Chronic Empyema By Dr Khaled M Abdel Aal
Chronic Empyema By Dr. Khaled M. Abdel Aal MD Cardiothoracic surgery Sohag University
Definition: o Pus in the pleural cavity o Purulent fluid in the pleural cavity o Bacterial invasion of the pleural cavity
Causes o Post peumonic: (parapneumonic) the most common following sever pneumonia due to under treatment or improper treatment o Post operative o Post traumatic o Pathological chest conditions: esophageal ruture mediastinitis Mediastinal abscess o Blood borne infection
pleura o pleura is a serous membrane that line thoracic cavity (parietal pleura) and covering the lungs (visceral pleura) o A small potential space between both layers called pleural cavity o Normally contain a small amount of flluid(5 – 10 ml) o Pressure IS negative in the cavity(-5 cm H 2 O) o Pleural cavity is sterile.
Pleura(function) o aids optimal functioning of the lungs during respiration. o pleural fluid, which allows the pleurae to slide effortlessly against each other during ventilation. o Surface tension of the pleural fluid also leads to close apposition of the lung surfaces with the chest wall. This physical relationship allows for optimal inflation of the alveoli during respiration. o The pleural cavity transmits movements of the chest wall to the lungs.
Causes o Post peumonic: (parapneumonic) the most common following sever pneumonia due to under treatment or improper treatment o Post operative o Post traumatic o Pathological chest conditions: esophageal ruture mediastinitis Mediastinal abscess o Blood borne infection
organisms o Community acquired pneumonia: streptococcus pn haemophilus infl. staph aureus chlamydia pneumonia o Hospital aquired pneumonia: aerobic gram negative e. g. Klebsiela pneumonia E. coli pseudomonus staph aureus
Stages o First stage: (Exudative stage) -- exydative effusion due to swelling of the pleural membrane -- fibrin deposits and polymorphoneuclear leukocytes are of small number, PH >7. 2, LD<1000, glucose normal. o Second stage: (fibrinopurulent stage) -- true empyema (complicated effusion) -- begins with bacterial invasion to the pleural cavilty -- bacterial count >500 /microliter early and >100 late -- more fibrin deposits, early angioplastic and fibplastic proliferation --PH<7. 0, LD ≥ 1000, glu <50 g/dl. o Third stage: (chronic empyema) (organization) -- dense fibrosis -- pure thick pus -- chest contraction -- Lung entrapment -- atelectasis -- prolonged pulmonary infection
Clinical picture
Clinical picture o Epyema is suspected if there is an exacerbation or recurremce of the septic condition of pneumonia o May present as a continuation of symptoms and manifestation of the pneumonic process o Symptoms: 1. shortness of breath 2. fever 3. cough 4. chest pain N. B: All these symptoms are comon with pneumonia so, the presence of these symptoms or accentuation of these symptoms------suspicion of pneumonia
Clinical picture o Signs: 1. fever 2. toxic 3. anxious patient 4. tachycardia 5. tachypnea 6. restrected or guarded chest wall movement 7. percussion---pain and dullness over the empyema 8. In chronicity: may be clubbing, contraction of the chest wall, inanition, and other signs of chronic illness.
Complications 1. Bronchpleural fistula: large amount of purulent expectoration (suppurative lung syndrome) 2. Empyema necessitatis 3. Osteomyelitis of the ribs and spine 4. Mediastinal invasion: mediastinitis abscesses pericarditis pulmonary esophageal fistula 5. Metastatic spread-----breain abcess
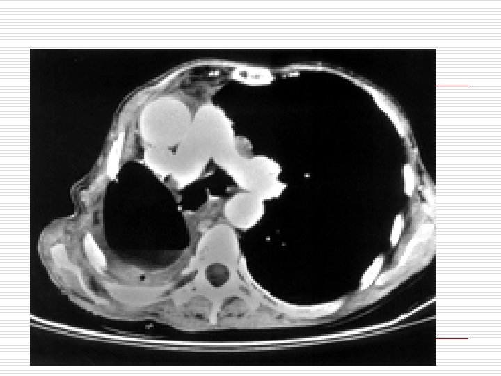
Diagnosis o X- ray chest: pleural effusion pyopneumothorax thickened pleura crowded ribs o CT chest: confirm diagnosis thickened pleura complications o Chest sonography: fluid collection loculations
Management o Aims: 1 -control infection by appropriate antibiotics 2 -evacuation of pus 3 -obliteration of empyema cavity
Management 1. Antibiotics & Thoracocentesis. 2. Tube thoracostomy. 3. Small thoracostomy tubes with fibrinolytic therapy. 4. Open drainage (with or without rib resection). 5. VATS. 6. Decortication 7. Thoracoplasty.
Chronic empyema (management) 1. Antibiotics & Thoracocentesis: A. help to guide choosing the proper antibiotic B. characters and biochemical analysis of the fluid(if Glu. <50 g/dl, PH<7, LD>1000, cloudy or frank pus, amount >1/2 of the hemithorax)
Chronic empyema (management) 2. Tube thoracostomy: - first line of treatment - usually 35 to 36 fr in diameter -indications.
Chronic empyema (management) 3. Small thoracostomy tubes with fibrinolytic therapy: - too small tubes 12 – 16 fr. -under image guidance (CT, U/S, florouscopy). -fibrinolytic agents(urokinase & streptokinase). -method.
Chronic empyema (management) 4. Open drainage: - rib resection in the past. (was the 1 st line of treatment befor antibiotic era). - by using the cut end chest tube nowadays. - indication.
Chronic empyema (management) 5. Decortication: -- thoracoscopic (VATS) or -- surgical 6. THORACOPLASTY.
Management 1. Antibiotics (according to culture and sensitivity) 2. Chest tube drainage: 36 fr the usual first step of treatment of acute empyema or early chronic (exudative and early fibrinopurulent) 3. Recently much smaller chest tubes are used (12 -16 fr), with the use of fibrinolytic therapy to lyse loculations and improve drainage (sttreptokinase and urokinase). 4. Open drainage: rib resection in the past by using the cut end chest tube nowagays 5. Decortication: thoracoscopic or surgical 6. thoracoplasty.
Chronic Empyema
Chronic Empyema
Thank you
- Slides: 27