Congenital dislocation of the Hip Developmental dislocation of

  • Slides: 35
Download presentation

Congenital dislocation of the Hip Developmental dislocation of the Hip Dysplasia Neonatal Hip instability

Congenital dislocation of the Hip Developmental dislocation of the Hip Dysplasia Neonatal Hip instability

Females First born Left Family history Breech

Females First born Left Family history Breech

Clinical Examination – 70 % sensitivity • • • Asymmetrical thigh creases Leg length

Clinical Examination – 70 % sensitivity • • • Asymmetrical thigh creases Leg length discrepancy Limited hip abduction Barlow Test Ortolani Test Foetal packing Norwegion arthroplasty register and birth registry – Acta Orthop 2008 only 8% of those who underwent THR due to dysplasia were reported to have unstable hips at birth

NIPE examination – by 72 hours Clinical examination • • • Leg lengths Galleazi

NIPE examination – by 72 hours Clinical examination • • • Leg lengths Galleazi test Skin creases Abduction Ortolani test Barlow test Referred and undergo USS within 2 weeks of age Risk Factors • first degree family history, baby’s parents, or siblings • ? breech presentation at or after 36 completed weeks of pregnancy, • All multiple births associated with breech presentation Referred and undergo USS within 6 weeks of age

GP examination – 6 weeks Clinical examination • • • Leg lengths Galleazi test

GP examination – 6 weeks Clinical examination • • • Leg lengths Galleazi test Skin creases Abduction Ortolani test Barlow test Risk Factors • first degree family history, baby’s parents, or siblings • ? breech presentation at or after 36 completed weeks of pregnancy, • All multiple births associated with breech presentation Refer directly to orthopaedic surgeon for urgent expert opinion to be seen by 10 weeks of age.

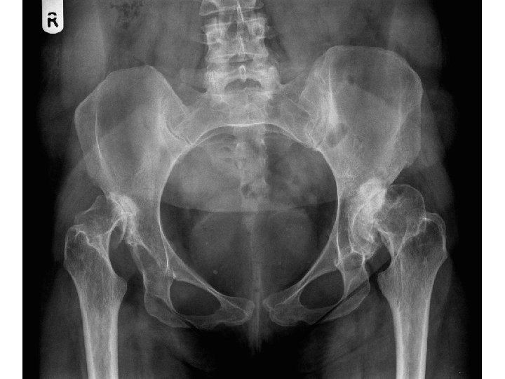
CONTINUUM OF DYSPLASIA TO INSTABILITY 5 – 7 per 1000 live births Normal Clinically

CONTINUUM OF DYSPLASIA TO INSTABILITY 5 – 7 per 1000 live births Normal Clinically undetectable Clinically detectable

Treatment outcome Early Presentation (< 3 months) Success of Pavlik Harness 85% No AVN

Treatment outcome Early Presentation (< 3 months) Success of Pavlik Harness 85% No AVN Further surgery < 1%

Dislocation Reduction Retention 4 weeks later

Dislocation Reduction Retention 4 weeks later

Treatment outcome Late Presentation > 1. 5 years Open reduction, capsulorrhaphy & Salter osteotomy(JBJSAm

Treatment outcome Late Presentation > 1. 5 years Open reduction, capsulorrhaphy & Salter osteotomy(JBJSAm 2007) 54 % hip survival at 45 years

Perkins Hilgenreiner

Perkins Hilgenreiner

Acetabular Index

Acetabular Index

Unified approach Agree screening standards Risk factors protocol Care pathway Ultrasound capacity Parental information

Unified approach Agree screening standards Risk factors protocol Care pathway Ultrasound capacity Parental information Staff training and skills Audit and repeat Establish NIPEC? With agreed data set

All Wales Referral form

All Wales Referral form

To reduce the impact of hip dysplasia in childhood across Wales. By improving diagnostic

To reduce the impact of hip dysplasia in childhood across Wales. By improving diagnostic standards, reducing variations in practice with early timely interventions. Thank-you