Computed Tomography Findings Predicting Invasiveness of Thymoma Edith

  • Slides: 6
Download presentation
Computed Tomography Findings Predicting Invasiveness of Thymoma Edith M. Marom, MD, Miguel A. Milito,

Computed Tomography Findings Predicting Invasiveness of Thymoma Edith M. Marom, MD, Miguel A. Milito, MD, Cesar A. Moran, MD, Ping Liu, MS, Arlene M. Correa, Ph. D, Edward S. Kim, MD, Ritsuko Komaki, MD, Jeremy J. Erasmus, MD, Wayne L. Hofstetter, MD, David C. Rice, MD, Stephen G. Swisher, MD Journal of Thoracic Oncology Volume 6 Issue 7 Pages 1274 -1281 (July 2011) DOI: 10. 1097/JTO. 0 b 013 e 31821 c 4203 Copyright © 2011 International Association for the Study of Lung Cancer Terms and Conditions

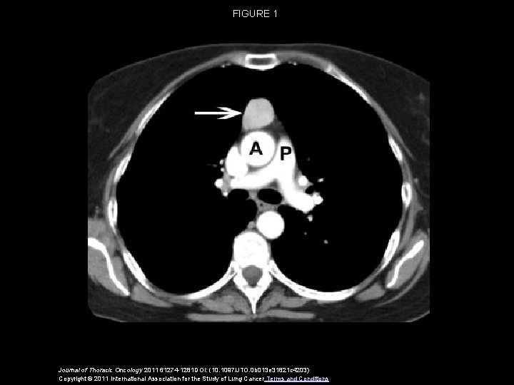
FIGURE 1 Journal of Thoracic Oncology 2011 61274 -1281 DOI: (10. 1097/JTO. 0 b

FIGURE 1 Journal of Thoracic Oncology 2011 61274 -1281 DOI: (10. 1097/JTO. 0 b 013 e 31821 c 4203) Copyright © 2011 International Association for the Study of Lung Cancer Terms and Conditions

FIGURE 2 Journal of Thoracic Oncology 2011 61274 -1281 DOI: (10. 1097/JTO. 0 b

FIGURE 2 Journal of Thoracic Oncology 2011 61274 -1281 DOI: (10. 1097/JTO. 0 b 013 e 31821 c 4203) Copyright © 2011 International Association for the Study of Lung Cancer Terms and Conditions

FIGURE 3 Journal of Thoracic Oncology 2011 61274 -1281 DOI: (10. 1097/JTO. 0 b

FIGURE 3 Journal of Thoracic Oncology 2011 61274 -1281 DOI: (10. 1097/JTO. 0 b 013 e 31821 c 4203) Copyright © 2011 International Association for the Study of Lung Cancer Terms and Conditions

FIGURE 4 Journal of Thoracic Oncology 2011 61274 -1281 DOI: (10. 1097/JTO. 0 b

FIGURE 4 Journal of Thoracic Oncology 2011 61274 -1281 DOI: (10. 1097/JTO. 0 b 013 e 31821 c 4203) Copyright © 2011 International Association for the Study of Lung Cancer Terms and Conditions

FIGURE 5 Journal of Thoracic Oncology 2011 61274 -1281 DOI: (10. 1097/JTO. 0 b

FIGURE 5 Journal of Thoracic Oncology 2011 61274 -1281 DOI: (10. 1097/JTO. 0 b 013 e 31821 c 4203) Copyright © 2011 International Association for the Study of Lung Cancer Terms and Conditions