Contenzioso e Consenso informato in Odontostomatologi a F






















































- Slides: 54
Contenzioso e Consenso informato in Odontostomatologi a F. Marci
Ø Maggiore informazione del paziente Ø Richiesta di prestazioni altamente specializzate Ø Copertura assicurativa
Ø Responsabilità professionale dell’odontoiatra Ø Consenso informato Ø Aspetti di contenzioso
Responsabilità professionale dell’Odontoiatra La diagnosi Ø Messa in atto di interventi conosciuti e di provata esperienza Ø Atti ed omissioni Ø Nesso tra danno e intervento Ø
Responsabilità professionale dell’Odontoiatra ELEMENTI DI VALUTAZIONE DEL DANNO Ø Doloso • Imperizia (mancanza di esperienza) Ø Colposo • Imprudenza (interventi non sperimentati) • Negligenza (mancanza di attenzione al problema) • Preesistenti Ø Concause • Simultanee • Sopravvenute
Responsabilità professionale dell’Odontoiatra Ø Contrattuale (consenso informato) Ø Extracontrattuale • Obbligo di mezzi • Obbligo di risultato • Emergenze durante l’intervento • Danni al di fuori dell’intervento
Il consenso informato DUE ASPETTI FONDAMENTALI Ø Modalità per ottenere il consenso • • • Ø Informazione sulla patologia Natura del trattamento Doveri e collaborazione del paziente Consenso libero e consapevole Trattamento a minori e incapaci Quanto il Sanitario “sa dare relativamente al consenso sottoscritto”
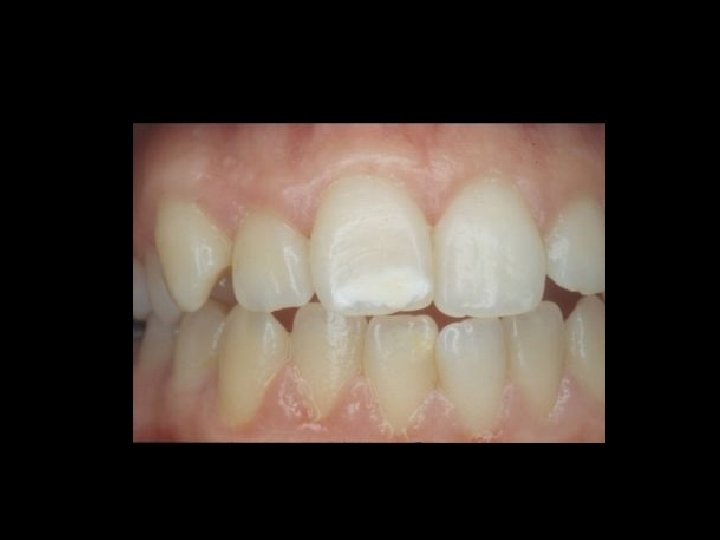
Il contenzioso PRINCIPALI AMBITI Ø Ø Ø La diagnosi La chirurgia orale La terapia conservativa Il trattamento delle anomalie dento-scheletriche La riabilitazione protesica
Il contenzioso PRINCIPALI AMBITI Ø Ø Ø La diagnosi La chirurgia orale La terapia conservativa Il trattamento delle anomalie dento-scheletriche La riabilitazione protesica
Il contenzioso PRINCIPALI AMBITI Ø Ø Ø La diagnosi La chirurgia orale La terapia conservativa Il trattamento delle anomalie dento-scheletriche La riabilitazione protesica
Responsabilità Ø Nel periodo pre-operatorio Ø Relativamente all’intervento Ø Nel periodo post-operatorio
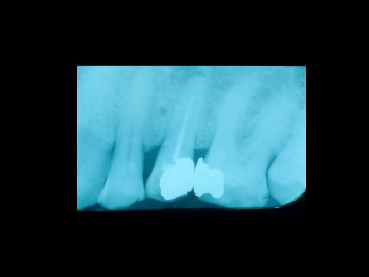
Il contenzioso PRINCIPALI AMBITI Ø Ø Ø La diagnosi La chirurgia orale La terapia conservativa Il trattamento delle anomalie dento-scheletriche La riabilitazione protesica
Responsabilità Ø Restauro della corona del dente Ø Trattamenti radicolari
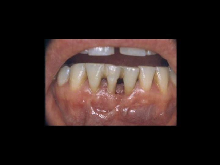
Il contenzioso PRINCIPALI AMBITI Ø Ø Ø La diagnosi La chirurgia orale La terapia conservativa Il trattamento delle anomalie dento-scheletriche La riabilitazione protesica
Responsabilità Ø Ø Ø Ø Garanzia di mezzi Garanzia di risultato Trattamento di soggetti in crescita Trattamento di soggetti al termine della crescita Comportamenti del paziente Risultato e recidiva Danni iatrogeni
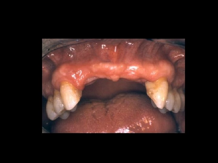
Il contenzioso PRINCIPALI AMBITI Ø Ø Ø La diagnosi La chirurgia orale La terapia conservativa Il trattamento delle anomalie dento-scheletriche La riabilitazione protesica
Responsabilità Garanzia di mezzi Ø Garanzia di risultato Ø Scelta del tipo di trattamento Ø Ø Condizioni denti Ø Condizioni delle mucose Ø Condizioni delle ATM Ø Preparazione dei denti pilastro Ø Prospettive di risultato estetico Ø Prospettive di risultato nel tempo Ø Caratteri del manufatto