Complicaciones mecnicas del infarto agudo de miocardio Simposio





















































































- Slides: 85
Complicaciones mecánicas del infarto agudo de miocardio Simposio Médico Cardiovascular, Neurovascular y Pulmonar en Enfermedad Coronaria Alvaro José Borrero Rengifo Residente de cirugía cardiovascular
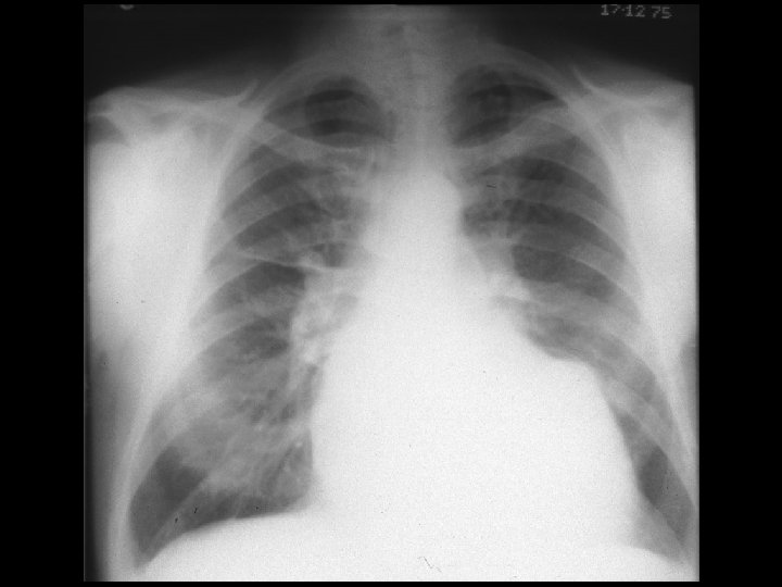
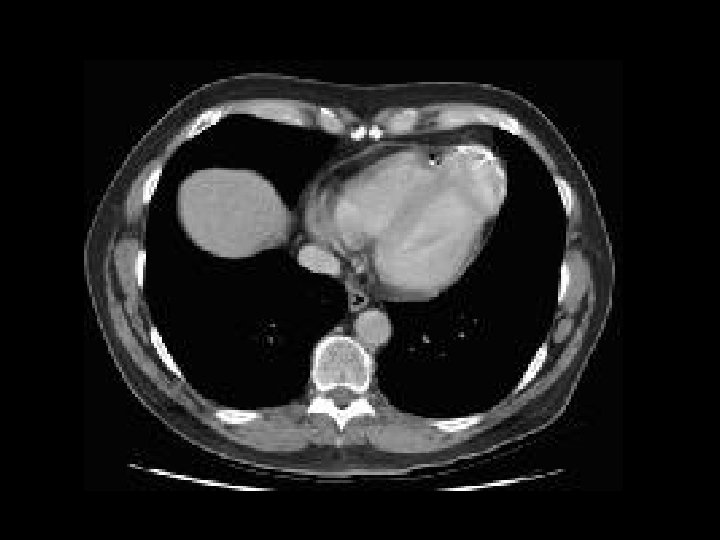
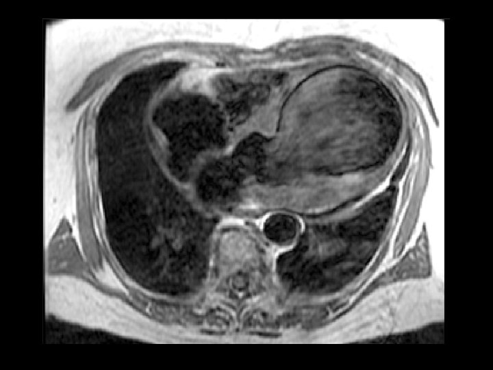
Aneurisma ventricular izquierdo
Definición o o o Cicatriz fibrosa transmural bien delineada. Pérdida del patrón trabeculado de la superficie interna ventricular, se encuentra reemplazado por tejido fibroso liso. En esta área la pared ventricular es delgada y tanto su superficie interna como externa se abomban hacia fuera. Cardiac Surgery, Kirklin/Barrat-Boyes. Third Edition
Definición o o Los criterios para separar un verdadero aneurisma de otros tipos de cicatriz ventricular no son claros. Johnson et al: “gran área única de infarto (cicatriz) que causa que la fracción de eyección del VI sea <35%” Cardiac Surgery, Kirklin/Barrat-Boyes. Third Edition
Nota histórica o o En 1880 de reconoce la relación entre enfermedad coronaria, infarto agudo de miocardio, fibrosis miocárdica y aneurisma ventricular izquierdo. Hasta 1950 se hicieron diagnósticos in vivo y a partir de ese momento la habilidad para diagnosticarlos viene mejorando.
Nota histórica o Cirugía: 1944 Beck refuerza un aneurisma ventricular con fascia lata para reducir la pulsación expansiva del ventrículo evitar su ruptura.
Nota histórica o o 1955: ventriculoplastia cerrada con un clamp ventricular izquierdo descrita por Likoff y Bailey. Pocos años mas tarde Bailey reportó cinco sobrevivientes de seis con esta técnica.
Nota histórica o 1959: Cooley (Houston), resección abierta exitosa de un aneurisma ventricular izquierdo utilizando la bomba de circulación extracorpórea.
Localización o o o Aproximadamente 85% son localizados anterolateralmente cerca al ápex. Unos pocos se encuentran laterales en el margen obtuso. 5 – 10% son posteriores cerca de la base del corazón.
Clínica y diagnóstico o Síntomas n n n n Angina severa: 31% Falla cardiaca: 21% Angina severa+ falla cardiaca: 19% Taquicardia ventricular + otros síntomas: 15% Falla cardíaca + angina moderada: 8% Angina moderada: 5. 5% Disnea de medianos esfuerzos: 0. 7% Barrat-Boyes et al.
Clínica y diagnóstico o Métodos de diagnóstico por imágenes n Ventriculografía izquierda n Ecocardiografía n TAC n Resonancia magnética
Historia natural o o Históricamente aproximadamente 10% a 30% de los sobrevivientes de una IAM mayor desarrollaban un aneurisma ventricular. Hoy en día, la prevalencia ha disminuido debido al progreso en el manejo del IAM. El uso de terapia trombolítica y la angioplastia. Otras progresos incluyen un mejor manejo de la hipertensión arterial y evitar el uso de corticoides, ambos factores para el desarrollo de aneurismas.
Técnica quirúrgica o La mayoría de pacientes sometidos a resección de aneurisma ventricular postinfarto, requieren también bypass coronario.
Técnica quirúrgica: generalidades o o o Canulación bicava / Venosa atrial única. No se requiere vent izquierdo. Pinza aórtica y cardioplejia. Hipotermia moderada. Si se va a realizar bypass coronario, primero realizar preparación de la arteria mamaria interna y puentes venosos distales.
Técnica quirúrgica: cierre lineal o o Incisión en la porción mas delgada del aneurisma, paralela al surco interventricular. Excisión del área cicatricial. Suturas de tracción en cada extremo de la línea de sutura. Cierre del defecto con puntos en U separados de polipropileno No. 1 sobre líneas de felpa y refuerzo de sutura continua No. 0.
Técnica quirúrgica: plastia con parche o o Incisión en la porción mas delgada del aneurisma, paralela al surco interventricular. Jareta con sutura de polipropileno 2 -0 en la línea que demarca la cicatriz con el miocardio. Medida del defecto. Parche de dacron o pericardio (autólogo o bovino).
Técnica quirúrgica: plastia con parche o o Sutura continua del parche con polipropileno 3 -0. El remanente de la pared aneurismática es suturada linealmente sobre el parche con puntos continuos de polipropileno 2 -0.
Sobrevida o No se ha demostrado diferencias en la mortalidad temprana en el cierre lineal vs. cierre con parche. Cardiac Surgery, Kirklin/Barrat-Boyes. Third Edition
Sobrevida o o o 30 días: 90% 1 año: 85% 3 años: 75% 5 años: 65% Algunos estudios reportan sobrevida entre 80% - 88% a 5 años Generalmente mejor que en manejo noquirúrgico. Cardiac Surgery, Kirklin/Barrat-Boyes. Third Edition
Ruptura de la pared libre ventricular izquierda
Ruptura ventricular post-infarto o 4% – 24% de los pacientes con IAM. Segunda causa de muerte en IAM después de falla cardiaca. Usualmente ocurre entre 1 – 7 días post-infarto.
Ruptura ventricular post-infarto o Puede ser masiva y la muerte ocurre rápidamente por sangrado (aguda). Usualmente es un proceso gradual que empieza con pequeñas laceraciones del endocardio (subaguda). Taponamiento cardíaco, esta forma de ruptura ventricular es susceptible de manejo quirúrgico.
Clasificación o Tres categorías clínico-patológicas: n Aguda n Subaguda n Crónica con formación de un falso aneurisma.
Características del falso aneurisma 1. 2. 3. 4. La pared del falso aneurisma no contiene células miocárdicas. Usualmente de localización posterior. Usualmente tienen un cuello estrecho. Propensos a ruptura
Tratamiento: ruptura ventricular o o o Principio quirúrgico similar al del aneurisma ventricular. Tradicionalmente en bomba de circulación extracorpórea, resección del área infartada y cierre del defecto con parche. Se realiza bypass coronario concomitante cuando está indicado.
Defecto septal ventricular post-infarto
Definición o Defecto en el septo interventricular que resulta de la ruptura de miocardio agudamente infartado.
Nota histórica o o o 1847: Latham, primera descripción. 1923: Brunn, primer diagnóstico clínico. 1957: Cooley, primer reporte de reparo quirúrgico, el paciente muere 6 semanas después.
Nota histórica o o 1963: Mayo Clinic, primer reparo con buena sobrevida a largo plazo. 1969: Kay y Dubost, abordaje a través del ventrículo izquierdo. 1986: Filgueira et al, abordaje a través de la aurícula derecha. 1987: David et al, concepto de reparo de parche endocardico con exclusión del infarto usando pericardio autólogo.
Morfología o o o Usualmente localizado en la porción anterior o apical del septo ventricular (60%). Resultado de infarto anterior transmural. 20% - 40% de CIV posterior son resultado de IAM en la pared inferior. Cardiac Surgery, Kirklin/Barrat-Boyes. Third Edition
Morfología o o Las CIVs pueden ser múltiples y desarrollarse separadamente en transcurso de varios días. CIV posterior: puede acompañarse de insuficiencia mitral como resultado de un infarto o isquemia de músculo papilar.
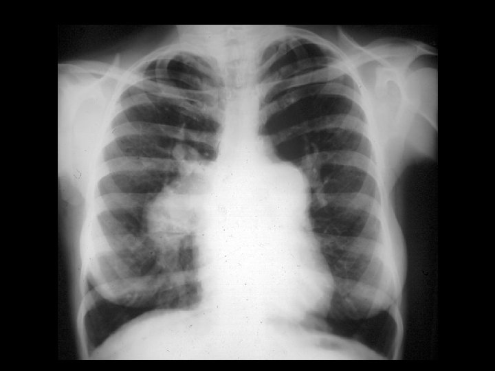
Clínica y diagnóstico o El primer signo de ruptura septal ventricular en post-infarto es la aparición de un soplo pansistólico. Borde esternal inferior izquierdo. RX Tórax: hipertensión venosa pulmonar y aumento del flujo sanguíneo pulmonar.
Clínica y diagnóstico o o El soplo puede ser resultado de una CIV o de insuficiencia mitral, ambas condiciones pueden coexistir. Ecocardiograma (TT o TE): Alta sensibilidad y especificidad, seguro, y rápido.
Historia natural o o o CIV: 1% - 2% de los casos de IAM. Ocurre en promedio 2 – 3 días posterior al infarto. Puede suceder en cualquier momento dentro de las primeras 2 semanas. Cardiac Surgery in the Adult, Lawrence H. Cohn & Henry Edmunds, Jr. Second Edition
Historia natural o o o La mortalidad temprana es frecuente. Solo 75% sobrevive las primeras 24 horas y 50% la primer semana. Menos de 30% sobrevive las primeras 2 semanas y sólo 10% - 20% más de cuatro semanas. Cardiac Surgery in the Adult, Lawrence H. Cohn & Henry Edmunds, Jr. Second Edition
Manejo o o Anteriormente se esperaba varias semanas para proceder con la cirugía. Actualmente sabemos que pocos pacientes deben diferirse y se limita a aquellos con estabilidad hemodinámica.
Manejo o o Los pacientes en choque cardiogénico representan una urgencia quirúrgica. El grupo de pacientes que se encuentran en una posición intermedia deben ser operados tempranamente, entre 12 y 24 horas.
Técnicas quirúrgicas o o Cooley et al realizaron el primer reparo de CIV adquirida a través del ventrículo derecho. Pocas ventajas: mala exposición del defecto, injuria a ventrículo derecho sano, interrupción de colaterales de la coronaria derecha
Técnicas quirúrgicas o o Kay y Dubost al introdujo el reparo por ventriculotomía izquierda. Incisión a través del infarto, frecuentemente se incorpora infartectomía y aneurismectomía junto con el reparo de la CIV.
8 principios básicos del cierre de una CIV postinfarto: n n n Bypass cardiopulmonar total con hipotermia moderada y protección miocárdica óptima. Abordaje a través del infarto. Recorte de los márgenes del infarto en el ventrículo izquierdo hasta encontrar músculo viable para prevenir ruptura del cierre. Cardiac Surgery in the Adult, Lawrence H. Cohn & Henry Edmunds, Jr. Second Edition
8 principios básicos del cierre de una CIV postinfarto: n n n Incidir el músculo ventricular derecho solo lo necesario. Cambio valvular mitral concomitante solo si existe ruptura franca de un músculo papilar. Cierre de la CIV sin tensión, usualmente con parche protésico. Cardiac Surgery in the Adult, Lawrence H. Cohn & Henry Edmunds, Jr. Second Edition
8 principios básicos del cierre de una CIV postinfarto: n n Cierre de la infartectomía sin tensión con uso de material protésico, posicionamiento epicárdico del parche a la pared libre para evitar tensión sobre tejido endocárdico friable. Refuerzo de las líneas de sutura con tiras de felpas para prevenir que las suturas corten a través de músculo friable. Cardiac Surgery in the Adult, Lawrence H. Cohn & Henry Edmunds, Jr. Second Edition
Revascularización miocárdica simultánea o o Controversia respecto a las ventajas y desventajas. Algunos argumentan que el bypass urgente concomitante al cierre del la CIV no mejora la sobrevida. Cardiac Surgery in the Adult, Lawrence H. Cohn & Henry Edmunds, Jr. Second Edition
Revascularización miocárdica simultánea o o Algunos grupos sin embargo vienen realizando cada vez más bypass coronario concomitante. Evidencia de beneficio a largo plazo. Cardiac Surgery in the Adult, Lawrence H. Cohn & Henry Edmunds, Jr. Second Edition
Mortalidad o La mortalidad operatoria definida como la muerte que ocurre dentro de los primeros 30 días posquirúrgicos está entre 30% y 50%. Cardiac Surgery in the Adult, Lawrence H. Cohn & Henry Edmunds, Jr. Second Edition
Mortalidad o Factores de riesgo para mortalidad a corto y largo plazo: n n n Enfermedad de la DA IAM previo Falla renal Falla cardíaca derecha Localización posterior de la CIV
Resultados a largo plazo o Teniendo en cuenta que es una cirugía de alto riesgo. o Los sobrevivientes tienen buen pronóstico a largo plazo. n n n o 1 año: 91% 5 años: 70% 10 años: 37% A largo plazo, 75%: NYHA clase I y 12. 5% clase II. Cardiac Surgery in the Adult, Lawrence H. Cohn & Henry Edmunds, Jr. Second Edition
Insuficiencia Mitral por isquemia miocárdica
Ruptura de músculo papilar o o Ruptura de músculo papilar ocurre como complicación del IAM. Su prevalencia en pacientes con IM es incierta. El músculo papilar posteromedial se rompe en el 75% de los casos Músculo anterolateral en el 25%.
Ruptura de músculo papilar o o La mayoría de pacientes con IM agudo tienen compromiso de la pared inferoposterior. Ocasionalmente se asocia con ruptura del septum ventricular o de la pared libre del ventrículo.
Necrosis de músculo papilar sin ruptura o o La mitad de los pacientes no tienen ruptura de músculo papilar, solo necrosis. Su disfunción contribuye a la IM resultante.
Otras causas o IM se detecta en 39% de los pacientes en la etapa temprana de un infarto. o IM moderada a severa: 3% – 19%. o Predictor de mortalidad. Cardiac Surgery, Kirklin/Barrat-Boyes. Third Edition
Otras causas o Cambios en la configuración del VI. o Disfunción global o segmentaria del VI. o Cambios en la función de la válvula mitral: n n n Prolapso Cierre anormal Dilatación anular
Historia natural de la IM isquémica o o o En ruptura de músculo papilar solo el 25% sobrevive sin manejo quirúrgico. En ruptura parcial, 70% sobrevive a las 24 horas y 50% a 1 mes. Cuando el músculo papilar permanece intacto, la sobrevida no está bien definida. Cardiac Surgery, Kirklin/Barrat-Boyes. Third Edition
Historia natural de la IM isquémica o o Como predictor de mortalidad. Lamas et al demostraron que la mortalidad a 1 año: n n 29%: en pacientes con IM 12% pacientes sin IM o P<0. 001
Manejo quirúrgico o Usualmente el paciente inestable requiere de BCIA. o Debe realizarse bypass coronario. o Primero las anastomosis coronarias distales. o Cambio valvular mitral por atriotomía izquierda o derecha a través del septo. o Anastomosis coronarias proximales.
Manejo quirúrgico o o Cuando no hay compromiso de músculo papilar y solo se encuentra dilatación del anillo mitral. Es preferible el reparo valvular con o sin anuloplastia.
Resultados o o Cirugía temprana en ruptura de músculo papilar: buenos resultados a largo plazo. Bypass + cambio valvular: peor en pacientes con IM isquémica que en aquellos con IM de origen reumático o degenerativo. Cardiac Surgery, Kirklin/Barrat-Boyes. Third Edition
Resultados o La sobrevida es mejor en aquellos tratados quirúrgicamente que en aquellos con manejo médico. Cardiac Surgery, Kirklin/Barrat-Boyes. Third Edition
Resultados o o Cuando se agrega corrección de aneurisma ventricular, la sobrevida empeora. El reparo mitral se asocia con mejor sobrevida a largo plazo en comparación con el reemplazo valvular. Cardiac Surgery, Kirklin/Barrat-Boyes. Third Edition
Anillo para plastia mitral