CHOLANGIOGRAPHY OR CHOLANGIOGRAM Anatomy of biliary system Cholangiography

CHOLANGIOGRAPHY OR CHOLANGIOGRAM

Anatomy of biliary system

Cholangiography is a procedure that allows visualization of the ducts (common bile duct and cystic duct) that carry bile from the liver and gallbladder into the small intestine. Following injection of a radiopaque dye (iodipamide meglumine) into the ducts, x-raypictures (cholangiograms) are taken of the abdominal area in which the ducts are located. The absence of dye in a section of the bile ducts provides evidence that the duct is obstructed.

There are four types of cholangiography. these are as follows: 1 -Postoperative cholangiography, 2 - Endoscopic retrograde cholangiopancreatography (ERCP), 3 -Percutaneous transhepatic cholangiography (PTC), 4 -Magnetic resonance cholangiopancreatography (MRCP). They differ in how the dye is injected into the ductile system.

Postoperative cholangiography is done by injecting the dye into a T-shaped rubber tube that is inserted into the common bile duct during surgery to remove the gallbladder (cholecystectomy) or to perform common bile duct exploration. During surgery, a T- shaped tube is inserted to facilitate drainage. Seven to ten days later, Cholangiography is performed.


ERCP involves passage of a flexible fiberoptic microscope (endoscope) through the mouth into the small intestine (duodenum). A tube (catheter) is then passed into the common bile duct (and possibly the pancreatic duct), and radiopaque dye is injected. ERCP is the preferred invasive imaging modality because of its relatively low rate of serious morbidity (3% to 5%) and its ability to image and treat diseases of the bile duct, ampulla, pancreas, and duodenum.

Percutaneous transhepatic cholangiography (PTC) involves injecting dye through the abdominal skin into the ductile system in the liver using a long, slender needle under USG guidance.


Magnetic resonance cholangiopancreatography (MRCP) is becoming the preferred imaging technique; it is the best and most sensitive noninvasive test for biliary obstruction. On some occasions, the individual can be taken directly for surgical therapy after MRCP. Use of MRCP as the sole pre-operative examination will increase the availability of this test, which is currently limited to the larger medical centers.

INTRO OPERATIVE CHOLANGIOGRAPHY In an intraoperative cholangiogram, image of bile ducts is taking during a surgical procedure, a catheter is inserted into the bile duct and technician injects contrast medium directly into the biliary tract that will highlight the bile ducts.


Indications Abdominal Pain Jaundice Fever Or Chills Liver Enlargement Spleen Enlargement Tumors (Benign Or Malignant) Stricture Fistula

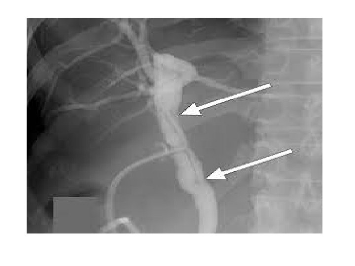
Prognosis With cholangiography, the bile ducts are visible on x-ray film. ERCP will show the pancreatic ducts as well. Obstruction within the bile duct system is identified by the lack of radiopaque contrast medium in a segment of the duct. Also, if there is obstruction, the bile ducts usually appear to have a larger diameter (dilated) than normal. Nonobstructed ducts are of normal size.

Comorbid Conditions Acute pancreatitis, Anemia, Ascites, Bleeding disorders, Cancer, Peritonitis, Sepsis.

Complications an allergic reaction to the radiopaque contrast medium, nausea, vomiting, excessive salivation, flushing, urticaria, excessive sweating (diaphoresis). Additional complications of PTC may include tachycardia, peritonitis, chills and fever; abdominal pain, abdominal tenderness and distention, peritonitis. Additional complications of ERCP may include slowed breathing rate (respiratory depression), cessation of breathing (apnea), hypotension, bradycardia, laryngospasm, perforation of the gut, cholangitis, and pancreatitis.

Operative cholangiography should be performed by the surgeon accompanied by a radiologist. T-tube cholangiography can be performed by an X-ray technician, a nurse or a doctor. Pregnant women, People allergic to iodine or shellfish, Severe obesity or the presence of gas overlying the bile ducts may obscure the x-ray findings. Residual barium in the abdomen due to a recent contrast x-ray study of the digestive tract may interfere with visualization of the bile duct.

OPERATIVE CHOLANGIOGRAPHY In an intraoperative cholangiogram, image of bile ducts is taking during a surgical procedure, a catheter is inserted into the bile duct and technician injects contrast medium directly into the biliary tract that will highlight the bile ducts. It is helpful prior to surgery and reduce the risk of complications. It is cost effective also. It also helps the surgeon get oriented and can reduce the risk of injury to the bile ducts.


Surgeons may request an intraoperative cholangiogram in any procedure when they will be working with or around the bile ducts, particularly in a cholecystectomy, where the practitioner removes the gallbladder. These procedures are often performed endoscopically, with the use of tools inserted through small incisions and guided by a camera.

In the intraoperative cholangiogram, a technician injects a contrast medium that will highlight the bile ducts on an x-ray. Once the medium has a chance to circulate, a series of images can be taken to watch it move through the bile ducts. The resulting images highlight the anatomical structures in the area and provide important information for the surgeon about the location of the common bile duct. If there is a problem as a result of surgery, the surgeon can look for indications of potential trouble, which might include leaking contrast medium or an area of obstruction



When a surgeon recommends a gallbladder removal or other surgery in this area, this may include a request for an intraoperative cholangiogram. Information about the test can be provided to the patient along with other material about the surgery. Surgeons thus take reasonable precautions to reduce the risk of complications and identify surgical errors as quickly as possible. Procedure takes around 15 -20 min.

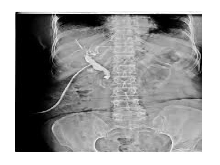
T-Tube cholangiography It is typically performed 5 to 10 days after gallbladder removal. Contrast dye is injected through a T-shaped rubber tube placed in the common bile duct during surgery, and x-rays are then taken to detect any residual stones or other abnormalities. The procedure will be explained to you and you will be asked to sign a consent form.





Patient should be nill per orally. Enema may be administered about 1 hr prior to the test. Smooth muscle relaxant must be given intravenously just before the test.

The patient change the hospital gown and lie on her back on an x-ray table. A technique called fluoroscopy will be used to allow the radiologists to watch x-ray images on a TV monitor. Contrast media will be injected through the t-tube into the bile ducts, and xray pictures will be taken. After the x-ray pictures have been checked for quality, the t-tube will be reconnected to the drainage bag. The test will take approximately 30 -60 minutes to complete. There are no side effects and the exam is not uncomfortable

The individual lies in supine position) on X-ray table. The T-tube is cleaned by normal saline, approximately 5 ml of radiopaque contrast medium is injected into the T-tube, and x-ray images are taken. Additional contrast medium is usually injected (20 to 25 ml), and other x-rays are then taken as the individual is moved through a variety of positions on the table. A final xray is taken 15 minutes after the final injection of contrast medium to record the emptying of contrastladen bile into the duodenum. Postoperative cholangiography is not painful, although the individual may feel a bloating sensation in the upper right quadrant of abdomen as the contrast medium is injected.

Why T-tube is inserted Due To Edema Of The Distal Cbd Due To Spasm Of Sphincter Of Oddi To Allow free drainage of bile into the duodenum T-Tube is soft and flexible and made of latex not rubber.
- Slides: 33