Classification and treatment of Diabetic Retinopathy Diabetic Retinopathy
Classification and treatment of Diabetic Retinopathy
Diabetic Retinopathy can be divided into various sub-types • Background diabetic retinopathy • Diabetic maculopathy • Proliferative diabetic retinopathy
Mild non-proliferative diabetic retinopathy Microaneurysms commonest Rarely macular oedema
Background Diabetic Retinopathy
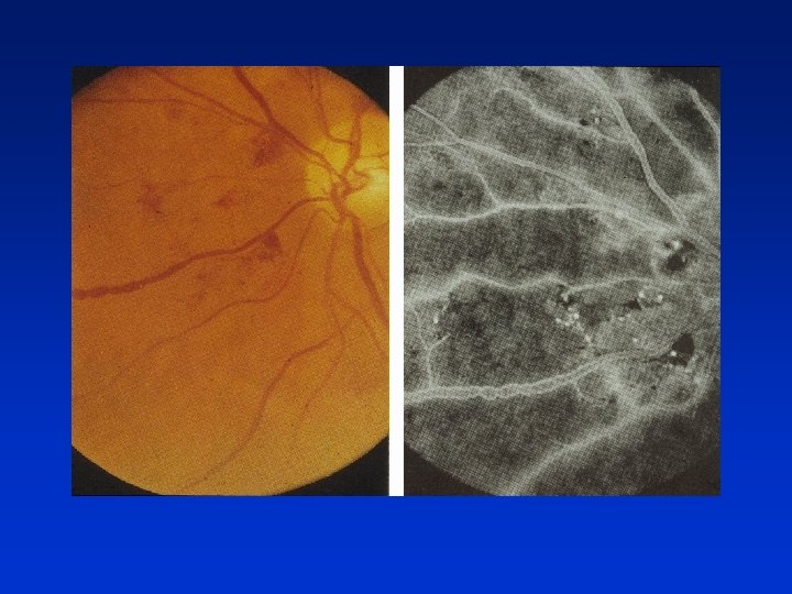
Moderate non-proliferative diabetic retinopathy Microaneurysms Cotton wool spots Superficial flame shaped haemorrhages Venous changes IRMA
Severe non-proliferative diabetic retinopathy IRMA Venous beading Blotch haemorrhages In more than two quadrants of retina
Management of severe NPDR ETDRS results suggest that PRP may be considered Associated risk factors : Type 1 diabetes mellitus Arterial hypertension Pregnancy Lack of compliance Diabetic nephropathy
Classification of diabetic maculopathy and macular oedema Focal exudative macular oedema Diffuse exudative macular oedema Ischaemic maculopathy Mixed forms
Diabetic maculopathy causes 90% of visual loss from diabetes - but these patients retain navigating sight
Treatment of focal exudative macular oedema
Treatment of diffuse macular oedema
Treatment of ischaemic diabetic maculopathy
Proliferative Diabetic Retinopathy • New vessels elsewhere (NVE) • New disc vessels (NVD) High risk proliferative diabetic retinopathy - New vessels ( NVE/NVD) - Preretinal haemorrhage
Proliferative retinopathy causes total blindness in 70% of untreated eyes after 5 years onset of neovascularisation
Treatment of NVE Mild NVE – focal treatment Severe NVE – PRP (600 – 800 burns)
Treatment of NVD PRP 1500 – 3000 burns
New Old
- Slides: 38