Cncer Gstrico A propsito de un caso Luca










































- Slides: 42
Cáncer Gástrico, A propósito de un caso Lucía Lú Galarreta Residente de Gastroenterología HBVLE
Anamnesis • Paciente mujer de 68 años, natural de Otuzco procedente de Trujillo. Profesora cesante, casada. Sin co morbilidades ni hospitalizaciones ni intervenciones quirúrgicas previas. • Fue admitida a este hospital con un tiempo de enfermedad de 1 ½ mes con decaimiento, fatiga, debilidad e hiporexia, además pérdida progresiva de peso (5 a 6 Kg en el último mes). • 2 semanas antes del ingreso se agrega nauseas y vómitos postprandiales asociado a llenura precoz y dolor abdominal en epigastrio de tipo ardor permanente a predominio entre comidas, síntomas que se presentan al ingreso.
• En el examen físico de ingreso se encuentra facies depresiva, hemodinamicamente estable, escaso TCSC sin evidencia de edemas, palidez de 1+/3+, no se palpan adenomegalias. El abdomen es ligeramente excavado, blando depresible y se palpa masa pétrea de aprox. 3 por 5 cm en epigastrio con leve dolor a la palpación. No hay visceromegalias. Resto de examen sin alteraciones semiológicas.
EXAMENES DE LABORATORIO Fecha leuc abast Linf Plaq Hto 20. 02 2900 1 35 268 000 32 26. 02 2740 0 39 236 000 32. 5 TP 15 TEST 26. 02 UREA 29 CREATININA 0. 6 PROT TOTALES 6. 4 ALBUMINA 3. 9 GLOBULINAS 2. 5 BILIRRUBINA TOTAL 0. 75 DIRECTA 0. 26 INDIRECTA 0. 49 TGO 14 TGP 8 FOSFATASA ALCALINA 58 GAMMA GTP 15 DLH 321 COLESTEROL 103 LDL C 57 HDL C 30 VLDL C 16 TRIGLICERIDOS 81
Endoscopia alta • Angulo y antro estrechados que no se distienden adecuadamente con insuflación con presencia de pliegues algo engrosados discretamente congestivos. Píloro se aprecia permeable. • Cc. Estrechamiento de ángulo y antro gástrico a descartar linitis plástica por adenocarcinoma. BIOPSIA Carcinoma poco diferenciado con células en anillo de sello.
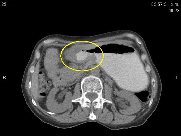
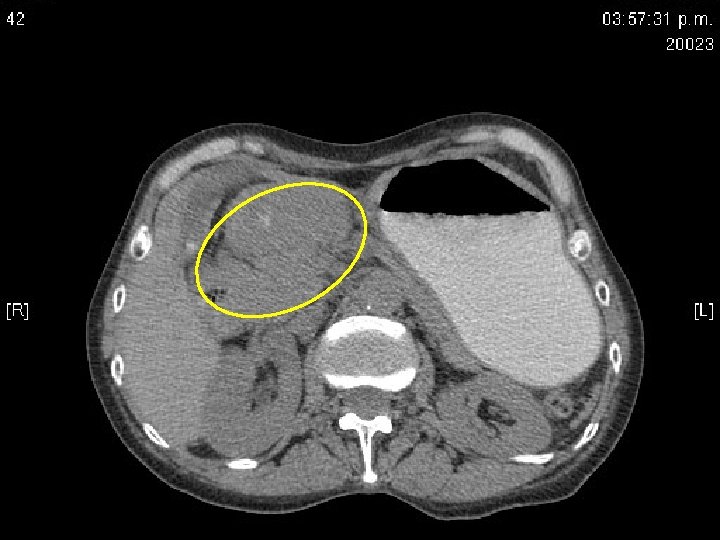
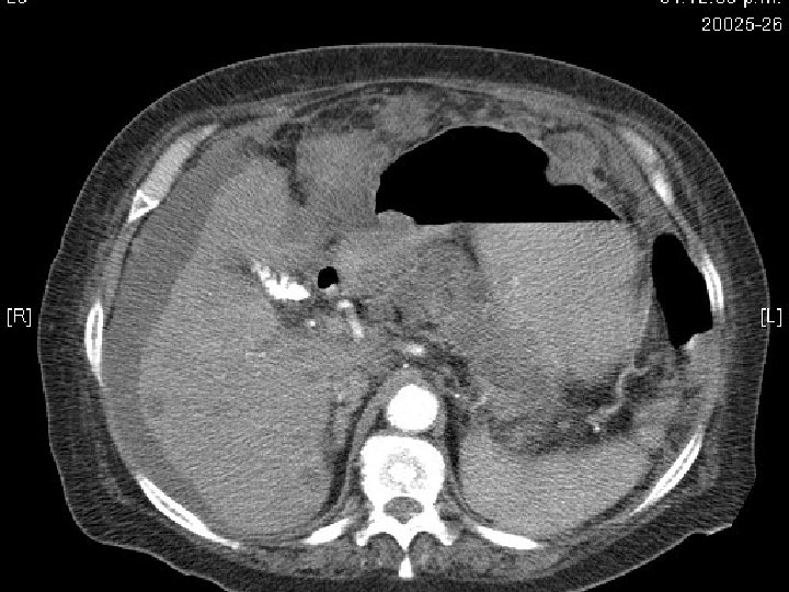
Tomografía abdominal • Hígado con presencia de nódulo de 10 mm en el segmento 3. • Estómago distendido con abundante contenido liquido en el fondo con paredes gruesas a nivel del antro de 12 mm que condicionan estrechez de la luz, infiltran duodeno. • Infiltración de la grasa perigástrica que infiltra páncreas. No se definen adenopatías adyacentes. • CC: quiste hepático. NM gástrico con infiltración a páncreas y grasa perigástrica, cabeza de páncreas prominente.
Reporte operatorio • Tumor gástrico del cuerpo y antro pilórico que infiltra la totalidad de la pared gástrica hasta la unión cardioesofágica. Ganglios múltiples perigástricos, tronco celiaco, hilio hepático, periduodenales. • Nódulos metastásicos en peritoneo del mesenterio de asas yeyunales y colon transverso. • Esófagoyeyuno anastomosis termino lateral en asa en un plano. Yeyunoyeyuno anastomosis en 2 planos.
Neoplasias Malignas de estómago, según MING Espejo H, Navarrete J. Clasificación de los Adenocarcinomas de estómago. REV. GASTROENTEROL. PERÚ 2003; 23: 199 - 212.
Fisiopatología Yamada T, et al. Textbook of gastroenterology. Edit. Wiley-Blackwell. 2009. pag 1026 -1053
Síntomas y signos
Factores etiológicos
Cáncer temprano • Este cáncer puede estar confinado por mucho tiempo superficialmente en el epitelio sin llegar a la lámina propia, se le ha denominado como “cáncer mucoso”, “cáncer in situ” debiéndosele llamar “neoplasia maligna intraepitelial” y dentro de la clasificación de neoplasias epiteliales gastrointestinales, según los criterios de Viena, en la categorías 4. 2= carcinoma no invasivo y tal vez como 4. 3= sospechoso de carcinoma invasivo.
Classification of early gastric cancer by the Japanese Gastroenterological Endoscopy Society. <25 mm <20 mm Tsukuma et al. informaron de su a largo plazo de seguimiento de 56 pacientes con diagnóstico de EGC por endoscopia y confirmada por histología, y en quien la resección quirúrgica se retrasó o no llevado a cabo. Más de un período de 6 -137 meses, 36 (64%) pacientes progresaron a la etapa avanzada. From Japanese Research Society for Gastric Cancer. The general rules for the gastric cancer. Jpn J Surg 1973; 3: 61.
Cáncer Avanzado Lesión Fungosa
TAC y Cáncer Gástrico • Para la metástasis linfáticas, la sensibilidad de la TC varía de 48% a 91% La sensibilidad de la TC en la detección de un metástasis a distancia es del 57%. Por último, se reconoce generalmente que la TC es pobre en la visualización de pequeños nódulos peritoneales, excepto en la presencia de ascitis. En general, la TC tiende a disminuir el grado de cáncer gástrico y puede ser más útil en la identificación de enfermedad en estadio avanzado. • El 25% de los ganglios metastásicos medida de 5 mm de o menos y no detectable por la mayoría de las técnicas de imagen. Andaker L, Morales O, Hojer H, et al. Evaluation of pre-operative computed tomograghy in gastric malignancy. Surgery 1991; 109: 132.
Intestinal y difuso • El tipo intestinal se localiza en el antro, y asienta en zonas donde previamente existía metaplasia intestinal, especialmente la de tipo incompleto o colónico, y macroscópicamente adopta la forma polipoide ( Tipo I) o ulcerada con bordes elevados (Tipo II) de la clasificación de Borrmann. • El tipo difuso corresponde a la variedad infiltrativa. Son carcinomas mal diferenciados, con células dispersas que invaden en forma individual o en pequeños grupos, y en los que es posible observar células en anillo de sello y mucina dispersa por el estroma; su patrón de crecimiento es infiltrativo a los fascículos y al tejido conjuntivo. Se localiza preferentemente en el fondo.
diferenciados Indiferenciados Específicos
Según Nakamura Forma inicial de crecimiento del carcinoma Diferenciado Desarrollo de las cel. Cancerosas en zona de mitosis Proliferación de cel. Canc. Y compromi -so de membran a basal Destrucción del cuello glandular Indiferenciado Proliferación de las cel. Cancerosa s en la lámina propia y conservación de los túbulos Desarrollo de las cel. Cancerosas en zona de mitosis Proliferación de cel. Canc. Y compromi -so de lamina propia Cel cancerosa s rompen la m. basal y se dispersan en la lámina propia. Cel cancerosa s irrumpen en el tejido en forma infiltrante comenzan do a ocupar
Se dispone en túbulos, se inicia, de preferencia en la mitad inferior de la mucosa, donde se forma, precisamente mucosa metaplásica de tipo intestinal. Sin formación tubular, ubicada principalmente en la mitad superior de la mucosa, donde se encuentra la mucosa gástrica propia y no metaplásica.
CELULAS EN ANILLO DE SELLO
TAC: signos tomográficos