coranary artery disease Cardiac surgery supp ly dem

  • Slides: 97
Download presentation
coranary artery disease &Cardiac surgery

coranary artery disease &Cardiac surgery

supp ly dem and

supp ly dem and

Myocardial ischemia: -stable angina pectolaris(when no change in precipitating factors, frequency, and duration has

Myocardial ischemia: -stable angina pectolaris(when no change in precipitating factors, frequency, and duration has occurred for at least 60 days. - unstable angina pectoralis(Chest pain produced with less than normal activity and lasting for increasingly longer periods is considered characteristic of unstable angina pectoris and may signal an impending myocardial infarction. - myocardial ischemia without angina - variant or Prinzmetal's angina Angina pectoris caused by spasm of the coronary arteries differs from classic angina pectoris in that it may occur at rest and then be absent during vigorous exertion

FACTORS THAT INCREASE THE RISK FOR PERIOPERATIVE MYOCARDIAL INFARCTION 1) the site of the

FACTORS THAT INCREASE THE RISK FOR PERIOPERATIVE MYOCARDIAL INFARCTION 1) the site of the previous myocardial infarction, 2) a history of prior coronary artery bypass graft (CAB G) surgery, 3) intrathoracic or intra-abdominal operations lasting longer than 3 hours, 4) the site of the operative procedure if the duration of the surgery is less than 3 hours, and 5) techniques used to produce anesthesia.

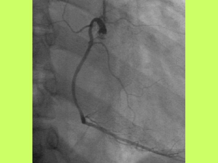
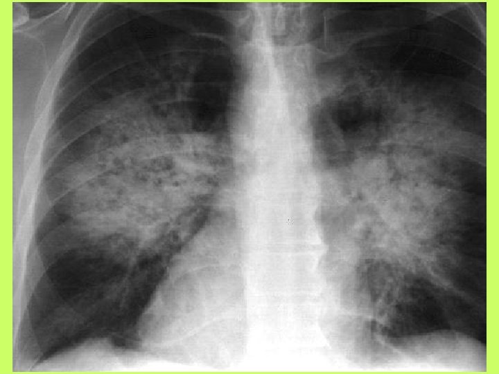
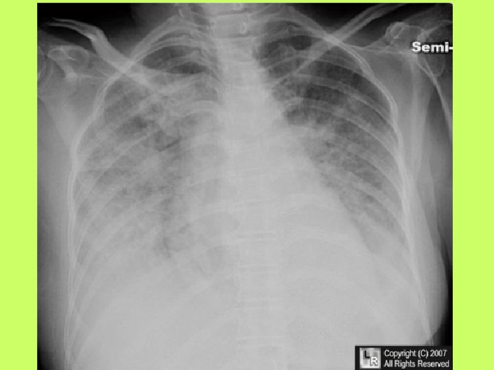
Noninvasive cardiac diagnostic studies 1 - EKG 2 -Chest X ray 3 -Exercise tolerance

Noninvasive cardiac diagnostic studies 1 - EKG 2 -Chest X ray 3 -Exercise tolerance test(ETT) 4 -Echocardiography transthoracic-trans esophagial 5 -Stress echocardiography 5 -Radionuclid imaging 6 -Cardiac catheterization

EF= EDV-ESV EDV = SV EDV

EF= EDV-ESV EDV = SV EDV

Medical treatment of ischemia 1 - Antiplatelet drugs: § aspirin § clpidogrol(plavix) § Plate

Medical treatment of ischemia 1 - Antiplatelet drugs: § aspirin § clpidogrol(plavix) § Plate glycoprotein IIa/IIIb recceptor antagonist(abciximab) 2 - Antithrombin drugs; § heparin-low molecuiar weight heparin(LMWH) § warfarin

3 - beta blocker 4 - calcium channel blocker 5 - nitrate 6 -

3 - beta blocker 4 - calcium channel blocker 5 - nitrate 6 - revascularization Percutaneous coronary intervention(PCI)stent coronary artery by pass(CABG) 7 - ACE inhibitor 8 - Angiotensin II receptor antagonist 9 - Digital

achidna

achidna

Cardiopulmonary by pass (CPB)

Cardiopulmonary by pass (CPB)

PH managemant p. H-stst alpha-stat Lab (37◦c) p. Ha 7. 25 p. Ha 7.

PH managemant p. H-stst alpha-stat Lab (37◦c) p. Ha 7. 25 p. Ha 7. 4 Paco 2 56 Paco 2 40 p. Ha 7. 4 p. Ha 7. 56 Paco 2 40 Paco 2 26 (28◦c)

Valvular heart disease

Valvular heart disease

Prosthetic heart valves • Mechanical: composed primarily of metal or carbon alloys -caged ball,

Prosthetic heart valves • Mechanical: composed primarily of metal or carbon alloys -caged ball, single tilting disk, or bileaflet tilting disk valves • Bioprosthetic(heterografts): porcine or bovine –homographt-autographt

Caged Ball Design (Mechanical Heart Valve)

Caged Ball Design (Mechanical Heart Valve)

 • AS→pressure overload→concenteric hypertrophy • AR→volume overload→eccenteric hypertrophy

• AS→pressure overload→concenteric hypertrophy • AR→volume overload→eccenteric hypertrophy

A=atrial contraction C=ventricular contraction V=systolic filling the atrium

A=atrial contraction C=ventricular contraction V=systolic filling the atrium