Citologia e Histologia 1 O que vamos estudar

  • Slides: 31
Download presentation

Citologia e Histologia 1. O que vamos estudar na disciplina de Citologia e Histologia?

Citologia e Histologia 1. O que vamos estudar na disciplina de Citologia e Histologia? 2. Como são preparados os materiais para o estudo? Outras técnicas? 3. Que tipos de equipamentos são utilizados? 4. Qual a sua importância e a relação com as outras ciências? 5. Interpretação das imagens visualizadas?

O que vamos estudar?

O que vamos estudar?

Corpo humano Níveis de organização Organismo humano Células Órgãos Sistemas Tecidos

Corpo humano Níveis de organização Organismo humano Células Órgãos Sistemas Tecidos

Corpo humano Níveis de organização Organismo humano Órgãos Sistemas

Corpo humano Níveis de organização Organismo humano Órgãos Sistemas

Corpo humano Níveis de organização Órgãos Tecidos

Corpo humano Níveis de organização Órgãos Tecidos

Corpo humano Níveis de organização Células Tecidos

Corpo humano Níveis de organização Células Tecidos

Citologia • Estuda a morfologia e funções das células e dos componentes celulares •

Citologia • Estuda a morfologia e funções das células e dos componentes celulares • “cito” – cytos (latim = cavidade) – célula

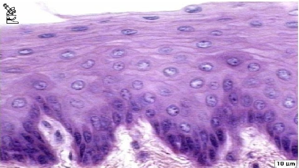
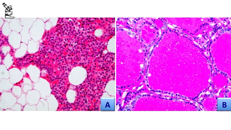
Histologia • Estudo da estrutura microscópica e das funções dos tecidos, órgãos e sistemas

Histologia • Estudo da estrutura microscópica e das funções dos tecidos, órgãos e sistemas • “histos” (grego – tecido), “tissu” (francês – tecido) • História - Bichat (1771 -1802) • Sem microscópio, + de 600 corpos – 21 tipos de tecidos e órgãos • Com microscópio, 4 tecidos fundamentais

Como são preparados os materiais?

Como são preparados os materiais?

Estudo dos tecidos em Histologia • Preparação • • • Bloco de tecido Fixação

Estudo dos tecidos em Histologia • Preparação • • • Bloco de tecido Fixação Impregnação Micrótomo – 5 a 10 µm Montagem Coloração • Corantes básicos: Eosina • Corantes ácidos: Hematoxilina

Bloco de tecido

Bloco de tecido

Fixação Fixador: Formol, líquido de Bouin, etc.

Fixação Fixador: Formol, líquido de Bouin, etc.

Desidratação Água (50%) e etanol (50%) Água (30%) e etanol (70%) Etanol (100%)

Desidratação Água (50%) e etanol (50%) Água (30%) e etanol (70%) Etanol (100%)

Diafanização Etanol (50%) e xilol (50%) Etanol (30%) e xilol (70%) xilol (100%) Impregnação

Diafanização Etanol (50%) e xilol (50%) Etanol (30%) e xilol (70%) xilol (100%) Impregnação Xilol (50%) e parafina/resina (50%) Xilol (30%) e parafina/resina (70%) parafina/resina (100%)

Inclusão

Inclusão

Microtomia

Microtomia

Montagem da lâmina

Montagem da lâmina

Coloração e montagem da lâmina

Coloração e montagem da lâmina

Que equipamento utilizamos?

Que equipamento utilizamos?

Microscopia Óptico Nos microscópios ópticos, as lentes focalizam a luz visível (feixe de fótons).

Microscopia Óptico Nos microscópios ópticos, as lentes focalizam a luz visível (feixe de fótons).

Qual a importância e relação com as outras ciências?

Qual a importância e relação com as outras ciências?

Clínicas Patologia Químicas Anatomia Biologia Molecular Genética Bioquímica Fisiologia Citologia Histologia

Clínicas Patologia Químicas Anatomia Biologia Molecular Genética Bioquímica Fisiologia Citologia Histologia

Aulas Vera Andrade https: //aulasvera. wordpress. com/

Aulas Vera Andrade https: //aulasvera. wordpress. com/