Clonorchis sinensis egg These are small operculated eggs













- Slides: 13
Clonorchis sinensis egg. These are small operculated eggs. Size is 27 to 35 µm by 11 to 20 µm. The operculum, at the smaller end of the egg, is convex and rests on a visible "shoulder". At the opposite (larger, abopercular) end, a small knob or hook-like protrusion is often visible (as is the case here). The miracidium is visible inside the egg.
Numerous gold-colored small ova are seen in the bile (unstained preparation). Note their small size (30 μm) and the operculum.
Surgically resected liver abscess containing numerous small-sized ova (66 y-o female, HE). The small size of the ova strongly suggests clonorchiasis, but the microscopic obsrevation of the ova in the bile or stool and/or serological testing are requested for the definite diagnosis.
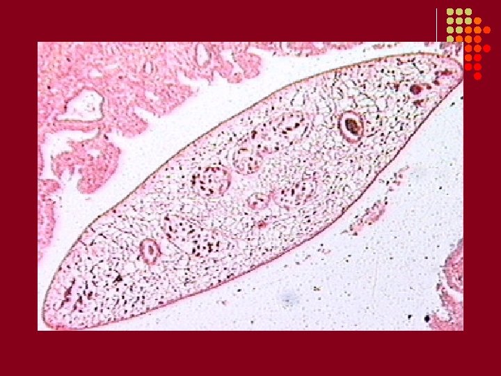
Clonorchis sinensis (helmint matur)
Clonorchiasis. Section of liver showing multiple adult form of Clonorchis sinesis in a distal biliary duct.
Pathology of gall bladder infected with Clonorchis. Similar pathology would be observed with Opisthorchis infection
Two adult worms (arrow) in the ductal luman. This liver shows dilation and thickening of the intrahepatic bile. Ducts and are unmistakable features that establish the diagnosis of clonorchiasis or opisthorchiasis.
Cholangiocarcinoma is more common in areas endemic to liver fluke infection (Hong Kong, Thailand). Liver flukes, such as Clonorchis sinensis or Opisthorchis viverrini, usually enter human’s gastrointestinal tract after ingestion of raw fish. Parasites travel via the duodenum into the host’s intrahepatic or extrahepatic biliary ducts. Liver flukes cause bile stasis, inflammation, periductal fibrosis and hyperplasia, with the subsequent development of cholangiocarcinoma (Figure 8).
Clonorchis sinensis: Chinese liver fluke. A. Epidemiology: Endemic in Korea, Vietnam, southern China, Japan, Taiwan. About 20 million people are infected. B. Mode of transmission: Ingestion of under- or uncooked fish containing the metacercariae. Alternative fish processing such as freezing, drying, salting or pickling may not destroy the infective form. C. Clinical manifestations: Most infections are asymptomatic. Biliary tract fibrosis and hyperplasia are the most common problems. D. Pathology: Metacercaria are released into the duodenum and the immature flukes enter the biliary ducts where they differentiate into adults (size of 15 mm x 5 mm). Adults release eggs into bile ducts, from which they travel into the intestine; eggs are passed in the stool. The presence of the parasite in the liver leads to inflammation and fibrin deposition. Most symptomatology is due to the host inflammatory response. E. Laboratory diagnosis: Examination of stool samples for small, brown, operculated eggs. No serology. F. Treatment: Praziquantel.