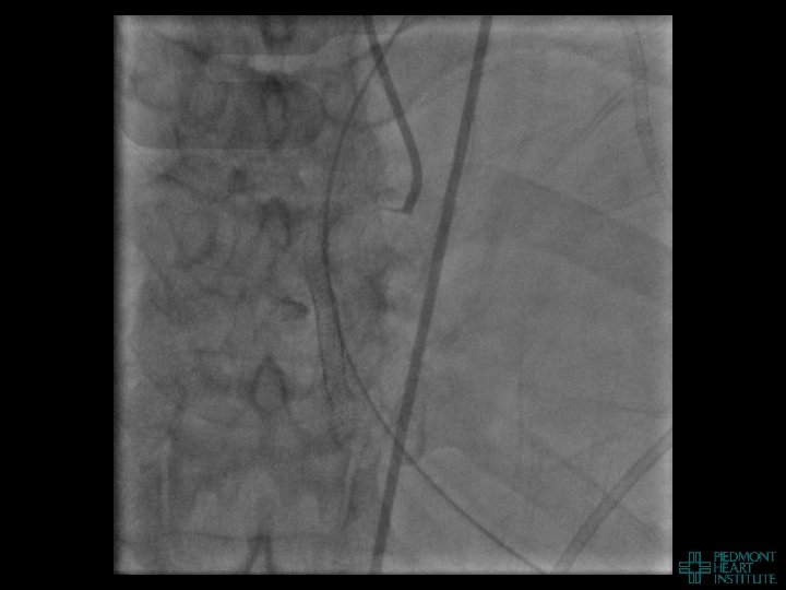
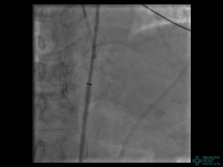
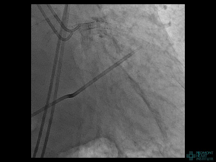
Coronary Perforation In CTO Revascularization Often does not occur at the occluded segment nor

Coronary Perforation In CTO Revascularization Often does not occur at the occluded segment nor is related to the guidewire… 12% CTO-related perforations due to balloon inflation, stent implantation, or atherectomy 1 Is not always manifest during the procedure… 45% events diagnosed after leaving the catheterization laboratory (mean time from PCI 4. 4 hrs)2 Is associated with substantial morbidity and mortality… Death (42%), emergency surgery (39%), MI (29%), transfusion (65%)2 1 Nakamura et al. AHA 2002, 2 Fejka, O’Neill et al. AJC 2002

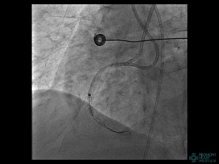
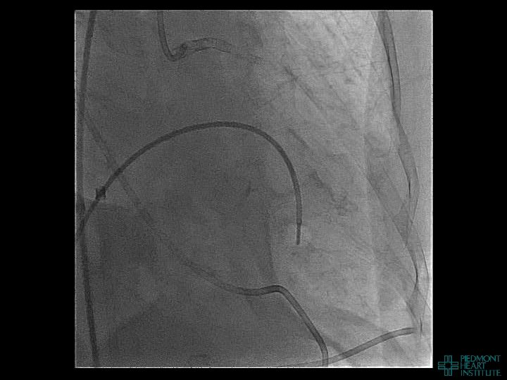
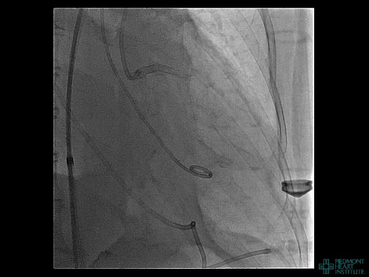
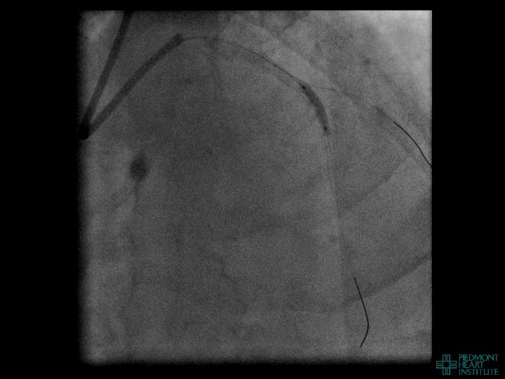
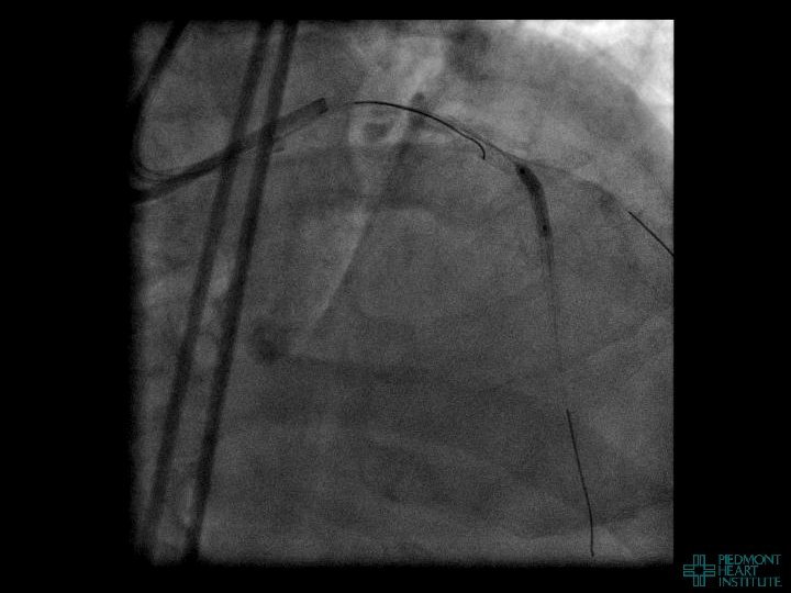
Coronary Perforation Methods of Patient Management • Dual Catheter (‘Ping Pong’) Technique • Prolonged

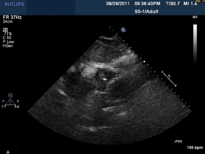
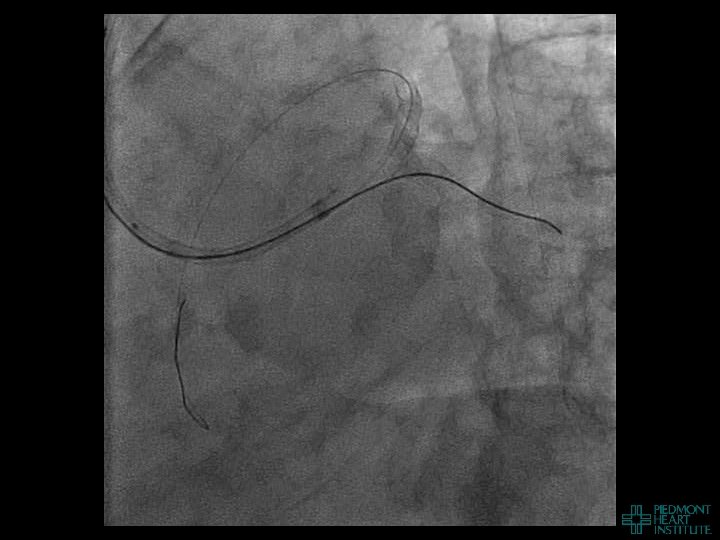
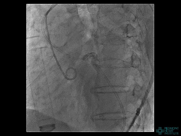
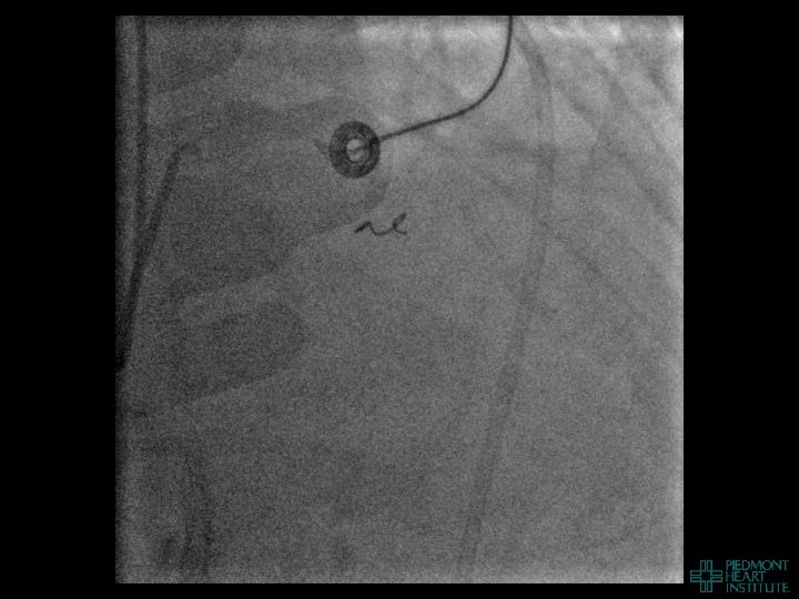
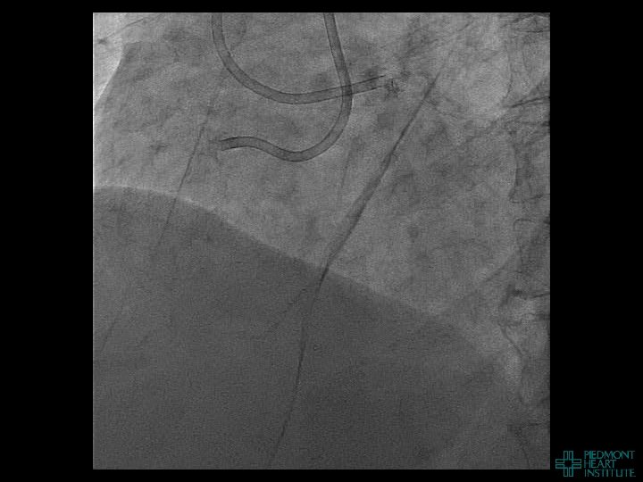
Coronary Perforation Methods of Patient Management • Dual Catheter (‘Ping Pong’) Technique • Prolonged balloon inflation and covered stents • Reversal of anticoagulation — Know contradictions to protamine sulfate for UFH; Avoid bivalirudin, LMWH — Reserve GP 2 b 3 a inhibition until successful crossing and wire change-out Embolization • — Coil, gelfoam, methacrylate, autologous blood/fat • Microcatheter Occlusion • Confirmation of successful management — Contralateral injection — Right heart catheterization — Echocardiogram — Contrast echocardiography

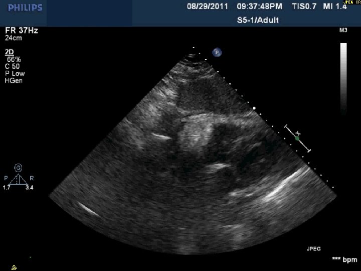
Day 2 No further pericardial drainage, echo without effusion…pericardial catheter pulled Day 3 Enoxaparin

Day 2 No further pericardial drainage, echo without effusion…pericardial catheter pulled Day 3 Enoxaparin for DVT prophylaxis initiated 8 hours later, PEA arrest Echo shows recurrence of effusion and tamponade physiology

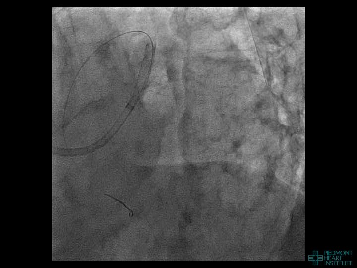
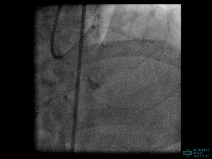
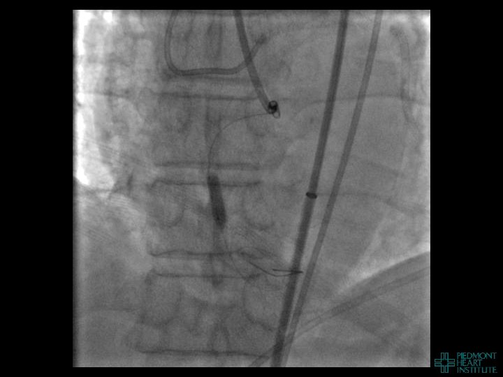
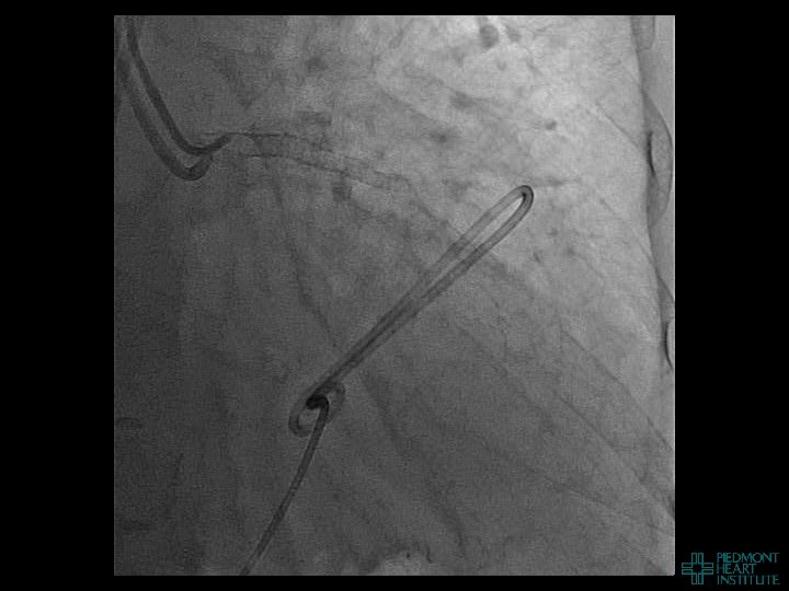
Case Example 2

Case Example 2

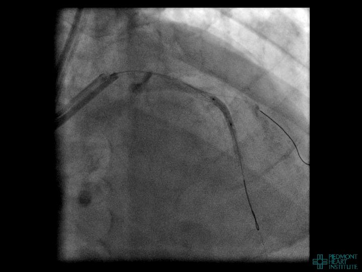
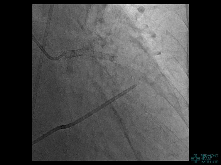
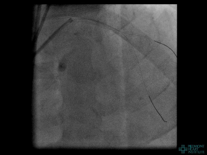
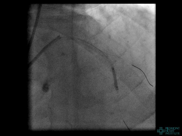
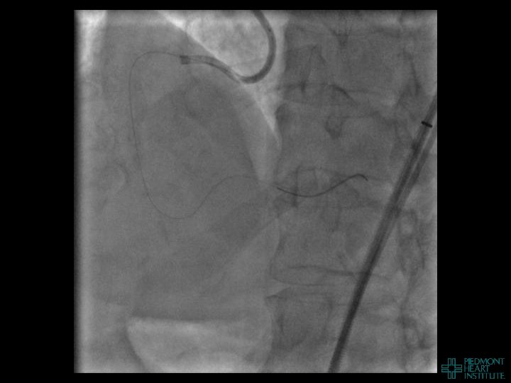
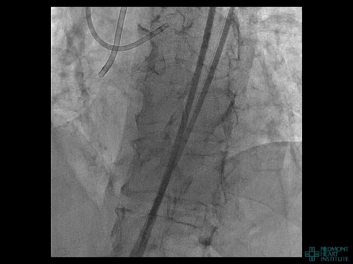
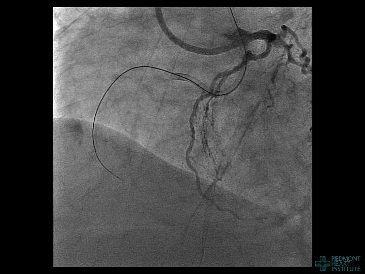
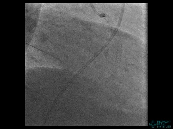
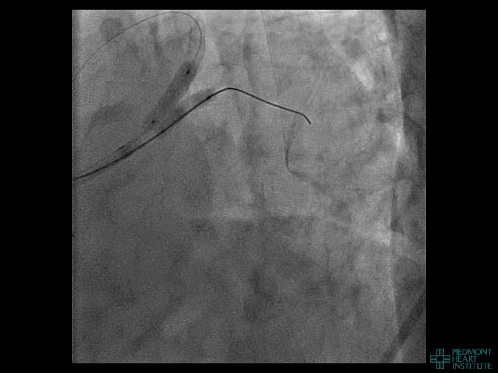
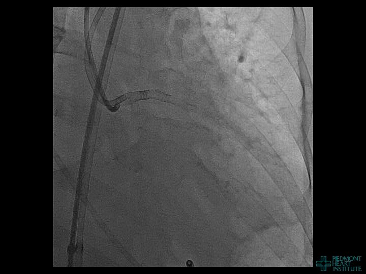
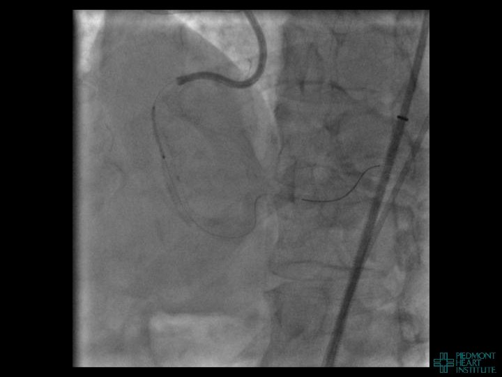
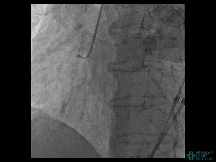
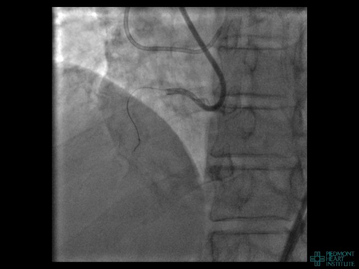
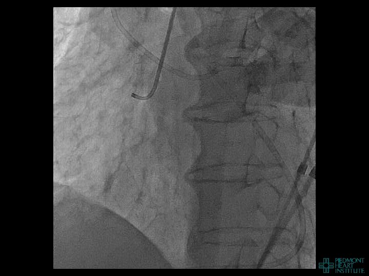
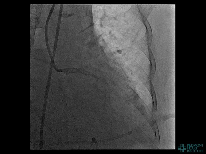
Case Example 3

Case Example 3

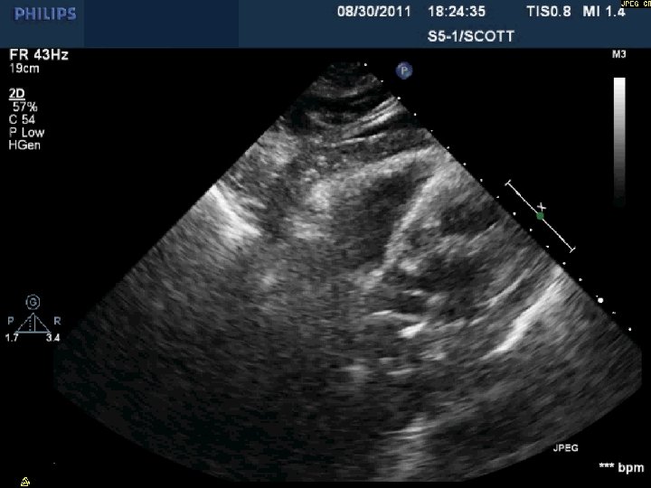
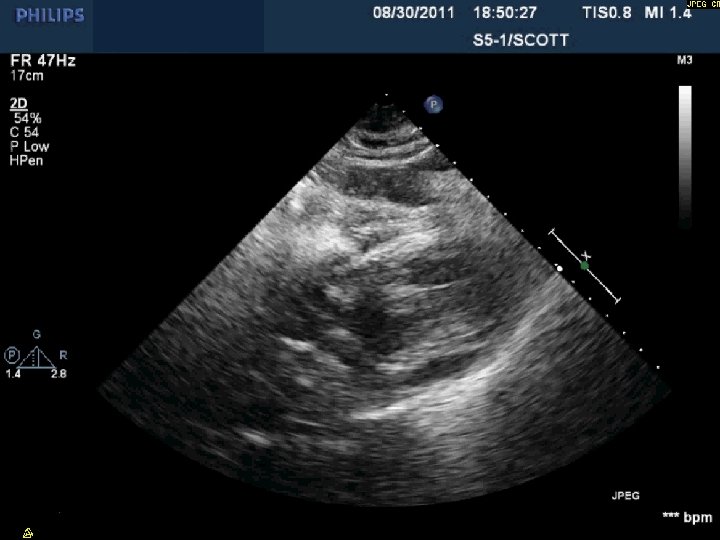
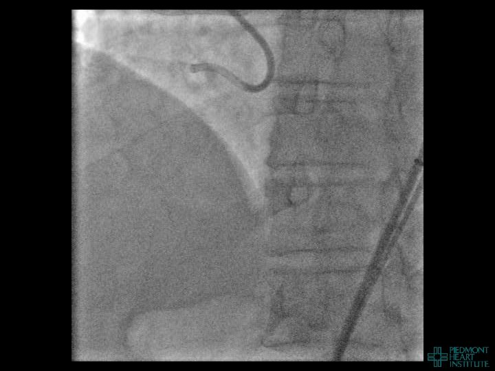
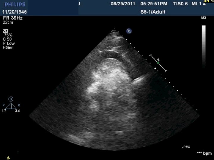
Day 2 Stable overnight No further pericardial drainage Echo shows no recurrence of effusion

Day 2 Stable overnight No further pericardial drainage Echo shows no recurrence of effusion In ICU, pericardial pigtail catheter pulled…. . Within 5 minutes, systolic blood pressure drops to <80 and bedside echo confirms recurrence of effusion Emergency pericardiocentesis draws off 650 cc immediately followed by continuous drainage of blood

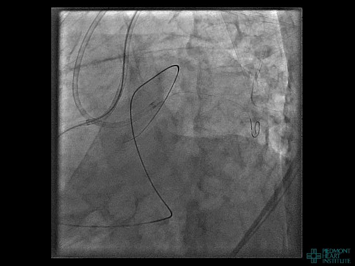
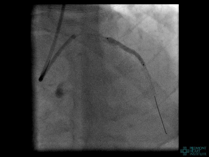
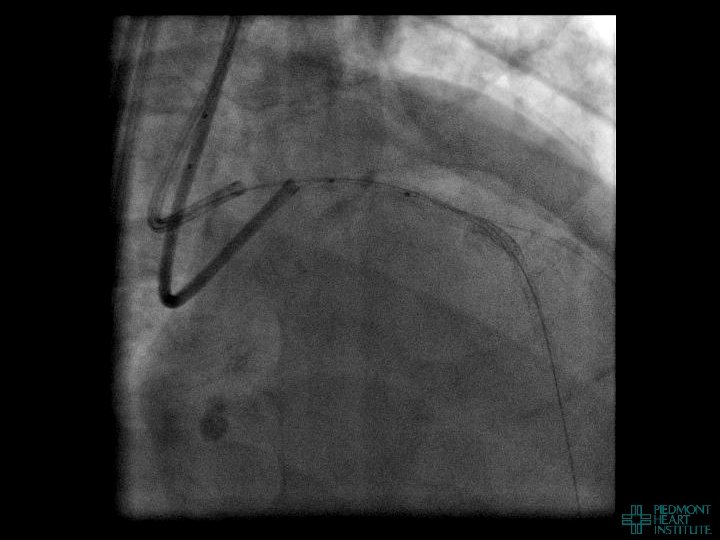
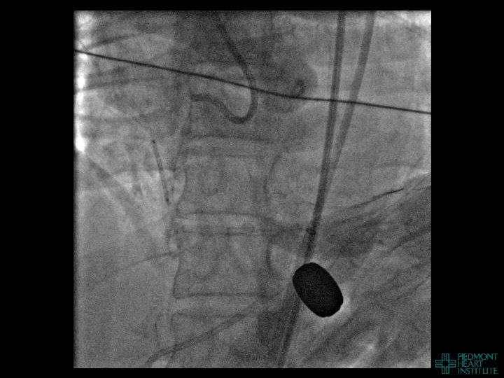
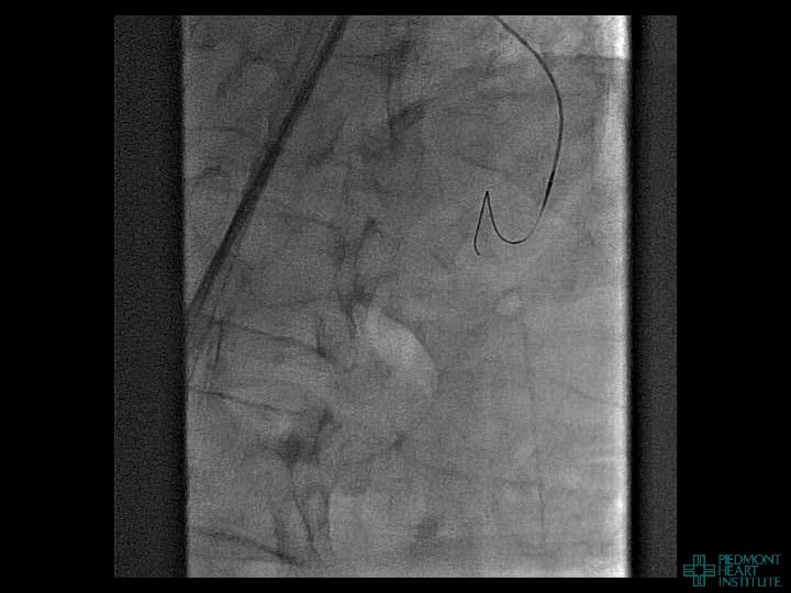
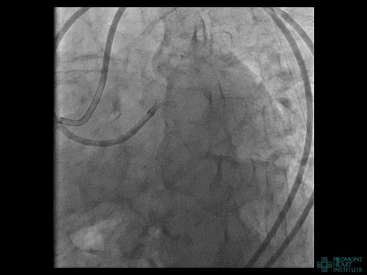
Case Example 4

Case Example 4

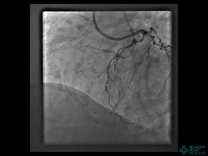
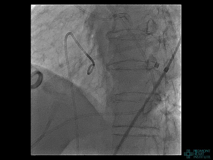
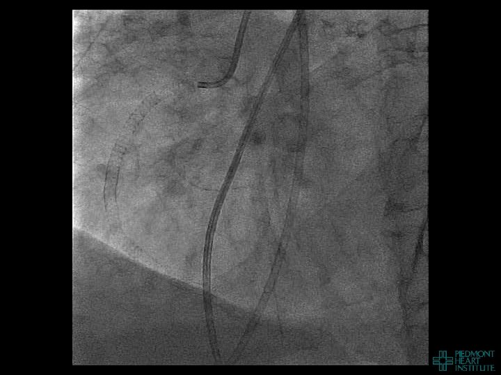
Case Example 5

Case Example 5