Clinical Pathological Conference Marshall Fordyce M D Department


































- Slides: 34
Clinical Pathological Conference Marshall Fordyce, M. D. Department of Medicine NYU School of Medicine August 17 th, 2007
Chief Complaint A 44 year old woman presents with nausea, vomiting and diarrhea for one week.
History of Present Illness • The patient had a history of hypertension, peripheral vascular disease, and poorly controlled Type 2 diabetes mellitus, complicated by chronic renal insufficiency and chronic foot ulcers. • One week prior to admission she presented to another hospital complaining of nausea, vomiting, diarrhea, and dyspnea for one week. She also reported one month of subjective fever. Two days prior to admission, she developed hypotension, hypoxia and decreased urine output.
History of Present Illness • She was started on broad spectrum antibiotics for presumed sepsis. An echocardiogram was performed and the patient was transferred to this hospital for further care. • On review of systems she denied weight loss, headache, visual changes, syncope or chest pain. Her baseline exercise tolerance was more than ten blocks, not limited by dyspnea or chest pain.
Other History • Past Medical History: hypertension, peripheral vascular disease, Type 2 diabetes mellitus, chronic renal insufficiency. • Past Surgical History: Right great toe amputation. • Medications: the patient reported taking insulin, unknown dose. • Allergies: none
• Family History: Father unknown, Mother with diabetes • Social History: Born in New York City. No travel. No history of tobacco, alcohol or drugs. • Review of Systems: otherwise negative.
Physical Exam • • • General: obese woman in no acute respiratory distress, diaphoretic and jaundiced. Vitals: BP 96/58, HR 76 and regular, RR 24, Temp 96. 5, O 2 saturation 97% on 3 L NC, CVP 18. HEENT: scleral icterus. Neck: obese neck, no masses. Cor: regular rate and rhythm, normal S 1, S 2, no S 3 or S 4. Pulm: crackles at bases bilaterally, decreased breath sounds at right base. Abd: +bowel sounds, soft, non-tender, non-distended. Extr: cool lower extremities; bilateral pitting edema, 1+ left, 3+ right; chronic venous stasis changes; decreased hair growth; minimal pedal pulses bilaterally; right foot with erythematous ulcer on plantar surface with serosanguinous drainage, no bone visualized. Lymph: No lymphadenopathy. Neuro: Alert and oriented to person, place, time, and situation. Cranial nerves II-XII intact. No focal motor or sensory deficits. No asterixis.
Laboratory Data Na 133, K 3. 9, Cl 103, CO 2 16, BUN 50, Cr 2. 8, Glu 218 WBC 18. 4, Hgb 8. 4, HCT 25. 2, Plt 28 Ca 6. 8, Mg 1. 7, Phos 2. 6 AST 36, ALT 18, Alk Phos 168, total bili 5. 8, direct bili 4. 2, total protein 6. 2, albumin 1. 6 PT 13. 5, INR 1. 1, PTT 31 UA: 3+ blood, 2+ protein negative nitrites, small leukesterase. Labs from 6/05: Hgb 10. 4, Plt 339
ECG
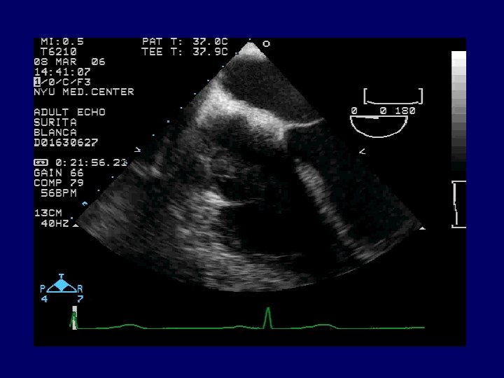
Radiology CXR: mild interstitial edema and cardiomegaly. Transthoracic echocardiogram (TTE): large 6. 5 x 2. 0 cm pedunculated mass attached to the lateral free wall of the right atrium separate from the tricuspid valve leaflets, with prolapse of the mass across the tricuspid valve and associated severe tricuspid insufficiency. A diagnostic procedure was performed…
Student Discussants Jessica Finn: Atrial Myxoma Etin-Osa Osa: Right atrial thrombus Eleza Golden: Pancreatic Cancer with cardiac metastases Daniel Asay: Cholangitis
Echocardiography
MRI Images
T 1 -pre T 1 -post T 2 -pre T 1 -IR-delay post
T 1 -pre T 1 -post T 2 -pre T 1 -IR-delay post
Faculty Discussant: Dr. Martin Kahn
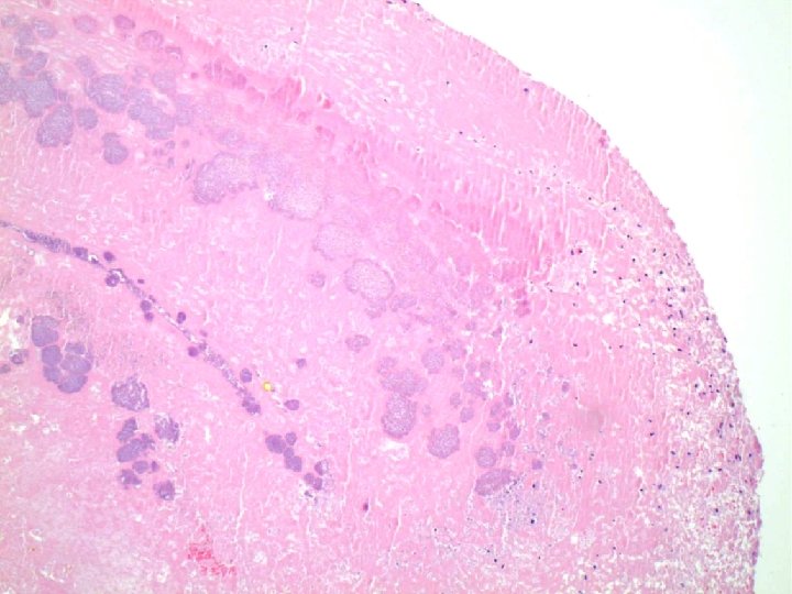
NYU Medical Center Department of Pathology PATHOLOGY Mariela Losada, M. D.
TRICUSPID INDENTATION ATRIAL CUFF
Final Diagnosis: Subacute bacterial endocarditis Giant endocardial vegetation due to Vancomycin Resistant Enterococcus faecium
DDx : Intracardiac Mass 80% of myxomas are left sided Primary cardiac tumor Benign – 75% Malignant Either ! Secondary tumor Thrombus Vegetation
Evaluation of cardiac mass On cardiac MRI, avascular masses (thrombus) can be differentiated from tumors as they appear hypointense in T 2 weighted images and do not enhance with contrast. Differentiating between thrombus and vegetations from tumors using noninvasive means is crucial as it may determine the need for and timing of resection.
Diabetes mellitus Type 2 Medication non-adherence Hyperglycemia Neuropathy, Vascular compromise, Immunodeficiency Chronic foot ulcer Cellulitis, Osteomyelitis Right atrial free wall vegetation, sepsis Septic emboli
Case follow-up
Acknowledgements: Martin Kahn, M. D. Martin Blaser, M. D. Mariela Losada, M. D. Monvadi Barbara Srichai-Parsia, M. D. Joshua Olstein, M. D. Andrew Zinn, M. D. Timothy J. Vittorio, M. D. Juan B. Grau, M. D. Pey-Jen Yu, M. D. Samyra El-ftesi, B. S.