CNS INVOLVEMENT IN HIV DR ASHISH CHINDHALORE JRIII































































- Slides: 63
CNS INVOLVEMENT IN HIV DR. ASHISH CHINDHALORE, JRIII GUIDE - DR. POOJA DESHPANDE, ASST. LECTURER
ROLE OF IMAGING Imaging plays important role in the management of HIV. 1. In view of overlap of clinical symptoms, imaging helps to identify the pathology in correlation with clinical symptoms & CD 4 count. 2. It plays important role in identifying acute pathologies like cerebral infarcts, PCP pneumothorax, TB /Toxoplasma involvement, HIV Encephalopathy v/s PML 3. Imaging helps to study changing trends in HIV , in view of early antiretroviral therapy.
CD 4 COUNT AND PATHOLOGIES CD 4 COUNT 600 -800 400 -600 <400 <200 PATHOLOGY Asymptomatic Tuberculosis Oral candidiasis Cryptosporidiosis Lymphoma Kaposi`s sarcoma HSV, CMV(<50 -100) PCP MAC Toxoplasma, PML , HIV - Encep Cryptococcal meningitis (<50 -1 Esophageal candidiasis
Diseases occurring in brain in HIV patient: 1. Primary effects of HIV: AIDS Dementia complex HIV encephalopathy. 2. Opportunistic infection: Progressive multifocal leukoencephalopathy CMV encephalitis Herpes encephalitis Toxoplasmosis Cryptococcosis Neurosyphilis Bacterial and fungal abscesses Meningitis- Tubercular -Cryptococcal Ventriculitis 3. Neoplasm Primary CNS lymphoma Gliomas Kaposi’s sarcoma 4. Vasculitis 5. Immune reconstitution inflammatory syndrome.
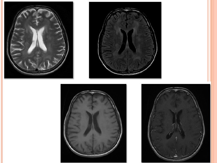
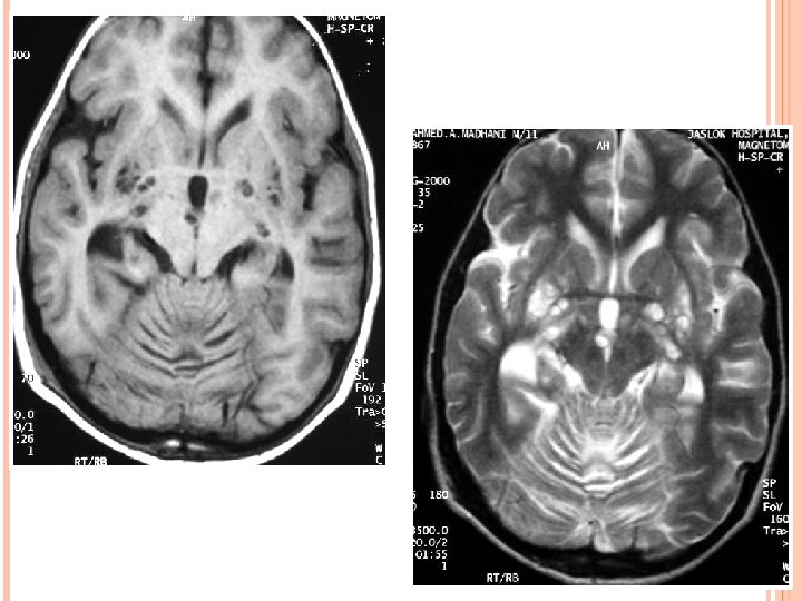
HIV ENCEPHALITIS q Direct result of HIV brain infection. ETIOLOGY- HIV-1 Clinical issues. HANDs m/c clinical manifestation. 60% of patients devlop neurologic disease. 15 -25% of treated patients devlop AIDS dementia complex. Pathology Gross - Early stage brain grossly normal and GCA in late stage.
HIV ENCEPHALITIS NECT- Normal or atrophy +/- WM hypodensity. MR • • • v Volume loss with prominent sulci and ventricle. T 2/FLAIR hazy symmetric WM hyperintensity, spare the subcortical U fibers. No mass effect. Usually no enhancement and no restricted diffusion. T 1 images reveal no hypointensity. Reduced grey matter volume in superior and medial frontal gyri – possible early imaging marker. D/D- PML, CMV enchephalitis, ventriculitis; toxoplasmosis; Herpes and HHV-6 encephalitis.
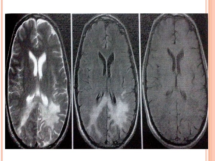
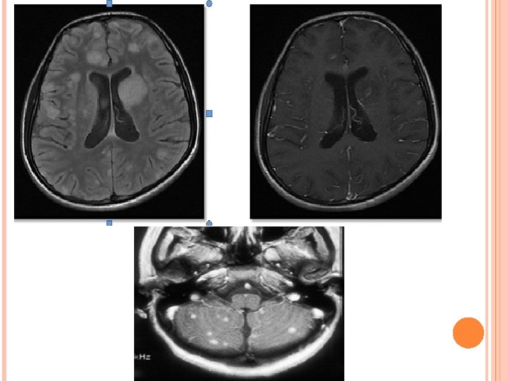
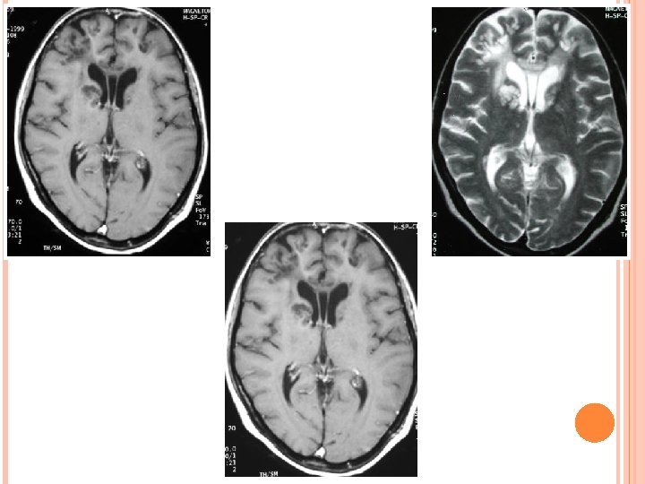
PROGRESSIVE MULTIFOCAL LEUKOENCEPHALOPATHY • ETIOLOGY- JC virus. Ubiquitous virus. Immunodificiency. Most common predisposing condition = HIV (80%). • Three phases of devlopment. Virus exclusively affect the oligodendrocytes. Multifocal demyelination. Predominantly affect parietal & occipital lobes. posterior fossa white matter and basal ganglia involvement is also present. CNS manifestation are c. PML , i. PML, JC encephalitis/meningitis.
IMAGING: Multifocal WM lesions but may be unifocal. Bilaterally assymetric. Involve subcortical U fibers. Spare cortex. No mass effect/enhancement (except i. PML) On DWI, varies according to disease stage. MRS- Decrease NAA, increased choline and lipid lactate peak. p. MRI – shows reduced r. CBV. D/D- HIVE, PML-IRIS, CMV.
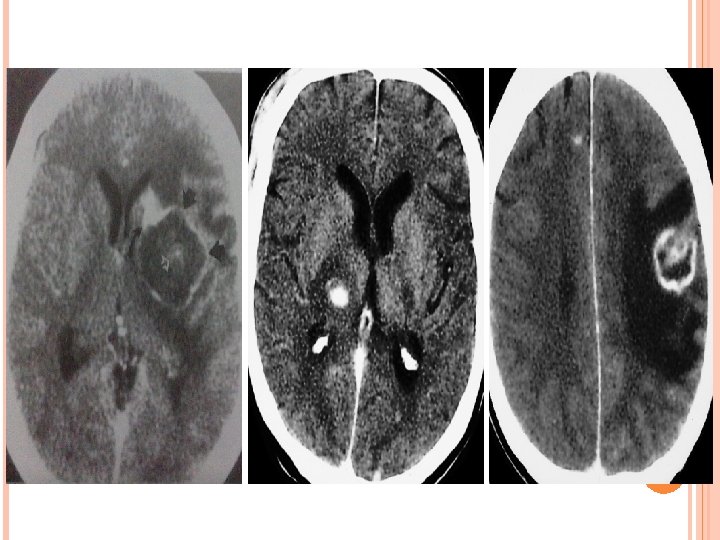
TUBERCULOSIS Most common infection in Indian setting. Etiology: Reactivation of prior infection Rapid dissemination of newly acquired infection. Causative agent- M. Tuberculosis.
IMAGING FEATURES: Radiological findings seen in CNS TB are Cisternal/meningeal enhancement. Hydrocephalus. Enhancing parenchymal lesions. Tubercular abcess. Vasculitis/Infarcts.
CISTERNAL/MENINGEAL ENHANCEMENT Commonly involved sites are the interpeduncular cistern, pontine cistern, perimesencepalic and suprasellar cisterns. The sulci over convexities, sylvian fissures and tentorium can also show enhancement.
HYDROCEPHALUS Communicating type: obstruction of basal cisterns by inflammatory exudates. Non communicating type: Due to parenchymal lesion causing mass effect or due to the entrapment of a part of ventricle by granulomatous ependymitis.
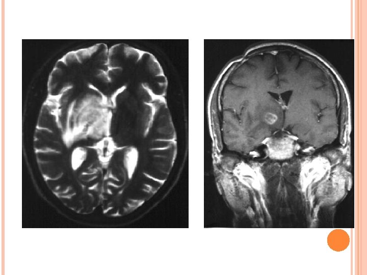
ENHANCING PARENCHYMAL LESIONS(TUBERCULOMA) Tuberculomas can be single or multiple and present anywhere in brain parenchyma. Usually conglomerated and coalesce to form non caseating granuloma, which further in most cases show central caseous necrosis and eventually liquefaction.
Depending on its stage of maturation tuberculoma’s appearance varies on MRI. Stages of tuberculoma: Non caseating Caseating with solid centre Caseating with liquid centre
NON CASEATING Hyperintense on. T 2 W images and slightly hypointense on T 1 W images with homogeneous post contrast enhancement.
CASEATING WITH SOLID CENTRE: Hypo to isointense on both T 1 W and T 2 W images with an iso to hyperintense rim on T 2 W images. In presence of an edema rim is inseparable on T 2 W images. Shows rim enhancement on post contrast T 1 W images.
0
CASEATING WITH LIQUID CENTRE: When the solid centre liquefies it appears hyperintense on T 2 W images with surrounding hypointensity. On post contrast images show rim enhancement.
DIFFERENTIAL DIAGNOSIS OF TUBERCULOMA Healing stage of neurocysticercosis. Fungal granulomas. Pyogenic abscesses and lymphoma.
TUBERCULAR ABCESS Large multiloculated ring enhancing lesions with surrounding edema and mass effect on MRI. DWI shows restricted diffusion with low apparent diffusion coefficient (ADC).
DIFFERENTIAL DIAGNOSIS Tubercular abcess Pyogenic abcess MTR values in the rim of tubercular abscesses (19. 89+/-1. 55) due to high lipid. MRS-Only lactate and lipid peaks (0. 9 and 1. 3 ppm) in tuberculous abscesses. MTR-(24. 81 +/- 0. 03). MRS-Cytosolic amino acid peaks (val, isoleucine, leucine) are seen.
TUBERCULAR VASCULITIS/INFARCTS Vascular occlusion is common sequel of tubercular arteritis. MCA and leniticulostriate arteries are most commonly involved. Majority of infarcts are in basal ganglia and internal capsule region. Diffusion weighted imaging helps in early detection of infarcts.
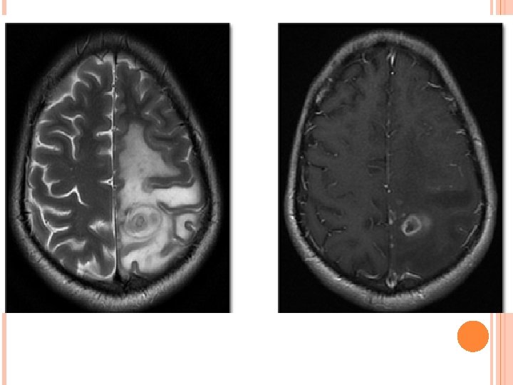
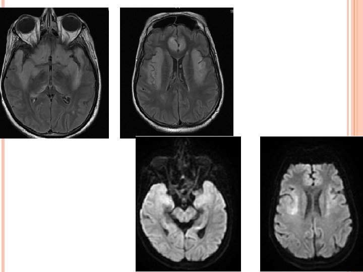
TOXOPLASMOSIS Infection by parasite T. gondii, present as altered sensorium, headache and mild hemiparesis. Multifocal involvement more common than solitary. Typically Supra-tentorial. Corticomedullary junction , Basal Ganglia, Thalamus, Intraventicular. Necrotising abscess. D/D-Lymphoma.
TOXOPLASMOSIS CT Plain CT – iso to hypodense with edema. CECT – no enhancement, minimal, ring or nodular enhancement. MRI T 1 WI – Iso to Hypointense but occasionally hyperintense due to hemorrhage which differentiate it from lymphoma. T 2 WI – Hypo- to isointense and are surrounded by high-signalintensity vasogenic edema. T 1 W+C—Ring or nodular enhancement with sometimes an eccentric mural nodule (eccentric target sign).
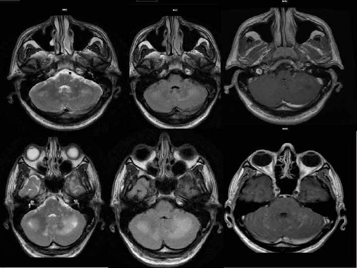
CRYPTOCOCCOSIS • Most common fungus to involve brain. • Common symptoms-Headache, blurring of vision and seizure. Cryptococcal meningitis: Widened subarachnoid space by mucoid material & thickened leptomeninges. Perivascular space involvement : M/c in HIV. Expanded perivascular spaces by gelatinous material in BG, midbrain, dentate nucleus and subcortical WM. Cryptococcomas: Conglomeration of cryptococci & mucoid material.
CRYPTOCOCCOSIS Imaging features: NECT-Sometimes hypodensity in BG. CECT-No enhancement. MR-Pseudocysts are hypointense on T 1 W images and hyperintense on T 2 W images suppress on FLAIR. No enhancement on T 1 W+C is typical although mild pial enhancement is sometimes present. D/D-Enlarge PVS, toxoplasmosis and TB.
CRYPTOCOCCOSIS It may involve the meninges or present as cryptococcal masses Meningeal involvement results in a basilar meningitis. Diagnosis is made by detection of the cryptoccal antigen in the CSF via India ink preparation or fungal culture of the CSF Neuroimaging studies are usually negative in cryptoccal meningitis. Large amounts of trehalose relative to other metabolites on MRS defines as one marker that can distinguish cryptococcus from other fungi.
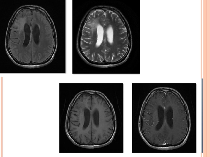
CMV INFECTION Common herpes virus that does not produce clinical disease in most people with an intact immune system. CNS involvement typically assumes the form of meningoencephalitis or ventriculitis, but it can also take the form of myelitis, polyradiculitis, and retinitis.
CMV INFECTION: 1. 2. 3. Radiological findings of CMV infections are: Diffuse white matter disease. Necrotizing ependymitis /ventriculitis. Focal ring enhancing lesion.
CMV INFECTION Imaging findings are frequently nonspecific and normal in CT/MR in most of the cases. Demyelination can result in diffuse white matter abnormalities that appear as areas of hyperintensity on T 2 -weighted MR images. Ependymitis and ventriculitis may show post contrast enhancement. In rare cases ring-enhancing or space-occupying lesion may be seen.
CMV EPENDYMITIS AND VENTRICULITIS
PRIMARY CNS LYMPHOMA • Usually Non-Hodgkin`s(B cell type) lymphoma • Location: Basal ganglia. Periventricular. Corpus callosum. • Presentation: Seizures, Headaches, Focal neurological deficit.
PRIMARY CNS LYMPHOMA IMAGING: CT-Typically a solitary hyperdense mass on NECT however multifocal in 50% cases. MR-Iso to hypointense on T 1 W and T 2 W image with diffusion restriction. Enhancement pattern are variable homogenous/heterogenous/ring like. Edema and mass effect in half of the lesion. Increase choline peak on MRS and increase Thallium uptake on SPECT.
Primary CNS lymphoma High choline peak. Lactate peak in necrotic component.
HERPES VIRAL ENCEPHALITIS Herpes simplex virus produces necrotizing encephalitis in the immunocompromised host that is more diffuse than the classic type. Medial temporal , inferior frontal lobes and cingulate gyrus m/c site. Poorly defined areas of oedema with scattered foci of haemorrhagic signal are seen on imaging. Diffusion restriction and post contrast enhancement are present.
IMMUNE RECONSTITUTION INFLAMMATORY SYNDROME Recently recognized T-cell mediated encephalitis occurs in treated HIV or autoimmune disease. Cns IRIS is called neuro IRIS, very rare. Occurs when the restored immunity causes an exaggerated immune response to infectious and non infectious antigens. Develops in two distinct scenarios unmasking IRIS and paradoxical IRIS.
IRIS UNMASKING IRIS: Occurs when ART reveals a subclinical, previously undiagnosed opportunistic infection. Immune restoration leads to an immune response against a living pathogen. Brain parenchyma damage occurs by both living pathogen and inciting immune response.
IRIS PARADOXICAL IRIS: Occurs when patient successfully treated for a recent opportunistic infection unexpectedly detoriate after initiation of ART. Here no newly acquired or reactivated infection present. Recovering immune response targets persistent pathogen -derived antigens or self antigens and causes tissue damage.
IRIS PATHOGEN ASSOCIATED WITH NEURO-IRIS PML-IRIS (M/c) TB-IRIS Crypto-IRIS Drugs(natalizumab)-IRIS Others. Toxo related IRIS is very rare. IMAGING: Development of mass effect and enhancement in a previously detected lesion after ART.
BRAIN ABSCESS Focal suppurative process within the brain parenchyma Secondary to direct spread of infection from sinuses, mastoid or meninges or as a result of the hematogenous spread. Primary site of infection remains occult in a number of patients Studies of brain abscesses have shown that anaerobes rather than aerobes are the primary agents
PYOGENIC ABSCESS
OTHER INFECTIONS NEUROSYPHILIS MUCORMYCOSIS-Brain abcess. VACUOLAR MYELOPATHY OF SPINAL CORD.
VACUOLAR MYELOPATHY OF SPINAL CORD. M/c chronic myelopathy associated with HIV, seen in late stage. C/C-Slowly progressive weakness of lower limb, gait disorders, sensory abnormalities in lower limb, impotency and urgency. MR-Spinal cord atrophy m/c affect the thoracic cord; cervical cord may be involved. -Bilateral symmetrical dorsal column involvement can be seen. D/D-SACD of cord.
THANK YOU