CHN THNG S NO NGUY C THP low































































- Slides: 63
CHẤN THƯƠNG SỌ NÃO NGUY CƠ THẤP (low risk brain injury) PGS. TS. DƯƠNG ĐẠI HÀ P Trưởng phòng NCKH –BV VIỆT ĐỨC Giảng viên Trường Đại học Y HÀ NỘI Long An- Tháng 4/ 2015
CHẤN THƯƠNG SỌ NÃO Chấn thương sọ não CTSN lµ nguyªn nh©n tö vong hµng thø 3 sau bệnh lý tim m¹ch, ung thư. Hoa kú : 3 triÖu CTSN/n¨m, 60 000 tö vong/năm (2011: 6 triệu người Mỹ sống với di chứng của CTSN) ViÖt nam : 15000 -16000 tö vong/n¨m Sãng thÇn: Tsunami 2011 NhËt b¶n: >16000 ng uêi chÕt
Giao th «ng viÖt nam
Giao thông Việt nam
Luật đội mũ BH 2008 11/5/2020 5
HËu qu¶ Tai n. An Giao Th «ng
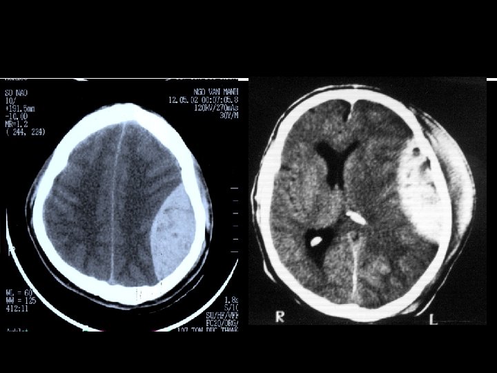
BỆNH ÁN MINH HỌA: -Bệnh nhân NGUYỄN VĂN D. -NAM, 20 TUỔI -ĐC: LƯƠNG TÀI -TAI NẠN GIAO THÔNG DO RƯỢU -VV: 13/7 Tỉnh táo hoàn toàn, GCS 15 điểm - Chup CLVT: KHÔNG CÓ MÁU TỤ
ĐIỀU TRỊ TẠI BV TỈNH -BN TỈNH, GCS 15 ĐIỂM -KHÔNG LIỆT, KHÔNG NÔN -ĐAU ĐẦU ÍT, GIẢM DẦN -NGOÀI RA KHÔNG CÓ DẤU HIỆU GÌ KHÁC -2 NGÀY SAU, BN RA VIỆN
BN NGYỄN VĂN D -NGÀY 20/7( sau 5 ngày): XUẤT HIỆN ĐAU ĐẦU, HÔN MÊ -TỬ VONG (KHÔNG KỊP CHỤP CẮT LỚP VI TÍNH) -MỔ XÁC: MÁU TỤ TRONG NÃO -GIA ĐÌNH BỆNH NH N KHIẾU KIỆN TẠI SAO BỆNH NH N TỬ VONG ? ? ?
? QUAN NIỆM MỚI: CTSN NGUY CƠ THẤP VẤN ĐỀ ĐẶT RA: LÀM GÌ ĐỂ GIẢM THIỂU NHỮNG RỦI DO CHO BỆNH NH N VÀ BẢN THÀY THUỐC ?
THẾ NÀO LÀ CTSN NGUY CƠ THẤP §Þnh nghÜa: CTSN cßn tư ¬ng®èi tØnh t¸o, Ýt nguy c¬, 13 ≤ GCS ≤ 15 1860: Erichson & Trimble mô tả hội chứng sau chấn thương
Ph©n lo¹i CTSN: Dùa vµo b¶ng Glasgow < 9 ®iÓm Glasgow 9 – 13®iÓm Glasgow 14 15®iÓm Glasgow BN mª BN l¬ m¬ BN tØnh, chËm < 9: CTSN nÆng, nguy c¬ tö vong cao, cÇn HS tich cùc: NKQ, më khÝ qu¶n. . . Glasgow 9 13: CTSN trung b×nh, hay gäi lµ CTSN nguy c¬ thay ®æi Glasgow 14 15: CTSN nhÑ ( Nguy c¬ thÊp): nhu ngvÉn cÇn theo dâi tri gi¸c 24 48 h
CTSN NGUY CƠ THẤP Vì Sao Đ Y LÀ LOẠI CTSN RẤT NGUY HIỂM ? 1 -THẦY THUỐC MẤT CẢNH GIÁC. 2 -BỆNH NH N VÀ GIA ĐÌNH ÍT QUAN T M 3 -CHIẾM 80% TỔNG SỐ CTSN 4 -NGUY CƠ TỬ VONG 0, 3 - 2% THÀY THUỐC L M SÀNG, PTV THẦN KINH QUAN T M NHIỀU NHÓM CTSN NẶNG
CTSN NGUY CƠ THẤP TRIỆU CHỨNG L M SÀNG - MẤT TRI GIÁC BAN ĐẦU SAU CHẤN THƯƠNG - QUÊN SỰ VIỆC XẢY RA - ĐỘNG KINH SAU CHẤN THƯƠNG - LIỆT SAU CHẤN THƯƠNG - RỐI LOẠN NÓI - RỐI LOẠN NHÌN - ĐAU ĐẦU, -NÔN, BUỒN NÔN -CHÓNG MẶT - 13 ≤ GCS ≤ 15
KH¸M BÖNH Kh¸m toµn th©n: C¸c dÊu hiÖu sinh tån T×nh tr¹ng h « hÊp vµ tuÇn hoµn cÇn kiÓm tra ®Çu tiªn v× liªn quan ®Õn tÝnh m¹ng. A ( Airway): khai th «ng h « hÊp. B ( Breathing): nhÞp thë, kiÓu thë. C ( Circulation): m¹ch, huyÕt ¸p.
2. 4 Kh¸m tri gi¸c: 1. M¾t: Më tù nhiªn: Sö dung b¶ng ®iÓm Glasgow 4 Gäi më : 3 CÊu má: 2 Kh «ng më: 1 B¶ng GLASGOW: §iÓm= M + L + V§ 2. Lêi: Tr¶ lêi nhanh ®óng: 5 Tèi ®a: Tr¶ lêi kh «ng ®óng: 4 Tèi thiÓu: 3 ®iÓm Lêi kh «ng thÝch hîp: 3 Kªu rªn: 2 Kh «ng tr¶ lêi: 1 3. VËn ®éng: Lµm theo lÖnh: 6 CÊu g¹t ®óng: 5 CÊu g¹t kh «ng ®óng: 4 GÊp cøng 2 chi trªn: 3 Duçi cøng 4 chi: 2 15 ®iÓm
NGHI£N CøU: CTSN nguy c¬ thÊp: 232 Bn (2011) Nôn và/hoặc buồn nôn: 65, 9% Đau đầu: 94, 7% Chóng mặt: 36, 1% Co giật: Liệt vận động: (Đồng Văn Hệ & cs-2011) 3, 5% 2, 5%
BỆNH NH N CHỈ BỊ MẤT TRI GIÁC BAN ĐẦU HOẶC/VÀ QUÊN SỰ VIỆC XẢY RA, TỈNH (GCS=15), KHÔNG CÓ BẤT CỨ DẤU HIỆU L M SÀNG KHÁC CHẨN ĐOÁN: CTSN NGUY CƠ THẤP
CHỈ ĐỊNH CHỤP CẮT LỚP VI TÍNH SỌ NÃO TẤT CẢ BN CTSN NGUY CƠ THẤP
C U HỎI: CHỈ ĐỊNH CHỤP CLVT QUÁ RỘNG ? LẠM DỤNG ? BỆNH NH N NGHÈO ? NẾU KHÔNG THẤY TỔN THƯƠNG ?
CTSN NGUY CƠ THẤP CHỤP CẮT LỚP VI TÍNH: -XÁC ĐỊNH CHÍNH XÁC TỔN THƯƠNG -ĐƯA RA QUYẾT ĐỊNH HỢP LÝ -TIÊN LƯỢNG ĐÚNG -BẰNG CHỨNG KHOA HỌC -GIẢI THÍCH MỌI DIỄN BIẾN -GIẢI THÍCH CHO GIA ĐÌNH BỆNH NH N
CHẨN ĐOÁN TRONG ĐIỀU KIỆN KHÔNG THỂ CHỤP CLVT (BV HUYỆN, KHU VỰC) ? CHỤP X QUANG QUI ƯỚC
CTSN NGUY CƠ THẤP GIÁ TRỊ CHỤP X QUANG: - ĐƯỜNG VỠ XƯƠNG: NGUY CƠ MÁU TỤ NỘI SỌ. - LÚN SỌ: MỔ NẾU LÚN QUÁ 2/3 CHIỀU DÀY BẢN XƯƠNG - DỊ VẬT: VTSN, VTS - NẾU KHÔNG CÓ TỔN THƯƠNG XƯƠNG: KHÔNG LOẠI TRỪ TỔN THƯƠNG NỘI SỌ HAY XƯƠNG NỀN SỌ, VÒM SỌ
CTSN NGUY CƠ THẤP CHẨN ĐOÁN: L M SÀNG XỬ TRÍ DỰA VÀO: -CẮT LỚP VI TÍNH -L M SÀNG
CTSN NGUY CƠ THẤP MỔ: NẾU L M SÀNG NẶNG HƠN VÀ CÓ DẤU HIỆU CHÈN ÉP TRÊN CLVT L M SÀNG NẶNG HƠN: -TRI GIÁC XẤU ĐI -LIỆT TĂNG DẦN -ĐAU ĐẦU -NÔN, BUỒN NÔN -CHÓNG MẶT -NHÌN ĐÔI, LÁC… CẮT LỚP VI TÍNH MÁU TỤ, DẬP NÃO…
Xö trÝ: nghiªn cøu t¹i bv viÖt ®øc HA NỘI Diễn biến tri giác BN CTSN nguy cơ thấp ntn? : Không thay đổi: 21, 8% Tốt lên: 71, 8% Xấu đi: 5, 9% (Đồng Văn Hệ & cs-2011)
Xö trÝ: nghiªn cøu t¹i bv viÖt ®øc §iÒu trÞ BN CTSN nguy cơ thấp: Mæ: 17/232 bÖnh nh©n = 7, 3% CH£T: 3/232 = 1, 3% (Đồng Văn Hệ & cs - 2003)
ĐIỀU TRỊ NỘI ĐIỀU TRỊ TRIỆU CHỨNG: GIẢM ĐAU, CHỐNG NÔN. . TRUYỀN DỊCH… THEO DÕI SÁT: TRI GIÁC ĐAU ĐẦU, NÔN, VẬN ĐỘNG, CO GIẬT…
ĐIỀU TRỊ TẠI BỆNH VIỆN BAO NHIÊU NGÀY? TỐI THIỂU 2 NGÀY
THÁI ĐỘ KHÔNG ĐÚNG: KHÔNG NÊN NÓI (KHI KHÔNG THẤY TỔN THƯƠNG, HOẶC TỔN THƯƠNG NHỎ TRÊN CẮT LỚP VI TÍNH HOẶC X QUANG THƯỜNG QUY: ) “BỆNH NH N NHẸ” “KHÔNG CÓ GÌ, YÊN T M” “KHÔNG THẤY TỔN THƯƠNG GÌ, TIẾP TỤC THEO DÕI” “KHÔNG SAO, VỀ NHÀ THEO DÕI”
THÁI ĐỘ ĐÚNG: NÊN NÓI NHƯ SAU: GIẢI THÍCH CHO GIA ĐÌNH KHI KHÔNG CÓ TỔN THƯƠNG, TỔN THƯƠNG NHỎ TRÊN CLVT, X QUANG: HIỆN TẠI KHÔNG CÓ TỔN THƯƠNG TRÊN PHIM CLVT BỆNH NH N VẪN CÓ NGUY CƠ ẢNH HƯỞNG TỚI TÍNH MẠNG CHÚNG TÔI SẼ CHO BỆNH NH N NHẬP VIỆN ĐỂ ĐIỀU TRỊ & THEO DÕI
CTSN NGUY CƠ THẤP TƯ VẤN KHI RA VIỆN: CHƯA THỂ YÊN BỆNH NH N KHỎI, YÊN T M ? T M
TƯ VẤN: CHĂM SÓC TẠI NHÀ Vận động nhẹ Ăn uống bình thường TuyÖt ®èi kh «ng xem tivi, ch¬i ®iÖn tö, sö dông m¸y tÝnh. . (2 tháng) Tr¸nh tiÕng ån Kh «ng dïng ¸nh s¸ng cường ®é cao Không nên để bệnh nhân sống một mình (độc thân) …
TƯ VẤN: THEO DÕI TẠI NHÀ ĐƯA BN TỚI BỆNH VIỆN NẾU XUẤT HIỆN MỘT TRONG CÁC DẤU HIỆU SAU: §au ®Çu t¨ng, N «n, buồn nôn nhiÒu Co giËt, KÝch ®éng, vËt v· H «n mª, l¬ m¬, Ngñ gµ, ngñ nhiÒu LiÖt, tª b× chi Sèt Quên nhiều, khó tập trung…
BẢN HƯỚNG DẪN THEO DÕI BỆNH NH N CHẤN THƯƠNG SỌ NÃO TẠI NHÀ BV ĐA KHOA TỈNH BÌNH ĐỊNH: KÍNH GỬI: GĐ BN NGUYỄN V T BỊ CTNS, HIỆN TẠI BỆNH TAM ỔN ĐỊNH, NHƯNG CẦN PHẢI THEO DÕI TRONG NHIỀU THÁNG DO NGUY CƠ CHẢY MÁU TÁI PHÁT… GIA ĐÌNH KHÔNG ĐƯỢC ĐỂ BN SỐNG 1 MÌNH… NẾU CÓ NHỮNG DẤU HIỆU SAU… ĐƯA BN TỚI KHÁM LẠI NGAY …. …. …. GIÁM ĐỐC BV
KHI THẦY THUỐC ĐỀ CẬP VÀ GIẢI THÍCH VỀ NHỮNG DIỄN BIẾN TIẾP THEO CỦA BỆNH, HỌ SẼ KHIẾN BỆNH NH N TIN TƯỞNG HƠN VÀO HỌ, VÀ UY TÍN CỦA THÀY THUỐC SẼ LỚN HƠN. Hippocrates
MỘT SỐ TIẾN BỘ TRONG ĐIỀU TRỊ ChÊn th Ư¬ng sä n·o nÆng TS DƯƠNG ĐẠI HÀ P Trưởng phòng NCKH –BV VIỆT ĐỨC /2014
CTSN NẶNG 80% tö vong sau CTSN lµ do CTSN nÆng (GCS= 3 8). Nghiªn cøu vÒ sinh lý bÖnh CTSN : Tæn thư ¬ngn·o kh «ng chØ xuÊt hiÖn t¹i thêi ®iÓm chÊn th ¬ngmµ x¶y ra rÊt m¹nh trong nh÷ng giê vµ nh÷ng ngµy sau. TỔN THƯƠNG NGUYÊN PHÁT TỔN THƯƠNG THỨ PHÁT: CÓ THỂ PHÒNG - TRÁNH SƠ CỨU, CẤP CỨU ĐÚNG NGAY SAU KHI BỆNH NH N BỊ CHẤN THƯƠNG
Tæn thư ¬ngban ®Çu MỔ Vì hµng rµo m¸u n·o Ph¸ huû tÕ bµo ThiÕu m¸u Gi¶i phãng c¸c ho¸ chÊt Ch¶y m¸u Rèi lo¹n vi tuÇn hoµn LiÖt m¹ch, co th¾t HuyÕt khèi Tæn thư ¬ng mµng tÕ bµo Phï nhiÔm ®éc Phï vËn m¹ch
CHẨN ĐOÁN HÔN MÊ ≤ 8 ĐIỂM (6 giê sau chÊn thư ¬ng) CHẤN THƯƠNG VÀO ĐẦU
THÁI ĐỘ XỬ TRÍ PHẪU THUẬT ? CHỤP CẮT LỚP VI TÍNH ? HỒI SỨC ?
XỬ TRÍ TRƯỚC KHI TỚI VIỆT ĐỨC BÊt ®éng cét sèng cæ: 0/235 BN 20 30% CTSN NÆNG BÞ CHÊN TH¦¥NG CéT SèNG Cæ Đồng Văn Hệ & cs - 1998
THÁI ĐỘ XỬ TRÍ CHẤN THƯƠNG SỌ NÃO NẶNG MỘT SỐ SAI LẦM TRONG THỰC HÀNH: -QUÁ CƯỜNG ĐIỆU VAI TRÒ CLVT -QUÁ LẠM DỤNG MANITOL -KHI CÓ CTSN NẶNG: MỜI PTV THẦN KINH -KHÔNG CHÚ Ý TỚI HÔ HẤP, TUẦN HOÀN -KHÔNG QUAN T M TỚI CỘT SỐNG CỔ -ĐÁNH GIÁ QUÁ CAO VAI TRÒ PHẪU THUẬT -QUÁ BI QUAN VỀ TIÊN LƯỢNG…
VẤN ĐỀ CHÍNH CỦA CTSN NẶNG ? 1 - HỒI SỨC HÔ HẤP 2 - HỒI SỨC TUẦN HOÀN 3 - ĐIỀU CHỈNH RỐI LOẠN 4 - GIẢI PHÓNG CHÈN ÉP
BỆNH NH N CTSN NẶNG PHẠM MẠNH K, NAM, 10 TUỔI TNGT TẠI VĨNH YÊN: 28/82008 BV TỈNH VĨNH PHÚC: HÔN MÊ, GCS 8 ĐIỂM KHÔNG LIỆT, VẾT THƯƠNG DA ĐẦU 10 CM KHÔNG CHỤP CLVT, CHUYỂN XUỐNG VIỆT ĐỨC: KHÔNG NỘI KHÍ QUẢN, KHÔNG TRUYỀN DỊCH, M 100, HA 80/40, THỞ KHÔNG ĐỀU (VĨNH YÊN-HÀ NỘI: 50 KM)
TỬ VONG SAU 3 NGÀY
Håi søc h « hÊp Khai th «ng ® Ưêng thë: hót Thë o xy ®Æt èng x «ng d¹ dµy ®Æt néi khÝ qu¶n Më khÝ qu¶n Bãp bãng hç trî Thë m¸y
Håi søc tuÇn hoµn CÇm m¸u (b¨ng, kh©u vÕt th Ư¬ng) TruyÒn dÞch muèi sinh lý 0, 9% (th «ng ®¸i) TruyÒn m¸u (nÕu cÇn thiÕt) mæ cÇm m¸u nÕu vì t¹ng ®Æc, vt m¹ch m¸u
Khi h « hÊp & tuÇn hoµn æn ®Þnh Chôp c¾t líp vi tÝnh sä n·o Siªu ©m æ bông Chôp ngùc th¼ng Chôp cét sèng cæ th¼ng & nghiªng MỜI: 20 % CTSN NẶNG PHẢI MỔ -PTV THẦN KINH -BS CHUYÊN KHOA KHÁC NẾU CẦN
NGUYÊN NH N TĂNG ÁP LỰC NỘI SỌ Khèi m¸u tô chÌn Ðp khu tró N·o óng thñy Phï n·o ThiÕu m¸u n·o DËp n·o r¶i r¸c
TĂNG ÁP LỰC TRONG SỌ: RÕ RÀNG NẾU: TRI GIÁC XẤU DẦN, CLVT (MÁU TỤ LỚN, NÃO ÚNG THỦY) KHÔNG RÕ NẾU: -DẬP NÃO -PHÙ NÃO -MÁU TỤ NHỎ -THIẾU MÁU NÃO… CHẨN ĐOÁN TĂNG ÁP LỰC TRONG SỌ BẰNG CÁCH NÀO ?
MỘT SỐ TIẾN BỘ TRONG XỬ TRÍ CHẤN THƯƠNG SỌ N ĐO ÁP LỰC TRONG SỌ - ICP ĐO ÁP LỰC TƯỚI MÁU NÃO - CPP ĐO NHIỆT ĐỘ TRONG NÃO
PHƯƠNG PHÁP ĐO ÁP LỰC TRONG SỌ ĐẶT CATHETER NGOÀI MÀNG CỨNG ĐẶT CATHETER DƯỚI MÀNG CỨNG ĐẶT CATHETER TRONG NHU MÔ NÃO ĐẶT CATHETER TRONG NÃO THẤT
VAI TRÒ ĐO ÁP LỰC TRONG SỌ ĐÁNH GIÁ CHÍNH XÁC ICP THEO DÕI LIÊN TỤC THEO THỜI GIAN THỰC ICP PHÁT HIỆN SỚM TĂNG ICP ĐÁNH GIÁ HIỆU QUẢ ĐIỀU TRỊ GIẢM ICP CỦA TỪNG BIỆN PHÁP: MANITOL, LASIX, GIẢM SỐT, N NG CAO ĐẦU… CẢI THIỆT KẾT QUẢ ĐIỀU TRỊ CTSN NẶNG. .