Clinical pathological conference 114 2562 v Ulcer at

  • Slides: 15
Download presentation
Clinical pathological conference 11/4/ 2562

Clinical pathological conference 11/4/ 2562

v

v

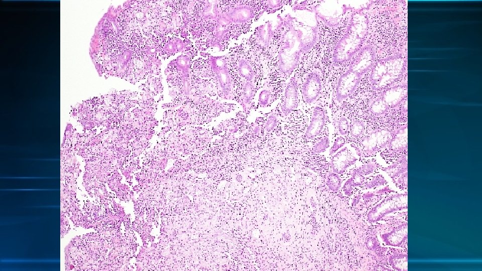
Ulcer at Illeocecal valve • Ulcer with perforation with granulomatous reaction of cryptococcus infection

Ulcer at Illeocecal valve • Ulcer with perforation with granulomatous reaction of cryptococcus infection

GMS stain

GMS stain

Mucicarmine stain

Mucicarmine stain

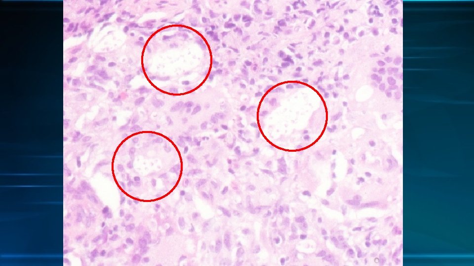
 • 3 pieces of colonic tissues with ulcers • The ulcer is infiltrated

• 3 pieces of colonic tissues with ulcers • The ulcer is infiltrated by lymphocytes, plasma cells, epitheloid histiocytes, some eosinophils and neutrophils. Multinucleated giant cells are also present. • There abundant small round yeast liked organism in the infiltrating histiocytes. Viral cytopathic cells, comprising intranuclear and intracytoplasmic inclusions are occasionally seen.

Pathological diagnosis • Granulomatous inflammation with ulcer • Presence of CMV viral inclusion •

Pathological diagnosis • Granulomatous inflammation with ulcer • Presence of CMV viral inclusion • Presence of fungus, morphologically compatible with cryptococcosis

Clinical progression

Clinical progression

3 mo PTA Chronic diarrhea with abdominal pain Colonoscopic Diagnosis : CMV + Cryptococcal

3 mo PTA Chronic diarrhea with abdominal pain Colonoscopic Diagnosis : CMV + Cryptococcal colitis Tx : -Amphotericin B total 3 weeks > Switch to Fluconazole -Ganciclovir total 3 weeks > Switch to Valganciclovir 3 mo after admission : Presented with Ileal perforartion from Cryptococcus Gatti infection Tx : -Explore lap with small bowel resection (Ileal 30 cm, intact IC valve) -Amphotericin B total 3 weeks > Switch to Fluconazole -Ganciclovir total 3 weeks > Switch to Valganciclovir

Work up : immune status - Anti HIV : negative - ANA : negative

Work up : immune status - Anti HIV : negative - ANA : negative - Anti IFN Gamma : negative - WBC count : 7, 010, Lymphocyte : 1, 907 - Normal CD 3, CD 4, CD 8, CD 19, CD 56 counts - SPEP : polyclonal gammopathy - Normal total Ig. G, Ig. M, Ig. A level - Mild elevated Ig. G 1, Ig. G 2, Ig. G 4 - Total Ig. E level : 12, 300 (< 100 IU/m. L) - PHA Stimulation test : SI = 27, control = 76

Work up : genetic of hyper. Ig. E syndrome • STAT 3 : mutation

Work up : genetic of hyper. Ig. E syndrome • STAT 3 : mutation at p. R 423 Q • DOCK 8 • TYK 2 • SPINK 5 • PGM 3