CONSIGNES DE CONCEPTION Utiliser ce modle pour chacun
































- Slides: 32
CONSIGNES DE CONCEPTION - Utiliser ce modèle pour chacun des dossiers et l’enregistrer sous le nom de la conférence en ajoutant le numéro de dossier (exemple : D 3 -Cardiologie 2 -dossier 4. ppt), - Ne jamais couvrir les éléments graphiques en bas à droite de chaque diapo et conserver l’interligne de 1, 5 (Sélectionner tout le texte, clic droit, Paragraphe, Interligne) - Sélectionner dans la barre latérale puis dupliquer (Ctrl+C puis Ctrl+V) les diapos quand davantage d’espace est nécessaire, de manière à conserver tous les éléments graphiques, - Envoyer les fichiers une semaine avant l’enregistrement à l’adresse suivante : confraphael@gmail. com Le respect de ces consignes est indispensable à l’enregistrement des conférences. Merci
www. conf-raphael. com
D 4 : Nom et numéro de la conférence Dossier n° 1 Laisser ces éléments vierges partout
Enoncé Mme A. , 37 ans, secrétaire médicale, vous consulte car, depuis quelques semaines, elle est réveillée par des douleurs invalidantes des poignets, des doigts et du coude droit et des douleurs plus modestes des genoux, des avant-pieds et des épaules, non calmées par la prise quotidienne de 3 g d’aspirine. Elle se plaint aussi d’une « ankylose » importante des mains (Dia 1), le matin, qui ne régresse qu’au bout d’une heure, en se lavant les mains à l’eau chaude. Au froid, par contre, ses doigts deviennent tout blanc, puis tout bleu et lui font très mal. 4
Enoncé (suite) Elle n’est plus capable d’ouvrir un pot de confiture et a dû s’arrêter de travailler, car elle n’arrive plus à taper sur les touches de son clavier d’ordinateur. Dans ses antécédents, on note une primo-infection tuberculeuse à l’âge de 5 ans et une hépatite virale aiguë, spontanément résolutive, à l’âge de 23 ans. Elle a 3 enfants. Elle fume 10 cigarettes par jour depuis 20 ans et ne boit pas. Elle ne prend aucun traitement particulier. Elle n'a aucun antécédent familial notable. 5
Enoncé (fin) Elle pèse 58 kg pour 1, 68 m. A l’examen, vous notez une crépitation à la flexion – extension des doigts et une tuméfaction des 2èmes, 3èmes et 4èmes MCP droites et gauches, des 2 ème et 3ème IPP droites et des 3ème et 4ème IPP gauches (elle a dû ôter sa bague), des poignets et du genou droit, sans choc rotulien. La pression latérale des avant-pieds (squeeze test) est douloureuse. L’auscultation cardio-pulmonaire est normale ; la PA est de 130/70 mm. Hg. L’examen cutané est normal. Le reste de l’examen clinique est sans anomalies. 6
Question 1 Quel diagnostic vous paraît-il le plus probable ? Sur quels arguments de l’observation ? 8
Question 1 • Il faut évoquer une polyarthrite rhumatoïde débutante (5 pts) sur : – Le terrain : femme (1 pt) – La polyarthrite subaiguë bilatérale et symétrique à prédominance distale (2 pts) affectant poignets, MCP et IPP, pieds (squeeze test positif), genoux et coude avec pannus synovial (2 pts) (crépitation tendineuse = tendinosynovite). – Le respect des IPD et du squelette axial (2 pts) – L’acrosyndrome au froid (syndrome de Raynaud secondaire) (2 pts) – L’argument de fréquence (2 pts) – L’absence de manifestations extra-articulaires 9
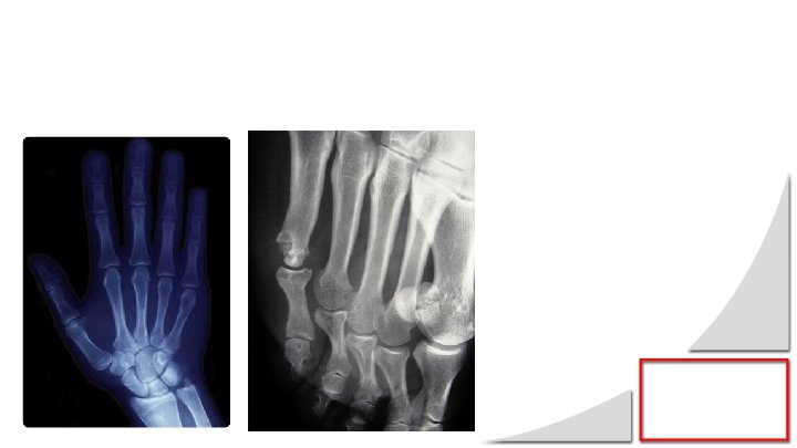
Question 2 Des radiographies ont été pratiquées à la demande de son médecin traitant (Iconographies 1 et 2). Analysez les. 10
Question 2 • Radiographie de la main - Tuméfaction des parties molles (1 pt) - Déminéralisation épiphysaire en bande (2 pts) - NB/ Pas d’érosions juxta-articulaires du carpe ni des doigts • Radiographie de l’avant-pied - Erosion de la 5ème tête métatarsienne (3 pts) très évocatrice de PR 12
Question 3 La patiente vous apporte les résultats biologiques suivants : - Hb = 11, 1 g/dl, GB = 7500/mm 3 (FX normale), plaquettes= 475 000 /mm 3 - VS = 57 mm à la 1ère heure, Protéine C réactive = 60 mg/L - Latex Waaler Rose négatif; AC anti-nucléaires positifs à 1/160 (aspect moucheté). Quel examen biologique demandez-vous pour confirmer votre suspicion diagnostique ? 13
Question 3 • Recherche des AC anti-CCP (AC anti-peptides cycliques citrullinés ou ACPA = AC antiprotéines citrullinées) (4 pts) précoces et spécifiques +++ (positifs dans 50% des cas). • NB/ Si plusieurs examens étaient demandés, intérêt du facteur rhumatoïde et du typage des anticorps anti-nucléaires (AC anti-ECT, notamment AC anti-SSA, SSB) 14
Question 4 Votre diagnostic se confirme. Quelle est votre attitude thérapeutique ? 15
Question 4 • Repos et arrêt de travail (2 pts) en ambulatoire ou courte hospitalisation. • Traitement de fond par le méthotrexate (5 pts) en 1ère intention: – en débutant à faible dose : 0, 2 à 0, 3 mg/Kg/semaine, soit 7, 5 mg à 15 mg (3 à 6 cp/semaine, en 3 prises) et en augmentant de 2, 5 (1 cp)/semaine (sans dépasser 30 mg), selon l’évolution clinique et biologique – associé à l’acide folique (Spéciafoldine® 5 mg) : 3 cp/semaine (1 pt) – sous contraception orale (2 pts) chez la femme en âge de procréer. – Après bilan préthérapeutique – Avec surveillance clinique et biologique du traitement. 16
Question 4 • Corticothérapie orale par prednisone (2 pts) 0. 2 mg/kg/J (10 – 12 mg) • Traitement symptomatique antalgique adapté à l’EVA: palier 1 ou 2 (1 pt) • Prévention du syndrome de Raynaud : éviter l’exposition au froid • Education thérapeutique de la patiente (2 pts) et remise d’un carnet de suivi : information sur la maladie, ses traitements, ses complications + correction des facteurs de risque cardiovasculaires = arrêt du tabac +++ (1 pt) + conseils diététiques • Psychothérapie et implication de l’entourage • Aménagement du travail + adaptation (orthèses) + kiné (à distance) • Demande de prise en charge à 100% (ALD 30) (1 pt) 17
Question 5 Quels examens demandez-vous avant de débuter le traitement de fond ? 18
Question 5 • NFS-plaquettes (2 pts) • Créatinine (2 pts) • Bilan hépatique complet (2 pts - PMZ) : ASAT, ALAT, phosphatases alcalines, bilirubine ; albuminémie ; hémostase; sérologies HBV, HCV +++ • Bêta-HCG chez la femme en âge de procréer (2 pts) • Bilan pulmonaire (au moindre doute) : Rx thorax ; EFR (2 pts) 19
Question 6 Quels sont les éléments de la surveillance de la maladie (sans la surveillance des traitements) ? 20
Question 6 • Surveillance clinique: – EVA douleur + EVA globale par le patient de l’activité de sa maladie (2 pts) – Nombre d’articulations douloureuses (NAD) (2 pts) et gonflées (NAG) (2 pts) – Nombre de réveils nocturnes, durée de la raideur matinale, … • Surveillance biologique: NFS-VS, CRP (2 pts) • DAS 28 (2 pts) = EVA + NAD + NAG (sur 28 articulations) + VS ou CRP • Surveillance radiographique : – Articulations douloureuses (tous les 6 mois au début) (1 pt) – Rachis cervical avec clichés dynamiques (1 pt) 21
Question 7 Quels sont les objectifs de votre traitement ? 22
Question 7 • Rémission clinique (2 pts) : DAS 28 < 2, 6 avec régression des douleurs et de la gêne fonctionnelle (ou activité faible avec DAS 28 < 3, 2) • Prévention des lésions osseuses (érosions, destructions, déformations) (2 pts) • Préservation de la qualité de vie (HAQ) (2 pts) et limitation des conséquences psychologiques 23
Question 8 Malgré l’administration du traitement de fond à dose maximale, la patiente reste douloureuse et invalidée, les articulations gonflées, le DAS 28 élevé à 5, 9. Quelle est votre attitude thérapeutique ? 24
Question 8 • Mise en route d’une biothérapie par un traitement anti-TNF alpha (5 pts) en association au méthotrexate : – Par un AC monoclonal anti-TNF alpha (1 pt) : • infliximab (Rémicade ) : 1 perf toutes les deux semaines • ou adalimumab (Humira ) : 1 inj SC toutes les deux semaines – Ou par un récepteur soluble du TNF alpha (1 pt) : • étanercept (Enbrel ) : 1 inj SC toutes les semaines 25
Question 9 Quelles en seraient les contre-indications ? 26
Question 9 • Contre-indications aux anti-TNF alpha : – Infection évolutive (3 pts - PMZ) quelle qu’en soit la localisation, cutanée, stomatologique, ORL, urinaire, …, dont la tuberculose +++ (2 pts) et les infections virales chroniques à VHB, VHC, VIH (1 pt) – Néoplasie (cancer ou hémopathie) évolutive (3 pts - PMZ) – SEP (1 pt) et maladies démyélinisantes – Insuffisance cardiaque, hépatique, rénale sévère – Grossesse, allaitement 27
Question 10 Quel bilan préthérapeutique vous semble-t-il indispensable de réaliser avant de prescrire ce traitement ? 28
Question 10 • Un bilan complet de tuberculose est indispensable (ATCD de primo-infection) : – Tuber-test ( IDR 5 UI) (2 pts) ou Quantiféron (2 pts) – Rx thorax F + P (2 pts) – BK tubages, crachats, urines (2 pts) • Bilan infectieux cutané, stomatologique (panoramique) et ORL (Rx des sinus), urinaire (ECBU)… (2 pts) • Sérologies VHB, VHC, VIH (2 pts) • Bilan biologique standard: NFS-plaquettes ; créatinine ; ASAT, ALAT • Bêta-HCG 29
Conclusion La polyarthrite rhumatoïde est le plus fréquent des rhumatismes inflammatoires. Son diagnostic a été révolutionné par la présence d’AC anti-CCP fréquents à un stade précoce et spécifiques, permettant la mise en route d’un traitement efficace susceptible de prévenir la survenue destructions et des déformations articulaires. Son traitement repose en première intention sur le méthotrexate, en seconde intention sur les anti-TNF alpha, dont il faut connaitre les contre-indications et les précautions d’emploi. 30
Items abordés - 121. Polyarthrite rhumatoïde. - 306. Douleur des membres et des extrémités. - 307. Douleur et épanchement articulaire. Arthrite d'évolution récente. 31
www. conf-raphael. com