CHRONIC ILIOFEMORAL DVT NEVER TOO LATE Stephen F


















































- Slides: 50
CHRONIC ILIOFEMORAL DVT NEVER TOO LATE Stephen F. Daugherty, MD, FACS, RVT, RPh. S Clarksville, Tennessee ACP NOVEMBER, 2012
NO CONFLICT OF INTEREST THE DESCRIBED USES OF STENTS ARE NOT FDA-APPROVED USES.
SEQUELAE OF ILIOFEMORAL DVT VENOUS CLAUDICATION POST-THROMBOTIC SYNDROME VENOUS LEG ULCERS
44% DEVELOP VENOUS CLAUDICATION 15% VENOUS CLAUDICATION INTERRUPTS WALKING Delis KT, Bountouroglou D, Mansfield AO, Ann Surg. 2004; 239(1): 118 -26.
9/14/11
21% of patients with LE DVT develop PTS with 66 month follow -up At the initial presentation, iliofemoral DVT was the single variable closely associated with PTS, odds ration 3. 4 Yamaki T, et al. Eur J Vasc Endovasc Surg 2011; 41: 126 -33.
MOST CLOSELY ASSOCIATED WITH PTS AT 6 MONTHS VENOUS OCCLUSION POPLITEAL VEIN REFLUX ELEVATED PEAK REFLUX VELOCITY POPLITEAL CALF MUSCLE PUMP DYSFUNCTION
OBSTRUCTION - OCCLUSIVE - NON-OCCLUSIVE WEBS SYNECHIAE LONG STENOSIS DUE TO FIBROSIS
80% OF ILIOFEMORAL DVT HAVE AN UNDERLYING EXTRINSIC ILIAC VEIN COMPRESSION Chang, et al. JVIR; 15: 249 -56.
MAY-THURNER IVC FILTER OCCLUSION ANEURYSMS, ARTERIAL GRAFTS TUMORS, CYSTS SURGICAL INJURY RADIATION FIBROSIS HYPOPLASTIC KLIPPEL-TRENAUNAY
LE VENOUS DUPLEX US REFLUX OBSTRUCTION CFV DOPPLER FLOW CONTINUOUS? ASYMMETRY? FEMORAL VEIN COLLATERALS
ABDOMINAL/PELVIC DUPLEX FLOW AND ANATOMY STENOSIS MINOR DIAMETER REDUCTION ELEVATED PEAK VENOUS VELOCITY RATIO >2. 5 FLOW REVERSAL GONADAL, ASCENDING LUMBAR, PELVIC VARICOSITIES
CT/MR VENOGRAMS - HELP WITH ANATOMIC DETAIL - DO NOT EVALUATE FLOW - DEPENDENT UPON FACILITY AND RADIOLOGIST INTEREST - CT— TIMING OF CONTRAST INJECTION/FLOW ISSUES
SURGICAL APPROACHES AUTOGENOUS SAPHENOUS VEIN FEM-FEM BYPASS 4 YEAR PATENCY 83% e. PTFE BYPASS 2 YEAR SECONDARY PATENCY 54% Jost CJ, et al. J Vasc Surg 2001; 33(2): 320 -27.
ILIOFEMORAL VENOUS STENTING Chronic non-malignant obstruction 177 limbs stented iliac vein into CFV Focal in-stent stenosis at inguinal ligament 7% (all <50%) In-stent restenosis (>50%) 5% Stent fractures 0 Stent compression 0 Neglen P, Tackett TP, Raju S. J Vasc Surg 2008; 48(5): 1255 -61.
CUMULATIVE SECONDARY PATENCY AT 54 MONTHS NONTHROMBOTIC 100% THROMBOTIC CEPHALAD TO INGUINAL CREASE 90% CAUDAD TO INGUINAL CREASE 84% NON-OCCLUSIVE ONSTRUCTION 95% OCCLUSIVE OBSTRUCTION 77%
CHRONIC ILIOFEMORAL VENOUS OBSTRUCTION 16 PATIENTS C 3 -6 10/16 INCAPACITATING VENOUS CLAUDICATION AFTER STENTING (8. 4 MONTHS MEAN F/U) 0/16 WITH INCAPACITATING VENOUS CLAUDICATION IMPROVED VENOUS OUTFLOW IMPROVED CALF MUSCLE PUMP FUNCTION INCREASED VENOUS REFLUX
Mean C 3 (pre-treatment) Mean C 2 (post-treatment) Delis KY, et al. Ann Surg 2007; 245: 130 -39.
INFLOW IS ESSENTIAL MAY EXTEND STENTS INTO COMMON FEMORAL VEIN PROFUNDA FEMORIS VEIN
HYBRID PROCEDURES ENDOPHLEBECTOMY OF CFV, FV STENT IVC, ILIAC, CFV Vogel D, Comerota AJ, et al. J Vasc Surg 2012; 55: 129 -135.
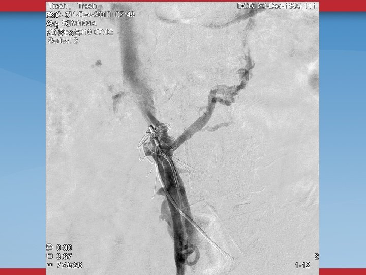
DEFINITIVE DIAGNOSTIC/THERAPEUTIC PROCEDURES VENOGRAMS UG sheath placement Femoral, Pop, PTV Flow, Collaterals
VENOGRAMS FEMORAL INFLOW FILLING DEFECTS WILL MISS SOME STENOSES, WEBS
INTRAVASCULAR ULTRASOUND THE ANATOMIC GOLD STANDARD USUALLY BILATERAL IFV/IVC CHOOSE DIAMETER/LENGTH OF BALLOON/STENT POST-STENTING ASSESSMENT
POST-OP STENTS OBSERVE OVERNIGHT ANTICOAGULATION LMWH WARFARIN COMPRESSION HOSE, 30 -40 mm Hg EARLY AMBULATION
FOLLOW-UP <1 WEEK 3 -4 WEEKS US/OV 3, 6, 9, 12 MONTHS AND ANNUALLY US/OV OFFICE VISIT ABD/PELVIC
1
SECONDARY PROCEDURES FLOW-LIMITING IN-STENT SENOSIS PTBA NEW STENOSIS OUTSIDE STENT PTBA/STENT THROMBOSIS CONSIDER LYSIS EVALUATE INFLOW AND OUTFLOW AND ADEQUACY OF ANTICOAGULATION