Cirrosis heptica Definicin Cirrosis heptica Etapa final de























































- Slides: 55
Cirrosis hepática
Definición Cirrosis hepática ¨ Etapa final de la enfermedad hepática crónica (EHC) ¨ Histológicamente caracterizada por nódulos regenerativos rodeados por tejido fibroso ¨ La OMS la clasifica: – Micronodular – Macronodular – Mixta NEJM 2004; 350: 1646 -54
Epidemiología Cirrosis hepática ¨ Quinta causa de muerte en México. ¨ Tercera en población de 20 a 45 años. ¨ 2 veces mas frecuente en hombres que en mujeres. ¨ Frecuencia mas alta en el sur y sureste de México. ¨ En USA doceava causa de muerte. Salud: México 2003
Epidemiología Cirrosis hepática Salud: México 2003
Fisiopatología Cirrosis hepática
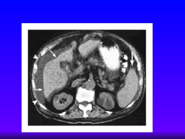
Cirrosis hepática Liver International 2005; 25: 1079 -90
Cirrosis hepática Liver International 2005; 25: 1079 -90
Cirrosis hepática Etiología ¨ Alcohol ¨ Hepatitis viral ¨ Autoinmune ¨ Enfermedad Biliar – – Obst. Extrahepática Obs. Intrahepática Cirrosis biliar primaria Colangitis esclerosante primaria ¨ Drogas y toxinas ¨ Sarcoidosis ¨ Metabólicas: – – – – Hemocromatosis Enf de Wilson Def de 1 antitripsina Fibrosis Quística Depósito de glucógeno Galactosemia Tirosinemia hereditaria Telangiectasia hemorrágica hereditaria ¨ Sífilis ¨ Cx de obesidad ¨ Obesidad
Cirrosis hepática Etiología ¨ Diabetes mellitus ¨ Obstrucción venosa – Enfermedad venooclusiva – Budd-Chiari – Insuficiencia cardiaca ¨ Cirrosis criptogénica Oxford textbook of clinical hepatology 2 a. edición
Cirrosis hepática Historia natural de la Enfermedad Hepática Crónica EHC Cirrosis Compensada Cirrosis Descompensada Complicaciones Sangrado variceal Ascitis Encefalopatía Ictericia Muerte
Cirrosis hepática Complicaciones de la cirrosis Hipertensión Portal Sangrado variceal Ascitis Encefalopatía Cirrosis Insuficiencia Hepática Ictericia
Hallazgos clínicos Cirrosis hepática ¨ Complicaciones hematológicas – Anemia – Alteraciones en la coagulación (equimosis, gingivorragia, púrpura, epistaxis) ¨ Complicaciones endócrinas – Feminización – Hipogonadismo – Alteraciones en el metabolismo de la glucosa
Cirrosis hepática Hallazgos clínicos ¨ Complicaciones pulmonares – Disnea – Sd. Hepatopulmonar – Hipertensión pulmonar ¨ Complicaciones cardiacas ¨ Litiasis ¨ Ulcera péptica 10 -15% ¨ Carcinoma hepatocelular Oxford textbook of clinical hepatology 2 a. edición
Cirrosis hepática Diagnóstico ¨ Histológico ¨ Hallazgos clínicos que sugieren cirrosis ¨ Estudios no invasivos: – De imagen – Elastografía Directos – Marcadores séricos Indirectos Oxford textbook of clinical hepatology 2 a. edición
¿En quién sospechar cirrosis? Cirrosis hepática ¨ Hallazgos clínicos – Hígado normal, pequeño o aumentado de tamaño – Esplenomegalia 20 -60% de los casos – Telangiectasias – Eritema palmar – Leuconiquia – Hipocratismo digital
¿En quién sospechar cirrosis? Cirrosis hepática – Contractura de Dupuytren – Circulación colateral – Fetor hepaticus – Encefalopatía – Ascitis – ictericia Oxford textbook of clinical hepatology 2 a. edición
¿En quién sospechar cirrosis? Cirrosis hepática ¨ Datos de laboratorio – Transaminasas anormales (AST>ALT) – GGT – Fosfatasa alcalina (elevada 70%) – Hipoalbuminemia/Globulinas elevadas – Pruebas de coagulación Oxford textbook of clinical hepatology 2 a. edición
¿En quién sospechar cirrosis? Cirrosis hepática ¨ Ultrasonido – Rutina en la evaluación de cirrosis – Vigilancia para detección de hepatocarcinoma – Evalúa el tamaño, los bordes, esteatosis, ascitis – Prominencia de lóbulo izquierdo (segmentos II y III) – Atrofia de segmentos posteriores LHD (VI y VII)
Cirrosis hepática ¿En quién sospechar cirrosis? – Hipertrofia del lóbulo de Spigel (Segmento I) – Márgenes nodulares – Ecogenicidad aumentada e irregular – diámetro de la porta (>15 mm S/E 50/100%) – Venas colaterales, coronaria, umbilical, paraumbilica y esplenorenales – Esplenomegalia – Vesícula grande, con pared engrosada y litos en 20 -30%
¿En quién sospechar cirrosis? Cirrosis hepática ¨ TAC – No de rutina, excepto ante la sospecha de hepatocarcinoma – Densidad heterogénea, esteatosis, hipodensidad – Visualización del trombo en la porta – Menos sensible y específico que el US en la evaluación de Hipertensión portal ¨ Arteriografía – Evaluación anatómica pretransplante – Evaluación de hepatocarcinoma
Diagnóstico Cirrosis hepática ¨ Endoscopía – Búsqueda de várices, tamaño y apariencia – Detección de hipertensión portal ¨ Gammagrama – No utilizado – Captación de Tc 99 heterógenea con esplenomegalia ¨ RMN – Cuantificación de hierro – Diferenciar entre nódulo y hepatocarcinoma Clin Liver Dis 9 (2005)667 -683
Diagnóstico Cirrosis hepática ¨ Biopsia hepática – No es necesaria en presencia de cirrosis descompensada – Cuadro clínico y estudio de imagen – Valoración pre-transplante – Puede ser percutánea, transyugular, laparoscópica y con aguja fina (citología) – Se requieren especímenes de 1. 5 cm de long. – Contener 6 -8 triadas portales
Biopsia Hepática
Indicaciones Absolutas de biopsia hepática.
Biopsia Hepática ¨ Molestias, dolor. ¨ En Francia la mitad de los pacientes con virus C rechazaron el ser referidos al hepatólogo por temor a la realización de la biopsia hepática. . Rayssag, Gastroenterol clin biol, 2003
Complicaciones ¨ El dolor en el punto de punción o referido al hombro, ocurre en algo más de un tercio de los pacientes. Las complicaciones mayores: 1. - Hemoperitoneo. 2. - Hematoma intrahepático y hemobilia, son afortunadamente infrecuentes. 3. -Síncope vasovagal. 4. -Infección. 5. -Neumotórax. 6. -Mortalidad 1/10, 000
Biopsia hepática ¨ Para una biosia objetiva se han diseñado sistemas de estadiaje que valoran 3 aspectos: – Inflamación de tractos portales – Necrosis y apoptosis del parénquima – Fibrosis hepática
Diagnóstico NEJM Vol 344 no. 7; 2001
Biopsia hepática
Marcadores bioquímicos Marcador ideal: ¨ Exacto. ¨ Rápido. ¨ Económico. ¨ Fácil de realizar. ¨ Accesible y reproducible.
Paul A. Schmeltzer, MD, Jayant A. Talwalkar, MD, Gastroenterol Clin N Am 40 (2011) 507– 521
¨ Fácil de realizar. ¨ Sin costo agregado al paciente. ¨ Forma parte de los exámenes normales solicitados. Sin embargo debemos tener en cuenta…. .
¨ Utiliza 5 marcadores bioquímicos del suero para predecir la fibrosis. – – – ¨ ¨ Alfa -2 macroglobulina. Haptoglobina. Gama-glutamil transpeptidasa. Bilirrubina total. Apolipoproteina A 1. Marcadores de inflamación NO de fibrosis. En la HVC crónica, inflamación es paralela a la fibrosis. Puede diferenciar etapas de fibrosis 0 -1 de 2 -4. 8 estudios AUROC 0, 75 -0, 85 para diferenciar F 0 -F 1 v. s. F 2, F 3, F 4
¨ F 0 sin fibrosis ¨ F 1 fibrosis portal ¨ F 2 pocos septos ¨ F 3 muchos septos ¨ F 4 cirrosis
¨ Valores 0. 0 -0. 1 100%VPN para fibrosis significativa (>F 2). ¨ Valores 0. 6 a 1, 90% VPP para fibrosis significativa.
Estudios de Imagen ¨ Pobre sensibilidad para detectar etapas tempranas de fibrosis. ¨ Alta especificidad en etapas avanzadas de cirrosis mediante los hallazgos hepáticos o datos de hipertensión portal.
Técnicas Radiológicas
Estudios de Imagen ¨ Elastografía mediante resonancia magnética. q Medición del coeficiente de difusión. q Esto es influenciado por la hidratación y el estado metabólico del hígado. q Muestra una reducción en el hígado cirrótico. q Sensibilidad 86%, Especificidad 85%. q Pocos estudios. ¿COSTO? ¿TIEMPO?
Resonancia Magnética (ERM) NIBIB, imagen cortesia Richard Ehman
Resonancia Magnética. (ERM) NIBIB, imagen cortesia Richard Ehman
¨ Utiliza la elastografía transitoria. ¨ Probada en pacientes con HVC crónica. ¨ Puede diferenciar etapas de fibrosis 3 -4 de las etapas 0 -2. ¨ Su certeza diagnóstica es razonable en el paciente con NAFLD (valor de corte de 7. 9 Kpa). Dig Liver Dis. 2008 May; 40(5): 371 -8. Hepatology. 2010 Feb; 51(2): 454 -62.
The probe induces an elastic wave through the liver The velocity of the wave is evaluated in a region located from 2. 5 to 6. 5 cm below the skin surface 2. 5 cm LB: 1/50, 000 of the liver Fibro. Scan: 1/500 of the liver Explored volume 1 cm 4 cm
Fibro. Scan
Diagnóstico de cirrosis L. Castera, M. Pinzani, Lancet Vol 375, Abril 24, 2010
Conclusiones. Biopsia Hepática. Ventajas. Desventajas. ¨ Muestra directa de la fibrosis. ¨ Invasiva y dolorosa ¨ Bien establecidos sistemas de estadiaje. ¨ Evaluación de lesiones asociadas. ¨ ¨ (10 - 30%). Complicaciones serias 0. 03% Mortalidad 0. 01% Contraindicada en presencia de ascitis, coagulopatía y trombocitopenia. Variabilidad. L. Castera, M. Pinzani, Gut 2010: 59: 861 -866
Conclusiones. Marcadores Séricos. Ventajas. ¨ ¨ ¨ ¨ No invasivo. Fácil de repetir. Sin riesgo. Sin contraindicación. Se realiza en forma ambulatoria. Reproducible. En combinación con FS incrementa su rendimiento. Desventajas. ¨ Incapaz de discriminar en etapas intermedias. ¨ Marcadores no específicos. ¨ Limitaciones (artritis reumatoide, Sd. Gilbert, Hemolisis. )Inmunosupresión postransplante. L. Castera, M. Pinzani, Gut 2010: 59: 861 -866
Conclusiones. ¨ Debe destacarse también que la BH no es un estándar de referencia perfecto, y su inexactitud puede ser responsable de la imperfección diagnóstica de métodos no invasivos cuando se intenta validar a través de estudios transversales. ¨ Las pequeñas diferencias en el AUROC no indican necesariamente que un modelo no invasivo tenga un rendimiento inferior al de los demás modelos, porque no puede saberse si esta diferencia en el AUROC se debe al modelo no invasivo, a la BH como método de referencia, o a los dos. Tor J, Muga R. Evaluación de la fibrosis hepática por métodos no invasivos. Med Clin (Barc). 2011
Conclusiones. ¨ Los rendimientos de estos métodos no invasivos en última instancia deben ser comparados y evaluados mediante estudios de seguimiento longitudinal a largo plazo, en base a desenlaces clínicos relacionados con la fibrosis hepática, tales como: q Descompensación hepática. q Aparición de carcinoma hepatocelular. q Muerte de causa hepática. Tor J, Muga R. Evaluación de la fibrosis hepática por métodos no invasivos. Med Clin (Barc). 2011
Pronóstico Cirrosis hepática ¨ Después de una descompensación sobrevida 21% a 5 años ¨ La escala de Child-Pugh Turcotte es utilizada desde 1964 ¨ Tiene la desventaja de utilizar 2 variables subjetivas, la encefalopatía y la ascitis ¨ Tiene pobre discriminación para la gravedad
Clasificación de Child-Pugh 2 Cirrosis hepática Puntaje 1 3 Ascitis ausente Leve Mod Encefalopatía No GI-II III-IV Albúmina (g/L) >3. 5 2. 8 -3. 5 <2. 8 Bilirrubina (mg/d. L) TP/INR <2 2 -3 <1. 7 1. 8 -2. 3 >3
Cirrosis hepática Clasificación de Child Clase Puntaje Sobrevida 1 año (%) 2 años A 5 -6 100 85 B 7 -9 80 60 C 10 -15 45 35
Cirrosis hepática MELD ¨ En USA > 18 000 pacientes con cirrosis en lista de espera para transplante, sólo 5000 órganos ¨ Surge MELD ¨ Ecuación matemática 9. 57 Log(creat)+3. 78 Log(Bil)+11. 2 Log(INR+6. 43)
Cirrosis hepática ¨ Ascitis persistente y Na < 135 factores predictivos independientes de mortalidad en MELD <21 Hepatology 2004; 40: 802 -10