Chronic Diseases Cardiovascular Disease Disease that affects the




















- Slides: 20
Chronic Diseases
Cardiovascular Disease § Disease that affects the heart or blood vessels § Two types – hypertension and atherosclerosis § Behavioral factors – smoking, poor diet, lack of physical activity, alcohol abuse, obesity, poor stress management § Environmental factors – stressful workplace
Hypertension § High blood pressure. § It can damage blood vessels and heart over a long period of time. § It is called the “silent killer”. § It is most common in people over the age of 35. § Prevent it by eating healthy, exercising regularly, and managing your weight.
Atherosclerosis § An accumulation of plaque on artery walls. § Typically caused by unhealthy food choices high in saturated fats and cholesterol. § As the plaque builds, it hardens on the walls of the arteries. § It can lead to strokes and heart attacks.
Cancer § Uncontrollable growth of abnormal cells § Tumor – abnormal mass of tissue that has no natural role in the body. They are not always associated with cancer. There are two types – benign and malignant.
Skin Cancer § Also called melanoma. § Can be detected in physical exam and removed by a biopsy. § Behavioral factors – exposure to the sun or radiation, failure to use sunscreen/clothing/shade, use of tanning beds. § Environmental factors – depletion of ozone layer, lack of shade, time of day, occupation
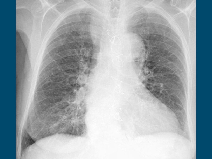
Lung Cancer § Can also be classified as carcinoma (aggressive). § Typically no immediate symptoms. § May have severe cough, wheezing, coughing up blood, and hoarseness. § It is detected in a chest x-ray. § Behavioral factors – smoking, general air pollution § Environmental factors – exposure to radon, asbestos
Osteoporosis § Condition in which there is a progressive loss of bone tissue. § Healthful behaviors during teen years can reduce your risk of developing osteoporosis later in life. § Can be detected by a bone scan. § Behavioral factors – lack of physical activity, lack of calcium and vitamin D in diet. § Environmental factors – none identified
Bronchitis § An inflammation of the bronchi caused by infection or exposure to irritants such as tobacco smoke or air pollution. § Also causes bronchi to produce excess amounts of mucus, which block the airways causing coughing, wheezing, and shortness of breath. § Treatments include antibiotics and reducing the exposure. § Behavioral factors – smoking, choice of occupation § Environmental factors – general air pollution, asbestos in buildings, secondhand smoke
Emphysema § A disease that progressively destroys the walls of the alveoli. § Almost always caused by smoking. § Some symptoms include breathing difficulty and chronic cough. § Behavioral factors – smoking, choice of occupation § Environmental factors – general pollution, asbestos in buildings, secondhand smoke