Cncer de pulmn tratamiento de la enfermedad avanzada






- Slides: 6
Cáncer de pulmón: tratamiento de la enfermedad avanzada Caso Clínico Mujer de 43 años de edad, sin antecedentes de interés, no fumadora. Consulta por presentar desde hace dos meses disnea asociada a tos con expectoración no productiva y ocasionalmente hemoptoica. En los últimos días la disnea se ha agudizado y se acompaña de dolor en hemotórax derecho. El PS es de 2 (en razón fundamentalmente de la disnea).
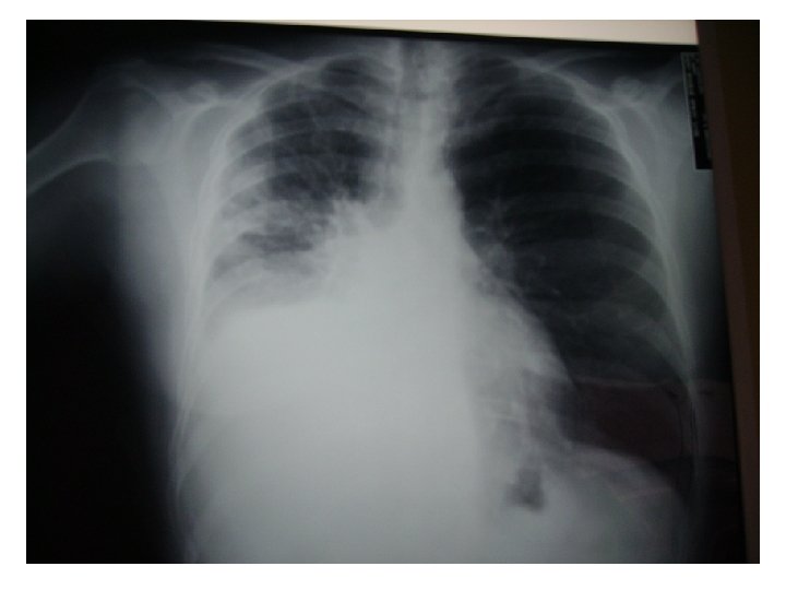
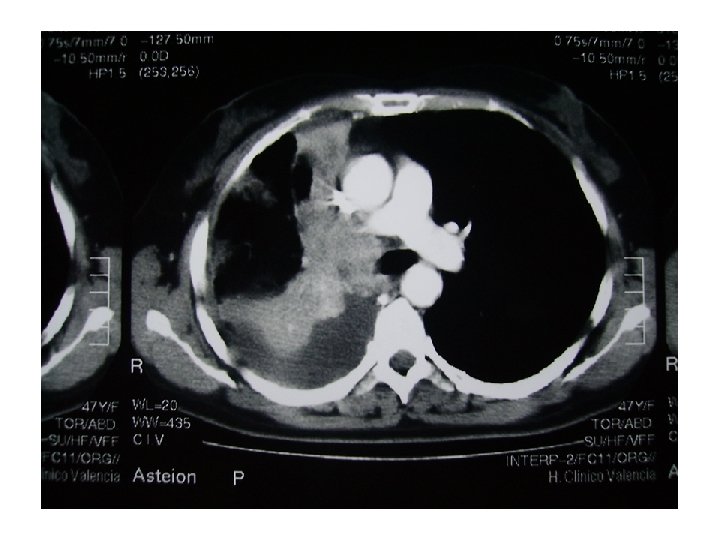
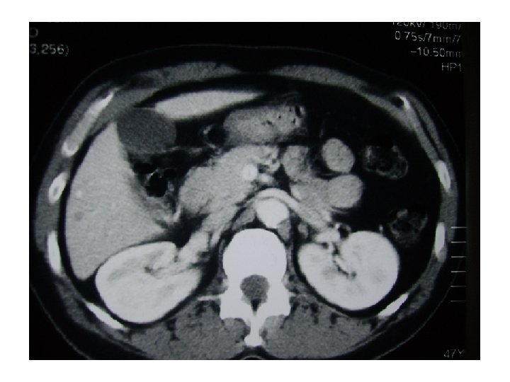
Exploraciones Rx de tórax: ocupación del seno costodiafragmático (¿derrame pleural? ) y masa hiliar derecha con elevación diafragmática homolateral. TAC tóraco-abdominal: gran masa mediastínica hiliar derecha (64 mm x 40 mm); amputación del bronquio principal derecho y afectación de la carina y tráquea en su tercio distal, con ocupación del bronquio lobar superior derecho y colapso completo del lóbulo medio e inferior derecho. La masa infiltra vena cava superior y arteria pulmonar. Se detectan adenopatías subcarinales y paratraqueales superiores e inferiores derechas de 16 a 25 mm, así como infiltrados periféricos en lóbulo superior derecho. En hígado hay tres nódulos hipodensos (segmento II y VI) de 7, 30 y 5 mm respectivamente, de significado incierto. La fibrobroncoscopia objetivó una tumoración que obstruía casi completamente el bronquio intermediario. El estudio histológico fue de adenocarcinoma pobremente diferenciado. El estudio de marcadores genéticos detecta una amplificación (FISS) del EGFr sin mutaciones y una sobre-expresión (en el rango superior de la normalidad) del BRAC 1.
Su tratamiento inicial para esta paciente sería: 1. - Tratamiento paliativo de soporte 2, - Docetaxel 3. - Erlotinib 4. - Carboplatino-Gemcitabina 5. - Radioterapia torácica paliativa