COPD Epidemiology Pathogenesis Pathophysiology Wyatt E Rousseau MD


















































- Slides: 50
COPD: Epidemiology, Pathogenesis, & Pathophysiology Wyatt E. Rousseau, MD May 11, 2006
COPD Definition Chronic obstructive pulmonary disease (COPD) is a preventable and treatable disease state characterized by airflow limitation that is not fully reversible. The airflow limitation is usually progressive and is associated with an abnormal inflammatory response of the lungs to noxious particles or gases, primarily caused by cigarette smoking. Although COPD affects the lungs, it also produces significant systemic consequences.
COPD Definitions/Terms • Simple chronic bronchitis • Asthmatic bronchitis/Chronic asthmatic bronchitis • Chronic obstructive bronchitis – “small airways disease • Pulmonary emphysema
Simple chronic bronchitis Exposure to irritants without hyperreactive airways. Characterized by mucoid sputum production, decreased ciliary activity, and impaired resistance to infection.
Chronic asthmatic bronchitis or COPD with asthma Exposure to irritants in individuals with reactive or twitchy airways. Bronchospasm is frequently accompanied by excessive mucous production and edema of bronchial walls. Episodic worsening of airway obstruction often called asthma, but there is persisting obstruction, and often productive cough, with the episodic bronchospasm.
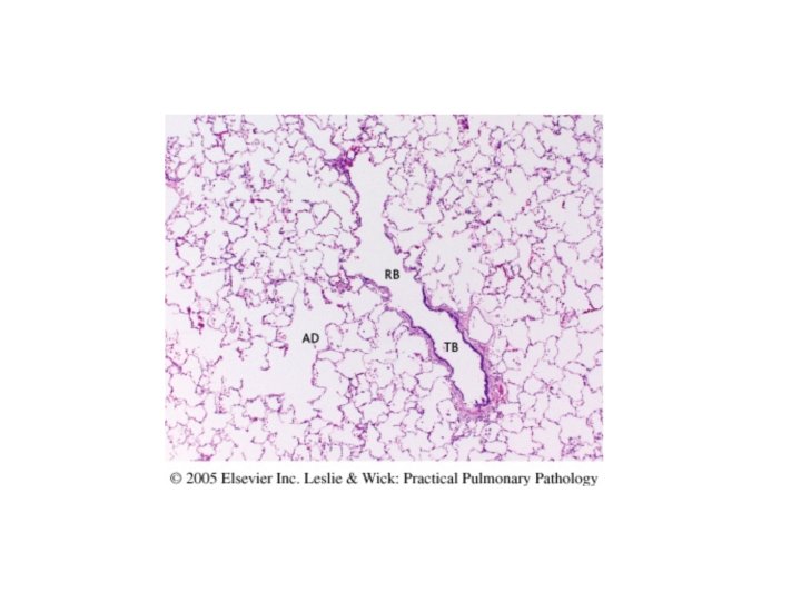
Obstructive Chronic Bronchitis Irreversible narrowing of airways, usually bronchioles or bronchi smaller than 2 mm. , associated with increased resistance to airflow, hypoxemia, hypercapnea.
Pulmonary Emphysema Permanent, abnormal distension of the air spaces distal to the terminal bronchiole with destruction of alveolar septae, with or without fibrosis. Reduces lung elastic recoil causing airway collapse and irreversible airway obstruction.
Histology
Pathology – Chronic Bronchitis • Hypertrophy of mucous glands in submucosa of airways. Reid index (submucosa to bronchial wall). • Small airways obstruction esp. with goblet cell hyperplasia, mucosal and submucosal inflammatory cells, edema, peribronchial fibrosis, mucous plugs, and increased smooth muscles. • Alveolar epithelium is the target and the initiator of inflammation in CB, with neutrophils, macrophages, and CD 8 lymphocytes causing epithelial cell release of IL-8 and other chemotactic and proinflammatory cytokines, and colony stimulating factors released in response to toxic, infectious, or inflammatory stimuli.
More CB Pathology • Injured epithelium may release reduced amounts of regulatory products such as ACE or neutral peptidase. • Sputum production is stimulated by increased exocytosis from secretory cells, lipid mediators, and inflammatory cell products. • Mucin gene expression is amplified by TNF-alpha, and secretory cell hyperplasia by the neutrophil enzymes elastase and cathepsin G.
Pathology - Emphysema • Classified by pattern of involvement of the acini distal to terminal bronchiole. • Centriacinar or Centrilobular – limited to respiratory bronchioles primarily with little change in acinus. Normal aging is associated with this. • Panacinar or Panlobular – involves both central and peripheral portions of the acinus.
Epidemiology • • • Background - Lung function over time Cigarette smoking Airway responsiveness and Allergy Air Pollution Occupational exposure to environmental dust and organic antigens • Infection • Antioxidant deficiency • Molecular/Genetic risk factors
Cigarette Smoking • Responsible for 80% of risk of Chronic Bronchitis • Doubles or triples rate of FEV 1 decline • Responsible for 2 -20 fold increase in death from COPD • Never smokers account for 23% of COPD • Only 15% of white and 5% Asian smokers develop COPD
Cigarette Smoking • Impairs ciliary movement • Inhibits alveolar macrophages • Leads to hypertrophy and hyperplasia of mucus-secreting glands • Probably inhibits antiprotease • Acutely increases vagally mediated smooth-muscle constriction
Airway Responsiveness-Dutch Hypothesis • Increased airways responsiveness and allergy are clinical phenotypes that predict increased susceptibility to cigarette smoke. • Methacholine and histamine responsiveness precedes and predicts accelerated decline in lung function, thus a risk factor for COPD. * • Increased airways responsiveness noted among 1 st degree relatives of patients with early onset COPD. @ *Silva, GE et al. Asthma as a risk factor for COPD in a longitudinal study. Chest 2004; 126: 59. @Celedon JC et al. Bronchodilator responsiveness and serum total Ig. E levels in families of probands with severe early-onset COPD. Eur Respir J 1999; 14: 1009.
Air Pollution • Increased incidence and higher mortality rates of COPD in industrialized urban areas. • Exacerbations of CB clearly related to periods of heavy sulfur dioxide pollution and particulates. • Nitrogen dioxide NOT implicated in human airways obstruction.
Occupational Exposures • Environmental dusts – gold and coal miners • Organic antigens – COPD is most common respiratory syndrome in agricultural workers, and there is a 10% prevalence of COPD among farm workers • Accelerated decline in lung function among plastics workers exposed to toluene diisocyanate and in carding room workers in cotton mills
Infection • Severe viral pneumonia in childhood may lead to small airways obstruction (SAO). • Mortality, morbidity, and frequency of ARI are higher in patients with chronic bronchitis. • The Rhinovirus is found more often during COPD exacerbations…pathogenic bacteria, other viruses, & mycoplasmas found as often between as during exacerbations. However there is increased chance of detecting bacteria if sputum purulent*, and isolating new strain of bacteria may be associated with exacerbations. @ *Stockley RA et al. Relationship of sputum color to nature and outpatient management of acute exacerbation of COPD. Chest 2000; 117: 1638. @Sethi S et al. New strains of bacteria and exacerbations of COPD. N Engl J Med 2002; 347: 465.
Antioxidant Deficiency • Oxidizing radicals derive from cigarette smoke or may be released by phagocytes in the lung. Deficiencies of antioxidants vitamins may impair host defenses against oxidative radicals and permit tissue destruction leading to COPD. – Sanguinetti, CM. Oxidant/antioxidant imbalance: role in the pathogenesis of COPD. Respiration 1992; 59 Suppl 1: 20.
Molecular/Genetic Risk Factors • • • Protease/antiprotease TNF-a gene polymorphisms Microsomal epoxide hydrolase* Glutathione S-transferase P 1 Transforming growth factor beta 1* Metalloproteinase dysregulation – Hersh, CP et al. Genetic association analysis of functional impairment in chronic obstructive pulmonary disease. Am J Respir Crit Care Med 2006; 173: 977 -984.
Protease/Antiprotease • Alpha – 1 - antitrypsin/elastase imbalance. • Alveolar macrophages from COPD patients express more matrix metalloproteinase (MMP)-9 than normals. Elevated MMP-9 is associated with an increase in degradation of elastin. – Russell RE et al. Release and activity of matrix metalloproteinase-9 and tissue inhibitor of metalloproteinase-1 by alveolar macrophages from patients with chronic obstructive pulmonary disease. Am J Respir Cell Mol Biol. 2002; 283: L 867 -L 873.
TNF – alpha gene polymorphisms • May influence host immune responses, increase inflammatory tissue damage, and favor the development of chronic bronchitis- a specific TNF-a polymorphism found in 19% CB vs. 5% schoolchildren vs. 2% of controls – Huang SL et al. Tumor necrosis factor-alpha gene polymorphism in chronic bronchitis. Am J Respir Crit Care Med 1997; 156: 1436
Microsomal epoxide hydrolase • Microsomal epoxide hydrolase (MEH) reduces highly reactive epoxide intermediates generated by smoking. The genotypes associated with decreased activity of MEH were found in 19 and 22 per cent of COPD patients vs. 6% controls – Smith CAD, Harrison DJ. Association between polymorphism in gene for microsomal epoxide hydrolase and susceptibility to emphysema. Lancet 1997; 350: 630.
Glutathione S-transferase P 1 • Glutathione S-transferase P 1 aids in the detoxification of substances in cigarette smoke, and COPD may occur more frequently among persons with decreased activity of this enzyme by virtue of genetic polymorphisms. – Ishii, T et al. Glutathione S-transferase P 1 polymorphism in patients with chronic obstructive pulmonary disease. Thorax 1999; 54: 693.
Transforming growth factor beta 1 • Transforming growth factor beta 1 is a member of a large family of polypeptides involved in cellular growth, differentiation, and activation. Specific, single nucleotide polymorphisms of the gene encoding transforming growth factor beta 1 have been associated with the development of COPD in smokers. – Wu, L et al. Transforming growth factor beta 1 genotype and susceptibility to chronic obstructive pulmonary disease. Thorax 2004; 59: 126.
Systemic Inflammation in Pathogenesis of COPD • COPD is a systemic disease. • Cytokines and other inflammatory markers are a response to cigarette smoke. • They circulate and may impact other diseases and symptoms, e. g. cardiac disease and cachexia. • Reduced lung function associated with increased levels of systemic inflammatory markers, including CRP, fibrinogen, WBC’s, and TNFalpha. * – Gan WQ et al. Association between chronic obstructive pulmonary disease and systemic inflammation: a systematic review and meta-analysis. Thorax 2004; 59: 574.
Elastic Recoil Pressure of the Lung • Provides radial support. • Major determinant of maximal expiratory flow. • Static recoil pressure of the lung is alveolar pressure minus pleural pressure. • Maximum expiratory flow rates represent a complex and dynamic interplay between airways caliber, elastic recoil pressures, and collapsibility of the airways.
Lung Volumes and Capacities in COPD • RV increased • FRC is the volume at which inward recoil of lung = outward recoil of chest wall…loss of elastic recoil will increase FRC • TLC increased due to loss of elastic recoil • VC may be normal to decreased
Time Constants • Prolonged in all obstructive diseases due to increased airways resistance and/or increased compliance. • If sufficiently prolonged, there is insufficient time for expiration, progressively increasing lung volume, moving tidal breathing to a higher, less compliant portion of the P/V curve, increasing work of breathing. • The increased elastic recoil pressure associated with the higher end-tidal volume is termed auto. PEEP or intrinsic PEEP, and this represents and additional threshold load that must be overcome.
Vd/Vt • Areas of wasted ventilation and wasted blood flow in COPD • Some maintain increased minute volume, with normal to low p. CO 2, and relatively high p. O 2 • Others may have less dyspnea, accepting higher p. CO 2 and a depressed p. O 2 • Difference debated – ventilatory drive related to peripheral or central chemoreceptor sensitivity or through other afferent pathways
Pulmonary Circulation Malfunctions • Regional maldistribution of blood flow • Abnormal pressure-flow relationships • Pulmonary hypertension often present – Reduced cross-sectional area due to anatomic changes and destruction of alveolar septae – Vessel constriction due to alveolar hypoxemia – Erythrocytosis also due to chronic hypoxemia
Clinical Correlates • Dyspnea and work capacity impairment • Emphysema usually greater impairment with less airways obstruction than chronic bronchitis • Usually dyspnea when FEV 1<50% • Dyspnea at rest when FEV 1<25% • CO 2 retention and cor pulmonale often when FEV 1<25% • Survival: 20 -30% live >5 years with CO 2 retention
TORCH Towards a Revolution in COPD Health* *The TORCH Study Group. Eur Respir J 2004; 24: 2006 -210.
TORCH • Multicenter, randomised, double-blind, parallel-group, placebo-controlled • 6200 patients, mod-severe COPD • Salmeterol/fluticasone 500/50 vs. Salmeterol 50 vs. Fluticasone 500 vs. placebo
TORCH preliminary results- to be published late 2006 • 17% relative reduction in mortality over 3 years cf. placebo. • Reduced exacerbations of COPD by 25% cf. placebo. • Improved QOL by St. George’s Respiratory Questionnaire. • Despite reduced rate of excerbations overall, there was increased reporting of adverse events classified as LRI cf. placebo.