Contrastenhanced ultrasound versus color duplex ultrasound imaging in

  • Slides: 6
Download presentation
Contrast-enhanced ultrasound versus color duplex ultrasound imaging in the follow-up of patients after endovascular

Contrast-enhanced ultrasound versus color duplex ultrasound imaging in the follow-up of patients after endovascular abdominal aortic aneurysm repair Roberto Iezzi, MD, Raffaella Basilico, MD, Daniela Giancristofaro, MD, Danilo Pascali, MD, Antonio Raffaele Cotroneo, MD, Maria Luigia Storto, MD Journal of Vascular Surgery Volume 49 Issue 3 Pages 552 -560 (March 2009) DOI: 10. 1016/j. jvs. 2008. 10. 008 Copyright © 2009 The Society for Vascular Surgery Terms and Conditions

Fig 1 Journal of Vascular Surgery 2009 49552 -560 DOI: (10. 1016/j. jvs. 2008.

Fig 1 Journal of Vascular Surgery 2009 49552 -560 DOI: (10. 1016/j. jvs. 2008. 10. 008) Copyright © 2009 The Society for Vascular Surgery Terms and Conditions

Fig 2 Journal of Vascular Surgery 2009 49552 -560 DOI: (10. 1016/j. jvs. 2008.

Fig 2 Journal of Vascular Surgery 2009 49552 -560 DOI: (10. 1016/j. jvs. 2008. 10. 008) Copyright © 2009 The Society for Vascular Surgery Terms and Conditions

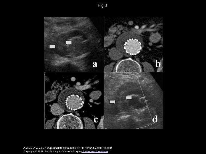
Fig 3 Journal of Vascular Surgery 2009 49552 -560 DOI: (10. 1016/j. jvs. 2008.

Fig 3 Journal of Vascular Surgery 2009 49552 -560 DOI: (10. 1016/j. jvs. 2008. 10. 008) Copyright © 2009 The Society for Vascular Surgery Terms and Conditions

Fig 4 Journal of Vascular Surgery 2009 49552 -560 DOI: (10. 1016/j. jvs. 2008.

Fig 4 Journal of Vascular Surgery 2009 49552 -560 DOI: (10. 1016/j. jvs. 2008. 10. 008) Copyright © 2009 The Society for Vascular Surgery Terms and Conditions

Fig 5 Journal of Vascular Surgery 2009 49552 -560 DOI: (10. 1016/j. jvs. 2008.

Fig 5 Journal of Vascular Surgery 2009 49552 -560 DOI: (10. 1016/j. jvs. 2008. 10. 008) Copyright © 2009 The Society for Vascular Surgery Terms and Conditions