Clasificacin Histopatolgica de los Linfomas de Hodgkin Dra























- Slides: 23
Clasificación Histopatológica de los Linfomas de Hodgkin Dra. Lidia Rodríguez J. Departamento de Patología Hospital San Juan de Dios.
Linfomas de Hodgkin 1839 Thomas Hodgkin y Samuel Wilkis Ø Sternberg- Reed descripción detallada con ilustraciones de la célula gigante y de las carácterísticas histopatológicas. Ø Clasificaciones actuales basadas en el esquema de Lukes - Butler Ø
Clasificación Ø O. M. S. Ø Basada en los principios de la REAL(Revised European American Classification of Lymphoid Neoplasms) publicada por ILSG 1994. Ø Define entidades reales con características morfológicas , inmunofenotípicas, genéticas y clínicas específicas.
Linfoma de Hodgkin Ø Refinamiento de los criterios histopatológicos Ø Cambios en los esquemas de tratamiento Ø Aspectos moleculares y biológicos de la célula que deriva la neoplasia.
Clasificación Histológica de la O. M. S. para Linfoma de Hodgkin predominio linfocítico nodular NLPHL 9659/3 Linfoma de Hodgkin Clásico CHL 9650/3 Linfoma de Hodgkin esclerosis nodular NSHL 9663/3 Linfoma de Hodgkin clásico celularidad mixta MCHL 9652/3 Linfoma de Hodgkin clásico rico en linfocitos LRCHL 9651/3 LDHL 9653/3 Linfoma de Hodgkin clásico deplesión linfocítica
Clasificación O. M. S. Ø Enfatiza el predominio linfocítico nodular Ø Mantiene la división de la esclerosis nodular en dos grados Ø Mantiene la deplesión linfocítica Ø Enfatiza la sustitución de el término Enfermedad de Hodgkin por el nombre de Linfoma de Hodgkin.
Linfoma de Hodgkin Ø Identificación de la célula diagnóstica de Reed- Sternberg en un apropiado ambiente o trasfondo celular Ø Variantes de las célula de Reed-Sternberg Ø Trasfondo celular es heterogéneo, vago o mutable. Ø Criterios inmunológicos que pueden ser de impacto en el pronóstico clínico.
Linfoma de Hodgkin Predominio Linfocítico Ø Neoplasia monoclonal de células B caracterizada por un patrón predominantemente nodular con una población celular polimorfa con células características de tipo L-H Ø 5% de linfomas de Hodgkin, predominio en hombres de 30 - 50 años.
Predominio Linfocítico Ø Patrón nodular 90% que reemplaza arquitectura normal. Ø Célula predominante L-H ( pop corn ) núcleo polilobulado cromatina vesicular nucleolos múltiples basofílicos representan el 10 % de la población celular Ø Células de Reed- Sternberg clásicas difíciles de encontrar. Ø Células expresan linaje de célula B
LHPL
NLPHL
NLPHL
Predominio Linfocítico Ø Trasfondo: Ø Linfocitos maduros 50% son B, y células T CD 57 + formación de rosetas. Ø Citoquinas y quimocinas : IL-2, IL-5, IL -6, IL-7, IL-9, IL-10, IL 13, FCGM, linfotoxina -a, TGF-ß, eotaxina, cc quimocina, TARC.
NEJM 1999, 20: 1520 -1529.
LH PL Otros eventos trasformantes Alta afinidad cel. B de memoria Mutaciones favorables Mutaciones desfavorables apoptosis Mutaciones de proliferación EBV LMP-1 RS cel. LHC
Linfoma de Hodgkin Predominio Linfocítico nodular Linfoma de Hodgkin Clásico Rearreglo monoclonal de gen de inmunoglobulinas Mutación somática de la región variable de la cadena pesada de inmunoglobulinas (VH) Rearreglo funcional de Igm. RNA de Inactivación de promotores de trascripción inmunoglobulinas, pérdida de activación de factores de OCT-2 factor de trascripción inducción de síntesis de Ig y coactivador BOB. 1. EBV negativo EBV positivo, LMP 1, TNF, P 53, NFKB
Genética Ø Rearreglo monoclonal de inmunoglobulinas Ø Ausencia de infección por EBV. Célula de Origen ØCentroblasto del centro germinal
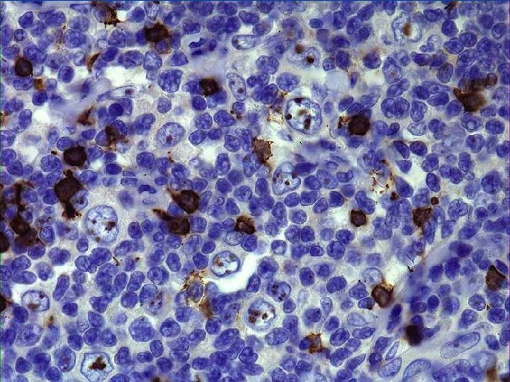
Inmunohistoquímica CD 20 + , CD 79+, marcador de Células B Bcl 6 + LCA + CD 75 + EMA + 50% Inmunoglobulinas de cadena ligera o pesada + CD 15 -, CD 30 -, Ki-67 positivo , Linfocitos T CD 3+ y CD 57 + expresión OCt 2 y BOB 1
LHPL
Patrones histológicos agregados Ø Trasformación progresiva del centro germinal. ( estudio de 171 casos 18% de Predominio linfocítico coexistencia con Trasformación progresiva del centro germinal) Ø Am J Surg Pathol 1984; 8: 253 -261.
TPCG
TPCG