CNS DISORDERS CONT Dr Shreedhar Paudel May 2009


































- Slides: 34
CNS DISORDERS CONT…. Dr Shreedhar Paudel May, 2009
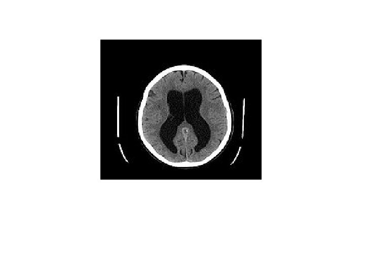
Hydrocephalus • Increased amount of CSF in the ventricles of the brain • Increase CSF pressure • Ventricular dilatation • Due to imbalance between production and absorption of CSF
Hydrocephalus…. • CSF physiology – Secreted at the choroid plexus of the ventricles – Absorbed at arachnoid villi and channeled into the venous circulation – 720 ml CSF is secreted in a day
CSF Circulation • It is produced in the brain by modified ependymal cells in the choroid plexus (approx. 50 -70%), • The remainder is formed around blood vessels and along ventricular walls • It circulates from the choroid plexus through the interventricular foramina (foramen of Monro) into the third ventricle, • Then through the cerebral aqueduct (aqueduct of Sylvius) into the fourth ventricle, where it exits through two lateral apertures (foramina of Luschka) and one median aperture (foramen of Magendie) • It then flows through the cerebellomedullary cistern down the spinal cord and over the cerebral hemispheres.
CSF Circulation. . • Traditionally, it has been thought that CSF returns to the vascular system by entering the dural venous sinuses via the arachnoid granulations/villi. However, there is suggestion that the CSF flow along the cranial nerves and spinal nerve roots allow it into the lymphatic channels; this flow may play a substantial role in CSF reabsorbtion, particularly in the neonate, in which arachnoid granulations are sparsely distributed.
Hydrocephalus… • Types – Communicating Hydrocephalus • No blockage in the CSF flow – Non-communicating Hydrocephalus • Blockage of CSF flow • Commonly at the level of aqueduct or foramina of Luschaka and Magendie
Hydrocephalus… • Causes – Congenital Hydrocephalus • Intrauterine infection of TORCH • Intraventricular hemorrhage • Congenital malformations like – Aqueductal stenosis – Dandy-Walker syndrome – Arnold-Chiari syndrome
Dandy-Walker malformation • Characterized by – Agenesis or hypoplasia of the cerebellar vermis, – Cystic dilatation of the fourth ventricle, – Enlargement of the posterior fossa. – Approximately 70 -90% of patients have hydrocephalus, which often develops postnatally – Dandy-Walker malformation may be associated with atresia of the foramen of Magendie and, possibly, the foramen of Luschka
Arnold-Chiari Syndrome • A downward displacement of the cerebellar tonsils and the medulla through the foramen magnum. • Portions of cerebellum and brain stem herniate into cervical spinal canal
Types of Arnold-Chiari Malformation • Type I: generally asymptomatic during childhood, but often manifests with headaches and cerebellar symptoms. • Type II: usually accompanied by a myelomeningocele leading to partial or complete paralysis below the spinal defect. Abnormal development of the cerebellar vermis and medulla occur, and they both descend into the foramen magnum. Hydrocephalus is also nearly always present. • Type III causes severe neurological defects. It is associated with an encephalocele • Type IV involves a failure of brain development
Hydrocephalus…. • Causes… – Acquired Hydrocephalus Pyogenic meningitis Tuberculosis Post intra-ventricular hemorrhage Posterior fossa tumors : medulloblastoma, astrocytoma, ependymoma • Intracranial/intraventricular hemorrhage • •
Hydrocephalus…. • Hydrocephalus Ex Vacuo – also called normal pressure hydrocephalus – Ventricular dilatation due to cerebral atrophy – No increase in CSF pressure
Clinical features • • Inappropriate enlargement of head size Delayed closure of fontanel and sutures Prominent forehead Prominent scalp veins Sunset sign in eyes Signs and symptoms of raised ICP Personality and behavioral changes
Hydrocephalus…. • Diagnosis – Serial measurement of head circumference (An increase in head circumference more than cm in every 2 weeks in first 3 months of lifediagnostic) -USG head -CT/ MRI of head 1
Differential diagnosis of large head • Megalencephaly: Hurler’s syndrome, metachromatic leukodystrophy, Tay Sach’s disease – No signs of raised ICP – Ventricles are not enlarged – Normal CSF pressure • Chronic subdural hematoma • Familial macrocephaly
Treatment of Hydrocephalus • General nursing care • Medical management to decrease CSF volume and CSF pressure : Acetazolamide, oral Glycerol • Management of raised ICP • Treatment of the cause • Surgical treatment : ventriculo-peritoneal shunt, removal of the cause of obstruction
Neural Tube Defects Congenital structural anomalies characterized by failure of proper closure of neural tube and covering mesoderm and ectoderm
Neural Tube Defects • Very common structural congenital anomaly • Incidence is 1. 5 per 1, 000 live births • Risk in second sibling is 5 per live 100 births
Neural Tube Defects • Etiology – Decreased maternal folate intake – Multifactorial inheritance – Other maternal risk factors including alcohol, radiation exposure, DM, Valproate, Carbamazepine and zinc deficiency – Chromosomal abnormalities like trisomy of 13 and 15
Neural Tube Defects • Clinical features – Commonest defect is spina bifida – Others might be anencephaly, encephalocele…. – Defect will be obvious at birth – Commonly associated with other anomalies – Lower body paralysis – Bowel and bladder dysfunction – Learning disabilities – Hydrocephalus
Neural Tube Defects (NTD) • Spina bifida – Spina bifida occulta: the mildest form of spina bifida (occulta means hidden). Most children with this type of defect never have any health problems, and the spinal cord is often unaffected.
Spina bifida – Meningocele : involves the meninges, the membranes responsible for covering and protecting the brain and spinal cord. If the meninges push through the hole in the vertebrae, the sac is called a meningocele.
Spina bifida. . • Myelomeningocele : the most severe form of spina bifida. It occurs when the meninges push through the hole in the back, and the spinal cord also pushes though. Most babies who are born with this type of spina bifida also have hydrocephalus,
Spina bifida. . • Because of the abnormal development of and damage to the spinal cord, a child with myelomeningocele typically has some paralysis. The degree of paralysis largely depends on where the opening occurs in the spine. The higher the opening is on the back, the more severe the paralysis tends to be.
Diagnosis of NTD • Prenatal diagnosis – Alpha fetoprotein level in maternal serum between 14 -16 weeks of pregnancy – Amniocentesis for alpha fetoprotein level in amniotic fluid in early pregnancy – USG of the fetus
Diagnosis of NTD • Postnatal diagnosis – USG of head, sac, kidney – CXR and X-Ray spine – C/S of the leaking CSF and swab C/S from the lesion – Routine investigations
Treatment of NTD • Multidisciplinary approach – PEDIATRICIAN – NEUROLOGIST/ NEUROSURGEON – UROLOGIST – ORTHOPEDIC SURGEON – PHYSIOTHERAPIST – SOCIAL WORKER – PSYCHIATRIST
Treatment of NTD • Decision of treatment depends on – Degree of paralysis – Presence of hydrocephalus – Kyphosis – Other congenital anomalies – Evidence of infection of CNS
Treatment of NTD • Surgery – EARLY CLOSURE PREVENTS NEUROLOGICAL DETERIORATION – OPEN LESION WITH CSF LEAK SHOULD BE CLOSED WITHIN 24 HOURS – CLOSED LESION SHOULD BE REPAIRED WITHIN 48 HOURS – INFECTED LESION SHOULD BE REPAIRED ONLY AFTER CSF BECOMES STERILE ( should be given parenteral antibiotics)
Treatment of NTD • Lorber’s criteria for selective surgery • Surgery is not done in case of – Severe paraplegia at or below L 3 level – Kyphosis/ scoliosis – Gross hydrocephalus – Associated gross anomalies – Intracerebral birth injuries – Neonatal ventriculitis before closure of the back • 90% would die within the neonatal period
Prevention • Folic acid supplementation to all pregnant women– 0. 4 mg/ day • If there is history of previous birth of NTD babies then 5 mg/ day folic acid • Counseling of the family with previous child with NTD – Risk of recurrence- 3. 5% with 1 affected child – 10% with 2 affected child – 25% with 3 affected child • Folate supplementation reduces recurrence risk by 70%