Connective tissue Definition It comprises a diverse group


























- Slides: 26
Connective tissue
Definition: It comprises a diverse group of cells embedded in a tissue-specific extracellular matrix. it is a basic tissue which is structurally formed by cells, fibers and ground substance, performs binding, support , transport & nutritive function for organ system.
Characteristic features • • Consist of less cells, no well defined size. Extracellular matrix is more. More intercellular space. Vascular (except cartilage), innervations present. • Great regenerative capacity. • Almost all connective tissue develops from mesoderm except head region (from neural crest cells)
Composition of connective tissue • Cells & • Extra cellular matrix.
cells • Fixed /resident/permanent: fibroblast adipocyte persistent mesenchymal cells They are native to the tissue in which they are found, relatively stable, little movement, originate locally from undifferentiated mesenchymal cells and spend all their life in connective tissue.
• Immigrant/wandering cells: mast cell macrophage plasma ell lymphocyte other blood derived connective tissue cells such as leukocytes
• They are immigrant cells, usually from blood or bone marrow (hematopoietic stem cell) , circulate in blood, move into connective tissue where they remain & execute their functions.
Extra cellular matrix • Fibers : collagen fiber elastic fiber reticular fiber • Ground substance: anionic macromolecule- GAG, proteoglycan, glycoprotein multiadhesive glycoprotein- laminin , fibronectin.
Classification of connective tissue 1. Embryonic connective tissue: v Mesenchyme (embryo) v Mucous connective tissue (umbilical cord& wharton’s jelly)
2. Adult connective tissue: v. Connective tissue proper – ü loose areolar tissue (e. g lamina propria of allmost all organ)
ü Dense connective tissue – irregular (dermis, submucosa of all organ) regular (capsule , ligament , apponeurosis)
v. Specialized connective tissue : ü Skeletal – bone cartilage ü Haemolymphoid – blood bone marrow lymph node ü Reticular – lymphoid organ ü Adipose tissue – unilocular/yellow multilocular/brown adipose tissue
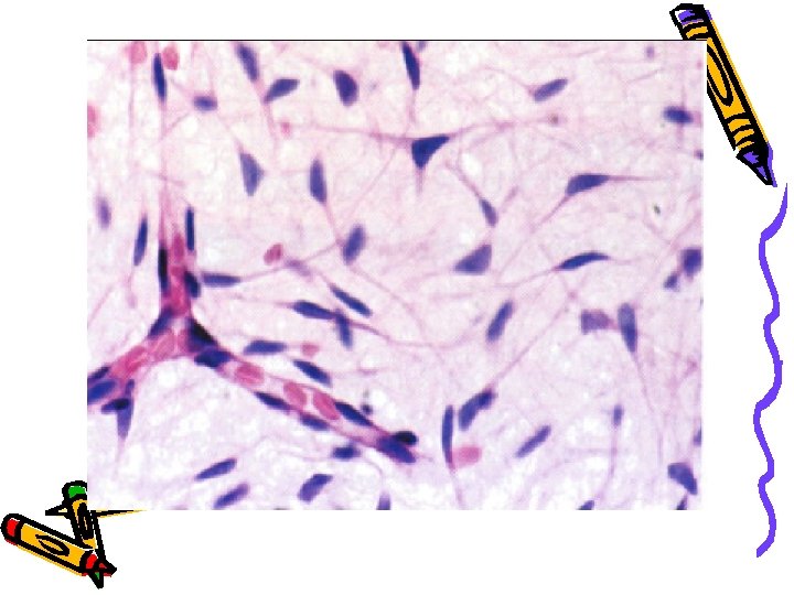
Embryonic connective tissue: a) Mesenchyme - primarily found in embryo - small spindle shaped cells with processes - gap junctions are present between the processes - the ground substance is viscous - very fine , sparse collagen fibers are present
Embryonic connective tissue
b) Mucous connective tissue: -found in umbilical cord & fetal tissue - composed of specialized, gelatin-like extracellular matrix - ground substance (hyaluronic acid)is known as Wharton’s jelly - fibroblasts are spindle shaped and widely separated - thin, very few collagen fibers are present
Connective tissue proper • Loose connective tissue: - cells are abundant (fibroblast & macrophage) - abundant ground substances which plays an important role in the diffusion of nutrients and metabolites to and from the connective tissue - fibres are loosely arranged - located beneath the covering epithelia, associated with the epithelium of the glands, surrounding blood vessels - it is flexible , vascularized & not very resistant to stress.
• Dense regular connective tissue: - ordered and densely packed fibres and cells are present - fibres are the prominent features - little ground substances - fibres are arranged densely in parallel array to provide maximum strength - cells are aligned between the bundles of fibres - e. g; Tendons, ligaments, aponeurosis
Dense regular connective tissue
• Dense irregular connective tissue: - abundant fibres, mostly collagen fibres, oriented in different directions - few cells are present and mainly fibroblasts - little ground substance is present - provides significant strength and in submucosa it prevents exessive stretching and distension - e. g; dermis of the skin, submucosa
Dense irregular connective tissue