Controversie nella stadiazione e nel grading del carcinoma









































- Slides: 41
Controversie nella stadiazione e nel grading del carcinoma renale Roberto Bellocci Anatomia Patologica Vasto
• Il carcinoma renale (RCC) è una delle più comuni neoplasie maligne viscerali dell’adulto con una significativa percentuale di mortalità in entrambi i sessi. • Se la chirurgia rappresenta il trattamento elettivo per le neoplasie confinate al rene, molte terapie mirate sono state messe a punto in anni recenti per il trattamento delle forme metastatiche. • Una accurata diagnosi di istotipo, stadio e grado tumorale è fondamentale per il corretto inquadramento prognostico dei pazienti con RCC e per il miglioramento dell’outcome.
• Le acquisizioni scientifiche progressivamente maturate dal 2004 (anno della precedente edizione WHO) ad oggi hanno apportato significativi cambiamenti alla classificazione ed alle modalità di stadiazione e grading del RCC. • Gli argomenti più controversi sono stati discussi tra i membri della società internazionale di uropatologia (ISUP) in una consensus conference tenutasi a Vancouver nel 2012 con lo scopo di fornire raccomandazioni e proporre linee guida per la classificazione, stadiazione e grading del RCC. • I risultati sono serviti da substrato per la stesura dell’ultima edizione WHO (2016).
STADIAZIONE sec. TNM VII ed. (2010) Primary tumors (T) T 0 No evidence of primary tumor T 1 a Tumor ≤ 4 cm in greatest dimension, limited to the kidney Tumori organo-confinati T 1 b Tumor >4 cm but ≤ 7 cm in greatest dimension, limited to the kidney (criterio dimensionale) T 2 a Tumor >7 cm but ≤ 10 cm in greatest dimension, limited to the kidney Cut off cm 4 – cm 7 – cm 10 T 2 b Tumor >10 cm, limited to the kidney T 3 a Tumor grossly extends into the renal vein or its segmental (musclecontaining) branches, or tumor invades perirenal and/or renal sinus fat but not beyond the Gerota fascia T 3 b Tumor grossly extends into the vena cava below the diaphragm T 3 c Tumor grossly extends into the vena cava above the diaphragm or invades the wall of the vena cava T 4 Tumor invades beyond the Gerota fascia (including contiguous extension into the ipsilateral adrenal gland) Regional lymph node (N) N 0 No regional lymph node metastasis N 1 Metastasis in regional lymph node(s) Tumori extrarenali
L’importanza dell’esame macroscopico e di un adeguato campionamento Lo scopo della dissezione di un campione di nefrectomia è quello di consentirne la fissazione e permettere la valutazione macroscopica di: �numero, sede e dimensioni tumorali; �invasione vascolare: vasi del seno renale, vena renale e vena cava; �invasione del seno renale (grasso peripelvico); �invasione del grasso perinefrico; �invasione surrenalica; �necrosi.
L’importanza dell’esame macroscopico e di un adeguato campionamento �Il metodo di dissezione preferibile nelle nefrectomie radicali consiste nel fare un’iniziale incisione lungo l’asse maggiore (93%). � Se la sezione viene condotta attraverso il sistema collettore si ottiene un’esposizione ottimale dell’interfaccia tra tumore e seno renale. Limite: non si apprezza il piano anteriore alla pelvi, dove decorrono i principali vasi venosi del seno renale. Sarà necessaria quindi una sezione aggiuntiva, parallela ed anteriore a quella iniziale.
Sezione lungo l’asse maggiore, attraverso il sistema collettore
Criterio dimensionale • La definizione del diametro massimo tumorale è essenziale per la subclassificazione p. T dei tumori organo-confinati. • Richiede il meticoloso sezionamento dell’intera massa tumorale; attenzione in prossimità dei valori cut-off (cm 4 - cm 7 - cm 10). • Nel computo del diametro massimo tumorale: va inclusa la quota neoplastica estesa al grasso perinefrico (92%) ed al seno renale (88%); non vanno inclusi i noduli satelliti, il “trombo” neoplastico nella vena renale/cava (91%) e l’invasione venosa retrograda (IVR);
L’invasione del grasso perinefrico e del seno renale vanno incluse nel computo del diametro massimo tumorale
A Nel computo del diametro massimo tumorale non vanno inclusi né i noduli satelliti (A) né il “trombo neoplastico” nella vena renale e/o vena cava (B).
Invasione venosa retrograda (IVR): presenza di noduli tumorali arrotondati, distaccati dalla massa tumorale principale ed in sedi conformi con il decorso venoso. Modern Pathology (2011) 24, 1578– 1585 Retrograde venous invasion in renal cell carcinoma: a complication of sinus vein and main renal vein invasion Stephen M Bonsib and Ami Bhalodia
In CC-RCC con invasione di vene del seno renale e/o della vena renale/cava si può osservare diffusione tumorale retrograda in vene parenchimali intralobari ed arcuate. Ne deriva la formazione di cilindri tumorali tra le piramidi renali ed arcate tumorali lungo le giunzioni cortico-midollari. Crescendo i noduli tumorali l’endotelio che li circonda viene perso conseguente invasione extravenosa e fusione dei noduli tra loro e con la massa pricincipale. IVR non va considerata nel computo del diametro massimo tumorale. Modern Pathology (2011) 24, 1578– 1585 Retrograde venous invasion in renal cell carcinoma: a complication of sinus vein and main renal vein invasion Stephen M Bonsib and Ami Bhalodia
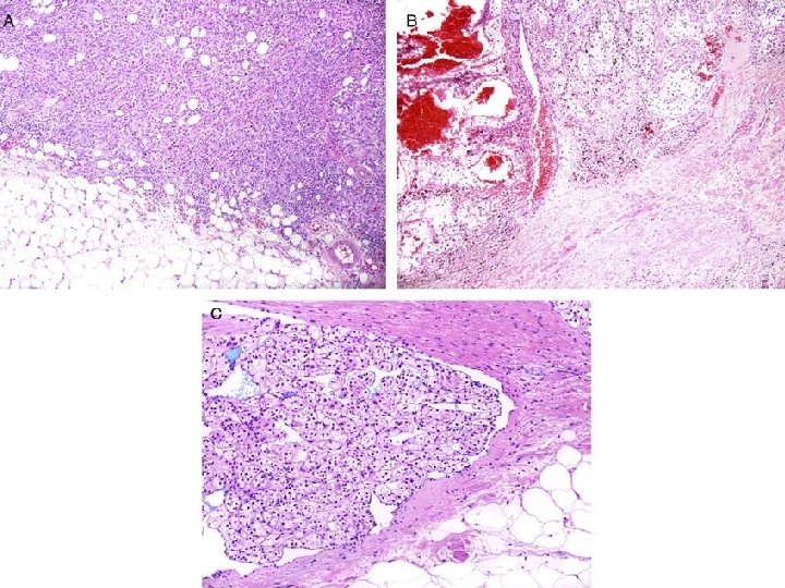
Invasione del grasso perinefrico (GP) • Il GP è il tessuto adiposo situato al di fuori della capsula renale ed entro i confini della capsula di Gerota. Molti RCC crescendo distorcono il profilo renale e premono sul GP. • La presenza di un un bordo tumorale arrotondato e liscio, di tipo espansivo, persino se chiaramente esteso oltre il normale profilo renale, non è diagnostica di invasione del GP. • L’infiltrazione può essere percepita macroscopicamente quando il tumore perde la sua interfaccia arrotondata e liscia con il GP o quando si osservano noduli o irregolari masse tumorali che protrudono nel GP. • Valutare sempre multiple sezioni perpendicolari dell’interfaccia tra tumore e GP (79%). • Per la conferma istologica è necessaria la presenza di tumore a diretto contatto con lobuli adiposi o la presenza di irregolari “lingue” tumorali nel GP, con o senza desmoplasia (71%).
Invasione del grasso perinefrico Bordi espansivi (A): no p. T 3 a Bordi infiltrativi (B): p. T 3 a
Invasione del grasso perinefrico Tumore a contatto con lobuli adiposi (A) Irregolari lingue tumorali, con o senza desmoplasia, nel grasso perinefrico (B)
Invasione del seno renale (SR) Il grasso del SR è il compartimento centrale del tessuto adiposo perinefrico, situato tra il sistema pielo-caliceale ed il parenchima renale. Contiene linfatici e numerose vene a parete sottile, tributarie della vena renale principale. Non c’è interposizione di capsula tra la corticale delle colonne del Bertin ed i vasi del SR.
Invasione del seno renale (SR) Nella passata decade numerosi studi hanno dimostrato che l’invasione del SR rappresenta la principale via di estensione extrarenale, specialmente per i carcinomi a cellule chiare. • Bonsib et al constatarono che >90% dei CC-RCC con diametro = o > 7 cm si associano ad invasione del SR. (J Urol 2015; 174: 1199 -1202) • Thompson et al riesaminarono il materiale residuo relativo a 33 nefrectomie radicali di pz. con CC-RCC, p. T 1, poi morti per la neoplasia; l’esame istologico dei nuovi prelievi relativi al SR mostrò la presenza di invasione dello stesso nel 42% dei casi. (Am J Surg Pathol 2007; 31: 1089 -1093) • Ci sono inoltre lavori che indicano che l’invasione del SR si associa ad una prognosi peggiore rispetto all’invasione del grasso perinefrico. (J Urol 2005; 174: 1218 -1221)
Invasione del seno renale (SR): come definirla? In casi dubbi andrebbero prelevate almeno 3 inclusioni dell’interfaccia tumore-SR (98%). Se l’invasione del SR è macroscopicamente evidente o assente (ad es. nel caso di piccoli tumori periferici) è sufficiente prelevare una sola inclusione per la conferma istologica. Istologicamente l’invasione del SR (p. T 3 a) è definibile quando: • il tumore viene a contatto diretto con il grasso del seno (100% ); • il tumore invade il connettivo lasso chiaramente situato oltre il parenchima renale (75%). • il tumore invade qualsiasi struttura vascolare presente nel seno renale, indipendentemente dalla taglia (90%).
Invasione della vena renale (VR) � Il TNM VII ed. definisce l’invasione della VR (p. T 3 a) come un tumore che “macroscopicamente si estende nella VR o in suoi rami maggiori (contenenti muscolatura)”. � In realtà difficilmente si riesce, in fase di campionamento, a visualizzare ogni singolo ramo maggiore e non è infrequente documentare istologicamente la presenza di tumore in rami della VR contenenti muscolatura senza averne avuto percezione all’esame macroscopico. A tale reperto va comunque assegnato la stadio p. T 3 a. � Invasione vascolare tumorale può essere definita quando il tumore è attaccato alla parete del vaso o quando ne riempie e distende il lume.
Margine di resezione della vena renale (VR) �La valutazione del margine della VR può essere problematica specialmente quando, dopo la resezione chirurgica e la fissazione, la parete del vaso si retrae ed il “trombo” neoplastico sporge. �Il margine della VR va considerato positivo solo se c’è tumore macroscopicamente aderente alla parete del vaso al margine di resezione; è necessaria conferma istologica.
Invasione della parete della vena cava (VC) � Nella classificazione TNM VII ed. lo stadio p. T 3 c è definito come un tumore che “macroscopicamente si estende nella VC al di sopra del diaframma o invade la parete della VC”. � Per quei tumori con invasione della VC al di sotto del diaframma dunque la presenza di invasione della parete cambia lo stadio da p. T 3 b a p. T 3 c con impatto prognostico avverso. � Quando un campione è inviato separatamente come “trombo cavale” il ruolo del patologo consiste nel: 1. confermare la natura tumorale del trombo; 2. stabilire se c’è parete venosa aderente al trombo; 3. stabilire se c’è invasione della parete venosa aderente.
Invasione del surrene �Nella classificazione TNM VII ed. lo stadio p. T 4 è definito come un tumore che “invade direttamente il surrene”. �Prognosi peggiore rispetto alla sola invasione del grasso perinefrico. �L’esame macroscopico è fondamentale per stabilire se si tratta di estensione al surrene per contiguità (p. T 4) o metastasi surrenalica (p. M 1).
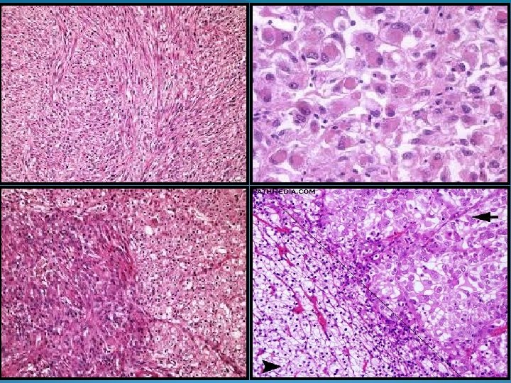
Grading del carcinoma renale: cenni storici • I primi lavori ad evidenziare la correlazione tra grado di differenziazione tumorale e prognosi risalgono al 1932 (Hand JR, Broders AC. J Urol. 1932; 28: 199 -216) ed al 1949 (Griffiths IH, Tharackay AC. Br J Urol. 1949; 21: 128 -151). • Nel 1971 Skinner et al. (Cancer. 1971; 28: 1165 -1177), con una casistica di 309 pz nefrectomizzati per RCC ed in follow-up per oltre 6 anni, furono i primi a: a) usare un grading basato sulle sole caratteristiche nucleari; b) a definire il grado tumorale in base all’area meno differenziata; c) ad evidenziare l’associazione tra grading in 4 gradi e percentuali di sopravvivenza ad 1 anno, a 5 anni ed a 10 anni; d) ad associare il tipo cellulare (morfologia pura a cellule chiare, forme a cellule chiare e/0 granulari, forme a cellule fusate) con la prognosi.
Grading del carcinoma renale: cenni storici Nel 1982 Fuhrman et al. (Am J Surg Pathol. 1982; 6: 656 -663), con una casistica di 105 pz con RCC di cui 84 trattati chirurgicamente e con follow-up di almeno 5 anni: riadattarono il grading di Skinner et al. definendo i primi 3 gradi sulla base delle caratteristiche nucleari ed il grado 4 sulla base della presenza di pleomorfismo nucleare; b) assegnarono il grado tumorale in base all’area meno differenziata; c) identificarono solo 3 gruppi prognostici: pz con tumori G 1, pz con tumori G 2 o G 3 e pz con tumori G 4. a) Limiti: esiguo numero di pz, scarse informazioni di follow-up, assenza di trattamento standardizzato, mancanza di sottoclassificazione dei dati in funzione del’istotipo. Nonostante tali limiti il grading di Fuhrman è stato universalmente adottato nella pratica clinica.
Con l’aumentare delle conoscenze relative ai diversi istotipi di RCC, rese possibili dalla valutazione di più ampie casistiche in studi più rigorosi, il significato prognostico del grading di Fuhrman è stato messo in discussione ed i suoi limiti evidenziati.
Limiti del grading di Fuhrman • Anche se il diametro nucleare può essere oggettivamente misurato, la prominenza nucleolare costituisce un parametro più soggettiv 0. • I criteri per definire il pleomorfismo nucleare sono scarsamente definiti. • Non ci sono indicazioni in merito al peso relativo da assegnare a ciascun singolo parametro in quei tumori con caratteristiche contrastanti. • La correlazione tra grado e prognosi, almeno per i carcinomi renali a cellule chiare, sussiste in caso di stratificazione delle neoplasie in forme di basso grado (G 1 e G 2) ed alto grado (G 3 e G 4). • Mancanza di una precisa definizione dell’area di più alto grado. • Il grading di Fuhrman mostra scarsa rilevanza prognostica quando usato per gradare i RCC cromofobi.
Per sondare le modalità di applicazione pratica del grading, un questionario elettronico venne distribuito tra i membri della società internazionale di uropatologia (ISUP) ed i risultati di tale indagine furono poi discussi in una consensus conference tenutasi a Vancouver nel 2012 in occasione del Meeting scientifico annuale dell’Accademia di Patologia di Stati Uniti e Canada.
Risultati dell’indagine relativa all’applicazione del grading Quale grading usi per il RCC? • • • Fuhrman WHO Broder Giapponese Nucleolare Altro Il grading di Fuhrman risultò essere il più utilizzato (96%)
Risultati dell’indagine relativa all’applicazione del grading Per quali tipi di neoplasia renale usi il grading di Fuhrman? • • • • CC-RCC MC-RCC PA P-RCC Ch-RCC (57%) RO CD-RCC MRCC Tr-RCC MTS-RCC TC-RCC ESRD-RCC U-RCC Il sistema di Fuhrman risultò essere utilizzato soprattutto per il grading di CC-RCC (100%), P-RCC (85%), MC-RCC (67%) ed U-RCC (66%)
Risultati dell’indagine relativa all’applicazione del grading Come definisci il grado di Fuhrman di un RCC? • • In base al pattern più frequente In base all’area di più alto grado Combinando il grado più rappresentato ed il più alto Fornendo una % di ciascun grado presente La maggioranza dei partecipanti (83%) fu concorde nel definire il grado di Fuhrman sulla base dell’area di più alto grado presente nella neoplasia
Risultati dell’indagine relativa all’applicazione del grading Come definisci l’area minima di tumore sulla base della quale assegnare il grado? • • 1 campo a basso ingrandimento (obiettivo 10 x) 1 campo a forte ingrandimento (obiettivo 40 x) 5 campi a forte ingrandimento Altro Non si raggiunse un consensus
Risultati dell’indagine relativa all’applicazione del grading Quali parametri valuti per definire il grado di Fuhrman? • • • La prominenza nucleolare (99%) La forma nucleare Il pleomorfismo nucleare La maggioranza dei partecipanti (99%) rispose di basarsi principalmente sulla prominenza nucleolare.
Risultati dell’indagine relativa all’applicazione del grading In caso di discordanza, a quale parametro attribuisci maggiore importanza nella definizione del grado? • • La prominenza nucleolare (68%) La forma nucleare Il pleomorfismo nucleare Nessuno La maggioranza dei partecipanti (68%) rispose di attribuire maggiore importanza alla prominenza nucleolare
Risultati dell’indagine relativa all’applicazione del grading In base a quali caratteristiche definisci la presenza di una componente sarcomatoide? • • Allungamento delle cellule epiteliali (3%) Presenza di cellule fusate (22%) Presenza di cellule fusate atipiche, simil-sarcomatose (41%) Presenza di cellule atipiche, simil-sarcomatose, anche in assenza di morfologia fusocellulare (34%) Non si raggiunse un consensus Tuttavia la maggioranza dei partecipanti (41%) definì sarcomatoide un RCC con una componente di cellule fusate atipiche, similsarcomatose
Risultati dell’indagine relativa all’applicazione del grading In un RCC con componente sarcomatoide specifichi nel referto l’istotipo tumorale sottostante? • • Si (94%) No a) Aree di dediffernziazione sarcomatoide possono ritrovarsi in ogni istotipo con frequenza differente (CD-RCC: 25 -29%; CC-RCC: 5, 2 -8%; Ch-RCC: 2 -9%; PRCC: 1, 9 -5, 4%). b) L’istotipo sottostante non impatta sulla prognosi. c) Nelle metastasi di RCC sarcomatoide può ritrovarsi la sola componente carcinomatosa sottostante. d) Ci può essere, seppur modesta, una migliore risposta alla terapia con inibitori della tirosin-chinasi o con bevacizumab negli RCC sarcomatoidi con sottostante componente di CC-RCC rispetto a quelli non CC-RCC (dato da validare in più ampi trials clinici randomizzati, prospettici).
Risultati dell’indagine relativa all’applicazione del grading Per segnalare la presenza di una componente sarcomatoide è necessaria una % minima? • • Si No (71%) Come definisci un RCC con morfologia sarcomatoide pura? • • RCC inclassificato con componente sarcomatoide RCC di grado 4 RCC inclassificato con componente sarcomatoide, grado 4
Risultati dell’indagine relativa all’applicazione del grading Segnali nel referto la presenza di una componente rabdoide? • • Si (74%) No In un RCC con componente rabdoide specifichi nel referto l’istotipo tumorale sottostante? • • Si (99%) No Per definire la presenza di una componente rabdoide è necessaria una % minima? • • Si No (79%) Come definisci un RCC con morfologia rabdoide pura? • • • RCC inclassificato con componente rabdoide, grado 4 RCC di grado 4
Grading WHO/ISUP • Grado 1: nucleoli invisibili o incospicui e basofili a 40 x. • Grado 2: nucleoli chiaramente visibili a 40 x, invisibili o incospicui a 10 x. • Grad 0 3: nucleoli eosinofili e chiaramente visibili a 10 x. • Grado 4: estremo pleomorfismo nucleare e/o cellule giganti e/o qualsiasi % di componente sarcomatoide e/o rabdoide. Carcinoma a cellule chiare (78%) Carcinoma papillare (84%) Carcinoma cromofobo (78%) Eterogeneità di grado riportare il grado peggiore (almeno 1 HPF)
Grading WHO/ISUP validato come indicatore prognostico per CC -RCC e P-RCC Seppur non validato come indicatore prognostico per gli altri istotipi di RCC, può essere usato per descriverne le caratteristiche morfologiche