Connective tissue disease Connective tissue diseases n Lupus









































- Slides: 41
Connective tissue disease 國泰醫院皮膚科
Connective tissue diseases n Lupus erythematosus n Dermatomyositis/Polymyositis n Scleroderma n Others: Sjögren's syndrome Relapsing polychondritis Raynaud’s phenomenon …. .
Lupus Erythematosus I. Cutaneous LE : A. Acute cutaneous LE (ACLE): 1. Localized ACLE (malar rash; butterfly rash) 2. Generalized ACLE B. Subacute cutaneous LE (SCLE): 1. Papulosquamous (psoriasiform) SCLE 2. Annular (polycyclic) SCLE C. Chronic cutaneous LE (CCLE): 1. Classic Discoid LE (DLE) a. localized DLE b. generalized DLE 2. Hypertrophic DLE 3. Lupus profundus/ Lupus panniculitis II. Systemic lupus erythematosus (SLE)
American College of Rheumatology (ACR) Criteria for the Classification of SLE This classification is based on 11 criteria: >= 4/11 diagnosis 1. 2. 3. 4. 5. Malar rash Discoid rash Photosensitivity Oral ulcers, usually painless Arthritis, nonerosive, involving two or more peripheral joints, with tenderness, swelling, or effusion 6. Serositis (pleurisy or pericarditis) 7. Renal disorder (persistent proteinuria exceeding 0. 5 g/day or cellular casts) 8. Neurologic disorders (seizures or psychosis) 9. Hematologic disorders (hemolytic anemia; leukopenia of less than 4000/mm 3; lymphopenia of less than 1500/mm 3; or thrombocytopenia of less than 100, 000/mm 3) 10. Immunologic disorder (positive LE-cell preparation; anti-DNA in abnormal titer; antibody to Sm nuclear antigen; or false-positive serologic test for syphilis) 11. Antinuclear antibody (ANA)
Systemic Lupus Erythematosus Cause: n An autoimmune disorder involving multisystem inflammation and the generation of autoantibodies. n The specific cause of SLE is unknown, immune system dysregulation leading to immune complex formation is postulated to induce tissue damage. n Multiple influences, including genetic, racial, hormonal, and environmental factors, are associated with the development of SLE. n Hormonal factors are suspected to influence the course of SLE, with a high frequency in females, peak disease onset in the childbearing years.
Overview of the Extracutaneous Manifestations of SLE n n n n n General: Fever, fatigue, malaise, weight loss Musculoskeletal: Symmetric small joint arthralgia, arthritis (nondeforming and deforming) Hematologic: Anemia: Normocytic normochromic, Hemolytic Leukopenia: Lymphopenia, Granulocytopenia Thrombocytopenia Cardiopulmonary Renal Neuropsychiatric Gastrointestinal Ocular Lymphatic system: Lymphadenopathy, Splenomegaly
Systemic Lupus Erythematosus Autoantibody testing: n ANA: screening Anti-ds. DNA: levels may correlate with disease activity, particularly with SLE nephritis. Anti-DNA histones: drug- induced lupus. Anti-Sm: highly specific for SLE Anti-SSA/Ro and Anti-SSB/La: SCLE, neonatal LE, other connective tissue disease, including Sjogren syndrome. n Antiphospholipid Ab: Anticardiolipin Ab and lupus anticoagulant n Other autoantibodies: rheumatoid factor, Coomb’s antibody n VDRL/RPR
Systemic Lupus Erythematosus Treatment: Guided by the individual patient's manifestations. The goals of therapy are reversal of the immune dysregulation and inflammation, prevention of permanent organ dysfunction, and improvement of symptoms. n Prevention: Avoid ultraviolet light and sun exposure to minimize worsening symptoms due to photosensitivity. n
Dermatomyositis/Polymyositis Dermatomyositis: autoimmune inflammatory injury occur in striated muscle and skin. n Clinical subgroups: 1. Polymyositis 2. Dermatomyositis 3. Polymyositis or dermatomyositis associated with malignancy 4. Childhood dermatomyositis 5. Polymyositis or dermatomyositis with an associated connective tissue disorder n Associated with malignancy: ≧ 60 Y/O, NPC in Taiwan. n
Dermatomyositis Diagnostic criteria 1. Typical skin rash 2. Symmetric proximal muscle weakness with or without dysphagia or respiratory muscle involvement 3. Abnormal muscle biopsy specimen 4. Elevation of skeletal muscle–derived enzymes 5. Abnormal electromyogram n Confidence limits for diagnosis of dermatomyositis 1. Definite dermatomyositis—rash and three of the four other diagnostic criteria 2. Probable dermatomyositis—rash and two of the four other diagnostic criteria 3. Possible dermatomyositis—rash and one of the four other diagnostic criteria n
Dermatomyositis n 1. Adult-onset classic dermatomyositis 2. Classic dermatomyositis with malignancy 3. Juvenile-onset classic dermatomyositis 4. Classic dermatomyositis as part of an overlap connective tissue disorder 5. Amyopathic dermatomyositis (adult and juvenile onset)
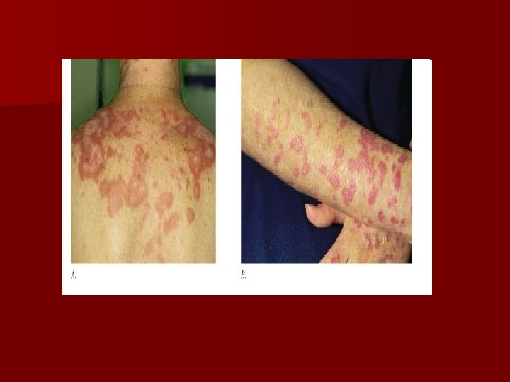
Dermatomyositis n Pathognomonic 1. Gottron's papules: Papules having a violaceous hue overlying the dorsal-lateral aspect of interphalangeal and/or metacarpophalangeal joints. When fully formed, these papules become slightly depressed at the center, which can assume a white, atrophic appearance. Associated telangiectasia can be present. 2. Gottron's sign: Symmetric confluent macular violaceous erythema with or without edema overlying the dorsal aspect of the interphalangeal/metacarpophalangeal joints, olecranon processes, patellae, and medial malleoli.
Gottron's papules
Heliotrope sign
Dermatomyositis Treatment: involves general measures and measures to control both the muscle disease and the skin disease. Bed rest, and a program of physical therapy is useful to help prevent contractures. n Calcinosis: This complication of the disease affects children and adolescents. n Prevention: Skin disease is exacerbated by sunlight and other sources of ultraviolet light. n
Sleroderma n Scleroderma: a chronic disease, unknown etiology, affects microvasculature and connective tissue. n Two types of scleroderma 1. localized scleroderma (morphea): 2. systemic sclerosis (SSc): limited SSc and diffuse SSc
Sleroderma Localized scleroderma: is not a life-threatening disease but can cause disfigurement. Several clinical forms: 1. Morphea: the most common type, poorly defined areas of nonpitting edema, surface smooth and shiny with the loss of hair follicles. 2. Generalized morphea: absence of Raynaud's phenomenon, acrosclerosis, and organ involvement differentiates generalized morphea from SSc. 3. Guttate morphea: small and superficial 4. Subcutaneous morphea (morphea profunda) 5. Linear scleroderma 6. Frontal or frontoparietal linear scleroderma, called coup de sabre n
Morphea n Diagnosis: no diagnostic laboratory tests are available for morphea. n Treatment: No proven effective treatments for morphea exist. Most patients with plaque-type morphea experience very gradual spontaneous remission.
Systemic scleroderma Classification of Systemic Scleroderma Subsets: Diffuse cutaneous SSc (d. SSc) Onset of skin changes (puffy or hidebound) within 1 year of onset of Raynaud's phenomenon Truncal and acral skin involvement Tendon friction rubs Early and significant interstitial lung disease, oliguric renal failure Diffuse gastrointestinal disease Myocardial involvement Nail fold capillary dilatation and drop out Antitopoisomerase-l (Scl-70) antibodies (30% of patients) Limited cutaneous SSc (l. SSc) Raynaud's phenomenon for years (occasionally decades) Skin involvement limited to hands, face, feet, and forearms ( acral) A significant late incidence of pulmonary hypertension, with or without interstitial lung disease, skin calcification, telangiectasia, and gastrointestinal involvement High prevalence (70 -80%) of ACA (anticentromere Ab) Dilated nail fold capillary loops, usually without capillary drop out Scleroderma sine scleroderma Raynaud's phenomenon No skin involvement Presentation with pulmonary fibrosis, scleroderma, renal crisis, cardiac or gastrointestinal disease Antibodies may be present (Scl-70, ACA, nucleolar) n
Systemic scleroderma n 1. 2. 3. 4. 5. CREST Syndrome: Calcinosis cutis Raynaud's phenomenon Esophageal dysfunction Sclerodactyly Telangiectasia
Systemic scleroderma Treatment: In pruritus: topical steroid and emollients, PUVA Calcinosis: anticoagulant, colchicine, intralesional steroid, calcium-channel blockers Raynaud’s phenomenon: avoiding exposure to cold temperature, smoking cessation is advised. n Complications: neoplastic diseases may complicate the disease course. n Prognosis: depends on the type of SSc. n
Sjögren's syndrome: a rheumatologic disease, dryness of the mucous membranes of the eyes, mouth. n The etiology is unknown. n Primary Sjögren's syndrome: occur alone n Secondary Sjögren's syndrome: association with other connective tissue diseases such as rheumatoid arthritis, progressive systemic sclerosis, and SLE. n
Sjögren's syndrome n European Epidemiology Center Criteria Ocular symptoms (at least one) – Daily, persistent, troublesome dry eyes for more than 3 months – Recurrent sensation of sand or gravel in the eyes – Use of a tear substitute more than 3 times/day Oral symptoms (at least one) – Daily feeling of dry mouth for at least 3 months – Recurrent feeling of swollen salivary glands – Drinking liquids to help wash down dry foods Objective evidence of dry eyes (at least one) – Schirmer I test 5 mm or below/5 minutes – Rose bengal score of 4 or greater according to van Bijsterveld system Histopathologic signs – Minor salivary gland biopsy with focus score of 1 or greater Objective evidence of salivary gland involvement (at least one) – Salivary gland scintigraphy – Parotid sialography – Unstimulated whole sialometry 1. 5 ml/15 minutes or below Laboratory abnormality (at least one) – Anti-SS-A or anti-SS-B antibody – ANA – Ig. M rheumatoid factor Exclusion criteria: preexisting lymphoma, acquired immunodeficiency Syndrome, sarcoidosis, graft-versus-host disease.
Sjögren's syndrome n Cutaneous manifestations: Xerosis, palpable and nonpalpable purpura, urticaria-like vasculitic lesions, erythema multiforme-like, erythema perstans, erythema nodosum lesions, cutaneous lymphoma, nodular amyloidosis, Sweet's syndrome, Annular erythematosus lesion (donut lesion) described in Japanese patients
Relapsing polychondritis n n Relapsing polychondritis: a rare disease, recurring episodes of inflammation in cartilagenous tissues throughout the body. Auricular chondritis and arthritis: the most common. The chondritis: sudden onset, redness, warmth, swelling, and tenderness limited to the cartilagenous portion of the external ears, the ear lobe is typically uninvolved. Lab: ESR increase, Ab to type II collagen (1/3 to 1/2).
Raynaud’s phenomenon Raynaud's phenomenon: the occurrence of episodic attacks of digital ischemia provoked by exposure to cold or emotional stress. n The classic episode of Raynaud's phenomenon: A triphasic color change of pallor, cyanosis, and hyperemia of the fingers. Symptoms of numbness or tingling during the attack or actual pain with recovery are common. n Primary (idiopathic) and secondary forms. n