CONSIDERATII GENERALE ASUPRA CHISTULUI HIDATIC PULMONAR C Mitrofan

  • Slides: 43
Download presentation
CONSIDERATII GENERALE ASUPRA CHISTULUI HIDATIC PULMONAR C. Mitrofan, A. Aldea, C. Grigorescu, I. Jitaru,

CONSIDERATII GENERALE ASUPRA CHISTULUI HIDATIC PULMONAR C. Mitrofan, A. Aldea, C. Grigorescu, I. Jitaru, C. Moldoveanu, G. Iosep, S. Bolog, M. Radulescu Clinica de Chirurgie Toracica U. M. F. Iasi

Caracteristici generale n n n Boala parazitara determinata de Taenia echinococcus granulosus. Descrisa inca

Caracteristici generale n n n Boala parazitara determinata de Taenia echinococcus granulosus. Descrisa inca de pe vremea lui Hipocrat si a lui Galen. Termenul de “chist hidatic” utilizat de Rudolphi in 1908. Localizarea pulmonara este a doua ca frecventa dupa cea hepatica. Boala cu distributie endemica in regiunea mediteraneana, Orientul Mijlociu, Australia, Noua Zeelanda, America de Sud.

Material si Metoda n Studiul de fata analizeaza retrospectiv 162 de cazuri operate in

Material si Metoda n Studiul de fata analizeaza retrospectiv 162 de cazuri operate in perioada 1999 – 2003.

Distributia in functie de sex si mediu

Distributia in functie de sex si mediu

Distributia pe grupe de varsta Limite de varsta: 11 – 78 ani

Distributia pe grupe de varsta Limite de varsta: 11 – 78 ani

Distributie in functie de faza evolutiva

Distributie in functie de faza evolutiva

Semne si simptome clinice

Semne si simptome clinice

Distributie in functie de numarul localizarilor

Distributie in functie de numarul localizarilor

Asociere CHP cu CHH

Asociere CHP cu CHH

Cai de acces

Cai de acces

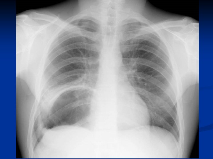
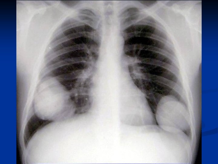
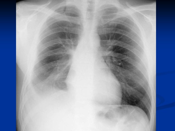
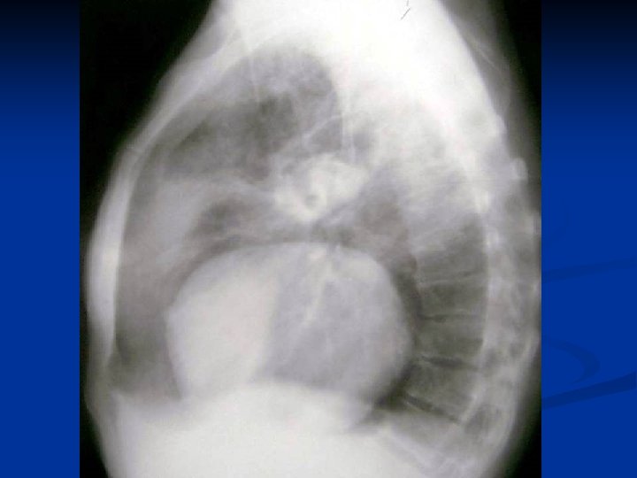
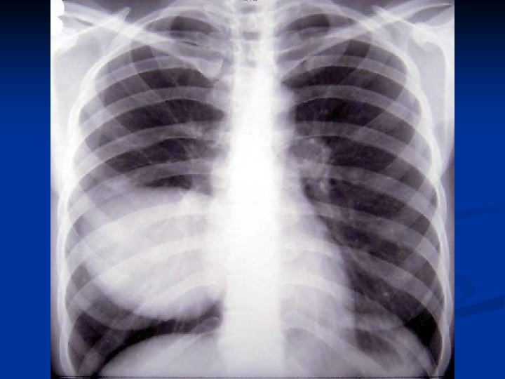
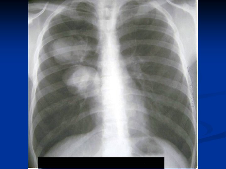
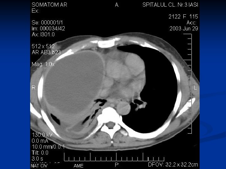
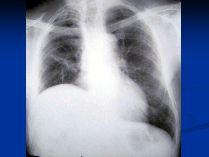
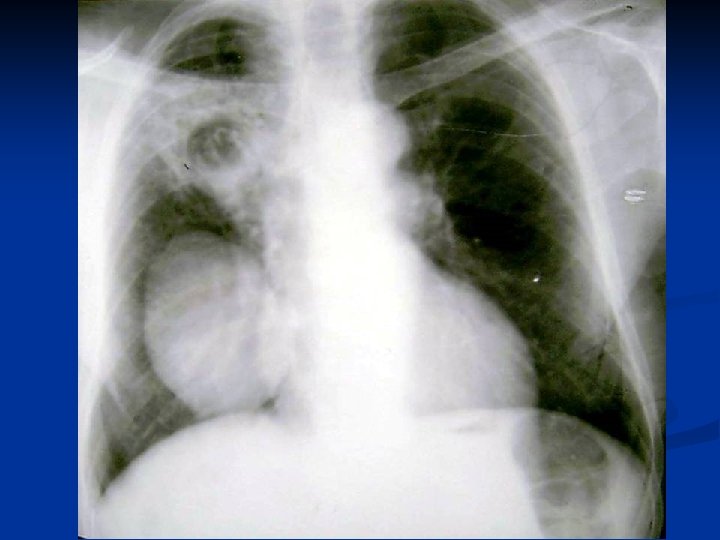
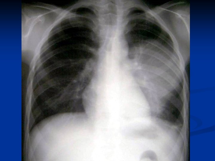
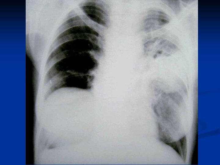
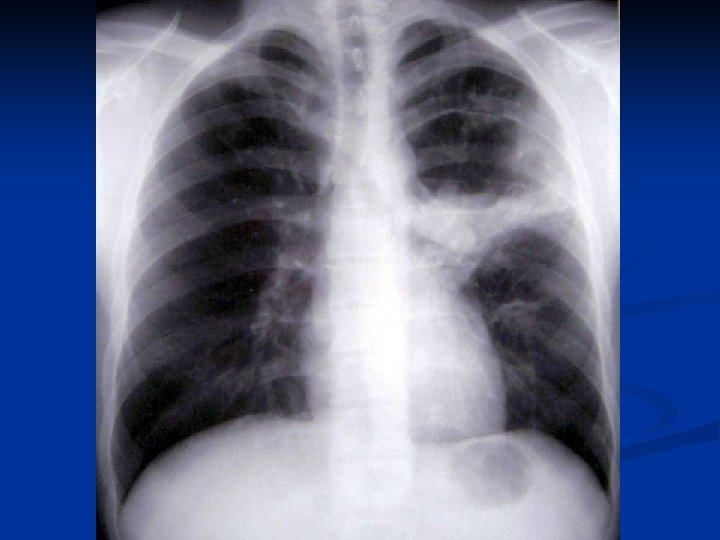
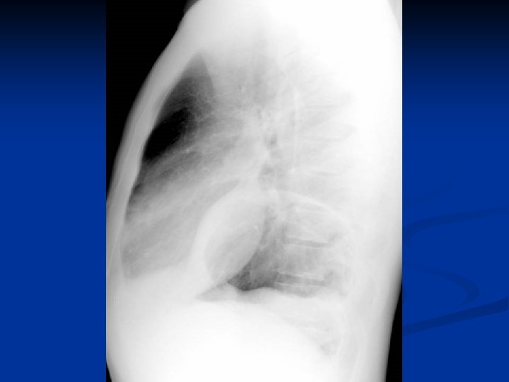
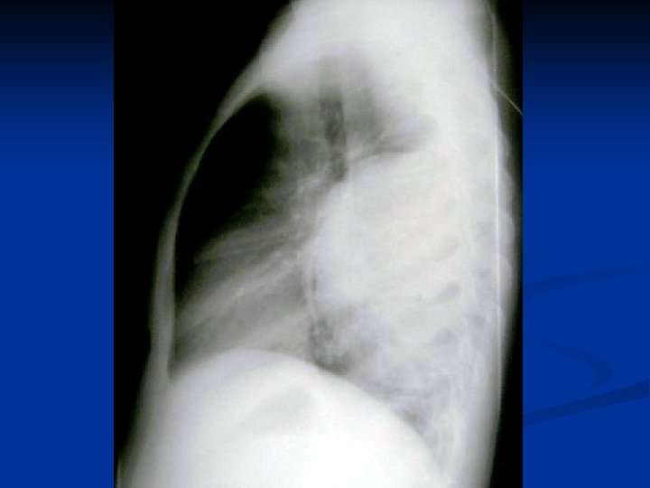
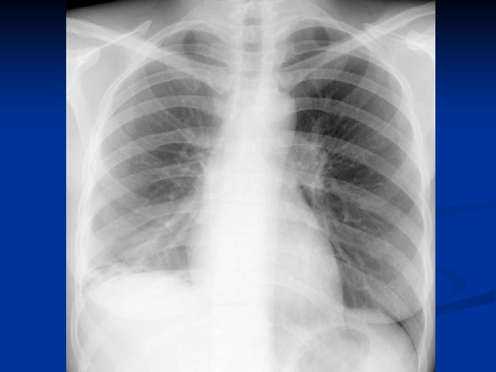
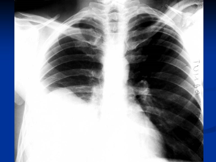
Metode de diagnosticare

Metode de diagnosticare

Procedee chirurgicale conservatoare

Procedee chirurgicale conservatoare

Procedee chirurgicale radicale

Procedee chirurgicale radicale

Complicatii Soc anafilactic intraoperator – 3 cazuri n Efractia chistului in cavitatea pleurala –

Complicatii Soc anafilactic intraoperator – 3 cazuri n Efractia chistului in cavitatea pleurala – 2 cazuri n Cheag postoperator – 1 caz n Pneumotorax – 4 cazuri n Decese – 1 caz n

Concluzii n n n CHP evolueaza mult timp asimptomatic sau cu simptome nespecifice. Diagnosticul

Concluzii n n n CHP evolueaza mult timp asimptomatic sau cu simptome nespecifice. Diagnosticul precoce este deosebit de important avand in vedere evolutia acestei boli. Tratamentul medical antiparazitar (Albendazol) este indicat postoperator. Rezectia pulmonara este o metoda de rezerva in tratamentul chirurgical al CHP. Indicatia operatorie este absoluta, tehnica operatorie alegandu-se in functie de caracteristicile fiecarui caz in parte.