Citologa vaginal Introduccn Anatoma del tero Normal tero























































- Slides: 55
Citología vaginal. Introduccíón
• Anatomía del Útero Normal
• Útero: situado entre la vejiga urinaria y el recto, tiene la forma y el tamaño de una pera invertida. Antes del primer embarazo mide unos 7. 5 cm x 2. 5 cm. Las partes en las que el útero se divide son: • Cuerpo: porción central más importante. • Istmo: es muy corto y está tapizado por un epitelio cuya morfología se sitúa entre la del epitelio endocervical y la del epitelio endometrial. A este nivel las glándulas son muy raras y poco mucosecretoras.
1 Endometrio 2. Canal endocervical. 3. Miometrio
1. Exocervix 3. Cuerpo uterino
• Cuello o Cérvix: es la porción inferior más estrecha que se abre la vagina. Las células secretoras del cérvix producen una secreción de mucus cervical (mezcla de agua, glicoproteínas, proteínas similares a las séricas, enzimas y sales inorgánicas). La secreción uterina puede ser de 20 a 60 ml al día en las mujeres en edad de reproducirse. El mucus cervical es más receptivo a los espermatozoides en el momento de la ovulación al ser menos viscoso y más alcalino (p. H=8. 5). También aporta la energía necesaria al espermatozoide y le protege del medio hostil de la vagina y de los fagocitos.
Orificio cervical Exocervix
• Histología del Exocervix:
• Está conformado por: • Epitelio exocervical: epitelio plano estratificado no queratinizado. • Zona de transición de los epitelios.
1. Epitelio escamoso estratificado no queratinizado 2. Células de la capa basal 3. Lámina propia
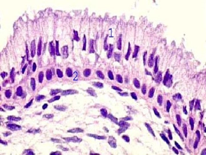
• Histología del Endocervix: • Está conformado por: • Epitelio endocervical: epitelio cilíndrico simple que descansan sobre la lámina propia.
1. Epitelio endocervical columnar 2. Células de reserva 3. Lámina propia
• Histología de la unión escamocolumnar o zona de transformación: • La mucosa de transición está situada entre la mucosa exocervical y la endocervical.
• Histológicamente, en ausencia de causas patológicas, la transición del epitelio exocervical malpighiano en epitelio endocervical cilíndrico se produce de modo brusco de una célula a otra apareciendo una junto a la otra pero sin puentes de unión. En otras ocasiones existe una pequeña zona de transición entre ambos epitelios; ésta es reducida y está compuesta por células endocervicales desdiferenciadas. Esta zona de transformación es el lugar más sensible de la patología cervical, inflamatoria o tumoral. Es esta zona la que obligatoriamente debe obtenerse en las muestras para el despistaje diagnóstico.
1. !pitelio escamoso 2. Unión escamocolumnar 3. Endocervix
• Citología del Exocerxix:
• Células Basales: • Células pequeñas miden entre 15 -25 micras, redondeadas u ovales, bordes lisos, citoplasma basófilo. • Núcleo globuloso y cromatina fina.
1. Conjunto de células basales 2. Vacuolas citoplasmáticas 3. Citoplasma cianófilo escaso 4. Núcleo de 30 a 40 micras
• Células Parabasales: • Células redondeadas, se disponen en grupos o aisladas. • Citoplasma denso, color verde, si no existe buena fijación, pueden ser de color rosado. • Núcleo que ocupa la mitad de la célula.
1. Células redondeadas u ovoides 2. Núcleo grande, ocupa la mitad de la célula con cromatina granulosa 3. Citoplasma denso, cianófilo con frecuencia vacuolado
• Células Intermedias: • Células de forma poligonal plegadas, miden entre 20 - 60 micras. • Citoplasma cianófilo (verde-azul) y es vacuolado. • Núcleo ovoide vesicular, cromatina granular. • En el embarazo tiene forma de "nave, con núcleo excéntrico y citoplasma azulamarillento por el glucógeno.
1. Células poligonales u ovoides 2. Citoplasma abundante cianófilo 3. Núcleo redondo u ovoide con cromatina fina granulosa
• Células Superficiales: • Células poligonales que miden entre 35 - 60 micras. • Bordes lisos o plegados, citoplasma acidófilo o basófilo, las células de la capa granular tienen en su citoplasma pequeños gránulos azul oscuro (probablemente citolisosomas). • Nidos de células escamosas conocidas como "perlas corneas" son vistas en los extendidos. • Núcleo puntiforme, picnótico.
1. Célula poliédrica. Núcleo picnótico 2. Citoplasma abundante, cianófilo, eosinófilo 3. Gránulos de queratohialina
• Células de origen no epitelial:
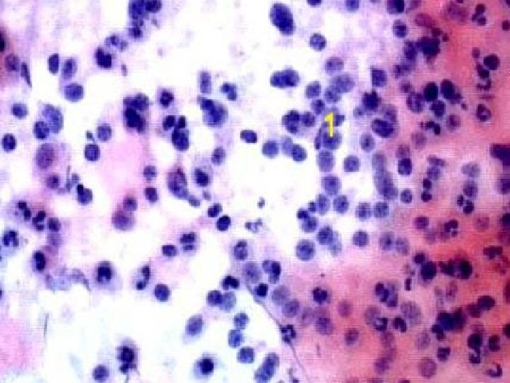
• Para realizar una interpretación correcta de la citología cervicovaginal es necesario reconocer las células del epitelo escamoso y saberlas diferenciar de otras células como: • Neutrófilos: • Son los más comunes, miden de 8 -12 micras el citoplasma es granular y el núcleo polilobulado. Su presencia no necesariamente significa proceso infeccioso.
1. Neutrófilos 2. Estructuras moruliformas o en bala de cañón
• Histiocitos o Macrófagos: • Son frecuentes después de las menstruación, pueden ser vistos como parte de los procesos infecciosos, cuando aparecen de manera abundante en la mujer menopaúsica se debe descartar afección endometrial. • Citoplasma mal definido con presencia de partículas. • Núcleos excéntricos con forma de"frijol". • Pueden dar lugar a células multinucleadas.
1. Histiocito 2. Núcleo dentado 3. Citoplasma abundante y espumoso
1. Histiocito 2. Multinucleación 3. Citoplasma abundante cianófilo
• Linfocitos: • Componentes de procesos infecciosos, miden 5 -12 micras, son numerosos en las cervicitis foliculares.
• Eritrocitos: • Elementos de la serie roja de la sangre que miden 7 - 8 micras, son normales en el período menstrual, pueden encontrarse por trauma en la toma de la muestra o como expresión de la existencia de una lesión.
1. Eritrocitos 2. Células endocervicales cilíndricas con núcleo exéntrico de localización basal 3. Célula del epitelio exocervical
• Otras células:
• Células endometriales: • Puede considerarse éxodo fisiológico en las doce primeros días del ciclo después de la menstruación. En otro tiempo su presencia es sospechosa de proceso patológico del endometrio. • Grupos de células tridimensionales de aspecto redondeado como una "rueda" con centro oscuro de células estromales y un anillo periférico claro de células epiteliales.
Éxodo endometrial
1. Ëxodo endometrial. 2. Células oscuras del estroma endometrial 3. Células claras del epitelio endometrial
Citología del endocervix
• Células endocervicales: • Se disponen sueltas, en nidos o grupos con empalizada de células columnares en la periferia. • Células columnares con núcleo pequeño basal. • Citoplasma con vacuolas (aspecto en "panal de abejas"), pueden presentar cilios en su superficie.
1. Células endocervicales en empalizasa con cilios o vellosidades en el apex 2. Citoplasma cianófilo frágil 3. Células exocervicales
Células endocervicales con abundante moco, forma de barril
1. Células endocervicales en empalizada 2. Citoplasma cianófilo vacuolado, muy frágil 3. Células endocervicales en panal de abejas. 4. Núcleo redondo
• Células metaplásicas: • La metaplasia es un cambio celular reversible, en la que un tipo celular es remplazado por otro tipo celular adulto. En este caso las células del epitelio mucosecretor del endocervix es sustituido por epitelio escamoso. • Las células metaplásicas pueden ser: inmaduras y maduras. • Son del tamaño de una célula parabasal o intermedia, forma angular o poligonal (inmaduras). • Presencia de proyecciones citoplasmáticas como "patas de araña"(puentes intercelular). • Citoplasma denso verde-azul, pueden verse vacuolas. • Núcleo vesicular de tamaño variable.
Proceso reparativo (metaplasia escamosa) 1. Células metaplásicas, menor tamaño que las células escamosas superficiales 2. Células redondeadas 3. Citoplasma denso bien definido, cianófilo
1. Conglomerado de células metaplásicas. 2. Abundante citoplasma cianófilo 3. Núcleo grande, cromatina finamente granular, necleolo visible.
1. Célula metaplásica 2. Proyecciones citoplamáticas que dan el aspecto de araña
• Principales patrones fisiológicos:
• Madurez Sexual: • Se observan células superficiales e intermedias sueltas o en grupos. • Neutrófilos (variables). • Citólisis.
1. Células superficiales 2. Células intermedias
• Embarazo: • Células intermedias, sueltas o en nidos. • Células naviculares (forma de "nave"), con citoplasma plegado de color amarillento por el glucógeno. • Núcleo excéntrico.
1. Frotis del embarazo 2. Célula intermedis navicular, citoplasma verde amarillento por la presencia de glucógeno 3. Núcleo hacia la periferia
• Estado menopaúsico: • Frotis atrófico. • Sábanas de células parabasales, células sueltas de escaso citoplasma verde-azul, núcleo picnótico, citoplasma rojizo (atrofia roja). • Cuerpos cianófilos.
1. Células parabasales 2. Células basales