Choroby ukadu oddechowego mk NOWORODKI n Wady wrodzone
Choroby układu oddechowego mk
NOWORODKI n Wady wrodzone układu oddechowego n RDS n Zespół zachłyśnięcia smółką n Zakażenia n Mukowiscydoza ->
Wady układu oddechowego n Wady ściany klatki piersiowej n Wady przepony n Wady dróg przewodzących – Górne drogi oddechowe – Tchawica i oskrzela n Wady płuc
Wady ściany klatki piersiowej n Klatka piersiowa kurza (Pectus carinatum, Pigeon Breast) n Klatka piersiowa lejkowata (Pectus excavatum, Funnel Chest) Wrodzony brak żeber n Rozszczep mostka n (Fissura Sterni Congenita, Sternal clefts)
Pectus excavatum
Pectus excavatum
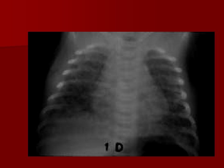
Multiple rib malformation
Wady przepony n Wrodzona przepuklina przeponowa przednia (Morgagniego) § 1: 300 przepuklin przeponowych § Często skąpo objawowe lub bezobjawowe § Prawostronna – wątroba, okrężnica (łatwiejsze do rozpoznania), sieć, § Lewostronna – osierdzie zamyka wrota (skąpe objawy) § Objawy późne sugerujące kamicę żółciową, ch. Wrzodową, bóle zamostkowe, kaszel, obj. Dyspeptyczne § 10% skręcenie
Congenital anterior diaphragmatic hernia (Morgagni)
Congenital diaphragmatic hernia of Bochdalek (posterolateral)
Wady przepony cont. n Wrodzona przepuklina przeponowa Bochdaleka § EMERGENCY !!!!! § 1: 2200 -3500 urodzeń § 85 -90% lewostronna § Współistniejące wady: niedokonany zwrot jelit, sekwestracja płucna, wady serca § Lewostronna: jelito grube, śledzona, żołądek, Prawostronna: wątroba § Hypoplazja płuc (obustronna z przewagą strony zajętej)
Diaphragmatic hernia (7 Hbd)
Diaphragmatic hernia
1 rok później
Wady układu oddechowego n Wady tchawicy § Wiotkość chrząstek tchawicy i krtani (laryngotracheomalacia) § Wady naczyniowe – – – § § prawostronny łuk aorty, podwójny łuk aorty, nieprawidłowe odejście lewej tętnicy szyjnej, nieprawidłowe odejście prawej tętnicy podobojczykowej, „sling” lewej tętnicy płucnej Przetoka przełykowo-tchawicza Zwężenia tchawicy Uchyłki tchawicy Nieprawidłowe odejście oskrzeli
Ring naczyniowy
Przetoka przełykowo-tchawica (Tracheoesophageal fistula – TOF) 1: 3500 żywych urodzeń n Objawy uzależnione od typu TOF n TOF z atrezją przełyku – wcześniactwo – 25%, wady wrodzone – serca, z. Downa, wodonercze, atrezja XII, tracheomalacja, 10% niedrożny odbyt, 50% wady kręgów n
Przetoka przełykowotchawicza Tracheoesophageal fistula – TOF
Wady płuc n Agenezja płuca n Aplazja płuca n Hipoplazja płuca n Torbiele wrodzone i wrodzona torbielowatość płuc n Wrodzona rozedma płatowa
Agenezja (4 Hbd)
Agenezja v. aplazja (5 Hbd)
Hypoplazja
Hypoplazja
Hypoplazja
Hypoplazja
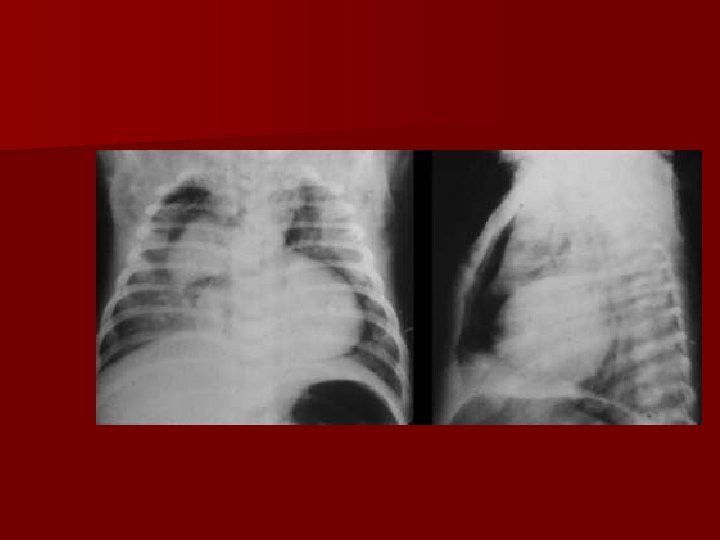
Wrodzona rozedma płatowa Congenital lobar emphysema
Torbiel wrodzona
RDS n Czynniki ryzyka § LBW § Cukrzyca matki § Zatrucie ciążowe § Wylewy śródczaszkowe § Obciążony wywiad okołoporodowy n Rozpoznanie n Postępowanie
RDS – Respiratory Distress Syndrome
RDS – Respiratory Distress Syndrome
Wchłanianie płynu po urodzeniu przed porodem 30 min po pierwszym oddechu w czasie porodu 6 godz. po porodzie
Pneumothorax
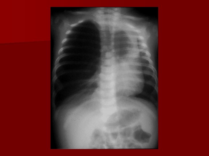
Pneumomediastinum
MAS – Meconium Aspiration Syndrome
Choroby układu oddechowego NIEMOWLĘTA n n n n Zapalenia płuc Zapalenie oskrzelików Mukowiscydoza Wady wrodzone układu oddechowego Obturacyjne zapalenie oskrzeli Zespoły aspiracyjne Nawracające zakażenia układu oddechowego
Mukowiscydoza n Częstość występowania n Dziedziczenie n Rozpoznanie § Noworodki, niemowlęta, dzieci starsze n Leczenie n Powikłania i rokowanie
Dysplazja oskrzelowo-płucna n Rozpoznanie § Wysokie stężenia tlenu § Ciśnienia w drogach oddechowych § Czas n Zapobieganie n Leczenie
Choroby układu oddechowego DZIECI > 2 r. ż. n n n n Zapalenia płuc Astma oskrzelowa Rozstrzenia oskrzeli Zwłóknienia płuc i choroby śródmiąższowe Nawracające zakażenia układu oddechowego Ciało obce Rzadziej wady płuc
CT
CT
MRI
- Slides: 58